Suppr超能文献

颈椎创伤后椎动脉损伤:一项使用计算机断层血管造影的前瞻性研究。

Vertebral artery injury after cervical spine trauma: A prospective study using computed tomographic angiography.

作者信息

Jang Jae-Won, Lee Jung-Kil, Hur Hyuk, Seo Bo-Ra, Lee Jae-Hyun, Kim Soo-Han

机构信息

Department of Neurosurgery, Chonnam National University Medical School and Research Institute of Medical Sciences, Gwangju, Republic of Korea.

出版信息

Surg Neurol Int. 2011 Mar 23;2:39. doi: 10.4103/2152-7806.78255.

Abstract

BACKGROUND

Although the vertebral artery injuries (VAI) associated with cervical spine trauma are usually clinically occult, they may cause fatal ischemic damage to the brain stem and cerebellum.

METHODS

We performed a prospective study using computed tomographic angiography (CTA) to determine the frequency of VAI associated with cervical spine injuries and investigate the clinical and radiological characteristics. Between January 2005 and August 2007, 99 consecutive patients with cervical spine fractures and/or dislocations were prospectively evaluated for patency of the VA, using the CTA, at the time of injury.

RESULTS

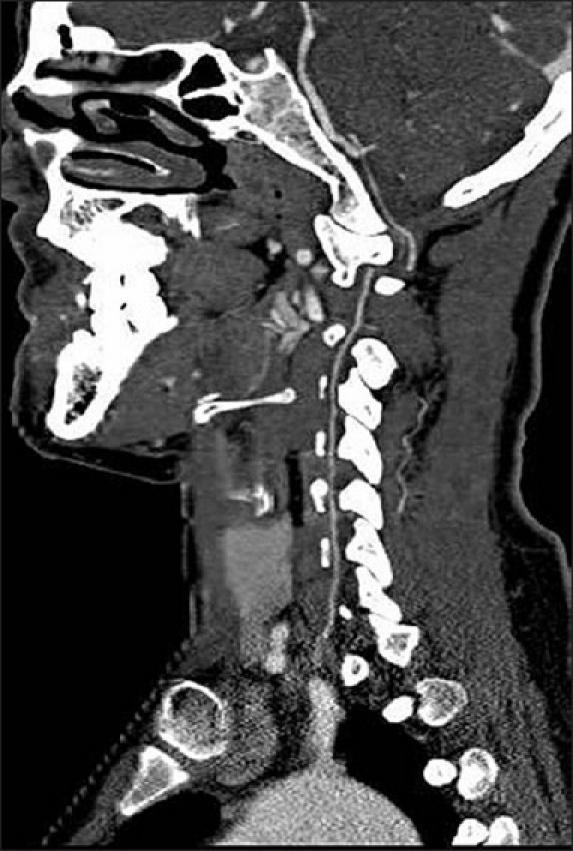
Complete disruption of blood flow through the VA was demonstrated in seven patients with unilateral occlusion (7.1%). There were four men and three women with a mean age of 43 (range, 33-55 years). Unilateral occlusion of the right vertebral artery occurred in four patients and of the left in three. Regarding the cervical injury type, two cases were cervical burst fractures (C6 and C7), two had C4-5 fracture/dislocations, two had a unilateral transverse foraminal fracture, and one had dens type III fracture. All patients presented with good patency of the contralateral VA. None of the patients developed secondary neurological deterioration due to vertebrobasilar ischemia during the follow-up period with a mean duration of 23 months.

CONCLUSIONS

VAI should be suspected in patients with cervical trauma that have cervical spine fractures and/or dislocations or transverse foramen fractures. CTA was useful as a rapid diagnostic method for ruling out VAI after cervical spine trauma.

摘要

背景

尽管与颈椎创伤相关的椎动脉损伤(VAI)在临床上通常隐匿,但它们可能导致脑干和小脑致命的缺血性损伤。

方法

我们进行了一项前瞻性研究,使用计算机断层血管造影(CTA)来确定与颈椎损伤相关的VAI的发生率,并研究其临床和放射学特征。在2005年1月至2007年8月期间,对99例连续的颈椎骨折和/或脱位患者在受伤时使用CTA对椎动脉的通畅情况进行前瞻性评估。

结果

7例单侧闭塞患者(7.1%)显示椎动脉血流完全中断。有4名男性和3名女性,平均年龄43岁(范围33 - 55岁)。右侧椎动脉单侧闭塞4例,左侧3例。关于颈椎损伤类型,2例为颈椎爆裂骨折(C6和C7),2例为C4 - 5骨折/脱位,2例为单侧横突孔骨折,1例为齿状突III型骨折。所有患者对侧椎动脉均通畅良好。在平均为期23个月的随访期间,没有患者因椎基底动脉缺血而出现继发性神经功能恶化。

结论

对于有颈椎骨折和/或脱位或横突孔骨折的颈椎创伤患者应怀疑有VAI。CTA作为排除颈椎创伤后VAI的快速诊断方法很有用。

https://cdn.ncbi.nlm.nih.gov/pmc/blobs/8377/3086173/614d06befb13/SNI-2-39-g003.jpg

文献检索

告别复杂PubMed语法,用中文像聊天一样搜索,搜遍4000万医学文献。AI智能推荐,让科研检索更轻松。

立即免费搜索

文件翻译

保留排版,准确专业,支持PDF/Word/PPT等文件格式,支持 12+语言互译。

免费翻译文档

深度研究

AI帮你快速写综述,25分钟生成高质量综述,智能提取关键信息,辅助科研写作。

立即免费体验