• 文献检索
  • 文档翻译
  • 深度研究
  • 学术资讯
  • Suppr Zotero 插件Zotero 插件
  • 邀请有礼
  • 套餐&价格
  • 历史记录
应用&插件
Suppr Zotero 插件Zotero 插件浏览器插件Mac 客户端Windows 客户端微信小程序
定价
高级版会员购买积分包购买API积分包
服务
文献检索文档翻译深度研究API 文档MCP 服务
关于我们
关于 Suppr公司介绍联系我们用户协议隐私条款
关注我们

Suppr 超能文献

核心技术专利:CN118964589B侵权必究
粤ICP备2023148730 号-1Suppr @ 2026

文献检索

告别复杂PubMed语法,用中文像聊天一样搜索,搜遍4000万医学文献。AI智能推荐,让科研检索更轻松。

立即免费搜索

文件翻译

保留排版,准确专业,支持PDF/Word/PPT等文件格式,支持 12+语言互译。

免费翻译文档

深度研究

AI帮你快速写综述,25分钟生成高质量综述,智能提取关键信息,辅助科研写作。

立即免费体验

心脏磁共振成像可显示心肌炎的急性和慢性心肌损伤。

Cardiac magnetic resonance visualizes acute and chronic myocardial injuries in myocarditis.

机构信息

Department of Radiology, Oslo University Hospital, Ullevaal, Oslo, Norway.

出版信息

Int J Cardiovasc Imaging. 2012 Feb;28(2):327-35. doi: 10.1007/s10554-011-9812-7. Epub 2011 Feb 24.

DOI:10.1007/s10554-011-9812-7
PMID:21347598
原文链接:https://pmc.ncbi.nlm.nih.gov/articles/PMC3288366/
Abstract

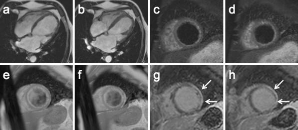
Our objective was to evaluate the ability of CMR to visualize myocardial injuries over the course of myocarditis. We studied 42 patients (39 males, 3 females; age 37 ± 14 years) with myocarditis during the acute phase and after 12 ± 9 months. CMR included function analyses, T2-weighted imaging (T2 ratio), T1-weighted imaging before and after i.v. gadolinium injection (global relative enhancement; gRE), and late gadolinium enhancement (LGE). In the acute phase, the T2 ratio was elevated in 57%, gRE in 31%, and LGE was present in 64% of the patients. In 32 patients (76%) were any two (or more) out of three sequences abnormal. At follow-up, there was an increase in ejection fraction (57.4 ± 11.9% vs. 61.4 ± 7.6; P < 0.05) while both T2 ratio (2.04 ± 0.32 vs. 1.70 ± 0.28; P < 0.001) and gRE (4.07 ± 1.63 vs. 3.11 ± 1.22; P < 0.05) significantly decreased. The LGE persisted in 10 patients. Dilated cardiomyopathy was present in 3 patients and 4 patients received a defibrillator or a pacemaker. A comprehensive CMR approach is a useful tool to visualize myocardial tissue injuries over the course of myocarditis. CMR may help to differentiate acute from healed myocarditis, and add information for the differential diagnoses.

摘要

我们的目的是评估心脏磁共振(CMR)在心肌炎病程中观察心肌损伤的能力。我们研究了 42 例急性心肌炎患者(男 39 例,女 3 例;年龄 37 ± 14 岁)和 12 ± 9 个月后的患者。CMR 包括功能分析、T2 加权成像(T2 比值)、静脉注射钆前后的 T1 加权成像(整体相对增强;gRE)和延迟钆增强(LGE)。在急性期,57%的患者 T2 比值升高,31%的患者 gRE 升高,64%的患者存在 LGE。32 例患者(76%)中有任何两种(或更多)序列异常。随访时,射血分数增加(57.4 ± 11.9%比 61.4 ± 7.6%;P < 0.05),同时 T2 比值(2.04 ± 0.32 比 1.70 ± 0.28;P < 0.001)和 gRE(4.07 ± 1.63 比 3.11 ± 1.22;P < 0.05)均显著降低。10 例患者仍存在 LGE。3 例患者存在扩张型心肌病,4 例患者植入了除颤器或起搏器。综合 CMR 方法是观察心肌炎病程中心肌组织损伤的有用工具。CMR 可帮助区分急性和愈合性心肌炎,并提供鉴别诊断的信息。

https://cdn.ncbi.nlm.nih.gov/pmc/blobs/77d8/3288366/6679e501fb0c/10554_2011_9812_Fig3_HTML.jpg
https://cdn.ncbi.nlm.nih.gov/pmc/blobs/77d8/3288366/d9a17dced1f7/10554_2011_9812_Fig1_HTML.jpg
https://cdn.ncbi.nlm.nih.gov/pmc/blobs/77d8/3288366/1234ad3cde39/10554_2011_9812_Fig2_HTML.jpg
https://cdn.ncbi.nlm.nih.gov/pmc/blobs/77d8/3288366/6679e501fb0c/10554_2011_9812_Fig3_HTML.jpg
https://cdn.ncbi.nlm.nih.gov/pmc/blobs/77d8/3288366/d9a17dced1f7/10554_2011_9812_Fig1_HTML.jpg
https://cdn.ncbi.nlm.nih.gov/pmc/blobs/77d8/3288366/1234ad3cde39/10554_2011_9812_Fig2_HTML.jpg
https://cdn.ncbi.nlm.nih.gov/pmc/blobs/77d8/3288366/6679e501fb0c/10554_2011_9812_Fig3_HTML.jpg

相似文献

1
Cardiac magnetic resonance visualizes acute and chronic myocardial injuries in myocarditis.心脏磁共振成像可显示心肌炎的急性和慢性心肌损伤。
Int J Cardiovasc Imaging. 2012 Feb;28(2):327-35. doi: 10.1007/s10554-011-9812-7. Epub 2011 Feb 24.
2
Cardiac magnetic resonance monitors reversible and irreversible myocardial injury in myocarditis.心脏磁共振成像可监测心肌炎中可逆性和不可逆性心肌损伤。
JACC Cardiovasc Imaging. 2009 Feb;2(2):131-8. doi: 10.1016/j.jcmg.2008.09.014.
3
Native T1-mapping detects the location, extent and patterns of acute myocarditis without the need for gadolinium contrast agents.原生 T1 映射可在无需钆对比剂的情况下检测急性心肌炎的位置、范围和模式。
J Cardiovasc Magn Reson. 2014 May 23;16(1):36. doi: 10.1186/1532-429X-16-36.
4
Cardiovascular magnetic resonance techniques and findings in children with myocarditis: a multicenter retrospective study.心肌炎患儿的心血管磁共振技术与发现:一项多中心回顾性研究
J Cardiovasc Magn Reson. 2015 Nov 17;17:96. doi: 10.1186/s12968-015-0201-6.
5
Ferumoxytol-enhanced cardiovascular magnetic resonance detection of early stage acute myocarditis.铁磁共振增强心血管磁共振检测早期急性心肌炎。
J Cardiovasc Magn Reson. 2019 Dec 16;21(1):77. doi: 10.1186/s12968-019-0587-7.
6
Assessment of acute myocarditis by cardiovascular MR: diagnostic performance of shortened protocols.心血管磁共振评估急性心肌炎:缩短方案的诊断性能。
Int J Cardiovasc Imaging. 2013 Jun;29(5):1077-83. doi: 10.1007/s10554-013-0189-7. Epub 2013 Feb 13.
7
Quantitative changes in late gadolinium enhancement at cardiac magnetic resonance in the early phase of acute myocarditis.急性心肌炎早期心脏磁共振成像晚期钆增强的定量变化。
Int J Cardiol. 2017 Mar 15;231:216-221. doi: 10.1016/j.ijcard.2016.11.282. Epub 2016 Nov 23.
8
[Predictive value of cardiac magnetic resonance-derived parameters on the improvement of left ventricular function in patients with acute viral myocarditis].[心脏磁共振衍生参数对急性病毒性心肌炎患者左心室功能改善的预测价值]
Zhonghua Xin Xue Guan Bing Za Zhi. 2017 Sep 24;45(9):758-764. doi: 10.3760/cma.j.issn.0253-3758.2017.09.006.
9
Prevalence and Prognostic Impact of Septal Late Gadolinium Enhancement in Acute Myocarditis With or Without Preserved Left Ventricular Function.节段性延迟钆增强在左心室射血分数保留或不保留的急性心肌炎中的患病率和预后影响。
Am J Cardiol. 2018 Dec 1;122(11):1955-1958. doi: 10.1016/j.amjcard.2018.08.038. Epub 2018 Sep 13.
10
Follow-up cardiac magnetic resonance in children with vaccine-associated myocarditis.疫苗相关心肌炎患儿的心脏磁共振随访。
Eur J Pediatr. 2022 Jul;181(7):2879-2883. doi: 10.1007/s00431-022-04482-z. Epub 2022 Apr 28.

引用本文的文献

1
Impact of myocardial injury on regional left ventricular function in the course of acute myocarditis with preserved ejection fraction: insights from segmental feature tracking strain analysis using cine cardiac MRI.心肌损伤对射血分数保留型急性心肌炎过程中心室局部功能的影响:心脏 MRI 电影节段特征追踪应变分析的见解。
Int J Cardiovasc Imaging. 2022 Aug;38(8):1851-1861. doi: 10.1007/s10554-022-02601-3. Epub 2022 Mar 31.
2
Is Imaging Bacteria with PET a Realistic Option or an Illusion?用正电子发射断层扫描(PET)对细菌成像,是切实可行的选择还是幻想?
Diagnostics (Basel). 2023 Mar 24;13(7):1231. doi: 10.3390/diagnostics13071231.
3

本文引用的文献

1
Clinical characteristics and role of early cardiac magnetic resonance imaging in patients with suspected ST-elevation myocardial infarction and normal coronary arteries.疑似 ST 段抬高型心肌梗死和正常冠状动脉患者的临床特征和早期心脏磁共振成像的作用。
Int J Cardiovasc Imaging. 2011 Mar;27(3):355-65. doi: 10.1007/s10554-010-9671-7. Epub 2010 Jul 22.
2
Myocarditis in a juvenile patient with influenza A virus infection.一名甲型流感病毒感染的青少年患者的心肌炎
Eur Heart J. 2010 Feb;31(3):277. doi: 10.1093/eurheartj/ehp566. Epub 2009 Dec 10.
3
Cardiovascular magnetic resonance in myocarditis: A JACC White Paper.
Role of Smoking in the Evolution of Cardiovascular Magnetic Resonance and Laboratory Findings of Acute Myocarditis.
吸烟在急性心肌炎的心血管磁共振成像演变及实验室检查结果中的作用。
Heart Views. 2020 Jan-Mar;21(1):22-30. doi: 10.4103/HEARTVIEWS.HEARTVIEWS_68_19. Epub 2020 Jan 23.
4
Diagnostic and prognostic value of cardiac magnetic resonance in acute myocarditis: a systematic review and meta-analysis.心脏磁共振在急性心肌炎中的诊断和预后价值:系统评价和荟萃分析。
Int J Cardiovasc Imaging. 2019 Dec;35(12):2221-2229. doi: 10.1007/s10554-019-01674-x. Epub 2019 Aug 6.
5
Clinical Utility of [F]FDG-PET /CT in Pericardial Disease.[F]FDG-PET/CT 在心包疾病中的临床应用。
Curr Cardiol Rep. 2019 Aug 2;21(9):107. doi: 10.1007/s11886-019-1193-x.
6
Advances in Cardiovascular MRI using Quantitative Tissue Characterisation Techniques: Focus on Myocarditis.心血管磁共振成像在定量组织特征分析技术方面的进展:聚焦于心肌炎
Eur Cardiol. 2016 Aug;11(1):20-24. doi: 10.15420/ecr.2016:18:2.
7
Speckle tracking imaging in inflammatory heart diseases.炎症性心脏病中的斑点追踪成像
Int J Cardiovasc Imaging. 2018 May;34(5):787-792. doi: 10.1007/s10554-017-1284-y. Epub 2017 Nov 27.
8
Clinical applications of multi-parametric CMR in myocarditis and systemic inflammatory diseases.多参数心脏磁共振成像在心肌炎和全身性炎症性疾病中的临床应用
Int J Cardiovasc Imaging. 2018 Jan;34(1):35-54. doi: 10.1007/s10554-017-1063-9. Epub 2017 Jan 27.
9
Clinical and magnetic resonance evolution of "infarct-like" myocarditis.“梗死样”心肌炎的临床及磁共振成像演变
Radiol Med. 2017 Apr;122(4):273-279. doi: 10.1007/s11547-016-0723-5. Epub 2017 Jan 9.
10
Impact of cardiac magnetic resonance imaging in non-ischemic cardiomyopathies.心脏磁共振成像在非缺血性心肌病中的作用
World J Cardiol. 2016 Feb 26;8(2):132-45. doi: 10.4330/wjc.v8.i2.132.
心肌炎的心血管磁共振成像:美国心脏病学会白皮书
J Am Coll Cardiol. 2009 Apr 28;53(17):1475-87. doi: 10.1016/j.jacc.2009.02.007.
4
Cardiac magnetic resonance monitors reversible and irreversible myocardial injury in myocarditis.心脏磁共振成像可监测心肌炎中可逆性和不可逆性心肌损伤。
JACC Cardiovasc Imaging. 2009 Feb;2(2):131-8. doi: 10.1016/j.jcmg.2008.09.014.
5
Suspected chronic myocarditis at cardiac MR: diagnostic accuracy and association with immunohistologically detected inflammation and viral persistence.心脏磁共振成像诊断疑似慢性心肌炎:诊断准确性及与免疫组织学检测到的炎症和病毒持续存在的关联
Radiology. 2008 Feb;246(2):401-9. doi: 10.1148/radiol.2461062179. Epub 2008 Jan 7.
6
The role of endomyocardial biopsy in the management of cardiovascular disease: a scientific statement from the American Heart Association, the American College of Cardiology, and the European Society of Cardiology.心内膜心肌活检在心血管疾病管理中的作用:美国心脏协会、美国心脏病学会和欧洲心脏病学会的科学声明。
Circulation. 2007 Nov 6;116(19):2216-33. doi: 10.1161/CIRCULATIONAHA.107.186093. Epub 2007 Oct 24.
7
Noninvasive imaging in myocarditis.心肌炎的无创成像
J Am Coll Cardiol. 2006 Nov 21;48(10):2085-93. doi: 10.1016/j.jacc.2006.08.017. Epub 2006 Nov 1.
8
Presentation, patterns of myocardial damage, and clinical course of viral myocarditis.病毒性心肌炎的临床表现、心肌损伤模式及临床病程。
Circulation. 2006 Oct 10;114(15):1581-90. doi: 10.1161/CIRCULATIONAHA.105.606509. Epub 2006 Oct 2.
9
Implications of the failure to identify high-risk electrocardiogram findings for the quality of care of patients with acute myocardial infarction: results of the Emergency Department Quality in Myocardial Infarction (EDQMI) study.未能识别高危心电图表现对急性心肌梗死患者医疗质量的影响:心肌梗死急诊科质量(EDQMI)研究结果
Circulation. 2006 Oct 10;114(15):1565-71. doi: 10.1161/CIRCULATIONAHA.106.623652. Epub 2006 Oct 2.
10
Magnetic resonance imaging of microvascular leakage induced by myocardial contrast echocardiography in rats.大鼠心肌对比超声心动图诱导的微血管渗漏的磁共振成像
Magn Reson Imaging. 2006 Jun;24(5):603-9. doi: 10.1016/j.mri.2005.12.014. Epub 2006 Feb 20.