Suppr超能文献

新生儿黏液:先天性甲状腺功能减退症的一种表现

Neonatal sludge: a finding of congenital hypothyroidism.

作者信息

Kurtoğlu Selim, Coban Dilek, Akın Mustafa Ali, Akın Leyla, Yıkılmaz Ali

机构信息

Erciyes University Faculty of Medicine, Department of Pediatrics, Division of Neonatology, 38039 Kayseri, Turkey.

出版信息

J Clin Res Pediatr Endocrinol. 2009;1(4):197-200. doi: 10.4274/jcrpe.v1i4.54. Epub 2009 May 7.

Abstract

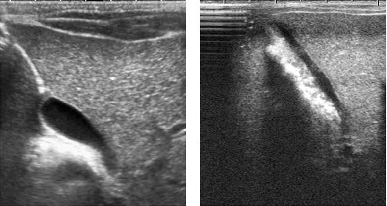
Congenital hypothyroidism is one of the most urgent diseases of the neonate. When diagnosed and treated at an early stage, its most important complication, mental retardation, is preventable. The signs of congenital hypothyroidism are nonspecific in neonates. Only 5% of the cases have characteristic clinical findings. One of the most important and earliest signs is prolonged jaundice during the neonatal period. We report herein a case of congenital hypothyroidism, who presented with icterus accompanied with sludge formation into the gallbladder, which disappeared after treatment with L-thyroxine.

摘要

先天性甲状腺功能减退症是新生儿最亟待治疗的疾病之一。若在早期得到诊断和治疗,其最重要的并发症——智力发育迟缓是可预防的。先天性甲状腺功能减退症在新生儿中的体征不具有特异性。仅有5%的病例有典型的临床表现。最重要且最早出现的体征之一是新生儿期黄疸持续时间延长。我们在此报告一例先天性甲状腺功能减退症病例,该患儿表现为黄疸伴胆囊内形成胆泥,经左甲状腺素治疗后消失。

https://cdn.ncbi.nlm.nih.gov/pmc/blobs/d971/3005657/8d11746a63c1/JCRPE-1-197-g1.jpg

文献检索

告别复杂PubMed语法,用中文像聊天一样搜索,搜遍4000万医学文献。AI智能推荐,让科研检索更轻松。

立即免费搜索

文件翻译

保留排版,准确专业,支持PDF/Word/PPT等文件格式,支持 12+语言互译。

免费翻译文档

深度研究

AI帮你快速写综述,25分钟生成高质量综述,智能提取关键信息,辅助科研写作。

立即免费体验