• 文献检索
  • 文档翻译
  • 深度研究
  • 学术资讯
  • Suppr Zotero 插件Zotero 插件
  • 邀请有礼
  • 套餐&价格
  • 历史记录
应用&插件
Suppr Zotero 插件Zotero 插件浏览器插件Mac 客户端Windows 客户端微信小程序
定价
高级版会员购买积分包购买API积分包
服务
文献检索文档翻译深度研究API 文档MCP 服务
关于我们
关于 Suppr公司介绍联系我们用户协议隐私条款
关注我们

Suppr 超能文献

核心技术专利:CN118964589B侵权必究
粤ICP备2023148730 号-1Suppr @ 2026

文献检索

告别复杂PubMed语法,用中文像聊天一样搜索,搜遍4000万医学文献。AI智能推荐,让科研检索更轻松。

立即免费搜索

文件翻译

保留排版,准确专业,支持PDF/Word/PPT等文件格式,支持 12+语言互译。

免费翻译文档

深度研究

AI帮你快速写综述,25分钟生成高质量综述,智能提取关键信息,辅助科研写作。

立即免费体验

PTB 结构域导向的底物靶向在单细胞领鞭毛虫 Monosiga brevicollis 的酪氨酸激酶中。

PTB domain-directed substrate targeting in a tyrosine kinase from the unicellular choanoflagellate Monosiga brevicollis.

机构信息

Department of Physiology and Biophysics, School of Medicine, Stony Brook University, Stony Brook, New York, United States of America.

出版信息

PLoS One. 2011 Apr 26;6(4):e19296. doi: 10.1371/journal.pone.0019296.

DOI:10.1371/journal.pone.0019296
PMID:21541291
原文链接:https://pmc.ncbi.nlm.nih.gov/articles/PMC3082566/
Abstract

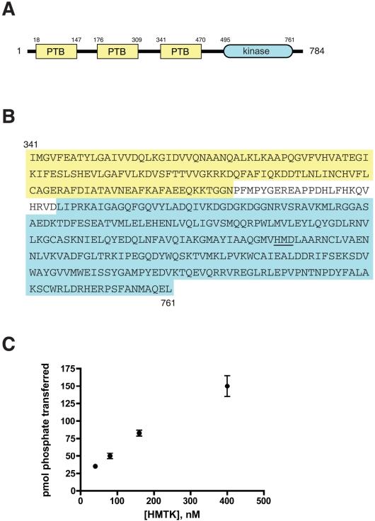
Choanoflagellates are considered to be the closest living unicellular relatives of metazoans. The genome of the choanoflagellate Monosiga brevicollis contains a surprisingly high number and diversity of tyrosine kinases, tyrosine phosphatases, and phosphotyrosine-binding domains. Many of the tyrosine kinases possess combinations of domains that have not been observed in any multicellular organism. The role of these protein interaction domains in M. brevicollis kinase signaling is not clear. Here, we have carried out a biochemical characterization of Monosiga HMTK1, a protein containing a putative PTB domain linked to a tyrosine kinase catalytic domain. We cloned, expressed, and purified HMTK1, and we demonstrated that it possesses tyrosine kinase activity. We used immobilized peptide arrays to define a preferred ligand for the third PTB domain of HMTK1. Peptide sequences containing this ligand sequence are phosphorylated efficiently by recombinant HMTK1, suggesting that the PTB domain of HMTK1 has a role in substrate recognition analogous to the SH2 and SH3 domains of mammalian Src family kinases. We suggest that the substrate recruitment function of the noncatalytic domains of tyrosine kinases arose before their roles in autoinhibition.

摘要

领鞭毛虫被认为是后生动物最接近的活体单细胞亲属。领鞭毛虫 Monosiga brevicollis 的基因组包含数量惊人且多样化的酪氨酰激酶、酪氨酰磷酸酶和磷酸酪氨酸结合域。许多酪氨酰激酶具有在任何多细胞生物中都未观察到的结构域组合。这些蛋白相互作用域在 M. brevicollis 激酶信号传导中的作用尚不清楚。在这里,我们对含有推定的 PTB 结构域与酪氨酰激酶催化结构域相连的 Monosiga HMTK1 蛋白进行了生化表征。我们克隆、表达和纯化了 HMTK1,并证明它具有酪氨酰激酶活性。我们使用固定化肽阵列来定义 HMTK1 的第三个 PTB 结构域的首选配体。包含该配体序列的肽序列被重组 HMTK1 有效磷酸化,这表明 HMTK1 的 PTB 结构域在底物识别中具有类似于哺乳动物 Src 家族激酶的 SH2 和 SH3 结构域的作用。我们认为,酪氨酸激酶的非催化结构域的底物募集功能先于其在自身抑制中的作用而出现。

https://cdn.ncbi.nlm.nih.gov/pmc/blobs/ba32/3082566/8d5a9a56fb70/pone.0019296.g005.jpg
https://cdn.ncbi.nlm.nih.gov/pmc/blobs/ba32/3082566/0f9dc6813716/pone.0019296.g001.jpg
https://cdn.ncbi.nlm.nih.gov/pmc/blobs/ba32/3082566/acae9a7c13d8/pone.0019296.g002.jpg
https://cdn.ncbi.nlm.nih.gov/pmc/blobs/ba32/3082566/2008e3000598/pone.0019296.g003.jpg
https://cdn.ncbi.nlm.nih.gov/pmc/blobs/ba32/3082566/af6d6c9b600c/pone.0019296.g004.jpg
https://cdn.ncbi.nlm.nih.gov/pmc/blobs/ba32/3082566/8d5a9a56fb70/pone.0019296.g005.jpg
https://cdn.ncbi.nlm.nih.gov/pmc/blobs/ba32/3082566/0f9dc6813716/pone.0019296.g001.jpg
https://cdn.ncbi.nlm.nih.gov/pmc/blobs/ba32/3082566/acae9a7c13d8/pone.0019296.g002.jpg
https://cdn.ncbi.nlm.nih.gov/pmc/blobs/ba32/3082566/2008e3000598/pone.0019296.g003.jpg
https://cdn.ncbi.nlm.nih.gov/pmc/blobs/ba32/3082566/af6d6c9b600c/pone.0019296.g004.jpg
https://cdn.ncbi.nlm.nih.gov/pmc/blobs/ba32/3082566/8d5a9a56fb70/pone.0019296.g005.jpg

相似文献

1
PTB domain-directed substrate targeting in a tyrosine kinase from the unicellular choanoflagellate Monosiga brevicollis.PTB 结构域导向的底物靶向在单细胞领鞭毛虫 Monosiga brevicollis 的酪氨酸激酶中。
PLoS One. 2011 Apr 26;6(4):e19296. doi: 10.1371/journal.pone.0019296.
2
Molecular cloning and characterization of a tyrosine phosphatase from Monosiga brevicollis.来自短颈单鞭金藻的一种酪氨酸磷酸酶的分子克隆与特性分析
Biochem Biophys Res Commun. 2014 Oct 31;453(4):761-6. doi: 10.1016/j.bbrc.2014.10.019. Epub 2014 Oct 13.
3
Evidence for convergent evolution in the signaling properties of a choanoflagellate tyrosine kinase.领鞭毛虫酪氨酸激酶信号特性中趋同进化的证据。
Biochemistry. 2009 Jun 16;48(23):5180-6. doi: 10.1021/bi9000672.
4
Crystal structure of the kinase domain of a receptor tyrosine kinase from a choanoflagellate, Monosiga brevicollis.海绵动物动吻动物门小眼虫属受体酪氨酸激酶激酶结构域的晶体结构。
PLoS One. 2023 Jun 13;18(6):e0276413. doi: 10.1371/journal.pone.0276413. eCollection 2023.
5
Metazoan-like signaling in a unicellular receptor tyrosine kinase.单细胞受体酪氨酸激酶中的后生动物样信号转导
BMC Biochem. 2013 Feb 12;14:4. doi: 10.1186/1471-2091-14-4.
6
Signaling properties of a non-metazoan Src kinase and the evolutionary history of Src negative regulation.一种非后生动物Src激酶的信号传导特性及Src负调控的进化史。
J Biol Chem. 2008 May 30;283(22):15491-501. doi: 10.1074/jbc.M800002200. Epub 2008 Apr 4.
7
Constitutive Activity in an Ancestral Form of Abl Tyrosine Kinase.Abl酪氨酸激酶原始形式中的组成性活性。
PLoS One. 2015 Jun 19;10(6):e0131062. doi: 10.1371/journal.pone.0131062. eCollection 2015.
8
The predicted secretomes of Monosiga brevicollis and Capsaspora owczarzaki, close unicellular relatives of metazoans, reveal new insights into the evolution of the metazoan extracellular matrix.作为后生动物近亲的短颈单鞭滴虫和奥氏扁孢霉的预测分泌蛋白组,为后生动物细胞外基质的进化提供了新见解。
Matrix Biol. 2014 Jul;37:60-8. doi: 10.1016/j.matbio.2014.02.002. Epub 2014 Feb 21.
9
Domain Analysis and Motif Matcher (DAMM): A Program to Predict Selectivity Determinants in PDZ Domains Using Human PDZ Data.域分析和基序匹配器(DAMM):一个使用人类 PDZ 数据预测 PDZ 结构域选择性决定因素的程序。
Molecules. 2021 Oct 5;26(19):6034. doi: 10.3390/molecules26196034.
10
Biochemical properties of the Cdc42-associated tyrosine kinase ACK1. Substrate specificity, authphosphorylation, and interaction with Hck.Cdc42相关酪氨酸激酶ACK1的生化特性。底物特异性、自身磷酸化以及与Hck的相互作用。
J Biol Chem. 2003 Nov 28;278(48):47713-23. doi: 10.1074/jbc.M306716200. Epub 2003 Sep 22.

引用本文的文献

1
Effects and mechanisms of Eps8 on the biological behaviour of malignant tumours (Review).Eps8 对恶性肿瘤生物学行为的影响及其作用机制(综述)。
Oncol Rep. 2021 Mar;45(3):824-834. doi: 10.3892/or.2021.7927. Epub 2021 Jan 7.
2
Phosphotyrosine signalling and the origin of animal multicellularity.磷酸酪氨酸信号传导与动物多细胞性的起源
Proc Biol Sci. 2017 Aug 16;284(1860). doi: 10.1098/rspb.2017.0681.
3
Kinome profiling.激酶组分析

本文引用的文献

1
Phosphotyrosine signaling: evolving a new cellular communication system.磷酸化酪氨酸信号转导:进化中的新型细胞通讯系统。
Cell. 2010 Sep 3;142(5):661-7. doi: 10.1016/j.cell.2010.08.023.
2
Evidence for convergent evolution in the signaling properties of a choanoflagellate tyrosine kinase.领鞭毛虫酪氨酸激酶信号特性中趋同进化的证据。
Biochemistry. 2009 Jun 16;48(23):5180-6. doi: 10.1021/bi9000672.
3
Kinome signaling through regulated protein-protein interactions in normal and cancer cells.在正常细胞和癌细胞中,通过调控蛋白质-蛋白质相互作用实现激酶组信号传导。
Scientifica (Cairo). 2012;2012:306798. doi: 10.6064/2012/306798. Epub 2012 Aug 7.
4
Phosphotyrosine recognition domains: the typical, the atypical and the versatile.磷酸酪氨酸识别结构域:典型的、非典型的和多功能的。
Cell Commun Signal. 2012 Nov 7;10(1):32. doi: 10.1186/1478-811X-10-32.
5
Tyrosine kinase signaling and the emergence of multicellularity.酪氨酸激酶信号传导与多细胞性的出现。
Biochim Biophys Acta. 2012 Jun;1823(6):1053-7. doi: 10.1016/j.bbamcr.2012.03.009. Epub 2012 Mar 27.
Curr Opin Cell Biol. 2009 Apr;21(2):147-53. doi: 10.1016/j.ceb.2009.02.005. Epub 2009 Mar 18.
4
The evolutionarily conserved arrangement of domains in SRC family kinases is important for substrate recognition.SRC家族激酶中结构域的进化保守排列对于底物识别很重要。
Biochemistry. 2008 Oct 14;47(41):10871-80. doi: 10.1021/bi800930e. Epub 2008 Sep 20.
5
The protist, Monosiga brevicollis, has a tyrosine kinase signaling network more elaborate and diverse than found in any known metazoan.原生生物短柄单歧藻拥有一个比任何已知后生动物中发现的酪氨酸激酶信号网络更为精细和多样的网络。
Proc Natl Acad Sci U S A. 2008 Jul 15;105(28):9674-9. doi: 10.1073/pnas.0801314105. Epub 2008 Jul 10.
6
Evolution of the phospho-tyrosine signaling machinery in premetazoan lineages.前寒武纪谱系中磷酸化酪氨酸信号传导机制的演化。
Proc Natl Acad Sci U S A. 2008 Jul 15;105(28):9680-4. doi: 10.1073/pnas.0803161105. Epub 2008 Jul 3.
7
Signaling properties of a non-metazoan Src kinase and the evolutionary history of Src negative regulation.一种非后生动物Src激酶的信号传导特性及Src负调控的进化史。
J Biol Chem. 2008 May 30;283(22):15491-501. doi: 10.1074/jbc.M800002200. Epub 2008 Apr 4.
8
The genome of the choanoflagellate Monosiga brevicollis and the origin of metazoans.领鞭毛虫短颈单孢子虫的基因组与后生动物的起源。
Nature. 2008 Feb 14;451(7180):783-8. doi: 10.1038/nature06617.
9
Mechanisms of specificity in protein phosphorylation.蛋白质磷酸化的特异性机制。
Nat Rev Mol Cell Biol. 2007 Jul;8(7):530-41. doi: 10.1038/nrm2203.
10
Screening for PTB domain binding partners and ligand specificity using proteome-derived NPXY peptide arrays.使用蛋白质组衍生的NPXY肽阵列筛选PTB结构域结合伴侣和配体特异性。
Mol Cell Biol. 2006 Nov;26(22):8461-74. doi: 10.1128/MCB.01491-06. Epub 2006 Sep 18.