Suppr超能文献

1例痤疮丙酸杆菌引起的脑脓肿,发生于神经外科手术后13个月,经16S rRNA基因测序确诊。

A case of brain abscess caused by Propionibacterium acnes 13 months after neurosurgery and confirmed by 16S rRNA gene sequencing.

作者信息

Chung Soie, Kim Jun Sik, Seo Sang Won, Ra Eun Kyung, Joo Sei-Ick, Kim So Yeon, Park Sung Sup, Kim Eui-Chong

机构信息

Department of Laboratory Medicine, Seoul National University Hospital, Seoul, Korea.

出版信息

Korean J Lab Med. 2011 Apr;31(2):122-6. doi: 10.3343/kjlm.2011.31.2.122.

Abstract

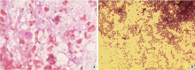
Propionibacterium acnes is a gram-positive anaerobic bacillus and a normal inhabitant of the skin. Although it is often considered a contaminant of blood cultures, it can occasionally cause serious infections, including postoperative central nervous system infections. Here, we report the case of a 70-yr-old man who developed a large cerebral abscess caused by P. acnes 13 months after neurosurgery. Immediate gram staining of the pus from his brain revealed the presence of gram-positive coccobacilli. However, colony growth was observed only after 5 days of culture. Therefore, we performed 16S rRNA gene sequencing of the pus specimen. The isolate was identified as P. acnes. The colonies developed 9 days after the initial culture. The API Rapid ID 32A test (bioMérieux, France) was performed using a colony, but an unacceptable profile was obtained. Then, the pus was transferred into the enrichment broths of the BACTEC FX (Becton Dickinson, USA) and BacT/Alert 3D (bioMérieux, Organon Teknika, USA) systems, but only the BACTEC FX system could detect growth after 5 days. We performed 16S rRNA gene sequencing and API Rapid 32A profiling with a colony recovered from Brucella agar, which was inoculated with the microbial growth in the enrichment broth from the BACTEC FX system. The organism was identified as P. acnes by both methods. This case suggests that 16S rRNA gene sequencing may be a useful alternative for identifying slowly growing P. acnes from specimens that do not show growth after 5 days of culture.

摘要

痤疮丙酸杆菌是一种革兰氏阳性厌氧杆菌,是皮肤的正常寄居菌。尽管它常被视为血培养的污染物,但偶尔也会引起严重感染,包括术后中枢神经系统感染。在此,我们报告一例70岁男性病例,该患者在神经外科手术后13个月发生了由痤疮丙酸杆菌引起的巨大脑脓肿。对其脑脓肿脓液进行的即时革兰氏染色显示存在革兰氏阳性球杆菌。然而,仅在培养5天后才观察到菌落生长。因此,我们对脓液标本进行了16S rRNA基因测序。分离株被鉴定为痤疮丙酸杆菌。最初培养9天后菌落生长。使用一个菌落进行了API Rapid ID 32A测试(法国生物梅里埃公司),但得到的结果不理想。然后,将脓液转移至BACTEC FX(美国BD公司)和BacT/Alert 3D(美国生物梅里埃公司,Organon Teknika)系统的增菌肉汤中,但只有BACTEC FX系统在5天后能检测到生长。我们用从Brucella琼脂平板上分离的一个菌落进行了16S rRNA基因测序和API Rapid 32A分析,该菌落接种了来自BACTEC FX系统增菌肉汤中的微生物生长物。两种方法均将该菌鉴定为痤疮丙酸杆菌。该病例表明,16S rRNA基因测序可能是从培养5天后仍未生长的标本中鉴定生长缓慢的痤疮丙酸杆菌的一种有用替代方法。

https://cdn.ncbi.nlm.nih.gov/pmc/blobs/b557/3116000/5397b17616b7/kjlm-31-122-g001.jpg

文献检索

告别复杂PubMed语法,用中文像聊天一样搜索,搜遍4000万医学文献。AI智能推荐,让科研检索更轻松。

立即免费搜索

文件翻译

保留排版,准确专业,支持PDF/Word/PPT等文件格式,支持 12+语言互译。

免费翻译文档

深度研究

AI帮你快速写综述,25分钟生成高质量综述,智能提取关键信息,辅助科研写作。

立即免费体验