• 文献检索
  • 文档翻译
  • 深度研究
  • 学术资讯
  • Suppr Zotero 插件Zotero 插件
  • 邀请有礼
  • 套餐&价格
  • 历史记录
应用&插件
Suppr Zotero 插件Zotero 插件浏览器插件Mac 客户端Windows 客户端微信小程序
定价
高级版会员购买积分包购买API积分包
服务
文献检索文档翻译深度研究API 文档MCP 服务
关于我们
关于 Suppr公司介绍联系我们用户协议隐私条款
关注我们

Suppr 超能文献

核心技术专利:CN118964589B侵权必究
粤ICP备2023148730 号-1Suppr @ 2026

文献检索

告别复杂PubMed语法,用中文像聊天一样搜索,搜遍4000万医学文献。AI智能推荐,让科研检索更轻松。

立即免费搜索

文件翻译

保留排版,准确专业,支持PDF/Word/PPT等文件格式,支持 12+语言互译。

免费翻译文档

深度研究

AI帮你快速写综述,25分钟生成高质量综述,智能提取关键信息,辅助科研写作。

立即免费体验

青石棉纤维引入后小鼠腹膜肉芽肿中石棉小体的形成及铁蓄积

Asbestos body formation and iron accumulation in mouse peritoneal granulomas after the introduction of crocidolite asbestos fibers.

作者信息

Koerten H K, Hazekamp J, Kroon M, Daems W T

机构信息

Laboratory for Electron Microscopy, University of Leiden, The Netherlands.

出版信息

Am J Pathol. 1990 Jan;136(1):141-57.

PMID:2153345
原文链接:https://pmc.ncbi.nlm.nih.gov/articles/PMC1877471/
Abstract

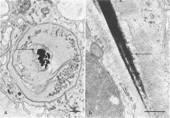
This report describes the cell biology of the development of asbestos bodies after a single intraperitoneal injection of a suspension of crocidolite asbestos fibers into the mouse peritoneal cavity. The majority of the infected fibers were found in aggregates of peritoneal macrophages, exudate cells, and fibrous tissue. These aggregates developed into granulomas containing not only numerous asbestos fibers, but also cells of various types, including macrophages, multinucleated giant cells, fibroblasts, plasma cells, granulocytes, and mast cells. Cytoplasmic ferritin was abundantly present in macrophages and giant cells. In addition, iron-rich inclusion bodies were detected. The results of this study show that asbestos body formation can occur outside the pleural cavity. Asbestos body formation occurred in the granulomas after periods of 1 month and longer. On the basis of morphologic criteria, various types of asbestos body were distinguished. X-ray microanalysis showed that variations in the density of the coat could attributed to the presence of chemical elements in various concentrations. Evidence is presented that asbestos body formation is an extracellular phenomenon.

摘要

本报告描述了将青石棉纤维悬浮液单次腹腔注射到小鼠腹腔后石棉小体形成的细胞生物学过程。大多数被感染的纤维存在于腹膜巨噬细胞、渗出细胞和纤维组织的聚集体中。这些聚集体发展成肉芽肿,其中不仅含有大量石棉纤维,还含有各种类型的细胞,包括巨噬细胞、多核巨细胞、成纤维细胞、浆细胞、粒细胞和肥大细胞。巨噬细胞和巨细胞的细胞质中大量存在铁蛋白。此外,还检测到富含铁的包涵体。本研究结果表明,石棉小体的形成可发生在胸腔外。石棉小体在1个月及更长时间后在肉芽肿中形成。根据形态学标准,区分了各种类型的石棉小体。X射线微分析表明,包被密度的变化可归因于不同浓度化学元素的存在。有证据表明石棉小体的形成是一种细胞外现象。

https://cdn.ncbi.nlm.nih.gov/pmc/blobs/40d8/1877471/d31a542f50cc/amjpathol00109-0158-a.jpg
https://cdn.ncbi.nlm.nih.gov/pmc/blobs/40d8/1877471/f1a2a5a62d88/amjpathol00109-0147-a.jpg
https://cdn.ncbi.nlm.nih.gov/pmc/blobs/40d8/1877471/2afa6ab26485/amjpathol00109-0148-a.jpg
https://cdn.ncbi.nlm.nih.gov/pmc/blobs/40d8/1877471/991527797e36/amjpathol00109-0148-b.jpg
https://cdn.ncbi.nlm.nih.gov/pmc/blobs/40d8/1877471/c1239aaa80d9/amjpathol00109-0149-a.jpg
https://cdn.ncbi.nlm.nih.gov/pmc/blobs/40d8/1877471/9eed6a09726b/amjpathol00109-0150-a.jpg
https://cdn.ncbi.nlm.nih.gov/pmc/blobs/40d8/1877471/6ef9d6d6aa50/amjpathol00109-0151-a.jpg
https://cdn.ncbi.nlm.nih.gov/pmc/blobs/40d8/1877471/938e738f8763/amjpathol00109-0152-a.jpg
https://cdn.ncbi.nlm.nih.gov/pmc/blobs/40d8/1877471/4adec2a08110/amjpathol00109-0153-a.jpg
https://cdn.ncbi.nlm.nih.gov/pmc/blobs/40d8/1877471/4c4a58f83d53/amjpathol00109-0154-a.jpg
https://cdn.ncbi.nlm.nih.gov/pmc/blobs/40d8/1877471/e038539157ed/amjpathol00109-0155-a.jpg
https://cdn.ncbi.nlm.nih.gov/pmc/blobs/40d8/1877471/c8958b522604/amjpathol00109-0156-a.jpg
https://cdn.ncbi.nlm.nih.gov/pmc/blobs/40d8/1877471/19a84863ffe4/amjpathol00109-0157-a.jpg
https://cdn.ncbi.nlm.nih.gov/pmc/blobs/40d8/1877471/d31a542f50cc/amjpathol00109-0158-a.jpg
https://cdn.ncbi.nlm.nih.gov/pmc/blobs/40d8/1877471/f1a2a5a62d88/amjpathol00109-0147-a.jpg
https://cdn.ncbi.nlm.nih.gov/pmc/blobs/40d8/1877471/2afa6ab26485/amjpathol00109-0148-a.jpg
https://cdn.ncbi.nlm.nih.gov/pmc/blobs/40d8/1877471/991527797e36/amjpathol00109-0148-b.jpg
https://cdn.ncbi.nlm.nih.gov/pmc/blobs/40d8/1877471/c1239aaa80d9/amjpathol00109-0149-a.jpg
https://cdn.ncbi.nlm.nih.gov/pmc/blobs/40d8/1877471/9eed6a09726b/amjpathol00109-0150-a.jpg
https://cdn.ncbi.nlm.nih.gov/pmc/blobs/40d8/1877471/6ef9d6d6aa50/amjpathol00109-0151-a.jpg
https://cdn.ncbi.nlm.nih.gov/pmc/blobs/40d8/1877471/938e738f8763/amjpathol00109-0152-a.jpg
https://cdn.ncbi.nlm.nih.gov/pmc/blobs/40d8/1877471/4adec2a08110/amjpathol00109-0153-a.jpg
https://cdn.ncbi.nlm.nih.gov/pmc/blobs/40d8/1877471/4c4a58f83d53/amjpathol00109-0154-a.jpg
https://cdn.ncbi.nlm.nih.gov/pmc/blobs/40d8/1877471/e038539157ed/amjpathol00109-0155-a.jpg
https://cdn.ncbi.nlm.nih.gov/pmc/blobs/40d8/1877471/c8958b522604/amjpathol00109-0156-a.jpg
https://cdn.ncbi.nlm.nih.gov/pmc/blobs/40d8/1877471/19a84863ffe4/amjpathol00109-0157-a.jpg
https://cdn.ncbi.nlm.nih.gov/pmc/blobs/40d8/1877471/d31a542f50cc/amjpathol00109-0158-a.jpg

相似文献

1
Asbestos body formation and iron accumulation in mouse peritoneal granulomas after the introduction of crocidolite asbestos fibers.青石棉纤维引入后小鼠腹膜肉芽肿中石棉小体的形成及铁蓄积
Am J Pathol. 1990 Jan;136(1):141-57.
2
The endocytosis of asbestos by mouse peritoneal macrophages and its long-term effect on iron accumulation and labyrinth formation.小鼠腹腔巨噬细胞对石棉的内吞作用及其对铁积累和迷路形成的长期影响。
Eur J Cell Biol. 1986 Mar;40(1):25-36.
3
The formation of asbestos bodies by mouse peritoneal macrophages. An in vitro study.小鼠腹腔巨噬细胞形成石棉小体的体外研究
Am J Pathol. 1990 Jul;137(1):121-34.
4
Cytotoxicity of long and short crocidolite asbestos fibers in vitro and in vivo.长、短青石棉纤维的体内外细胞毒性
Cancer Res. 1990 Aug 15;50(16):5153-63.
5
Identification of asbestos fibers within single cells.单细胞内石棉纤维的鉴定。
Lab Invest. 1986 Aug;55(2):177-85.
6
Mesothelial cell injury caused by pleural leukocytes from rats treated with intratracheal instillation of crocidolite asbestos or Corynebacterium parvum.经气管内滴注青石棉或微小棒状杆菌处理的大鼠的胸膜白细胞所引起的间皮细胞损伤。
Environ Res. 1994 Feb;64(2):181-91. doi: 10.1006/enrs.1994.1014.
7
Role of reactive oxygen metabolites in crocidolite asbestos toxicity to mouse macrophages.活性氧代谢产物在青石棉对小鼠巨噬细胞毒性中的作用。
Cancer Res. 1986 Nov;46(11):5558-66.
8
Acute injury and regeneration of the mesothelium in response to asbestos fibers.间皮对石棉纤维的急性损伤及再生
Am J Pathol. 1987 Sep;128(3):426-45.
9
[The effect of iron on peritoneal macrophage activity and sperm phagocytosis in rats].[铁对大鼠腹腔巨噬细胞活性及精子吞噬作用的影响]
Ann Acad Med Stetin. 2000;46:63-75.
10
Acute and chronic effects of intraperitoneal injection of two types of asbestos in rats with a study of the histopathogenesis and ultrastructure of resulting mesotheliomas.腹腔注射两种石棉对大鼠的急性和慢性影响以及对由此产生的间皮瘤的组织病理发生和超微结构的研究
Am J Pathol. 1973 Mar;70(3):291-313.

引用本文的文献

1
Amphibole asbestos as an environmental trigger for systemic autoimmune diseases.角闪石石棉作为系统性自身免疫性疾病的环境触发因素。
Autoimmun Rev. 2024 Jul-Aug;23(7-8):103603. doi: 10.1016/j.autrev.2024.103603. Epub 2024 Aug 20.
2
An investigation of the internal morphology of asbestos ferruginous bodies: constraining their role in the onset of malignant mesothelioma.研究铁石棉体内形态:探究其在恶性间皮瘤发病中的作用。
Part Fibre Toxicol. 2023 May 8;20(1):19. doi: 10.1186/s12989-023-00522-0.
3
Closing the knowledge gap on the composition of the asbestos bodies.

本文引用的文献

1
Scanning electron microscopic examination of human asbestos bodies.人体石棉小体的扫描电子显微镜检查
Cancer Lett. 1980 Apr;9(2):95-104. doi: 10.1016/0304-3835(80)90112-3.
2
Asbestos body phagocytosis by human free alveolar macrophages.
Cancer Lett. 1980 Apr;9(2):85-93. doi: 10.1016/0304-3835(80)90111-1.
3
Presence of asbestos bodies in organs other than the lung.
Chest. 1980 Feb;77(2):133-7. doi: 10.1378/chest.77.2.133.
4
填补石棉小体成分知识空白。
Environ Geochem Health. 2023 Jul;45(7):5039-5051. doi: 10.1007/s10653-023-01557-0. Epub 2023 Apr 14.
4
Nanoscale transformations of amphiboles within human alveolar epithelial cells.人肺泡上皮细胞内闪石的纳米级转变。
Sci Rep. 2022 Feb 2;12(1):1782. doi: 10.1038/s41598-022-05802-x.
5
Ferruginous bodies resolved by synchrotron XRF in a dog with peritoneal malignant mesothelioma.同步辐射 XRF 解析的患有腹膜恶性间皮瘤犬体内的含铁血黄素体。
Environ Sci Pollut Res Int. 2018 Dec;25(35):35707-35714. doi: 10.1007/s11356-018-3521-x. Epub 2018 Oct 24.
6
New insights on the biomineralisation process developing in human lungs around inhaled asbestos fibres.关于吸入石棉纤维后在人体肺部形成的生物矿化过程的新见解。
Sci Rep. 2017 Mar 23;7:44862. doi: 10.1038/srep44862.
7
Asbestos surface provides a niche for oxidative modification.石棉表面为氧化修饰提供了小生境。
Cancer Sci. 2011 Dec;102(12):2118-25. doi: 10.1111/j.1349-7006.2011.02087.x. Epub 2011 Sep 27.
8
Nonpulmonary outcomes of asbestos exposure.石棉暴露的非肺部后果。
J Toxicol Environ Health B Crit Rev. 2011;14(1-4):122-52. doi: 10.1080/10937404.2011.556048.
9
The formation of asbestos bodies by mouse peritoneal macrophages. An in vitro study.小鼠腹腔巨噬细胞形成石棉小体的体外研究
Am J Pathol. 1990 Jul;137(1):121-34.
Haemosiderin deposits in the human cornea.
人角膜中的含铁血黄素沉积。
J Submicrosc Cytol. 1981 Jul;13(3):455-64.
5
Characteristics of peritoneal macrophages induced by asbestos injection.石棉注射诱导的腹膜巨噬细胞的特征
Environ Res. 1982 Dec;29(2):414-24. doi: 10.1016/0013-9351(82)90042-1.
6
Interstitial accumulation of inhaled chrysotile asbestos fibers and consequent formation of microcalcifications.吸入的温石棉纤维的间质积聚及随后微钙化的形成。
Am J Pathol. 1982 Oct;109(1):107-14.
7
Asbestos bodies in a bile duct cancer after occupational exposure.职业暴露后胆管癌中的石棉小体。
Environ Res. 1983 Apr;30(2):270-80. doi: 10.1016/0013-9351(83)90213-x.
8
A method for extracting ferruginous bodies from sputum and pulmonary tissue.一种从痰液和肺组织中提取含铁小体的方法。
Am J Clin Pathol. 1972 Sep;58(3):250-4. doi: 10.1093/ajcp/58.3.250.
9
Structure and development of the asbestos body.石棉小体的结构与发育
Am J Pathol. 1969 Apr;55(1):79-107.
10
Glycogen, its chemistry and morphologic appearance in the electron microscope. I. A modified OsO 4 fixative which selectively contrasts glycogen.糖原,其化学性质及在电子显微镜下的形态学表现。I. 一种能选择性地使糖原产生反差的改良四氧化锇固定剂。
J Ultrastruct Res. 1973 Jan;42(1):29-50. doi: 10.1016/s0022-5320(73)80004-8.