• 文献检索
  • 文档翻译
  • 深度研究
  • 学术资讯
  • Suppr Zotero 插件Zotero 插件
  • 邀请有礼
  • 套餐&价格
  • 历史记录
应用&插件
Suppr Zotero 插件Zotero 插件浏览器插件Mac 客户端Windows 客户端微信小程序
定价
高级版会员购买积分包购买API积分包
服务
文献检索文档翻译深度研究API 文档MCP 服务
关于我们
关于 Suppr公司介绍联系我们用户协议隐私条款
关注我们

Suppr 超能文献

核心技术专利:CN118964589B侵权必究
粤ICP备2023148730 号-1Suppr @ 2026

文献检索

告别复杂PubMed语法,用中文像聊天一样搜索,搜遍4000万医学文献。AI智能推荐,让科研检索更轻松。

立即免费搜索

文件翻译

保留排版,准确专业,支持PDF/Word/PPT等文件格式,支持 12+语言互译。

免费翻译文档

深度研究

AI帮你快速写综述,25分钟生成高质量综述,智能提取关键信息,辅助科研写作。

立即免费体验

番茄红素抑制 NF-κB 介导的白细胞介素-8 表达,并改变香烟烟雾刺激的巨噬细胞中的氧化还原和 PPARγ 信号转导。

Lycopene inhibits NF-kB-mediated IL-8 expression and changes redox and PPARγ signalling in cigarette smoke-stimulated macrophages.

机构信息

Institute of General Pathology, Catholic University, Rome, Italy.

出版信息

PLoS One. 2011;6(5):e19652. doi: 10.1371/journal.pone.0019652. Epub 2011 May 19.

DOI:10.1371/journal.pone.0019652
PMID:21625550
原文链接:https://pmc.ncbi.nlm.nih.gov/articles/PMC3098254/
Abstract

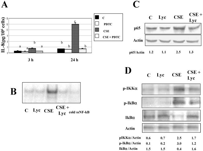
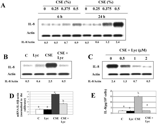
Increasing evidence suggests that lycopene, the major carotenoid present in tomato, may be preventive against smoke-induced cell damage. However, the mechanisms of such a prevention are still unclear. The aim of this study was to investigate the role of lycopene on the production of the pro-inflammatory cytokine IL-8 induced by cigarette smoke and the possible mechanisms implicated. Therefore, human THP-1 macrophages were exposed to cigarette smoke extract (CSE), alone and following a 6-h pre-treatment with lycopene (0.5-2 µM). CSE enhanced IL-8 production in a time- and a dose-dependent manner. Lycopene pre-treatment resulted in a significant inhibition of CSE-induced IL-8 expression at both mRNA and protein levels. NF-kB controlled the transcription of IL-8 induced by CSE, since PDTC prevented such a production. Lycopene suppressed CSE-induced NF-kB DNA binding, NF-kB/p65 nuclear translocation and phosphorylation of IKKα and IkBα. Such an inhibition was accompanied by a decrease in CSE-induced ROS production and NOX-4 expression. Lycopene further inhibited CSE-induced phosphorylation of the redox-sensitive ERK1/2, JNK and p38 MAPKs. Moreover, the carotenoid increased PPARγ levels which, in turn, enhanced PTEN expression and decreased pAKT levels in CSE-exposed cells. Such effects were abolished by the PPARγ inhibitor GW9662. Taken together, our data indicate that lycopene prevented CSE-induced IL-8 production through a mechanism involving an inactivation of NF-kB. NF-kB inactivation was accompanied by an inhibition of redox signalling and an activation of PPARγ signalling. The ability of lycopene in inhibiting IL-8 production, NF-kB/p65 nuclear translocation, and redox signalling and in increasing PPARγ expression was also found in isolated rat alveolar macrophages exposed to CSE. These findings provide novel data on new molecular mechanisms by which lycopene regulates cigarette smoke-driven inflammation in human macrophages.

摘要

越来越多的证据表明,番茄中主要的类胡萝卜素番茄红素可能具有预防烟雾引起的细胞损伤的作用。然而,这种预防的机制尚不清楚。本研究旨在探讨番茄红素对香烟烟雾诱导的促炎细胞因子 IL-8 产生的作用及其可能涉及的机制。因此,人 THP-1 巨噬细胞分别或用番茄红素(0.5-2μM)预处理 6 小时后暴露于香烟烟雾提取物(CSE)中。CSE 以时间和剂量依赖的方式增强了 IL-8 的产生。番茄红素预处理可显著抑制 CSE 诱导的 IL-8 表达在 mRNA 和蛋白质水平。NF-κB 控制 CSE 诱导的 IL-8 转录,因为 PDTC 可预防这种产生。番茄红素抑制 CSE 诱导的 NF-κB DNA 结合、NF-κB/p65 核易位和 IKKα和 IkBα磷酸化。这种抑制伴随着 CSE 诱导的 ROS 产生和 NOX-4 表达的减少。番茄红素进一步抑制 CSE 诱导的氧化还原敏感的 ERK1/2、JNK 和 p38 MAPKs 的磷酸化。此外,类胡萝卜素增加了 PPARγ 水平,进而增加了 CSE 暴露细胞中 PTEN 的表达并降低了 pAKT 水平。这种作用被 PPARγ 抑制剂 GW9662 所消除。总之,我们的数据表明,番茄红素通过一种涉及 NF-κB 失活的机制来防止 CSE 诱导的 IL-8 产生。NF-κB 失活伴随着氧化还原信号的抑制和 PPARγ 信号的激活。在暴露于 CSE 的分离的大鼠肺泡巨噬细胞中,也发现了番茄红素抑制 IL-8 产生、NF-κB/p65 核易位、氧化还原信号和增加 PPARγ 表达的能力。这些发现为番茄红素调节人巨噬细胞中香烟烟雾驱动的炎症的新分子机制提供了新的数据。

https://cdn.ncbi.nlm.nih.gov/pmc/blobs/47a2/3098254/97fc8daf4672/pone.0019652.g006.jpg
https://cdn.ncbi.nlm.nih.gov/pmc/blobs/47a2/3098254/04a28795ccd4/pone.0019652.g001.jpg
https://cdn.ncbi.nlm.nih.gov/pmc/blobs/47a2/3098254/906e85122db4/pone.0019652.g002.jpg
https://cdn.ncbi.nlm.nih.gov/pmc/blobs/47a2/3098254/33e13dc41b19/pone.0019652.g003.jpg
https://cdn.ncbi.nlm.nih.gov/pmc/blobs/47a2/3098254/ae7bd8f10287/pone.0019652.g004.jpg
https://cdn.ncbi.nlm.nih.gov/pmc/blobs/47a2/3098254/60f77e5f6e57/pone.0019652.g005.jpg
https://cdn.ncbi.nlm.nih.gov/pmc/blobs/47a2/3098254/97fc8daf4672/pone.0019652.g006.jpg
https://cdn.ncbi.nlm.nih.gov/pmc/blobs/47a2/3098254/04a28795ccd4/pone.0019652.g001.jpg
https://cdn.ncbi.nlm.nih.gov/pmc/blobs/47a2/3098254/906e85122db4/pone.0019652.g002.jpg
https://cdn.ncbi.nlm.nih.gov/pmc/blobs/47a2/3098254/33e13dc41b19/pone.0019652.g003.jpg
https://cdn.ncbi.nlm.nih.gov/pmc/blobs/47a2/3098254/ae7bd8f10287/pone.0019652.g004.jpg
https://cdn.ncbi.nlm.nih.gov/pmc/blobs/47a2/3098254/60f77e5f6e57/pone.0019652.g005.jpg
https://cdn.ncbi.nlm.nih.gov/pmc/blobs/47a2/3098254/97fc8daf4672/pone.0019652.g006.jpg

相似文献

1
Lycopene inhibits NF-kB-mediated IL-8 expression and changes redox and PPARγ signalling in cigarette smoke-stimulated macrophages.番茄红素抑制 NF-κB 介导的白细胞介素-8 表达,并改变香烟烟雾刺激的巨噬细胞中的氧化还原和 PPARγ 信号转导。
PLoS One. 2011;6(5):e19652. doi: 10.1371/journal.pone.0019652. Epub 2011 May 19.
2
Lycopene prevention of oxysterol-induced proinflammatory cytokine cascade in human macrophages: inhibition of NF-κB nuclear binding and increase in PPARγ expression.番茄红素可预防人巨噬细胞中氧化固醇诱导的促炎细胞因子级联反应:抑制 NF-κB 核结合并增加 PPARγ 表达。
J Nutr Biochem. 2011 Mar;22(3):259-68. doi: 10.1016/j.jnutbio.2010.02.003. Epub 2010 Jun 22.
3
Erythromycin inhibits cigarette smoke-induced inflammation through regulating the PPARγ/NF-κB signaling pathway in macrophages.红霉素通过调节巨噬细胞中的 PPARγ/NF-κB 信号通路抑制香烟烟雾诱导的炎症。
Int Immunopharmacol. 2021 Jul;96:107775. doi: 10.1016/j.intimp.2021.107775. Epub 2021 May 29.
4
Modulation of MMP-9 pathway by lycopene in macrophages and fibroblasts exposed to cigarette smoke.番茄红素对暴露于香烟烟雾中的巨噬细胞和成纤维细胞中MMP - 9通路的调节作用。
Inflamm Allergy Drug Targets. 2012 Feb;11(1):36-47. doi: 10.2174/187152812798889376.
5
Carbonylation caused by cigarette smoke extract is associated with defective macrophage immunity.香烟提取物引起的羰基化作用与巨噬细胞免疫缺陷有关。
Am J Respir Cell Mol Biol. 2011 Aug;45(2):229-36. doi: 10.1165/rcmb.2010-0272OC. Epub 2010 Oct 8.
6
Effects of extracellular Hsp70 and cigarette smoke on differentiated THP-1 cells and human monocyte-derived macrophages.细胞外热休克蛋白 70 和香烟烟雾对分化的 THP-1 细胞和人单核细胞来源的巨噬细胞的影响。
Mol Immunol. 2019 Jul;111:53-63. doi: 10.1016/j.molimm.2019.04.002. Epub 2019 Apr 11.
7
Lycopene inhibits TNF-alpha-induced endothelial ICAM-1 expression and monocyte-endothelial adhesion.番茄红素抑制肿瘤坏死因子-α诱导的内皮细胞细胞间黏附分子-1表达及单核细胞与内皮细胞的黏附。
Eur J Pharmacol. 2008 May 31;586(1-3):275-82. doi: 10.1016/j.ejphar.2008.03.001. Epub 2008 Mar 13.
8
Resolvin-D1 inhibits interleukin-8 and hydrogen peroxide production induced by cigarette smoke extract in 16HBE cells via attenuating NF-κB activation.解析-D1 通过抑制 NF-κB 激活抑制香烟烟雾提取物诱导的 16HBE 细胞中白细胞介素-8 和过氧化氢的产生。
Chin Med J (Engl). 2014;127(3):511-7.
9
Comparative antioxidant effects of lycopene, apo-10'-lycopenoic acid and apo-14'-lycopenoic acid in human macrophages exposed to H2O2 and cigarette smoke extract.在人巨噬细胞中暴露于 H2O2 和香烟烟雾提取物下,番茄红素、apo-10'-lycopenoic 酸和 apo-14'-lycopenoic 酸的抗氧化作用比较。
Food Chem Toxicol. 2013 Jan;51:71-9. doi: 10.1016/j.fct.2012.08.050. Epub 2012 Sep 16.
10
[Curcumin suppresses cigarette smoke extract-induced oxidative stress through PPARγ/ NF-κB pathway in human bronchial epithelial cells ].姜黄素通过PPARγ/NF-κB途径抑制香烟烟雾提取物诱导的人支气管上皮细胞氧化应激
Nan Fang Yi Ke Da Xue Xue Bao. 2018 Sep 30;38(10):1209-1214. doi: 10.3969/j.issn.1673-4254.2018.10.09.

引用本文的文献

1
Lycopene alleviates 5-fluorouracil-induced nephrotoxicity by modulating PPAR-γ, Nrf2/HO-1, and NF-κB/TNF-α/IL-6 signals.番茄红素通过调节 PPAR-γ、Nrf2/HO-1 和 NF-κB/TNF-α/IL-6 信号减轻 5-氟尿嘧啶诱导的肾毒性。
Ren Fail. 2024 Dec;46(2):2423843. doi: 10.1080/0886022X.2024.2423843. Epub 2024 Nov 14.
2
Pharmacological potentials of lycopene against aging and aging-related disorders: A review.番茄红素抗老化及与老化相关疾病的药理潜力:综述
Food Sci Nutr. 2023 Jun 27;11(10):5701-5735. doi: 10.1002/fsn3.3523. eCollection 2023 Oct.
3
The effects of functional foods mixture on inflammatory cytokines and biochemical findings in hospitalized patients with COVID-19: a randomized double-blind controlled trial.

本文引用的文献

1
Lycopene inhibits the proliferation of androgen-dependent human prostate tumor cells through activation of PPARγ-LXRα-ABCA1 pathway.番茄红素通过激活 PPARγ-LXRα-ABCA1 通路抑制雄激素依赖性人前列腺肿瘤细胞的增殖。
J Nutr Biochem. 2012 Jan;23(1):8-17. doi: 10.1016/j.jnutbio.2010.10.006. Epub 2011 Feb 21.
2
Lycopene regulation of cholesterol synthesis and efflux in human macrophages.番茄红素对人巨噬细胞胆固醇合成和外排的调节作用。
J Nutr Biochem. 2011 Oct;22(10):971-8. doi: 10.1016/j.jnutbio.2010.08.010. Epub 2011 Jan 3.
3
Lycopene in atherosclerosis prevention: an integrated scheme of the potential mechanisms of action from cell culture studies.
功能性食品混合物对 COVID-19 住院患者炎症细胞因子和生化指标的影响:一项随机双盲对照试验。
Trials. 2023 Jul 5;24(1):442. doi: 10.1186/s13063-023-07481-z.
4
Lysophosphatidic Acid Is a Proinflammatory Stimulus of Renal Tubular Epithelial Cells.溶血磷脂酸是肾管状上皮细胞的促炎刺激物。
Int J Mol Sci. 2022 Jul 5;23(13):7452. doi: 10.3390/ijms23137452.
5
An Updated Comprehensive Review on Vitamin A and Carotenoids in Breast Cancer: Mechanisms, Genetics, Assessment, Current Evidence, and Future Clinical Implications.关于维生素A和类胡萝卜素在乳腺癌中的最新综合综述:作用机制、遗传学、评估、当前证据及未来临床意义
Nutrients. 2021 Sep 10;13(9):3162. doi: 10.3390/nu13093162.
6
Serum 8-isoprostane levels in patients with resistant oral lichen planus before and after treatment with lycopene: a randomized clinical trial.口服性扁平苔藓患者经番茄红素治疗前后血清 8-异前列腺素水平的变化:一项随机临床试验。
BMC Oral Health. 2021 Jul 15;21(1):343. doi: 10.1186/s12903-021-01711-z.
7
Inhibition of Osteoclast Differentiation by Carotenoid Derivatives through Inhibition of the NF-ƙB Pathway.类胡萝卜素衍生物通过抑制NF-ƙB途径抑制破骨细胞分化
Antioxidants (Basel). 2020 Nov 23;9(11):1167. doi: 10.3390/antiox9111167.
8
Resveratrol protects the integrity of alveolar epithelial barrier via SIRT1/PTEN/p-Akt pathway in methamphetamine-induced chronic lung injury.白藜芦醇通过 SIRT1/PTEN/p-Akt 通路保护甲基苯丙胺诱导的慢性肺损伤中肺泡上皮细胞屏障的完整性。
Cell Prolif. 2020 Mar;53(3):e12773. doi: 10.1111/cpr.12773. Epub 2020 Feb 5.
9
Hydrogen gas inhalation protects against cigarette smoke-induced COPD development in mice.吸入氢气可预防香烟烟雾诱导的小鼠慢性阻塞性肺疾病的发生。
J Thorac Dis. 2018 Jun;10(6):3232-3243. doi: 10.21037/jtd.2018.05.93.
10
Bioactivities of phytochemicals present in tomato.番茄中植物化学物质的生物活性。
J Food Sci Technol. 2018 Aug;55(8):2833-2849. doi: 10.1007/s13197-018-3221-z. Epub 2018 Jun 1.
番茄红素在动脉粥样硬化预防中的作用:细胞培养研究中潜在作用机制的综合方案。
Arch Biochem Biophys. 2010 Dec 1;504(1):26-33. doi: 10.1016/j.abb.2010.06.031. Epub 2010 Jul 3.
4
Lycopene prevention of oxysterol-induced proinflammatory cytokine cascade in human macrophages: inhibition of NF-κB nuclear binding and increase in PPARγ expression.番茄红素可预防人巨噬细胞中氧化固醇诱导的促炎细胞因子级联反应:抑制 NF-κB 核结合并增加 PPARγ 表达。
J Nutr Biochem. 2011 Mar;22(3):259-68. doi: 10.1016/j.jnutbio.2010.02.003. Epub 2010 Jun 22.
5
Tomato Lycopene and Inflammatory Cascade: Basic Interactions and Clinical Implications.番茄红素与炎症级联:基础相互作用及临床意义。
Curr Med Chem. 2010;17(23):2547-63. doi: 10.2174/092986710791556041.
6
Tomato lycopene extract prevents lipopolysaccharide-induced NF-kappaB signaling but worsens dextran sulfate sodium-induced colitis in NF-kappaBEGFP mice.番茄红素提取物可预防脂多糖诱导的核因子κB信号传导,但会加重硫酸葡聚糖钠诱导的核因子κB绿色荧光蛋白小鼠结肠炎。
PLoS One. 2009;4(2):e4562. doi: 10.1371/journal.pone.0004562. Epub 2009 Feb 23.
7
Lycopene prevents 7-ketocholesterol-induced oxidative stress, cell cycle arrest and apoptosis in human macrophages.番茄红素可预防 7-酮胆固醇诱导的人巨噬细胞氧化应激、细胞周期停滞和细胞凋亡。
J Nutr Biochem. 2010 Jan;21(1):34-46. doi: 10.1016/j.jnutbio.2008.10.002. Epub 2009 Jan 20.
8
Interactions of beta-carotene and flavonoids on the secretion of pro-inflammatory mediators in an in vitro system.β-胡萝卜素与类黄酮在体外系统中对促炎介质分泌的相互作用。
Chem Biol Interact. 2009 May 15;179(2-3):386-93. doi: 10.1016/j.cbi.2008.12.006. Epub 2008 Dec 16.
9
Comparison of lycopene and fluvastatin effects on atherosclerosis induced by a high-fat diet in rabbits.番茄红素与氟伐他汀对高脂饮食诱导的兔动脉粥样硬化作用的比较。
Nutrition. 2008 Oct;24(10):1030-8. doi: 10.1016/j.nut.2008.05.006. Epub 2008 Jun 30.
10
Interplay of carotenoids with cigarette smoking: implications in lung cancer.类胡萝卜素与吸烟的相互作用:对肺癌的影响
Curr Med Chem. 2008;15(9):844-54. doi: 10.2174/092986708783955400.