• 文献检索
  • 文档翻译
  • 深度研究
  • 学术资讯
  • Suppr Zotero 插件Zotero 插件
  • 邀请有礼
  • 套餐&价格
  • 历史记录
应用&插件
Suppr Zotero 插件Zotero 插件浏览器插件Mac 客户端Windows 客户端微信小程序
定价
高级版会员购买积分包购买API积分包
服务
文献检索文档翻译深度研究API 文档MCP 服务
关于我们
关于 Suppr公司介绍联系我们用户协议隐私条款
关注我们

Suppr 超能文献

核心技术专利:CN118964589B侵权必究
粤ICP备2023148730 号-1Suppr @ 2026

文献检索

告别复杂PubMed语法,用中文像聊天一样搜索,搜遍4000万医学文献。AI智能推荐,让科研检索更轻松。

立即免费搜索

文件翻译

保留排版,准确专业,支持PDF/Word/PPT等文件格式,支持 12+语言互译。

免费翻译文档

深度研究

AI帮你快速写综述,25分钟生成高质量综述,智能提取关键信息,辅助科研写作。

立即免费体验

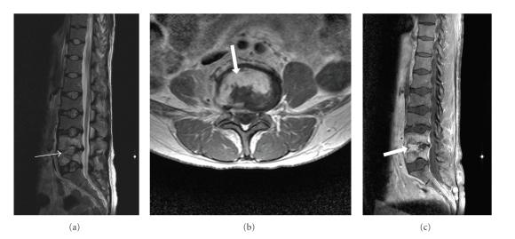
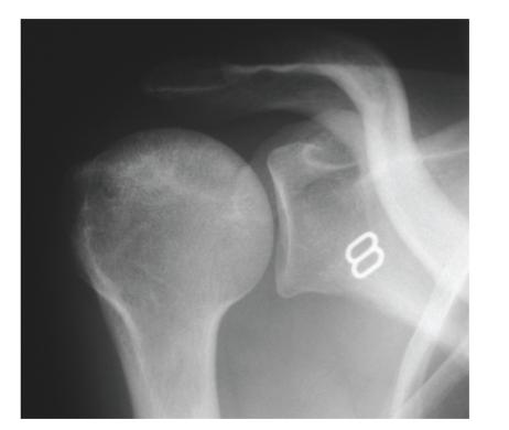
镰状细胞贫血的肌肉骨骼表现:图文综述

Musculoskeletal manifestations of sickle cell anaemia: a pictorial review.

作者信息

Ganguly A, Boswell W, Aniq H

机构信息

Department of Radiology, Royal Liverpool University Hospital, Prescot Street, Liverpool L7 8XP, UK.

出版信息

Anemia. 2011;2011:794283. doi: 10.1155/2011/794283. Epub 2011 Feb 6.

DOI:10.1155/2011/794283
PMID:21490766
原文链接:https://pmc.ncbi.nlm.nih.gov/articles/PMC3065899/
Abstract

Sickle cell anaemia is an autosomal recessive genetic condition producing abnormal haemoglobin HbS molecules that result in stiff and sticky red blood cells leading to unpredictable episodes of microvascular occlusions. The clinical and radiological manifestations of sickle cell anaemia result from small vessel occlusion, leading to tissue ischemia/infarction and progressive end-organ damage. In this paper we discuss and illustrate the various musculoskeletal manifestations of sickle cell disease focusing primarily on marrow hyperplasia, osteomyelitis and septic arthritis, medullary and epiphyseal bone infarcts, growth defects, and soft tissue changes.

摘要

镰状细胞贫血是一种常染色体隐性遗传疾病,会产生异常的血红蛋白HbS分子,导致红细胞僵硬且黏附性增强,从而引发不可预测的微血管闭塞发作。镰状细胞贫血的临床和放射学表现是由小血管闭塞引起的,会导致组织缺血/梗死以及终末器官的进行性损害。在本文中,我们将讨论并举例说明镰状细胞病的各种肌肉骨骼表现,主要聚焦于骨髓增生、骨髓炎和化脓性关节炎、骨髓和骨骺骨梗死、生长缺陷以及软组织变化。

https://cdn.ncbi.nlm.nih.gov/pmc/blobs/3d1e/3065899/cb2061ea4deb/ANE2011-794283.011.jpg
https://cdn.ncbi.nlm.nih.gov/pmc/blobs/3d1e/3065899/d134319eb8d3/ANE2011-794283.001.jpg
https://cdn.ncbi.nlm.nih.gov/pmc/blobs/3d1e/3065899/d2379f7927b6/ANE2011-794283.002.jpg
https://cdn.ncbi.nlm.nih.gov/pmc/blobs/3d1e/3065899/138d4ebde666/ANE2011-794283.003.jpg
https://cdn.ncbi.nlm.nih.gov/pmc/blobs/3d1e/3065899/903efbcafb30/ANE2011-794283.004.jpg
https://cdn.ncbi.nlm.nih.gov/pmc/blobs/3d1e/3065899/ccfe0827beaf/ANE2011-794283.005.jpg
https://cdn.ncbi.nlm.nih.gov/pmc/blobs/3d1e/3065899/49040ba98b72/ANE2011-794283.006.jpg
https://cdn.ncbi.nlm.nih.gov/pmc/blobs/3d1e/3065899/11eb9e6fd1d9/ANE2011-794283.007.jpg
https://cdn.ncbi.nlm.nih.gov/pmc/blobs/3d1e/3065899/4f6fe8e809db/ANE2011-794283.008.jpg
https://cdn.ncbi.nlm.nih.gov/pmc/blobs/3d1e/3065899/71999744630a/ANE2011-794283.009.jpg
https://cdn.ncbi.nlm.nih.gov/pmc/blobs/3d1e/3065899/e87de8d700a6/ANE2011-794283.010.jpg
https://cdn.ncbi.nlm.nih.gov/pmc/blobs/3d1e/3065899/cb2061ea4deb/ANE2011-794283.011.jpg
https://cdn.ncbi.nlm.nih.gov/pmc/blobs/3d1e/3065899/d134319eb8d3/ANE2011-794283.001.jpg
https://cdn.ncbi.nlm.nih.gov/pmc/blobs/3d1e/3065899/d2379f7927b6/ANE2011-794283.002.jpg
https://cdn.ncbi.nlm.nih.gov/pmc/blobs/3d1e/3065899/138d4ebde666/ANE2011-794283.003.jpg
https://cdn.ncbi.nlm.nih.gov/pmc/blobs/3d1e/3065899/903efbcafb30/ANE2011-794283.004.jpg
https://cdn.ncbi.nlm.nih.gov/pmc/blobs/3d1e/3065899/ccfe0827beaf/ANE2011-794283.005.jpg
https://cdn.ncbi.nlm.nih.gov/pmc/blobs/3d1e/3065899/49040ba98b72/ANE2011-794283.006.jpg
https://cdn.ncbi.nlm.nih.gov/pmc/blobs/3d1e/3065899/11eb9e6fd1d9/ANE2011-794283.007.jpg
https://cdn.ncbi.nlm.nih.gov/pmc/blobs/3d1e/3065899/4f6fe8e809db/ANE2011-794283.008.jpg
https://cdn.ncbi.nlm.nih.gov/pmc/blobs/3d1e/3065899/71999744630a/ANE2011-794283.009.jpg
https://cdn.ncbi.nlm.nih.gov/pmc/blobs/3d1e/3065899/e87de8d700a6/ANE2011-794283.010.jpg
https://cdn.ncbi.nlm.nih.gov/pmc/blobs/3d1e/3065899/cb2061ea4deb/ANE2011-794283.011.jpg

相似文献

1
Musculoskeletal manifestations of sickle cell anaemia: a pictorial review.镰状细胞贫血的肌肉骨骼表现:图文综述
Anemia. 2011;2011:794283. doi: 10.1155/2011/794283. Epub 2011 Feb 6.
2
Musculoskeletal complications among children with sickle cell admitted in university of Nigeria teaching hospital ituku - ozalla enugu: a 58 month review.尼日利亚大学教学医院伊图库-奥扎拉分校(埃努古)收治的镰状细胞病患儿的肌肉骨骼并发症:58个月回顾
Ann Med Health Sci Res. 2013 Oct;3(4):564-7. doi: 10.4103/2141-9248.122110.
3
Is MRI Necessary for Skeletal Evaluation in Sickle Cell Disease.磁共振成像对镰状细胞病骨骼评估是否必要?
J Clin Diagn Res. 2015 Jun;9(6):TC08-12. doi: 10.7860/JCDR/2015/12747.6095. Epub 2015 Jun 1.
4
[Musculoskeletal pain: a case of disease HbSC/alpha-thalassemia].[肌肉骨骼疼痛:一例HbSC/α地中海贫血病例]
Acta Med Port. 2011 May-Jun;24(3):467-74. Epub 2011 Aug 12.
5
Novel approaches to treatment of sickle cell anaemia.镰状细胞贫血的新型治疗方法。
Expert Opin Investig Drugs. 1999 Nov;8(11):1823-1836. doi: 10.1517/13543784.8.11.1823.
6
Musculoskeletal manifestations of sickle cell disease.镰状细胞病的肌肉骨骼表现
Radiographics. 2007 Jul-Aug;27(4):1005-21. doi: 10.1148/rg.274065142.
7
Musculoskeletal complications of sickle cell disease in Enugu, Nigeria.尼日利亚埃努古镰状细胞病的肌肉骨骼并发症
Niger J Med. 2011 Oct-Dec;20(4):456-61.
8
Bone marrow transplantation in sickle cell anaemia.镰状细胞贫血的骨髓移植
Blood Rev. 1993 Mar;7(1):1-3. doi: 10.1016/0268-960x(93)90017-x.
9
Acute bone crises in sickle cell disease: the T1 fat-saturated sequence in differentiation of acute bone infarcts from acute osteomyelitis.镰状细胞病中的急性骨危象:T1脂肪饱和序列在急性骨梗死与急性骨髓炎鉴别诊断中的应用
Clin Radiol. 2008 Jan;63(1):59-70. doi: 10.1016/j.crad.2007.07.017. Epub 2007 Oct 18.
10
Predictors of musculoskeletal manifestations in paediatric patients presenting with sickle cell disease at a tertiary teaching hospital in Lusaka, Zambia.赞比亚卢萨卡一家三级教学医院中患有镰状细胞病的儿科患者肌肉骨骼表现的预测因素。
Bone Jt Open. 2020 Jun 2;1(6):175-181. doi: 10.1302/2633-1462.16.BJO-2020-0013.R1. eCollection 2020 Jun.

引用本文的文献

1
Musculoskeletal manifestations of sickle cell disease: an imaging perspective.镰状细胞病的肌肉骨骼表现:影像学视角
Skeletal Radiol. 2025 Jun 21. doi: 10.1007/s00256-025-04975-6.
2
Radiological manifestation of avascular necrosis (AVN) in sickle cell disease (SCD): a review of diagnostic imaging.镰状细胞病(SCD)中缺血性坏死(AVN)的放射学表现:诊断影像学综述。
Acta Biomed. 2023 Jun 14;94(3):e2023177. doi: 10.23750/abm.v94i3.14714.
3
Clinical Vignettes, Part II: Eyes, Teeth, and Bone.临床病例(二):眼睛、牙齿和骨骼。

本文引用的文献

1
Musculoskeletal manifestations of sickle cell disease.镰状细胞病的肌肉骨骼表现
Radiographics. 2007 Jul-Aug;27(4):1005-21. doi: 10.1148/rg.274065142.
2
The radiological manifestations of sickle cell disease.镰状细胞病的放射学表现。
Clin Radiol. 2007 Jun;62(6):528-38. doi: 10.1016/j.crad.2007.01.006. Epub 2007 Mar 26.
3
Combined labeled leukocyte and technetium 99m sulfur colloid bone marrow imaging for diagnosing musculoskeletal infection.联合标记白细胞与锝99m硫胶体骨髓显像诊断肌肉骨骼感染
Hematol Oncol Clin North Am. 2022 Dec;36(6):1201-1215. doi: 10.1016/j.hoc.2022.08.010.
4
Lumbar spine MRI findings in asymptomatic elite male academy footballers: a case series.无症状精英男性学院足球运动员的腰椎MRI检查结果:病例系列
BMC Sports Sci Med Rehabil. 2022 Oct 24;14(1):184. doi: 10.1186/s13102-022-00576-1.
5
Axial Spondyloarthritis: Mimics and Pitfalls of Imaging Assessment.轴性脊柱关节炎:影像学评估的模仿者与陷阱
Front Med (Lausanne). 2021 Apr 22;8:658538. doi: 10.3389/fmed.2021.658538. eCollection 2021.
6
Rheumatic Manifestations of Haemoglobinopathies.血红蛋白病的风湿表现。
Curr Rheumatol Rep. 2018 Aug 14;20(10):61. doi: 10.1007/s11926-018-0768-7.
7
Imaging of musculoskeletal manifestations in sickle cell disease patients.镰状细胞病患者肌肉骨骼表现的影像学检查
Br J Radiol. 2017 May;90(1073):20160130. doi: 10.1259/bjr.20160130. Epub 2017 Mar 10.
8
Posterior mediastinal extramedullary hematopoiesis secondary to hypoxia.继发于缺氧的后纵隔髓外造血
Transl Med UniSa. 2016 May 16;14:1-4. eCollection 2016 May.
9
Contribution of Reduced Interleukin-10 Levels to the Pathogenesis of Osteomyelitis in Children with Sickle Cell Disease.白细胞介素-10水平降低对镰状细胞病患儿骨髓炎发病机制的影响
Clin Vaccine Immunol. 2015 Sep;22(9):1020-4. doi: 10.1128/CVI.00286-15. Epub 2015 Jul 1.
10
Hydroxyurea and growth in young children with sickle cell disease.羟基脲治疗镰状细胞病幼年患者的生长情况。
Pediatrics. 2014 Sep;134(3):465-72. doi: 10.1542/peds.2014-0917.
Radiographics. 2006 May-Jun;26(3):859-70. doi: 10.1148/rg.263055139.
4
Bone involvement in sickle cell disease.镰状细胞病中的骨骼受累情况。
Br J Haematol. 2005 May;129(4):482-90. doi: 10.1111/j.1365-2141.2005.05476.x.
5
Relative rates and features of musculoskeletal complications in adult sicklers.成年镰状细胞贫血患者肌肉骨骼并发症的相对发生率及特征
Acta Orthop Belg. 2004 Apr;70(2):107-11.
6
Sickle cell anemia.镰状细胞贫血
Radiographics. 2001 Jul-Aug;21(4):971-94. doi: 10.1148/radiographics.21.4.g01jl23971.
7
The diagnostic role of gadolinium enhanced MRI in distinguishing between acute medullary bone infarct and osteomyelitis.钆增强磁共振成像在鉴别急性骨髓骨梗死与骨髓炎中的诊断作用。
Magn Reson Imaging. 2000 Apr;18(3):255-62. doi: 10.1016/s0730-725x(99)00137-x.
8
Etiology of osteomyelitis complicating sickle cell disease.镰状细胞病并发骨髓炎的病因
Pediatrics. 1998 Feb;101(2):296-7. doi: 10.1542/peds.101.2.296.
9
Gadolinium-DOTA enhanced MRI of painful osseous crises in children with sickle cell anemia.钆-多胺增强磁共振成像在镰状细胞贫血患儿疼痛性骨危象中的应用
Pediatr Radiol. 1994;24(2):92-5. doi: 10.1007/BF02020160.
10
The hand-foot syndrome in sickle-cell haemoglobinopathy.镰状细胞血红蛋白病中的手足综合征。
J Bone Joint Surg Br. 1995 Mar;77(2):310-2.