Suppr超能文献

墨西哥利什曼原虫前鞭毛体通过 TLR-4 依赖的 COX-2、iNOS 和精氨酸酶-1 的表达抑制巨噬细胞 IL-12 的产生。

Leishmania mexicana promastigotes inhibit macrophage IL-12 production via TLR-4 dependent COX-2, iNOS and arginase-1 expression.

机构信息

Division of Physiology & Pharmacology, Strathclyde Institute for Pharmacy & Biomedical Sciences, 27 Taylor Street, Glasgow G4 0NR, UK.

出版信息

Mol Immunol. 2011 Sep;48(15-16):1800-8. doi: 10.1016/j.molimm.2011.05.013. Epub 2011 Jun 12.

Abstract

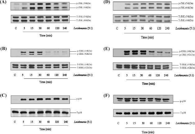
The effects of Leishmania mexicana metacyclic promastigotes upon MAP kinase signalling in mouse bone marrow macrophages and subsequent expression of the disease regulatory proteins iNOS and COX-2 were studied. At a ratio of 5:1, promastigotes caused a marked increase in phosphorylation of the three major MAP kinases, ERK, p38 and JNK. MAP kinase signalling was substantially reduced in TLR-4(-/-) but not TLR-2(-/-) deficient macrophages and completely abolished in double TLR-2/4(-/-) macrophages. A similar outcome was observed using cysteine peptidase B deficient amastigotes. Furthermore, whilst promastigotes had no independent effect on iNOS or COX-2 expression, they prolonged the induction of these proteins stimulated by LPS and enhanced PGE(2) and NO production. Induction of COX-2 and iNOS was also TLR-4 dependent. Blockade of either PGE(2) or NO production with indomethacin or l-NAME reversed promastigote inhibition of LPS induced IL-12 production. Promastigotes also increased macrophage arginase-1 expression and enhanced arginase activity, both of which were substantially reduced in TLR-4 but not TLR-2 deficient macrophages. Surprisingly, arginase inhibition by Nor-NOHA also caused a reversal of promastigote mediated inhibition of macrophage IL-12 production. These data demonstrate for the first time the role of TLR-4 in mediating the effects of L. mexicana promastigotes on MAP kinase activation, up-regulation of COX-2, iNOS as well as arginase-1 expression in macrophages and further shows that PGE(2), NO and arginase activity all contribute substantially to the inhibition of host cell IL-12 production.

摘要

研究了莱什曼原虫(Leishmania mexicana)循环期前鞭毛体对骨髓巨噬细胞中 MAP 激酶信号传导的影响,以及随后疾病调节蛋白 iNOS 和 COX-2 的表达。在 5:1 的比例下,前鞭毛体导致三种主要 MAP 激酶 ERK、p38 和 JNK 的磷酸化明显增加。TLR-4(-/-)缺陷巨噬细胞中 MAP 激酶信号显著减少,但 TLR-2(-/-)缺陷巨噬细胞中没有减少,而 TLR-2/4(-/-)双缺陷巨噬细胞中完全消除。用半胱氨酸肽酶 B 缺陷的无鞭毛体也观察到类似的结果。此外,虽然前鞭毛体对 iNOS 或 COX-2 的表达没有独立作用,但它们延长了 LPS 刺激这些蛋白的诱导,并增强了 PGE(2)和 NO 的产生。COX-2 和 iNOS 的诱导也依赖于 TLR-4。用吲哚美辛或 l-NAME 阻断 PGE(2)或 NO 的产生,可逆转前鞭毛体抑制 LPS 诱导的 IL-12 产生。前鞭毛体还增加了巨噬细胞精氨酸酶-1 的表达和增强了精氨酸酶活性,这两者在 TLR-4 缺陷但不是 TLR-2 缺陷巨噬细胞中都显著减少。令人惊讶的是,精氨酸酶抑制剂 Nor-NOHA 也导致前鞭毛体介导的巨噬细胞 IL-12 产生抑制的逆转。这些数据首次证明 TLR-4 在介导莱什曼原虫前鞭毛体对 MAP 激酶激活、COX-2、iNOS 以及精氨酸酶-1 在巨噬细胞中的表达的影响中的作用,进一步表明 PGE(2)、NO 和精氨酸酶活性都对宿主细胞 IL-12 产生的抑制有重要贡献。

https://cdn.ncbi.nlm.nih.gov/pmc/blobs/ab11/3173610/f1a2307b63ae/gr1.jpg

文献AI研究员

20分钟写一篇综述,助力文献阅读效率提升50倍。

立即体验

用中文搜PubMed

大模型驱动的PubMed中文搜索引擎

马上搜索

文档翻译

学术文献翻译模型,支持多种主流文档格式。

立即体验