• 文献检索
  • 文档翻译
  • 深度研究
  • 学术资讯
  • Suppr Zotero 插件Zotero 插件
  • 邀请有礼
  • 套餐&价格
  • 历史记录
应用&插件
Suppr Zotero 插件Zotero 插件浏览器插件Mac 客户端Windows 客户端微信小程序
定价
高级版会员购买积分包购买API积分包
服务
文献检索文档翻译深度研究API 文档MCP 服务
关于我们
关于 Suppr公司介绍联系我们用户协议隐私条款
关注我们

Suppr 超能文献

核心技术专利:CN118964589B侵权必究
粤ICP备2023148730 号-1Suppr @ 2026

文献检索

告别复杂PubMed语法,用中文像聊天一样搜索,搜遍4000万医学文献。AI智能推荐,让科研检索更轻松。

立即免费搜索

文件翻译

保留排版,准确专业,支持PDF/Word/PPT等文件格式,支持 12+语言互译。

免费翻译文档

深度研究

AI帮你快速写综述,25分钟生成高质量综述,智能提取关键信息,辅助科研写作。

立即免费体验

鉴定 HERV-K(HML-2)元件重组 gag 多蛋白中的蛋白酶切割位点。

Identification of the protease cleavage sites in a reconstituted Gag polyprotein of an HERV-K(HML-2) element.

机构信息

Center for HIV and Retrovirology, Robert Koch Institute, Nordufer 20, 13353 Berlin, Germany.

出版信息

Retrovirology. 2011 May 9;8:30. doi: 10.1186/1742-4690-8-30.

DOI:10.1186/1742-4690-8-30
PMID:21554716
原文链接:https://pmc.ncbi.nlm.nih.gov/articles/PMC3114732/
Abstract

BACKGROUND

The human genome harbors several largely preserved HERV-K(HML-2) elements. Although this retroviral family comes closest of all known HERVs to producing replication competent virions, mutations acquired during their chromosomal residence have rendered them incapable of expressing infectious particles. This also holds true for the HERV-K113 element that has conserved open reading frames (ORFs) for all its proteins in addition to a functional LTR promoter. Uncertainty concerning the localization and impact of post-insertional mutations has greatly hampered the functional characterization of these ancient retroviruses and their proteins. However, analogous to other betaretroviruses, it is known that HERV-K(HML-2) virions undergo a maturation process during or shortly after release from the host cell. During this process, the subdomains of the Gag polyproteins are released by proteolytic cleavage, although the nature of the mature HERV-K(HML-2) Gag proteins and the exact position of the cleavage sites have until now remained unknown.

RESULTS

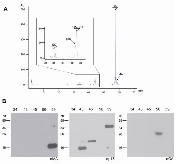
By aligning the amino acid sequences encoded by the gag-pro-pol ORFs of HERV-K113 with the corresponding segments from 10 other well-preserved human specific elements we identified non-synonymous post-insertional mutations that have occurred in this region of the provirus. Reversion of these mutations and a partial codon optimization facilitated the large-scale production of maturation-competent HERV-K113 virus-like particles (VLPs). The Gag subdomains of purified mature VLPs were separated by reversed-phase high-pressure liquid chromatography and initially characterized using specific antibodies. Cleavage sites were identified by mass spectrometry and N-terminal sequencing and confirmed by mutagenesis. Our results indicate that the gag gene product Pr74Gag of HERV-K(HML-2) is processed to yield p15-MA (matrix), SP1 (spacer peptide of 14 amino acids), p15, p27-CA (capsid), p10-NC (nucleocapsid) and two C-terminally encoded glutamine- and proline-rich peptides, QP1 and QP2, spanning 23 and 19 amino acids, respectively.

CONCLUSIONS

Expression of reconstituted sequences of original HERV elements is an important tool for studying fundamental aspects of the biology of these ancient viruses. The analysis of HERV-K(HML-2) Gag processing and the nature of the mature Gag proteins presented here will facilitate further studies of the discrete functions of these proteins and of their potential impact on the human host.

摘要

背景

人类基因组中存在多个高度保存的 HERV-K(HML-2) 元件。虽然这个逆转录病毒家族是所有已知 HERV 中最接近产生复制能力病毒颗粒的,但它们在染色体上的位置获得的突变使其无法表达感染性颗粒。这同样适用于 HERV-K113 元件,它除了具有功能性 LTR 启动子外,还具有所有蛋白质的保守开放阅读框 (ORF)。由于对这些古老逆转录病毒及其蛋白质的插入后突变的定位和影响存在不确定性,极大地阻碍了它们的功能特征研究。然而,与其他贝塔逆转录病毒类似,已知 HERV-K(HML-2) 病毒粒子在从宿主细胞释放期间或之后不久会经历成熟过程。在此过程中,Gag 多蛋白的亚结构域通过蛋白水解切割释放出来,尽管成熟的 HERV-K(HML-2) Gag 蛋白的性质和切割位点的确切位置迄今仍不得而知。

结果

通过将 HERV-K113 的 gag-pro-pol ORF 编码的氨基酸序列与其他 10 个保存完好的人类特异性元件的相应片段进行比对,我们在该前病毒区域鉴定出非同义插入后突变。这些突变的回复和部分密码子优化促进了成熟能力的 HERV-K113 病毒样颗粒 (VLPs) 的大规模生产。纯化成熟 VLPs 的 Gag 亚结构域通过反相高压液相色谱分离,并使用特异性抗体进行初步表征。通过质谱和 N 端测序鉴定切割位点,并通过突变进行验证。我们的结果表明,HERV-K(HML-2) 的 gag 基因产物 Pr74Gag 被加工生成 p15-MA(基质)、SP1(14 个氨基酸的间隔肽)、p15、p27-CA(衣壳)、p10-NC(核衣壳)和两个 C 末端编码的富含谷氨酰胺和脯氨酸的肽,QP1 和 QP2,分别跨越 23 和 19 个氨基酸。

结论

原始 HERV 元件重组序列的表达是研究这些古老病毒生物学基本方面的重要工具。这里对 HERV-K(HML-2) Gag 加工和成熟 Gag 蛋白性质的分析将促进对这些蛋白的离散功能及其对人类宿主的潜在影响的进一步研究。

https://cdn.ncbi.nlm.nih.gov/pmc/blobs/d658/3114732/3a425b580641/1742-4690-8-30-7.jpg
https://cdn.ncbi.nlm.nih.gov/pmc/blobs/d658/3114732/4276a448047c/1742-4690-8-30-1.jpg
https://cdn.ncbi.nlm.nih.gov/pmc/blobs/d658/3114732/ec3ead214c22/1742-4690-8-30-2.jpg
https://cdn.ncbi.nlm.nih.gov/pmc/blobs/d658/3114732/616a5d4302ab/1742-4690-8-30-3.jpg
https://cdn.ncbi.nlm.nih.gov/pmc/blobs/d658/3114732/d7e346ccf2d5/1742-4690-8-30-4.jpg
https://cdn.ncbi.nlm.nih.gov/pmc/blobs/d658/3114732/9c1cb06073e4/1742-4690-8-30-5.jpg
https://cdn.ncbi.nlm.nih.gov/pmc/blobs/d658/3114732/0e19f51a669d/1742-4690-8-30-6.jpg
https://cdn.ncbi.nlm.nih.gov/pmc/blobs/d658/3114732/3a425b580641/1742-4690-8-30-7.jpg
https://cdn.ncbi.nlm.nih.gov/pmc/blobs/d658/3114732/4276a448047c/1742-4690-8-30-1.jpg
https://cdn.ncbi.nlm.nih.gov/pmc/blobs/d658/3114732/ec3ead214c22/1742-4690-8-30-2.jpg
https://cdn.ncbi.nlm.nih.gov/pmc/blobs/d658/3114732/616a5d4302ab/1742-4690-8-30-3.jpg
https://cdn.ncbi.nlm.nih.gov/pmc/blobs/d658/3114732/d7e346ccf2d5/1742-4690-8-30-4.jpg
https://cdn.ncbi.nlm.nih.gov/pmc/blobs/d658/3114732/9c1cb06073e4/1742-4690-8-30-5.jpg
https://cdn.ncbi.nlm.nih.gov/pmc/blobs/d658/3114732/0e19f51a669d/1742-4690-8-30-6.jpg
https://cdn.ncbi.nlm.nih.gov/pmc/blobs/d658/3114732/3a425b580641/1742-4690-8-30-7.jpg

相似文献

1
Identification of the protease cleavage sites in a reconstituted Gag polyprotein of an HERV-K(HML-2) element.鉴定 HERV-K(HML-2)元件重组 gag 多蛋白中的蛋白酶切割位点。
Retrovirology. 2011 May 9;8:30. doi: 10.1186/1742-4690-8-30.
2
Characterization of the human endogenous retrovirus K Gag protein: identification of protease cleavage sites.鉴定人内源性逆转录病毒 K gag 蛋白的特性:鉴定蛋白酶切割位点。
Retrovirology. 2011 Mar 23;8:21. doi: 10.1186/1742-4690-8-21.
3
Anti-HERV-K (HML-2) capsid antibody responses in HIV elite controllers.抗人类内源性逆转录病毒 K(HML-2)衣壳抗体反应在 HIV 精英控制者中。
Retrovirology. 2017 Aug 22;14(1):41. doi: 10.1186/s12977-017-0365-2.
4
A single amino acid substitution in a segment of the CA protein within Gag that has similarity to human immunodeficiency virus type 1 blocks infectivity of a human endogenous retrovirus K provirus in the human genome.在Gag蛋白中一段与1型人类免疫缺陷病毒具有相似性的CA蛋白片段内的单个氨基酸替换,会阻断人类基因组中一种人类内源性逆转录病毒K前病毒的感染性。
J Virol. 2009 Jan;83(2):1105-14. doi: 10.1128/JVI.01439-08. Epub 2008 Nov 12.
5
HERV-K-specific T cells eliminate diverse HIV-1/2 and SIV primary isolates.人类内源性逆转录病毒-K 特异性 T 细胞可清除多种 HIV-1/2 和 SIV 原发性分离株。
J Clin Invest. 2012 Dec;122(12):4473-89. doi: 10.1172/JCI64560. Epub 2012 Nov 12.
6
Human endogenous retrovirus family HERV-K(HML-2) RNA transcripts are selectively packaged into retroviral particles produced by the human germ cell tumor line Tera-1 and originate mainly from a provirus on chromosome 22q11.21.人类内源性逆转录病毒家族HERV-K(HML-2)的RNA转录本被选择性地包装到由人类生殖细胞肿瘤细胞系Tera-1产生的逆转录病毒颗粒中,并且主要起源于22号染色体q11.21上的一个前病毒。
J Virol. 2008 Oct;82(20):10008-16. doi: 10.1128/JVI.01016-08. Epub 2008 Aug 6.
7
Molecular cloning and functional characterization of the human endogenous retrovirus K113.人类内源性逆转录病毒K113的分子克隆与功能特性分析
Virology. 2008 Feb 5;371(1):216-25. doi: 10.1016/j.virol.2007.09.036.
8
HIV-1 Infection of Primary CD4 T Cells Regulates the Expression of Specific Human Endogenous Retrovirus HERV-K (HML-2) Elements.原发性CD4 T细胞的HIV-1感染调节特定人类内源性逆转录病毒HERV-K(HML-2)元件的表达。
J Virol. 2017 Dec 14;92(1). doi: 10.1128/JVI.01507-17. Print 2018 Jan 1.
9
The human endogenous retrovirus family HERV-K(HML-3).人类内源性逆转录病毒家族HERV-K(HML-3)。
Genomics. 2002 Sep;80(3):331-43. doi: 10.1006/geno.2002.6839.
10
Molecular mechanisms by which HERV-K Gag interferes with HIV-1 Gag assembly and particle infectivity.内源性逆转录病毒-K(HERV-K)的Gag蛋白干扰HIV-1 Gag组装及病毒颗粒感染性的分子机制。
Retrovirology. 2017 Apr 26;14(1):27. doi: 10.1186/s12977-017-0351-8.

引用本文的文献

1
Human endogenous retroviruses and exogenous viral infections.人类内源性逆转录病毒和外源性病毒感染。
Front Cell Infect Microbiol. 2024 Sep 27;14:1439292. doi: 10.3389/fcimb.2024.1439292. eCollection 2024.
2
Antibodies against endogenous retroviruses.针对内源性逆转录病毒的抗体。
Immunol Rev. 2024 Nov;328(1):300-313. doi: 10.1111/imr.13378. Epub 2024 Aug 17.
3
Molecular architecture and conservation of an immature human endogenous retrovirus.不成熟的人类内源性逆转录病毒的分子结构和保守性。

本文引用的文献

1
Characterization of the human endogenous retrovirus K Gag protein: identification of protease cleavage sites.鉴定人内源性逆转录病毒 K gag 蛋白的特性:鉴定蛋白酶切割位点。
Retrovirology. 2011 Mar 23;8:21. doi: 10.1186/1742-4690-8-21.
2
Melanoma, Darwinian medicine and the inner world.黑色素瘤、达尔文医学与内心世界。
J Cancer Res Clin Oncol. 2010 Dec;136(12):1787-94. doi: 10.1007/s00432-010-0949-x. Epub 2010 Sep 18.
3
The noncanonical Gag domains p8 and n are critical for assembly and release of mouse mammary tumor virus.
Nat Commun. 2023 Aug 24;14(1):5149. doi: 10.1038/s41467-023-40786-w.
4
Molecular architecture and conservation of an immature human endogenous retrovirus.未成熟人类内源性逆转录病毒的分子结构与保守性
bioRxiv. 2023 Jun 7:2023.06.07.544027. doi: 10.1101/2023.06.07.544027.
5
Detection and Characterisation of an Endogenous Betaretrovirus in Australian Wild Deer.在澳大利亚野生鹿中检测和表征一种内源性β逆转录病毒。
Viruses. 2022 Jan 27;14(2):252. doi: 10.3390/v14020252.
6
Ancient Adversary - HERV-K (HML-2) in Cancer.古老的对手——癌症中的内源性逆转录病毒K(HML-2)
Front Oncol. 2021 May 13;11:658489. doi: 10.3389/fonc.2021.658489. eCollection 2021.
7
Human endogenous retroviruses in cancer: Expression, regulation and function.癌症中的人类内源性逆转录病毒:表达、调控与功能。
Oncol Lett. 2021 Feb;21(2):121. doi: 10.3892/ol.2020.12382. Epub 2020 Dec 17.
8
A human endogenous retrovirus encoded protease potentially cleaves numerous cellular proteins.一种人类内源性逆转录病毒编码的蛋白酶可能会切割多种细胞蛋白。
Mob DNA. 2019 Aug 22;10:36. doi: 10.1186/s13100-019-0178-z. eCollection 2019.
9
Human endogenous retrovirus-K (HML-2): a comprehensive review.人类内源性逆转录病毒-K(HML-2):全面综述。
Crit Rev Microbiol. 2018 Nov;44(6):715-738. doi: 10.1080/1040841X.2018.1501345. Epub 2018 Oct 14.
10
Molecular mechanisms by which HERV-K Gag interferes with HIV-1 Gag assembly and particle infectivity.内源性逆转录病毒-K(HERV-K)的Gag蛋白干扰HIV-1 Gag组装及病毒颗粒感染性的分子机制。
Retrovirology. 2017 Apr 26;14(1):27. doi: 10.1186/s12977-017-0351-8.
非规范的 Gag 结构域 p8 和 n 对于鼠乳腺瘤病毒的组装和释放至关重要。
J Virol. 2010 Nov;84(21):11555-9. doi: 10.1128/JVI.00652-10. Epub 2010 Aug 25.
4
Potential mechanisms of endogenous retroviral-mediated genomic instability in human cancer.内源性逆转录病毒介导的人类癌症中基因组不稳定性的潜在机制。
Semin Cancer Biol. 2010 Aug;20(4):246-53. doi: 10.1016/j.semcancer.2010.05.005. Epub 2010 May 26.
5
A role for human endogenous retrovirus-K (HML-2) in rheumatoid arthritis: investigating mechanisms of pathogenesis.人类内源性逆转录病毒-K(HML-2)在类风湿关节炎中的作用:发病机制的研究。
Clin Exp Immunol. 2010 Jun;160(3):340-7. doi: 10.1111/j.1365-2249.2010.04110.x. Epub 2010 Mar 16.
6
Human endogenous retrovirus protein Rec interacts with the testicular zinc-finger protein and androgen receptor.人内源性逆转录病毒蛋白 Rec 与睾丸锌指蛋白和雄激素受体相互作用。
J Gen Virol. 2010 Jun;91(Pt 6):1494-502. doi: 10.1099/vir.0.014241-0. Epub 2010 Feb 10.
7
The prevalence of human endogenous retroviruses in cerebrospinal fluids from patients with sporadic Creutzfeldt-Jakob disease.散发性克雅氏病患者脑脊液中人内源性逆转录病毒的流行情况。
J Clin Virol. 2010 Feb;47(2):136-42. doi: 10.1016/j.jcv.2009.11.016. Epub 2009 Dec 11.
8
Reconstitution of the ancestral glycoprotein of human endogenous retrovirus k and modulation of its functional activity by truncation of the cytoplasmic domain.人类内源性逆转录病毒K祖先糖蛋白的重组及其胞质结构域截短对其功能活性的调节
J Virol. 2009 Dec;83(24):12790-800. doi: 10.1128/JVI.01368-09. Epub 2009 Oct 7.
9
Beneficial and detrimental effects of human endogenous retroviruses.人类内源性逆转录病毒的有益和有害影响。
Int J Cancer. 2010 Jan 15;126(2):306-14. doi: 10.1002/ijc.24902.
10
Cross-sectional dating of novel haplotypes of HERV-K 113 and HERV-K 115 indicate these proviruses originated in Africa before Homo sapiens.对人类内源性逆转录病毒K113和K115新单倍型的横断面年代测定表明,这些前病毒在智人出现之前起源于非洲。
Mol Biol Evol. 2009 Nov;26(11):2617-26. doi: 10.1093/molbev/msp180. Epub 2009 Aug 10.