Suppr超能文献

验证一种弹性配准技术,以估计非小细胞肺癌托姆治疗中的解剖肺修正。

Validation of an elastic registration technique to estimate anatomical lung modification in non-small-cell lung cancer tomotherapy.

机构信息

Istituto di Bioimmagini e Fisiologia Molecolare, CNR, via Fratelli Cervi 93 Segrate (Milan), 20090, Italy.

出版信息

Radiat Oncol. 2011 Apr 6;6:31. doi: 10.1186/1748-717X-6-31.

Abstract

BACKGROUND

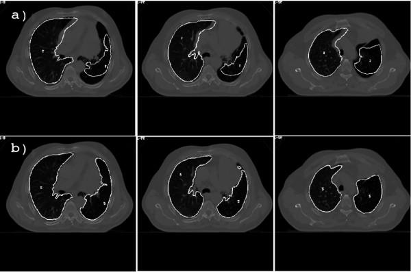
The study of lung parenchyma anatomical modification is useful to estimate dose discrepancies during the radiation treatment of Non-Small-Cell Lung Cancer (NSCLC) patients. We propose and validate a method, based on free-form deformation and mutual information, to elastically register planning kVCT with daily MVCT images, to estimate lung parenchyma modification during Tomotherapy.

METHODS

We analyzed 15 registrations between the planning kVCT and 3 MVCT images for each of the 5 NSCLC patients. Image registration accuracy was evaluated by visual inspection and, quantitatively, by Correlation Coefficients (CC) and Target Registration Errors (TRE). Finally, a lung volume correspondence analysis was performed to specifically evaluate registration accuracy in lungs.

RESULTS

Results showed that elastic registration was always satisfactory, both qualitatively and quantitatively: TRE after elastic registration (average value of 3.6 mm) remained comparable and often smaller than voxel resolution. Lung volume variations were well estimated by elastic registration (average volume and centroid errors of 1.78% and 0.87 mm, respectively).

CONCLUSIONS

Our results demonstrate that this method is able to estimate lung deformations in thorax MVCT, with an accuracy within 3.6 mm comparable or smaller than the voxel dimension of the kVCT and MVCT images. It could be used to estimate lung parenchyma dose variations in thoracic Tomotherapy.

摘要

背景

研究肺实质解剖结构的改变有助于评估非小细胞肺癌(NSCLC)患者放射治疗过程中的剂量差异。我们提出并验证了一种方法,基于自由变形和互信息,将计划千伏 CT(kVCT)与每日兆伏 CT(MVCT)图像弹性配准,以估计托姆治疗期间肺实质的改变。

方法

我们分析了 5 名 NSCLC 患者的每例各 15 次计划 kVCT 与 3 次 MVCT 图像之间的配准。通过视觉检查和相关系数(CC)和目标注册误差(TRE)的定量评估来评估图像配准的准确性。最后,进行了肺容积对应分析,以专门评估肺内的配准准确性。

结果

结果表明,弹性配准始终令人满意,无论是定性还是定量:弹性配准后的 TRE(平均值为 3.6 毫米)仍然可比,且通常小于体素分辨率。弹性配准能够很好地估计肺容积的变化(平均体积和质心误差分别为 1.78%和 0.87 毫米)。

结论

我们的结果表明,该方法能够估计胸部 MVCT 中的肺变形,其准确性在 3.6 毫米以内,与 kVCT 和 MVCT 图像的体素尺寸相当或更小。它可用于估计胸部托姆治疗中的肺实质剂量变化。

https://cdn.ncbi.nlm.nih.gov/pmc/blobs/392a/3094364/e53c264c4c88/1748-717X-6-31-1.jpg

文献AI研究员

20分钟写一篇综述,助力文献阅读效率提升50倍。

立即体验

用中文搜PubMed

大模型驱动的PubMed中文搜索引擎

马上搜索

文档翻译

学术文献翻译模型,支持多种主流文档格式。

立即体验