Suppr超能文献

隆乳术后继发腋窝硅胶性淋巴结病。

Axillary silicone lymphadenopathy secondary to augmentation mammaplasty.

作者信息

Dragoumis Dimitrios M, Assimaki Anthoula S, Vrizas Triantafyllos I, Tsiftsoglou Aris P

机构信息

Department of General Surgery, Breast Division, St Luke's Hospital, Panorama, 55 236, Thessaloniki, Greece.

出版信息

Indian J Plast Surg. 2010 Jul;43(2):206-9. doi: 10.4103/0970-0358.73453.

Abstract

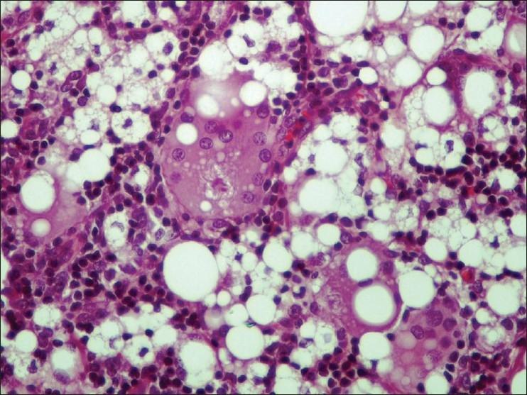
We report a case involving a 45-year-old woman, who presented with an axillary mass 10 years after bilateral cosmetic augmentation mammaplasty. A lump was detected in the left axilla, and subsequent mammography and magnetic resonance imaging demonstrated intracapsular rupture of the left breast prosthesis. An excisional biopsy of the left axillary lesion and replacement of the ruptured implant was performed. Histological analysis showed that the axillary lump was lymph nodes containing large amounts of silicone. Silicone lymphadenopathy is an obscure complication of procedures involving the use of silicone. It is thought to occur following the transit of silicone droplets from breast implants to lymph nodes by macrophages and should always be considered as a differential diagnosis in patients in whom silicone prostheses are present.

摘要

我们报告了一例病例,患者为一名45岁女性,在双侧隆胸整形术后10年出现腋窝肿块。在左腋窝发现一个肿块,随后的乳房X线摄影和磁共振成像显示左乳房假体包膜内破裂。对左腋窝病变进行了切除活检,并更换了破裂的植入物。组织学分析表明,腋窝肿块是含有大量硅胶的淋巴结。硅胶淋巴结病是涉及使用硅胶的手术中一种罕见的并发症。它被认为是在硅胶滴通过巨噬细胞从乳房植入物转移到淋巴结后发生的,对于存在硅胶假体的患者,应始终将其视为鉴别诊断。

https://cdn.ncbi.nlm.nih.gov/pmc/blobs/b348/3010785/7694d69197cd/IJPS-43-206-g001.jpg

文献AI研究员

20分钟写一篇综述,助力文献阅读效率提升50倍。

立即体验

用中文搜PubMed

大模型驱动的PubMed中文搜索引擎

马上搜索

文档翻译

学术文献翻译模型,支持多种主流文档格式。

立即体验