• 文献检索
  • 文档翻译
  • 深度研究
  • 学术资讯
  • Suppr Zotero 插件Zotero 插件
  • 邀请有礼
  • 套餐&价格
  • 历史记录
应用&插件
Suppr Zotero 插件Zotero 插件浏览器插件Mac 客户端Windows 客户端微信小程序
定价
高级版会员购买积分包购买API积分包
服务
文献检索文档翻译深度研究API 文档MCP 服务
关于我们
关于 Suppr公司介绍联系我们用户协议隐私条款
关注我们

Suppr 超能文献

核心技术专利:CN118964589B侵权必究
粤ICP备2023148730 号-1Suppr @ 2026

文献检索

告别复杂PubMed语法,用中文像聊天一样搜索,搜遍4000万医学文献。AI智能推荐,让科研检索更轻松。

立即免费搜索

文件翻译

保留排版,准确专业,支持PDF/Word/PPT等文件格式,支持 12+语言互译。

免费翻译文档

深度研究

AI帮你快速写综述,25分钟生成高质量综述,智能提取关键信息,辅助科研写作。

立即免费体验

右冠状动脉经皮介入治疗期间对瓦氏窦冠状窦的广泛解剖——病例报告及文献综述

Extensive dissection to the coronary sinus of valsalva during percutaneous intervention in right coronary artery-a case report and literature review.

作者信息

Li Li, Cao Yunshan

机构信息

Department of Cardiovascular Medicine, People's Hospital of Gansu Province, Lanzhou 730000, P.R. China.

出版信息

Clin Med Insights Cardiol. 2011 Apr 12;5:41-4. doi: 10.4137/CMC.S6447.

DOI:10.4137/CMC.S6447
PMID:21573038
原文链接:https://pmc.ncbi.nlm.nih.gov/articles/PMC3091417/
Abstract

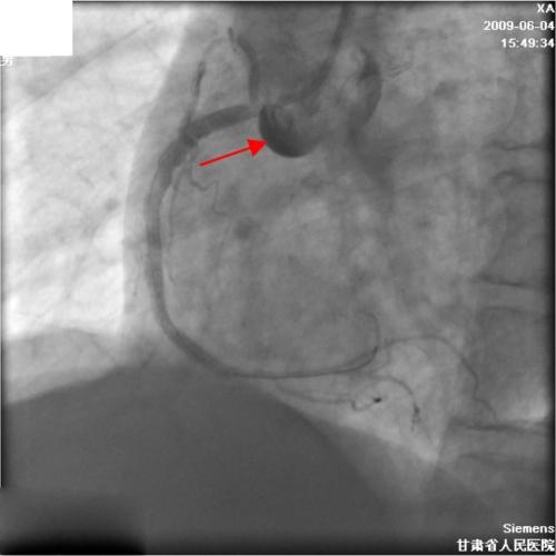
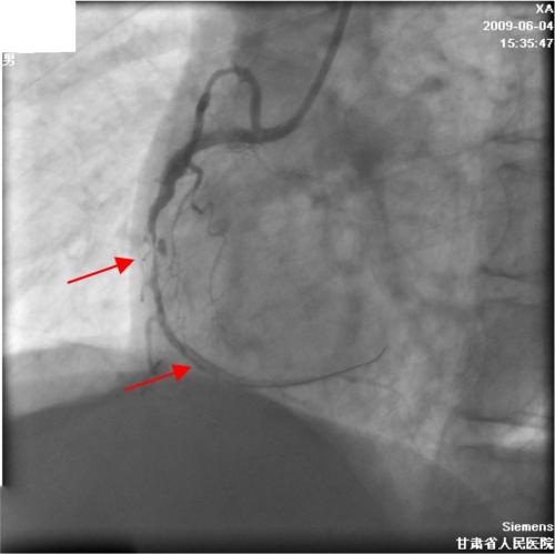
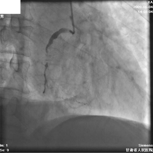
Severe retrograde dissection extending into the sinus of Valsalva is a rare complication during percutaneous coronary intervention (PCI), but life threatening. There is some literature about this complication, but this particular complication has not been previously reported in China. We present a case of coronary artery dissection during a PCI in which progressively extended retrogradely into the sinus of valsalva, and was successfully treated with stenting without an operation.

摘要

严重的逆行性夹层扩展至主动脉瓣窦是经皮冠状动脉介入治疗(PCI)期间罕见但危及生命的并发症。关于这一并发症有一些文献报道,但在中国此前尚未报道过这种特殊的并发症。我们报告一例PCI期间冠状动脉夹层病例,该夹层逐渐逆行扩展至主动脉瓣窦,并成功通过支架置入治疗,未进行手术。

https://cdn.ncbi.nlm.nih.gov/pmc/blobs/781b/3091417/3893e0d3bb22/cmc-2011-041f4.jpg
https://cdn.ncbi.nlm.nih.gov/pmc/blobs/781b/3091417/1e7aad6ec7b1/cmc-2011-041f1.jpg
https://cdn.ncbi.nlm.nih.gov/pmc/blobs/781b/3091417/ac772097e35b/cmc-2011-041f2.jpg
https://cdn.ncbi.nlm.nih.gov/pmc/blobs/781b/3091417/571eb51dd0e8/cmc-2011-041f3.jpg
https://cdn.ncbi.nlm.nih.gov/pmc/blobs/781b/3091417/3893e0d3bb22/cmc-2011-041f4.jpg
https://cdn.ncbi.nlm.nih.gov/pmc/blobs/781b/3091417/1e7aad6ec7b1/cmc-2011-041f1.jpg
https://cdn.ncbi.nlm.nih.gov/pmc/blobs/781b/3091417/ac772097e35b/cmc-2011-041f2.jpg
https://cdn.ncbi.nlm.nih.gov/pmc/blobs/781b/3091417/571eb51dd0e8/cmc-2011-041f3.jpg
https://cdn.ncbi.nlm.nih.gov/pmc/blobs/781b/3091417/3893e0d3bb22/cmc-2011-041f4.jpg

相似文献

1
Extensive dissection to the coronary sinus of valsalva during percutaneous intervention in right coronary artery-a case report and literature review.右冠状动脉经皮介入治疗期间对瓦氏窦冠状窦的广泛解剖——病例报告及文献综述
Clin Med Insights Cardiol. 2011 Apr 12;5:41-4. doi: 10.4137/CMC.S6447.
2
Delayed rupture of the right sinus of valsalva into the right atrium after percutaneous coronary intervention.经皮冠状动脉介入治疗后右房室窦瘤破入右心房并延迟破裂。
Korean J Intern Med. 2009 Dec;24(4):388-92. doi: 10.3904/kjim.2009.24.4.388. Epub 2009 Nov 27.
3
Right coronary artery perforation extending to the coronary sinus of Valsalva during percutaneous intervention successfully sealed with polytetrafluoroethylene-covered stent: a case report.经皮介入治疗期间右冠状动脉穿孔延伸至主动脉窦的冠状窦,使用聚四氟乙烯覆膜支架成功封堵:一例病例报告
BMC Res Notes. 2017 Oct 30;10(1):537. doi: 10.1186/s13104-017-2867-3.
4
Catheter-induced aortocoronary dissection at the ostium of anomalous left coronary artery during percutaneous coronary intervention for acute inferior myocardial infarction.急性下壁心肌梗死经皮冠状动脉介入治疗期间,在异常左冠状动脉开口处发生导管诱导的主动脉冠状动脉夹层。
J Cardiol Cases. 2017 Nov 13;17(3):73-76. doi: 10.1016/j.jccase.2017.10.001. eCollection 2018 Mar.
5
Extensive dissection to the right sinus of Valsalva in coronary angioplasty: case report.
Chang Gung Med J. 2000 May;23(5):296-302.
6
Rotational Atherectomy in a Dissected Coronary Artery That Propagated Into the Sinus of Valsalva: Is This the Last Hope?旋磨术应用于已蔓延至主动脉瓣窦的冠状动脉夹层:这是最后的希望吗?
Rev Cardiovasc Med. 2016;17(3-4):137-139. doi: 10.3909/ricm0819.
7
Localized dissection of the sinus of valsalva without coronary artery involvement during percutaneous coronary intervention.经皮冠状动脉介入治疗期间无冠状动脉受累的主动脉瓣窦局限性剥离术。
Int Heart J. 2005 Mar;46(2):323-6. doi: 10.1536/ihj.46.323.
8
Spontaneous Aortic Dissection Limited to the Sinus of Valsalva: Report of Two Cases.局限于主动脉窦的自发性主动脉夹层:两例报告
J Tehran Heart Cent. 2016 Jan 13;11(1):34-7.
9
Iatrogenic dissection of the anomalous-origin right coronary artery and left sinus of Valsalva.医源性右冠状动脉异常起源及主动脉左窦夹层
J Invasive Cardiol. 2011 Mar;23(3):E51-3.
10
Pseudoaneurysm of the non-coronary sinus of Valsalva: A rare complication of percutaneous coronary intervention.瓦氏窦非冠状动脉窦假性动脉瘤:经皮冠状动脉介入治疗的罕见并发症。
Catheter Cardiovasc Interv. 2020 May 1;95(6):1124-1128. doi: 10.1002/ccd.28407. Epub 2019 Jul 18.

引用本文的文献

1
Computerized Tomography is an Effective Modality to Evaluate Iatrogenic Aortocoronary Dissection with Acute Myocardial Infarction.计算机断层扫描是评估医源性主动脉冠状动脉夹层伴急性心肌梗死的有效方式。
Korean Circ J. 2019 Apr;49(4):363-365. doi: 10.4070/kcj.2018.0284.
2
Misdiagnosed coronary artery disease-acute aortic syndrome: A case report.误诊为冠心病的急性主动脉综合征:一例报告
Chin J Traumatol. 2018 Aug;21(4):243-245. doi: 10.1016/j.cjtee.2018.02.006. Epub 2018 Jun 28.
3
Right coronary artery perforation extending to the coronary sinus of Valsalva during percutaneous intervention successfully sealed with polytetrafluoroethylene-covered stent: a case report.

本文引用的文献

1
Simultaneous right and left coronary occlusion caused by an extensive dissection to the coronary sinus of Valsalva during percutaneous intervention in right coronary artery.经皮右冠状动脉介入治疗期间,因广泛累及瓦尔萨尔瓦窦(Valsalva窦)的冠状动脉夹层导致左右冠状动脉同时闭塞。
Int Heart J. 2009 Sep;50(5):663-7. doi: 10.1536/ihj.50.663.
2
Dissection of the right coronary ostium and sinus of Valsalva during right coronary artery angioplasty.右冠状动脉血管成形术期间对右冠状动脉开口和主动脉窦进行解剖。
J Invasive Cardiol. 2008 Sep;20(9):E277-80.
3
Percutaneous treatment of severe retrograde dissection of the circumflex artery involving left main stem and extending into the sinus of Valsalva.
经皮介入治疗期间右冠状动脉穿孔延伸至主动脉窦的冠状窦,使用聚四氟乙烯覆膜支架成功封堵:一例病例报告
BMC Res Notes. 2017 Oct 30;10(1):537. doi: 10.1186/s13104-017-2867-3.
4
Spontaneous Aortic Dissection Limited to the Sinus of Valsalva: Report of Two Cases.局限于主动脉窦的自发性主动脉夹层:两例报告
J Tehran Heart Cent. 2016 Jan 13;11(1):34-7.
经皮治疗累及左主干并延伸至主动脉瓣窦的回旋支严重逆行夹层。
Int J Cardiol. 2008 Nov 28;130(3):494-6. doi: 10.1016/j.ijcard.2007.05.109. Epub 2007 Aug 15.
4
Spontaneous aortic dissection limited to sinus of Valsalva and involving the left main coronary artery.局限于主动脉瓣窦并累及左冠状动脉主干的自发性主动脉夹层。
Int J Cardiovasc Imaging. 2007 Aug;23(4):455-8. doi: 10.1007/s10554-006-9164-x. Epub 2006 Oct 5.
5
Successful treatment by percutaneous stent deployment of severe retrograde dissection of the right coronary artery extending into the sinus of Valsalva and ascending aorta.
Int J Cardiol. 2005 Sep 15;104(1):112-4. doi: 10.1016/j.ijcard.2004.10.056.
6
Localized dissection of the sinus of valsalva without coronary artery involvement during percutaneous coronary intervention.经皮冠状动脉介入治疗期间无冠状动脉受累的主动脉瓣窦局限性剥离术。
Int Heart J. 2005 Mar;46(2):323-6. doi: 10.1536/ihj.46.323.
7
Dissection of the sinus of valsalva during coronary angiography in a patient with spontaneous coronary artery dissection.在一名患有自发性冠状动脉夹层的患者进行冠状动脉造影期间对瓦尔萨尔瓦窦进行解剖。
Anadolu Kardiyol Derg. 2003 Jun;3(2):194.
8
Unusual complication of retrograde dissection to the coronary sinus of valsalva during percutaneous revascularization: a single-center experience and literature review.经皮血管重建术中逆行性夹层累及瓦尔萨尔瓦窦冠状窦的罕见并发症:单中心经验及文献综述
Chest. 2001 Feb;119(2):493-501. doi: 10.1378/chest.119.2.493.
9
Extensive dissection to the right sinus of Valsalva in coronary angioplasty: case report.
Chang Gung Med J. 2000 May;23(5):296-302.
10
Dissection of the aortic sinus of Valsalva complicating coronary catheterization: cause, mechanism, evolution, and management.冠状动脉导管插入术并发的瓦尔萨尔瓦窦主动脉夹层:病因、机制、演变及处理
Cathet Cardiovasc Diagn. 1998 Mar;43(3):273-9. doi: 10.1002/(sici)1097-0304(199803)43:3<273::aid-ccd7>3.0.co;2-6.