• 文献检索
  • 文档翻译
  • 深度研究
  • 学术资讯
  • Suppr Zotero 插件Zotero 插件
  • 邀请有礼
  • 套餐&价格
  • 历史记录
应用&插件
Suppr Zotero 插件Zotero 插件浏览器插件Mac 客户端Windows 客户端微信小程序
定价
高级版会员购买积分包购买API积分包
服务
文献检索文档翻译深度研究API 文档MCP 服务
关于我们
关于 Suppr公司介绍联系我们用户协议隐私条款
关注我们

Suppr 超能文献

核心技术专利:CN118964589B侵权必究
粤ICP备2023148730 号-1Suppr @ 2026

文献检索

告别复杂PubMed语法,用中文像聊天一样搜索,搜遍4000万医学文献。AI智能推荐,让科研检索更轻松。

立即免费搜索

文件翻译

保留排版,准确专业,支持PDF/Word/PPT等文件格式,支持 12+语言互译。

免费翻译文档

深度研究

AI帮你快速写综述,25分钟生成高质量综述,智能提取关键信息,辅助科研写作。

立即免费体验

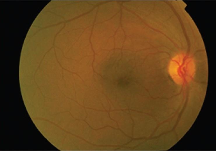
与未经治疗的脉络膜黑色素瘤相关的视网膜下脂质渗出。

Subretinal lipid exudation associated with untreated choroidal melanoma.

机构信息

Sankara Eye Hospital, Bangalore, Karnataka, India.

出版信息

Indian J Ophthalmol. 2011 May-Jun;59(3):233-5. doi: 10.4103/0301-4738.81041.

DOI:10.4103/0301-4738.81041
PMID:21586848
原文链接:https://pmc.ncbi.nlm.nih.gov/articles/PMC3120247/
Abstract

Subretinal lipid exudation in an untreated choroidal melanoma is very rare. It is seen following plaque radiotherapy in choroidal melanoma. There is only one case report of untreated choroidal melanoma with massive lipid exudation in a patient with metastatic hypernephroma. We report here a rare case of untreated choroidal melanoma with lipid exudation. Subretinal exudation that is rarely seen following plaque brachytherapy was noted at the borders of this untreated tumor. Lipid exudation partially resolved following brachytherapy.

摘要

未经治疗的脉络膜黑色素瘤很少出现视网膜下脂质渗出。这种情况见于脉络膜黑色素瘤的放射性敷贴治疗后。仅有一例转移性肾细胞瘤患者的未经治疗的脉络膜黑色素瘤伴大量脂质渗出的病例报告。我们在此报告一例罕见的未经治疗的脉络膜黑色素瘤伴脂质渗出的病例。在该未经治疗的肿瘤边缘观察到放射性敷贴治疗后罕见的视网膜下渗出。脂质渗出在放射性敷贴治疗后部分缓解。

https://cdn.ncbi.nlm.nih.gov/pmc/blobs/066d/3120247/c8d25c2fc062/IJO-59-233-g006.jpg
https://cdn.ncbi.nlm.nih.gov/pmc/blobs/066d/3120247/ea87782f485d/IJO-59-233-g001.jpg
https://cdn.ncbi.nlm.nih.gov/pmc/blobs/066d/3120247/98fa2194f93b/IJO-59-233-g002.jpg
https://cdn.ncbi.nlm.nih.gov/pmc/blobs/066d/3120247/4d81f301c6a2/IJO-59-233-g003.jpg
https://cdn.ncbi.nlm.nih.gov/pmc/blobs/066d/3120247/3fe43634a8e8/IJO-59-233-g004.jpg
https://cdn.ncbi.nlm.nih.gov/pmc/blobs/066d/3120247/f8210ade1b25/IJO-59-233-g005.jpg
https://cdn.ncbi.nlm.nih.gov/pmc/blobs/066d/3120247/c8d25c2fc062/IJO-59-233-g006.jpg
https://cdn.ncbi.nlm.nih.gov/pmc/blobs/066d/3120247/ea87782f485d/IJO-59-233-g001.jpg
https://cdn.ncbi.nlm.nih.gov/pmc/blobs/066d/3120247/98fa2194f93b/IJO-59-233-g002.jpg
https://cdn.ncbi.nlm.nih.gov/pmc/blobs/066d/3120247/4d81f301c6a2/IJO-59-233-g003.jpg
https://cdn.ncbi.nlm.nih.gov/pmc/blobs/066d/3120247/3fe43634a8e8/IJO-59-233-g004.jpg
https://cdn.ncbi.nlm.nih.gov/pmc/blobs/066d/3120247/f8210ade1b25/IJO-59-233-g005.jpg
https://cdn.ncbi.nlm.nih.gov/pmc/blobs/066d/3120247/c8d25c2fc062/IJO-59-233-g006.jpg

相似文献

1
Subretinal lipid exudation associated with untreated choroidal melanoma.与未经治疗的脉络膜黑色素瘤相关的视网膜下脂质渗出。
Indian J Ophthalmol. 2011 May-Jun;59(3):233-5. doi: 10.4103/0301-4738.81041.
2
Choroidal melanoma with massive lipid exudation in a patient with metastatic hypernephroma.转移性肾细胞癌患者出现大量脂质渗出的脉络膜黑色素瘤。
Ann Ophthalmol. 1992 Mar;24(3):93-6.
3
Tumor-related lipid exudation after plaque radiotherapy of choroidal melanoma: the role of Bruch's membrane rupture.脉络膜黑色素瘤瘤放疗后肿瘤相关脂质外渗:Bruch 膜破裂的作用。
Ophthalmology. 2010 May;117(5):1013-23. doi: 10.1016/j.ophtha.2009.10.018. Epub 2010 Jan 25.
4
Massive lipid exudation and retinal detachment after combined brachytherapy and transpupillary thermotherapy in choroidal melanoma.
Arch Soc Esp Oftalmol. 2013 May;88(5):197-200. doi: 10.1016/j.oftal.2012.02.012. Epub 2012 Jun 4.
5
Intravitreal triamcinolone acetonide for radiation maculopathy after plaque radiotherapy for choroidal melanoma.玻璃体内注射曲安奈德治疗脉络膜黑色素瘤敷贴放疗后的放射性黄斑病变。
Retina. 2005 Oct-Nov;25(7):868-74. doi: 10.1097/00006982-200510000-00009.
6
OPTICAL COHERENCE TOMOGRAPHY ANGIOGRAPHY OF THE MACULA AFTER PLAQUE RADIOTHERAPY OF CHOROIDAL MELANOMA: Comparison of Irradiated Versus Nonirradiated Eyes in 65 Patients.脉络膜黑色素瘤斑块放射治疗后黄斑区的光学相干断层扫描血管造影:65例患者中照射眼与未照射眼的比较
Retina. 2016 Aug;36(8):1493-505. doi: 10.1097/IAE.0000000000001021.
7
Tumor-related lipid exudation and associated tumor-related complications after plaque radiotherapy of posterior uveal melanoma.后葡萄膜黑色素瘤斑块放射治疗后与肿瘤相关的脂质渗出及相关肿瘤并发症
Eur J Ophthalmol. 2013 May-Jun;23(3):399-409. doi: 10.5301/ejo.5000236. Epub 2013 Mar 4.
8
PARAFOVEAL CAPILLARY DENSITY AFTER PLAQUE RADIOTHERAPY FOR CHOROIDAL MELANOMA: Analysis of Eyes Without Radiation Maculopathy.脉络膜黑色素瘤斑块放射治疗后黄斑旁毛细血管密度:无放射性黄斑病变眼的分析
Retina. 2016 Sep;36(9):1670-8. doi: 10.1097/IAE.0000000000001085.
9
Regression patterns of choroidal melanoma: After palladium-103 (Pd) plaque brachytherapy.脉络膜黑色素瘤的消退模式:在钯-103(Pd)敷贴器近距离放射治疗后。
Eur J Ophthalmol. 2018 Nov;28(6):722-730. doi: 10.1177/1120672118776146. Epub 2018 May 22.
10
Treatment of choroidal melanoma: MR imaging in the assessment of radioactive plaque position.
Radiology. 1990 Sep;176(3):851-3. doi: 10.1148/radiology.176.3.2389046.

引用本文的文献

1
Subretinal Exudation: The First Presentation of Untreated Choroidal Melanomas.视网膜下渗出:未经治疗的脉络膜黑色素瘤的首发表现
Ocul Oncol Pathol. 2024 Sep;10(3):168-174. doi: 10.1159/000539180. Epub 2024 May 14.
2
Magnetic Resonance Imaging in the Clinical Care for Uveal Melanoma Patients-A Systematic Review from an Ophthalmic Perspective.从眼科视角对葡萄膜黑色素瘤患者临床护理中磁共振成像的系统评价
Cancers (Basel). 2023 May 30;15(11):2995. doi: 10.3390/cancers15112995.

本文引用的文献

1
Lipid exudation following plaque radiotherapy for posterior uveal melanoma.后葡萄膜黑色素瘤斑块放射治疗后的脂质渗出
Am J Ophthalmol. 2006 Mar;141(3):594-595. doi: 10.1016/j.ajo.2005.10.015.
2
Retinal vascular alterations associated with dome-shaped and mushroom-shaped choroidal melanomas.
Int Ophthalmol. 2001;24(3):141-6. doi: 10.1023/a:1021170402679.
3
Retinal vascular changes in malignant melanoma of the choroid.
Am J Ophthalmol. 1984 Apr;97(4):411-8. doi: 10.1016/s0002-9394(14)76123-9.
4
Lipemic diabetic retinopathy.
Ophthalmology. 1984 Dec;91(12):1490-5. doi: 10.1016/s0161-6420(84)34098-2.
5
Choroidal melanoma with massive lipid exudation in a patient with metastatic hypernephroma.转移性肾细胞癌患者出现大量脂质渗出的脉络膜黑色素瘤。
Ann Ophthalmol. 1992 Mar;24(3):93-6.