Suppr超能文献

小鼠结核感染后免疫组库的遗传影响

Genetic influences on the immune repertoire following tuberculous infection in mice.

作者信息

Brett S J, Ivanyi J

机构信息

MRC Tuberculosis and Related Infections Unit, Royal Postgraduate Medical School, Hammersmith Hospital, London, U.K.

出版信息

Immunology. 1990 Sep;71(1):113-9.

Abstract

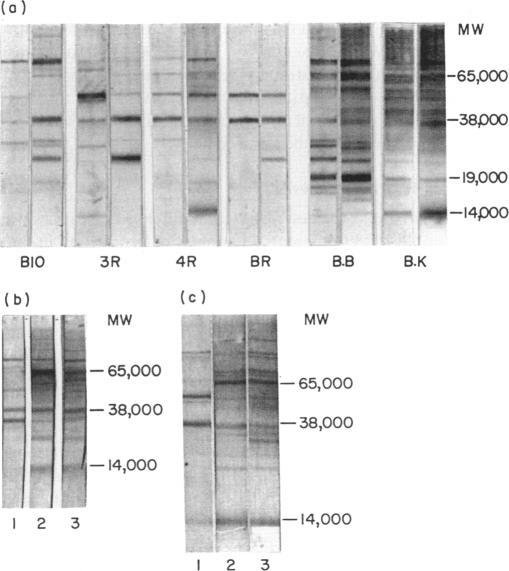
Differences in the antibody repertoire between B10 and BALB background strains have been found following intraperitoneal infection of mice with Mycobacterium tuberculosis. Western blot analysis showed that B10 sera reacted with only a few antigenic bands, whereas BALB sera reacted with multiple bands, irrespective of the H-2 (b or k) haplotype. The oligo-banded pattern was a feature of live infection, since immunization with the mycobacterial extract in incomplete Freunds' adjuvant (IFA) produced a multi-banded response in both intact and in previously infected B10 mice. The multibanded BALB phenotype was dominantly expressed in (BALB x B10) F1 hybrids. The extent to which antibody levels to individual antigens varied was influenced by the combined effects of background (non-H-2) and H-2 genes: anti-65,000 molecular weight (MW) and anti-71,000 MW IgG levels were high in BALB but absent or low in B10 mice, irrespective of H-2 haplotypes, anti-19,000 MW levels in B10 mice were strongly H-2 controlled, whilst anti-38,000 MW levels were high in all tested strains. Immunoglobulin G1 (IgG1) subclass antibody and splenic interleukin-4 (IL-4) mRNA levels were distinctly lower in B10 than in BALB mice, but in vitro T-cell proliferative responses to mycobacterial antigens did not differ between the tested strains. It is proposed that the limited extracellular release of mycobacterial antigens required to stimulate B cells and/or differential activation of T-cell subsets may explain the narrow antibody repertoire in B10 strains of mice. This may have relevance to the outcome of infection, as bacterial counts were higher in the BALB strains at 10 weeks post-infection.

摘要

在用结核分枝杆菌腹腔感染小鼠后,发现B10和BALB背景品系之间的抗体库存在差异。蛋白质免疫印迹分析表明,无论H-2(b或k)单倍型如何,B10血清仅与少数抗原条带发生反应,而BALB血清与多个条带发生反应。寡条带模式是活感染的一个特征,因为用不完全弗氏佐剂(IFA)中的分枝杆菌提取物免疫,在完整的和先前感染过的B10小鼠中均产生多条带反应。多带的BALB表型在(BALB×B10)F1杂种中占主导地位。针对个别抗原的抗体水平变化程度受背景(非H-2)和H-2基因的联合作用影响:无论H-2单倍型如何,针对65000分子量(MW)和71000 MW的IgG水平在BALB中较高,而在B10小鼠中不存在或较低;B10小鼠中针对19000 MW的水平受H-2强烈控制,而针对38000 MW的水平在所有测试品系中均较高。免疫球蛋白G1(IgG1)亚类抗体和脾脏白细胞介素-4(IL-4)mRNA水平在B10小鼠中明显低于BALB小鼠,但体外T细胞对分枝杆菌抗原的增殖反应在测试品系之间没有差异。有人提出,刺激B细胞所需的分枝杆菌抗原的有限细胞外释放和/或T细胞亚群的差异激活可能解释了B10品系小鼠中狭窄的抗体库。这可能与感染结果相关,因为在感染后10周,BALB品系中的细菌计数较高。

https://cdn.ncbi.nlm.nih.gov/pmc/blobs/8b1b/1384230/f44836fa721b/immunology00124-0117-a.jpg

文献检索

告别复杂PubMed语法,用中文像聊天一样搜索,搜遍4000万医学文献。AI智能推荐,让科研检索更轻松。

立即免费搜索

文件翻译

保留排版,准确专业,支持PDF/Word/PPT等文件格式,支持 12+语言互译。

免费翻译文档

深度研究

AI帮你快速写综述,25分钟生成高质量综述,智能提取关键信息,辅助科研写作。

立即免费体验