Suppr超能文献

肺曲霉菌球并肺腺癌。

Aspergilloma in combination with adenocarcinoma of the lung.

机构信息

Department of thoracic surgery, Hassan II University Hospital of Fez, Morocco.

出版信息

World J Surg Oncol. 2011 Feb 27;9:27. doi: 10.1186/1477-7819-9-27.

Abstract

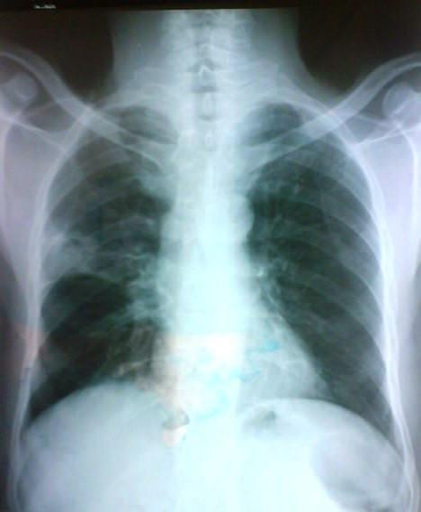
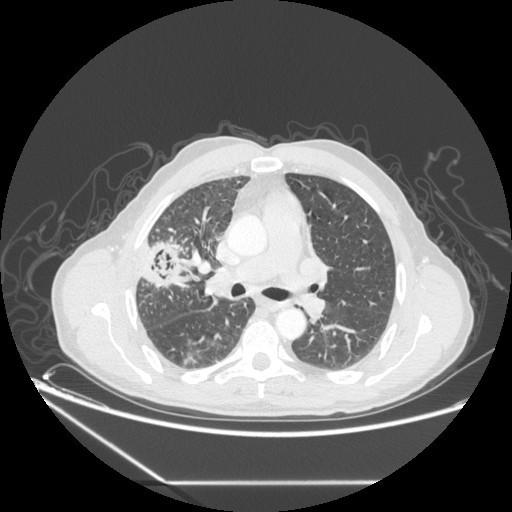
A 60 year old male with a long standing history of smoking was referred to our department for surgery of aspergilloma in right upper lung lobe diagnosed by computed tomography and confirmed by computed tomography guided needle aspiration biopsy. A lobectomy was performed. Histological study of the surgical specimen revealed a pulmonary adenocarcinoma associated with aspergilloma. By presenting this case we suggest that every case of pulmonary aspergilloma should be examined for malignancies, especially in smokers.

摘要

一位 60 岁男性,长期吸烟史,因 CT 诊断的右上肺曲霉球,并经 CT 引导下针吸活检证实,转入我科行手术治疗。行肺叶切除术。手术标本的组织学研究显示与曲霉球相关的肺腺癌。通过本例报告,我们建议对每个曲霉球病例都应检查恶性肿瘤,特别是在吸烟者中。

https://cdn.ncbi.nlm.nih.gov/pmc/blobs/da3e/3056811/298e3d9fc839/1477-7819-9-27-1.jpg

文献AI研究员

20分钟写一篇综述,助力文献阅读效率提升50倍。

立即体验

用中文搜PubMed

大模型驱动的PubMed中文搜索引擎

马上搜索

文档翻译

学术文献翻译模型,支持多种主流文档格式。

立即体验