• 文献检索
  • 文档翻译
  • 深度研究
  • 学术资讯
  • Suppr Zotero 插件Zotero 插件
  • 邀请有礼
  • 套餐&价格
  • 历史记录
应用&插件
Suppr Zotero 插件Zotero 插件浏览器插件Mac 客户端Windows 客户端微信小程序
定价
高级版会员购买积分包购买API积分包
服务
文献检索文档翻译深度研究API 文档MCP 服务
关于我们
关于 Suppr公司介绍联系我们用户协议隐私条款
关注我们

Suppr 超能文献

核心技术专利:CN118964589B侵权必究
粤ICP备2023148730 号-1Suppr @ 2026

文献检索

告别复杂PubMed语法,用中文像聊天一样搜索,搜遍4000万医学文献。AI智能推荐,让科研检索更轻松。

立即免费搜索

文件翻译

保留排版,准确专业,支持PDF/Word/PPT等文件格式,支持 12+语言互译。

免费翻译文档

深度研究

AI帮你快速写综述,25分钟生成高质量综述,智能提取关键信息,辅助科研写作。

立即免费体验

伴有明显眼部表现的线粒体疾病。

Mitochondrial disorders with significant ophthalmic manifestations.

作者信息

Al-Enezi Mona, Al-Saleh Hanan, Nasser Murad

机构信息

Department of Ophthalmology, Mohammed Abdul Rahman Al-Bahar Eye Center, Ibn Sina Hospital, Kuwait.

出版信息

Middle East Afr J Ophthalmol. 2008 Apr;15(2):81-6. doi: 10.4103/0974-9233.51998.

DOI:10.4103/0974-9233.51998
PMID:21346843
原文链接:https://pmc.ncbi.nlm.nih.gov/articles/PMC3038114/
Abstract

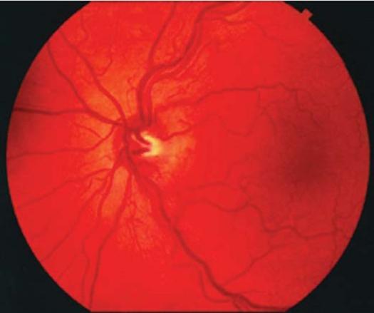
Mitochondrial diseases are a clinically hetyerogenous group of disorders. They can be caused by mutations of nuclear or mitochondrial DNA (mtDNA). Some affect a single organ, but many involve multiple organ systems and often present with prominent neurologic and myopathic features. The eye is frequently affected, along with muscles and brain, but multisystem disease is common. Ophthalmic manifestations include cataract, retinopathy, optic atrophy, cortical visual loss, ptosis and ophthalmoplegia. Kearns-Sayre Syndrome (KSS), Mitochondrial Encephalopathy, Lactic Acidosis Stroke (MELAS), Myoclonic Epilepsy and Ragged Red Fiber myopathy (MERRF) and Lebers Hereditary Optic Neuropathy (LHON) are well known clinical entities that are secondary to mtDNA abnormalities, which has ophthalmic manifestations. Mitochondrial Dysfunction should be considered in the differential diagnosis of progressive multisystem disorder and specifically if there is associated neuro-ophthalmic manifestations, which may be the presenting symptom of these disorders.

摘要

线粒体疾病是一组临床异质性疾病。它们可由核DNA或线粒体DNA(mtDNA)突变引起。有些仅影响单一器官,但许多涉及多个器官系统,且常表现出明显的神经和肌病特征。眼睛经常受到影响,肌肉和大脑也会受累,但多系统疾病很常见。眼部表现包括白内障、视网膜病变、视神经萎缩、皮质性视力丧失、上睑下垂和眼肌麻痹。卡恩斯-塞尔综合征(KSS)、线粒体脑肌病伴乳酸血症和卒中样发作(MELAS)、肌阵挛性癫痫伴破碎红纤维肌病(MERRF)以及莱伯遗传性视神经病变(LHON)是继发于mtDNA异常的知名临床病症,这些病症具有眼部表现。在进行性多系统疾病的鉴别诊断中应考虑线粒体功能障碍,特别是如果存在相关的神经眼科表现,这些表现可能是这些疾病的首发症状。

https://cdn.ncbi.nlm.nih.gov/pmc/blobs/202a/3038114/d7f442c55279/MEAJO-15-81-g002.jpg
https://cdn.ncbi.nlm.nih.gov/pmc/blobs/202a/3038114/20f99e4f5b9f/MEAJO-15-81-g001.jpg
https://cdn.ncbi.nlm.nih.gov/pmc/blobs/202a/3038114/d7f442c55279/MEAJO-15-81-g002.jpg
https://cdn.ncbi.nlm.nih.gov/pmc/blobs/202a/3038114/20f99e4f5b9f/MEAJO-15-81-g001.jpg
https://cdn.ncbi.nlm.nih.gov/pmc/blobs/202a/3038114/d7f442c55279/MEAJO-15-81-g002.jpg

相似文献

1
Mitochondrial disorders with significant ophthalmic manifestations.伴有明显眼部表现的线粒体疾病。
Middle East Afr J Ophthalmol. 2008 Apr;15(2):81-6. doi: 10.4103/0974-9233.51998.
2
Retinal manifestations in mitochondrial diseases associated with mitochondrial DNA mutation.与线粒体DNA突变相关的线粒体疾病中的视网膜表现。
Acta Ophthalmol Scand. 1998 Feb;76(1):6-13. doi: 10.1034/j.1600-0420.1998.760103.x.
3
Human mitochondrial diseases: answering questions and questioning answers.人类线粒体疾病:答疑解惑与质疑答案
Int Rev Cytol. 1999;186:49-116. doi: 10.1016/s0074-7696(08)61051-7.
4
Diagnostic screening of mitochondrial DNA mutations in Australian adults 1990-2001.1990 - 2001年澳大利亚成年人线粒体DNA突变的诊断性筛查。
Intern Med J. 2004 Jan-Feb;34(1-2):10-9. doi: 10.1111/j.1444-0903.2004.t01-3-.x.
5
Movement disorders in mitochondrial diseases.线粒体疾病中的运动障碍。
Rev Neurol (Paris). 2016 Aug-Sep;172(8-9):524-529. doi: 10.1016/j.neurol.2016.07.003. Epub 2016 Jul 28.
6
The expanding clinical spectrum of mitochondrial diseases.线粒体疾病不断扩展的临床谱。
Brain Dev. 1993 Jan-Feb;15(1):1-22. doi: 10.1016/0387-7604(93)90002-p.
7
99mTc-HMPAO brain single photon emission computerized tomography in mitochondrial encephalomyopathies.线粒体脑肌病的99mTc-HMPAO脑单光子发射计算机断层扫描
Zhonghua Yi Xue Za Zhi (Taipei). 1995 Nov;56(5):287-91.
8
Molecular epidemiologic study of mitochondrial DNA mutations in patients with mitochondrial diseases in Taiwan.台湾线粒体疾病患者线粒体DNA突变的分子流行病学研究。
J Formos Med Assoc. 1999 May;98(5):326-34.
9
Neuro-ophthalmic manifestations of mitochondrial disorders and their management.线粒体疾病的神经眼科表现及其管理。
Taiwan J Ophthalmol. 2020 Dec 4;11(1):39-52. doi: 10.4103/tjo.tjo_68_20. eCollection 2021 Jan-Mar.
10
Mitochondrial DNA expression in mitochondrial myopathies and coordinated expression of nuclear genes involved in ATP production.线粒体肌病中线粒体DNA的表达以及参与ATP生成的核基因的协同表达。
J Biol Chem. 1993 Jun 5;268(16):12156-63.

引用本文的文献

1
Implications of mtDNA in human health and diseases.线粒体DNA在人类健康与疾病中的意义。
BioTechnologia (Pozn). 2025 Jun 30;106(2):209-222. doi: 10.5114/bta/204532. eCollection 2025.
2
A Review over Mitochondrial Diseases Due to mtDNA Mutations: Recent Advances and Remedial Aspects.线粒体DNA突变所致线粒体疾病综述:最新进展与治疗方面
Infect Disord Drug Targets. 2025;25(3):e18715265304029. doi: 10.2174/0118715265304029240801092834.
3
Elderly onset of MELAS carried an M.3243A >G mutation in a female with deafness and visual deficits: A case report.

本文引用的文献

1
Central nervous system manifestations of mitochondrial disorders.线粒体疾病的中枢神经系统表现
Acta Neurol Scand. 2006 Oct;114(4):217-38. doi: 10.1111/j.1600-0404.2006.00671.x.
2
Extraocular mitochondrial myopathies and their differential diagnoses.眼外肌线粒体肌病及其鉴别诊断
Strabismus. 2006 Jun;14(2):107-13. doi: 10.1080/09273970600701218.
3
Tobacco-alcohol amblyopia: a maculopathy?烟酒性弱视:一种黄斑病变?
伴有耳聋和视觉缺陷的女性患者中迟发性线粒体脑肌病伴乳酸血症和卒中样发作(MELAS)携带M.3243A >G突变:病例报告
Clin Case Rep. 2024 Mar 13;12(3):e8438. doi: 10.1002/ccr3.8438. eCollection 2024 Mar.
4
Mitochondrial Chronic Progressive External Ophthalmoplegia.线粒体慢性进行性眼外肌麻痹
Brain Sci. 2024 Jan 27;14(2):135. doi: 10.3390/brainsci14020135.
5
Red Flags in Primary Mitochondrial Diseases: What Should We Recognize?原发性线粒体疾病的“危险信号”:我们应该识别什么?
Int J Mol Sci. 2023 Nov 25;24(23):16746. doi: 10.3390/ijms242316746.
6
Mitochondrial Open Reading Frame of the 12S rRNA Type-c: Potential Therapeutic Candidate in Retinal Diseases.12S rRNA 类型 c 的线粒体开放阅读框:视网膜疾病潜在的治疗候选物
Antioxidants (Basel). 2023 Feb 18;12(2):518. doi: 10.3390/antiox12020518.
7
Dysregulation of Amino Acid, Lipid, and Acylpyruvate Metabolism in Idiopathic Intracranial Hypertension: A Non-targeted Case Control and Longitudinal Metabolomic Study.特发性颅内高压中氨基酸、脂质和酰基辅酶 A 代谢的失调:一项非靶向病例对照和纵向代谢组学研究。
J Proteome Res. 2023 Apr 7;22(4):1127-1137. doi: 10.1021/acs.jproteome.2c00449. Epub 2022 Dec 19.
8
Recent advances in mitochondrial diseases: From molecular insights to therapeutic perspectives.线粒体疾病的最新进展:从分子洞察到治疗前景
Saudi Pharm J. 2022 Aug;30(8):1065-1078. doi: 10.1016/j.jsps.2022.05.011. Epub 2022 May 28.
9
Retinal Circular RNA hsa_circ_0087207 Expression Promotes Apoptotic Cell Death in Induced Pluripotent Stem Cell-Derived Leber's Hereditary Optic Neuropathy-like Models.视网膜环状RNA hsa_circ_0087207的表达促进诱导多能干细胞衍生的Leber遗传性视神经病变样模型中的凋亡细胞死亡。
Biomedicines. 2022 Mar 28;10(4):788. doi: 10.3390/biomedicines10040788.
10
Creating Cell Model 2.0 Using Patient Samples Carrying a Pathogenic Mitochondrial DNA Mutation: iPSC Approach for LHON.使用携带致病性线粒体 DNA 突变的患者样本创建细胞模型 2.0:LHON 的 iPSC 方法。
Methods Mol Biol. 2022;2549:219-231. doi: 10.1007/7651_2021_384.
Br J Ophthalmol. 2005 Nov;89(11):1543-4. doi: 10.1136/bjo.2005.079137.
4
Hereditary optic neuropathies: from the mitochondria to the optic nerve.遗传性视神经病变:从线粒体到视神经
Am J Ophthalmol. 2005 Sep;140(3):517-23. doi: 10.1016/j.ajo.2005.03.017.
5
Retinal nerve fiber layer evaluation by optical coherence tomography in Leber's hereditary optic neuropathy.光学相干断层扫描对Leber遗传性视神经病变视网膜神经纤维层的评估
Ophthalmology. 2005 Jan;112(1):120-6. doi: 10.1016/j.ophtha.2004.06.034.
6
Latent, acute, and chronic Leber's hereditary optic neuropathy.潜伏性、急性和慢性Leber遗传性视神经病变。
Ophthalmology. 2005 Jan;112(1):1-2. doi: 10.1016/j.ophtha.2004.10.021.
7
Mitochondrial respiratory-chain diseases.线粒体呼吸链疾病
N Engl J Med. 2003 Jun 26;348(26):2656-68. doi: 10.1056/NEJMra022567.
8
Corneal decompensation in a boy with Kearns-Sayre syndrome.
Ophthalmic Genet. 2002 Dec;23(4):247-51. doi: 10.1076/opge.23.4.247.13882.
9
Neuro-ophthalmology of mitochondrial diseases.线粒体疾病的神经眼科
Curr Opin Neurol. 2003 Feb;16(1):35-43. doi: 10.1097/01.wco.0000053592.70044.57.
10
Leber hereditary optic neuropathy.莱伯遗传性视神经病变
J Med Genet. 2002 Mar;39(3):162-9. doi: 10.1136/jmg.39.3.162.