• 文献检索
  • 文档翻译
  • 深度研究
  • 学术资讯
  • Suppr Zotero 插件Zotero 插件
  • 邀请有礼
  • 套餐&价格
  • 历史记录
应用&插件
Suppr Zotero 插件Zotero 插件浏览器插件Mac 客户端Windows 客户端微信小程序
定价
高级版会员购买积分包购买API积分包
服务
文献检索文档翻译深度研究API 文档MCP 服务
关于我们
关于 Suppr公司介绍联系我们用户协议隐私条款
关注我们

Suppr 超能文献

核心技术专利:CN118964589B侵权必究
粤ICP备2023148730 号-1Suppr @ 2026

文献检索

告别复杂PubMed语法,用中文像聊天一样搜索,搜遍4000万医学文献。AI智能推荐,让科研检索更轻松。

立即免费搜索

文件翻译

保留排版,准确专业,支持PDF/Word/PPT等文件格式,支持 12+语言互译。

免费翻译文档

深度研究

AI帮你快速写综述,25分钟生成高质量综述,智能提取关键信息,辅助科研写作。

立即免费体验

LRP16 整合到 NF-κB 转录复合物中,并需要其功能激活。

LRP16 integrates into NF-κB transcriptional complex and is required for its functional activation.

机构信息

Department of Molecular Biology, Institute of Basic Medicine, Chinese PLA General Hospital, Beijing, China.

出版信息

PLoS One. 2011 Mar 31;6(3):e18157. doi: 10.1371/journal.pone.0018157.

DOI:10.1371/journal.pone.0018157
PMID:21483817
原文链接:https://pmc.ncbi.nlm.nih.gov/articles/PMC3069058/
Abstract

BACKGROUND

Nuclear factor κB (NF-κB)-mediated pathways have been widely implicated in cell survival, development and tumor progression. Although the molecular events of determining NF-κB translocation from cytoplasm to nucleus have been extensively documented, the regulatory mechanisms of NF-κB activity inside the nucleus are still poorly understood. Being a special member of macro domain proteins, LRP16 was previously identified as a coactivator of both estrogen receptor and androgen receptor, and as an interactor of NF-κB coactivator UXT. Here, we investigated the regulatory role of LRP16 on NF-κB activation.

METHODOLOGY

GST pull-down and coimmunoprecipitation (CoIP) assays assessed protein-protein interactions. The functional activity of NF-κB was assessed by luciferase assays, changes in expression of its target genes, and its DNA binding ability. Annexin V staining and flow cytometry analysis were used to evaluate cell apoptosis. Immunohistochemical staining of LRP16 and enzyme-linked immunosorbent assay-based evaluation of active NF-κB were performed on primary human gastric carcinoma samples.

RESULTS

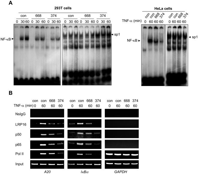
We demonstrate that LRP16 integrates into NF-κB transcriptional complex through associating with its p65 component. RNA interference knockdown of the endogenous LRP16 in cells leads to impaired NF-κB activity and significantly attenuated NF-κB-dependent gene expression. Mechanistic analysis revealed that knockdown of LRP16 did not affect tumor necrosis factor α (TNF-α)-induced nuclear translocation of NF-κB, but blunted the formation or stabilization of functional NF-κB/p300/CREB-binding protein transcription complex in the nucleus. In addition, knockdown of LRP16 also sensitizes cells to apoptosis induced by TNF-α. Finally, a positive link between LRP16 expression intensity in nuclei of tumor cells and NF-κB activity was preliminarily established in human gastric carcinoma specimens.

CONCLUSIONS

Our findings not only indicate that LRP16 is a crucial regulator for NF-κB activation inside the nucleus, but also suggest that LRP16 may be an important contributor to the aberrant activation of NF-κB in tumors.

摘要

背景

核因子 κB(NF-κB)介导的途径已广泛涉及细胞存活、发育和肿瘤进展。尽管已经广泛记录了确定 NF-κB 从细胞质向核内易位的分子事件,但 NF-κB 活性在核内的调节机制仍知之甚少。LRP16 作为宏结构域蛋白的特殊成员,先前被鉴定为雌激素受体和雄激素受体的共激活子,也是 NF-κB 共激活子 UXT 的相互作用蛋白。在这里,我们研究了 LRP16 对 NF-κB 激活的调节作用。

方法

GST 下拉和免疫共沉淀(CoIP)测定评估蛋白质-蛋白质相互作用。通过荧光素酶测定、其靶基因表达的变化以及其 DNA 结合能力评估 NF-κB 的功能活性。使用 Annexin V 染色和流式细胞术分析评估细胞凋亡。对原发性人胃癌样本进行 LRP16 的免疫组织化学染色和基于酶联免疫吸附测定的活性 NF-κB 评估。

结果

我们证明 LRP16 通过与 p65 成分结合而整合到 NF-κB 转录复合物中。细胞内内源性 LRP16 的 RNA 干扰敲低导致 NF-κB 活性受损,并显著减弱 NF-κB 依赖性基因表达。机制分析表明,LRP16 敲低不影响 TNF-α 诱导的 NF-κB 核内易位,但削弱了功能性 NF-κB/p300/CREB 结合蛋白转录复合物在核内的形成或稳定。此外,LRP16 的敲低也使细胞对 TNF-α 诱导的凋亡敏感。最后,在人胃癌标本中初步建立了肿瘤细胞核内 LRP16 表达强度与 NF-κB 活性之间的正相关关系。

结论

我们的发现不仅表明 LRP16 是核内 NF-κB 激活的关键调节剂,还表明 LRP16 可能是肿瘤中 NF-κB 异常激活的重要贡献者。

https://cdn.ncbi.nlm.nih.gov/pmc/blobs/6fd9/3069058/8b4394f98b2a/pone.0018157.g008.jpg
https://cdn.ncbi.nlm.nih.gov/pmc/blobs/6fd9/3069058/2de0993346fc/pone.0018157.g001.jpg
https://cdn.ncbi.nlm.nih.gov/pmc/blobs/6fd9/3069058/d9914aacabe3/pone.0018157.g002.jpg
https://cdn.ncbi.nlm.nih.gov/pmc/blobs/6fd9/3069058/0e355df50089/pone.0018157.g003.jpg
https://cdn.ncbi.nlm.nih.gov/pmc/blobs/6fd9/3069058/1d80c781ca11/pone.0018157.g004.jpg
https://cdn.ncbi.nlm.nih.gov/pmc/blobs/6fd9/3069058/d341e7ddb9a8/pone.0018157.g005.jpg
https://cdn.ncbi.nlm.nih.gov/pmc/blobs/6fd9/3069058/5bd1521f819a/pone.0018157.g006.jpg
https://cdn.ncbi.nlm.nih.gov/pmc/blobs/6fd9/3069058/4a9ce004eeda/pone.0018157.g007.jpg
https://cdn.ncbi.nlm.nih.gov/pmc/blobs/6fd9/3069058/8b4394f98b2a/pone.0018157.g008.jpg
https://cdn.ncbi.nlm.nih.gov/pmc/blobs/6fd9/3069058/2de0993346fc/pone.0018157.g001.jpg
https://cdn.ncbi.nlm.nih.gov/pmc/blobs/6fd9/3069058/d9914aacabe3/pone.0018157.g002.jpg
https://cdn.ncbi.nlm.nih.gov/pmc/blobs/6fd9/3069058/0e355df50089/pone.0018157.g003.jpg
https://cdn.ncbi.nlm.nih.gov/pmc/blobs/6fd9/3069058/1d80c781ca11/pone.0018157.g004.jpg
https://cdn.ncbi.nlm.nih.gov/pmc/blobs/6fd9/3069058/d341e7ddb9a8/pone.0018157.g005.jpg
https://cdn.ncbi.nlm.nih.gov/pmc/blobs/6fd9/3069058/5bd1521f819a/pone.0018157.g006.jpg
https://cdn.ncbi.nlm.nih.gov/pmc/blobs/6fd9/3069058/4a9ce004eeda/pone.0018157.g007.jpg
https://cdn.ncbi.nlm.nih.gov/pmc/blobs/6fd9/3069058/8b4394f98b2a/pone.0018157.g008.jpg

相似文献

1
LRP16 integrates into NF-κB transcriptional complex and is required for its functional activation.LRP16 整合到 NF-κB 转录复合物中,并需要其功能激活。
PLoS One. 2011 Mar 31;6(3):e18157. doi: 10.1371/journal.pone.0018157.
2
Keratin 18 attenuates estrogen receptor alpha-mediated signaling by sequestering LRP16 in cytoplasm.角蛋白18通过将LRP16隔离在细胞质中减弱雌激素受体α介导的信号传导。
BMC Cell Biol. 2009 Dec 26;10:96. doi: 10.1186/1471-2121-10-96.
3
Centrosomal P4.1-associated protein is a new member of transcriptional coactivators for nuclear factor-kappaB.中心体P4.1相关蛋白是核因子-κB转录共激活因子的新成员。
J Biol Chem. 2005 Apr 1;280(13):12430-7. doi: 10.1074/jbc.M410420200. Epub 2005 Jan 31.
4
Protein kinase Cdelta activates RelA/p65 and nuclear factor-kappaB signaling in response to tumor necrosis factor-alpha.蛋白激酶Cδ响应肿瘤坏死因子-α激活RelA/p65和核因子-κB信号通路。
Cancer Res. 2009 Jul 15;69(14):5927-35. doi: 10.1158/0008-5472.CAN-08-4786. Epub 2009 Jun 23.
5
Suppression of constitutive and tumor necrosis factor alpha-induced nuclear factor (NF)-kappaB activation and induction of apoptosis by apigenin in human prostate carcinoma PC-3 cells: correlation with down-regulation of NF-kappaB-responsive genes.芹菜素对人前列腺癌PC-3细胞中组成型及肿瘤坏死因子α诱导的核因子(NF)-κB激活的抑制作用及凋亡诱导:与NF-κB反应性基因下调的相关性
Clin Cancer Res. 2004 May 1;10(9):3169-78. doi: 10.1158/1078-0432.ccr-03-0586.
6
Blockade of the LRP16-PKR-NF-κB signaling axis sensitizes colorectal carcinoma cells to DNA-damaging cytotoxic therapy.阻断LRP16-PKR-NF-κB信号轴可使结肠癌细胞对DNA损伤性细胞毒性疗法敏感。
Elife. 2017 Aug 18;6:e27301. doi: 10.7554/eLife.27301.
7
Insufficient p65 phosphorylation at S536 specifically contributes to the lack of NF-kappaB activation and transformation in resistant JB6 cells.在抗性JB6细胞中,S536位点的p65磷酸化不足是导致NF-κB激活缺失和细胞转化受阻的特异性原因。
Carcinogenesis. 2004 Oct;25(10):1991-2003. doi: 10.1093/carcin/bgh198. Epub 2004 Jun 10.
8
Krüppel-associated box-associated protein 1 negatively regulates TNF-α-induced NF-κB transcriptional activity by influencing the interactions among STAT3, p300, and NF-κB/p65.Krüppel 相关盒子相关蛋白 1 通过影响 STAT3、p300 和 NF-κB/p65 之间的相互作用,负调控 TNF-α 诱导的 NF-κB 转录活性。
J Immunol. 2011 Sep 1;187(5):2476-83. doi: 10.4049/jimmunol.1003243. Epub 2011 Aug 1.
9
UXT is a novel and essential cofactor in the NF-kappaB transcriptional enhanceosome.UXT是核因子κB转录增强体中的一种新型必需辅助因子。
J Cell Biol. 2007 Jul 16;178(2):231-44. doi: 10.1083/jcb.200611081. Epub 2007 Jul 9.
10
The EZH1-SUZ12 complex positively regulates the transcription of NF-κB target genes through interaction with UXT.EZH1 - SUZ12复合物通过与UXT相互作用正向调节NF-κB靶基因的转录。
J Cell Sci. 2016 Jun 15;129(12):2343-53. doi: 10.1242/jcs.185546. Epub 2016 Apr 28.

引用本文的文献

1
ADP-ribose hydrolases: biological functions and potential therapeutic targets.ADP-核糖水解酶:生物学功能与潜在治疗靶点。
Expert Rev Mol Med. 2024 Oct 8;26:e21. doi: 10.1017/erm.2024.17.
2
UXT at the crossroads of cell death, immunity and neurodegenerative diseases.UXT处于细胞死亡、免疫和神经退行性疾病的交叉点。
Front Oncol. 2023 Apr 19;13:1179947. doi: 10.3389/fonc.2023.1179947. eCollection 2023.
3
Screening of key biomarkers of tendinopathy based on bioinformatics and machine learning algorithms.基于生物信息学和机器学习算法的腱病关键生物标志物筛选。

本文引用的文献

1
Clinicopathological significance and prognostic value of leukemia-related protein 16 expression in invasive ductal breast carcinoma.白血病相关蛋白 16 在浸润性导管乳腺癌中的临床病理意义及预后价值。
Cancer Sci. 2010 Oct;101(10):2262-8. doi: 10.1111/j.1349-7006.2010.01658.x. Epub 2010 Jul 22.
2
Clinicopathological significance and prognostic value of LRP16 expression in colorectal carcinoma.LRP16 在结直肠癌中的表达的临床病理意义及预后价值。
World J Gastroenterol. 2010 Apr 7;16(13):1644-8. doi: 10.3748/wjg.v16.i13.1644.
3
Positive cross-talk between estrogen receptor and NF-kappaB in breast cancer.
PLoS One. 2021 Oct 29;16(10):e0259475. doi: 10.1371/journal.pone.0259475. eCollection 2021.
4
Behavioural Characterisation of and Knockout Mice.行为特征分析及基因敲除小鼠模型。
Cells. 2021 Feb 10;10(2):368. doi: 10.3390/cells10020368.
5
The macrodomain family: Rethinking an ancient domain from evolutionary perspectives.巨结构域家族:从进化角度重新审视一个古老的结构域
Chin Sci Bull. 2013;58(9):953-960. doi: 10.1007/s11434-013-5674-9. Epub 2013 Mar 14.
6
The Controversial Roles of ADP-Ribosyl Hydrolases MACROD1, MACROD2 and TARG1 in Carcinogenesis.ADP核糖水解酶MACROD1、MACROD2和TARG1在肿瘤发生中的争议性作用
Cancers (Basel). 2020 Mar 5;12(3):604. doi: 10.3390/cancers12030604.
7
(ADP-ribosyl)hydrolases: structure, function, and biology.(ADP-核糖基)水解酶:结构、功能和生物学。
Genes Dev. 2020 Mar 1;34(5-6):263-284. doi: 10.1101/gad.334631.119. Epub 2020 Feb 6.
8
ADP-ribosylation signalling and human disease.ADP-ribosylation 信号转导与人类疾病
Open Biol. 2019 Apr 26;9(4):190041. doi: 10.1098/rsob.190041.
9
LRP16 prevents hepatocellular carcinoma progression through regulation of Wnt/β-catenin signaling.LRP16 通过调控 Wnt/β-catenin 信号通路抑制肝癌进展。
J Mol Med (Berl). 2018 Jun;96(6):547-558. doi: 10.1007/s00109-018-1639-4. Epub 2018 May 11.
10
Leukemia-related protein 16 (LRP16) promotes tumor growth and metastasis in pancreatic cancer.白血病相关蛋白16(LRP16)促进胰腺癌的肿瘤生长和转移。
Onco Targets Ther. 2018 Mar 5;11:1215-1222. doi: 10.2147/OTT.S157914. eCollection 2018.
雌激素受体与核因子-κB在乳腺癌中的正向相互作用。
Cancer Res. 2009 Dec 1;69(23):8918-25. doi: 10.1158/0008-5472.CAN-09-2608. Epub 2009 Nov 17.
4
Clinicopathological significance of LRP16 protein in 336 gastric carcinoma patients.LRP16 蛋白在 336 例胃癌患者中的临床病理意义。
World J Gastroenterol. 2009 Oct 14;15(38):4833-7. doi: 10.3748/wjg.15.4833.
5
A macrodomain-containing histone rearranges chromatin upon sensing PARP1 activation.一种含宏结构域的组蛋白在感知PARP1激活后会重新排列染色质。
Nat Struct Mol Biol. 2009 Sep;16(9):923-9. doi: 10.1038/nsmb.1664. Epub 2009 Aug 13.
6
Poly(ADP-ribose)-dependent regulation of DNA repair by the chromatin remodeling enzyme ALC1.染色质重塑酶ALC1对DNA修复的聚(ADP-核糖)依赖性调控。
Science. 2009 Sep 4;325(5945):1240-3. doi: 10.1126/science.1177321. Epub 2009 Aug 6.
7
FHL2 interacts with and acts as a functional repressor of Id2 in human neuroblastoma cells.在人类神经母细胞瘤细胞中,FHL2与Id2相互作用并作为其功能性阻遏物发挥作用。
Nucleic Acids Res. 2009 Jul;37(12):3996-4009. doi: 10.1093/nar/gkp332. Epub 2009 May 5.
8
Differential induction of LRP16 by liganded and unliganded estrogen receptor alpha in SKOV3 ovarian carcinoma cells.在SKOV3卵巢癌细胞中,配体结合型和非配体结合型雌激素受体α对LRP16的差异诱导作用。
J Endocrinol. 2009 Jul;202(1):167-77. doi: 10.1677/JOE-09-0054. Epub 2009 Apr 29.
9
The single-macro domain protein LRP16 is an essential cofactor of androgen receptor.单宏结构域蛋白LRP16是雄激素受体的一种重要辅助因子。
Endocr Relat Cancer. 2009 Mar;16(1):139-53. doi: 10.1677/ERC-08-0150. Epub 2008 Nov 20.
10
Differential activities of cellular and viral macro domain proteins in binding of ADP-ribose metabolites.细胞和病毒大结构域蛋白在结合ADP-核糖代谢物中的差异活性。
J Mol Biol. 2009 Jan 9;385(1):212-25. doi: 10.1016/j.jmb.2008.10.045. Epub 2008 Nov 1.