Suppr超能文献

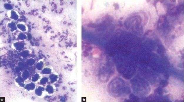
Lymphatic filariasis: Aspiration of adult gravid female worm from a soft tissue swelling.

作者信息

Azad Kalpana, Arora Rashmi, Gupta Kusum, Sharma Uma

机构信息

Department of Pathology, V.M.M.C. and Safdarjung Hospital, New Delhi, India.

出版信息

J Cytol. 2010 Oct;27(4):156-7. doi: 10.4103/0970-9371.73308.

Abstract
摘要
https://cdn.ncbi.nlm.nih.gov/pmc/blobs/bcef/3001208/73b3d3096451/JCytol-27-156-g001.jpg

文献检索

告别复杂PubMed语法,用中文像聊天一样搜索,搜遍4000万医学文献。AI智能推荐,让科研检索更轻松。

立即免费搜索

文件翻译

保留排版,准确专业,支持PDF/Word/PPT等文件格式,支持 12+语言互译。

免费翻译文档

深度研究

AI帮你快速写综述,25分钟生成高质量综述,智能提取关键信息,辅助科研写作。

立即免费体验