Suppr超能文献

单次双磷酸盐输注不会加速胫骨高位截骨术后的骨折愈合。

A single bisphosphonate infusion does not accelerate fracture healing in high tibial osteotomies.

机构信息

Department of Orthopedics, Clinical Sciences, Lund University and Skåne University Hospital, Lund, Sweden..

出版信息

Acta Orthop. 2011 Aug;82(4):465-70. doi: 10.3109/17453674.2011.594231. Epub 2011 Jun 21.

Abstract

BACKGROUND

Bisphosphonates increase the callus size and strength in animal fracture studies. In a human non-randomized pilot study of high tibial osteotomies in knee osteoarthritis, using the hemicallotasis (HCO) technique, bisphosphonates shortened the healing time by 12 days. In the present randomized study, we wanted to determine whether a single infusion of zoledronic acid reduces the time to clinical osteotomy healing. Results from the same trial, showing improved pin fixation with zoledronate, have been published separately.

METHODS

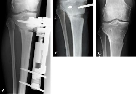
46 consecutive patients (aged 35-65 years) were operated. At 4 weeks postoperatively, the patients were randomized to an intravenous infusion of either zoledronic acid or sodium chloride. Dual-energy X-ray absorptiometry (DEXA) was performed 10 weeks postoperatively. Radiographs were taken at 10 weeks and every second week until there was radiographic and clinical healing. Healing was evaluated blind, with extraction of the external fixator as the endpoint. At 1.5 years, an additional radiograph was taken and the hip-knee-ankle (HKA) angle measured to evaluate whether correction had been retained.

RESULTS

All osteotomies healed with no difference in healing time between the groups (77 (SD 7) days). Bone mineral density and bone mineral content, as assessed with DEXA, were similar between the groups. Radiographically, both groups had retained the acquired correction at the 1.5-year follow-up.

INTERPRETATION

In this randomized comparison, a single infusion of zoledronic acid increased the pin fixation of the external frame but did not shorten the healing time. In both groups, the external fixator was extracted almost 2 weeks earlier than in previous studies. The early extraction did not cause a loss of correction in either group.

摘要

背景

双膦酸盐在动物骨折研究中增加了骨痂的大小和强度。在一项膝关节骨关节炎的高胫骨截骨术非随机试点研究中,使用半骺离断术(HCO)技术,双膦酸盐将愈合时间缩短了 12 天。在本随机研究中,我们想确定单次唑来膦酸输注是否可以缩短临床截骨愈合时间。已单独发表了来自同一试验的结果,表明唑来膦酸可改善钢针固定。

方法

连续 46 例患者(年龄 35-65 岁)接受了手术。术后 4 周,患者被随机分为静脉输注唑来膦酸或氯化钠组。术后 10 周行双能 X 线吸收法(DEXA)检查。10 周时拍摄 X 光片,此后每两周拍摄一次,直至出现影像学和临床愈合。通过盲法评估愈合情况,以取出外固定器作为终点。在 1.5 年时,再次拍摄 X 光片并测量髋关节-膝关节-踝关节(HKA)角度,以评估是否保留了矫正。

结果

所有截骨均愈合,两组愈合时间无差异(77(SD 7)天)。DEXA 评估的骨密度和骨矿物质含量在两组间相似。影像学检查显示,两组在 1.5 年随访时均保留了获得的矫正。

解释

在这项随机对照研究中,单次输注唑来膦酸增加了外固定架的钢针固定,但并未缩短愈合时间。在两组中,外固定器的取出时间均比之前的研究早了近 2 周。在两组中,早期取出均未导致矫正丢失。

https://cdn.ncbi.nlm.nih.gov/pmc/blobs/3c69/3237038/e56a7701163f/ORT-0300-9734-082-465_g001.jpg

文献AI研究员

20分钟写一篇综述,助力文献阅读效率提升50倍。

立即体验

用中文搜PubMed

大模型驱动的PubMed中文搜索引擎

马上搜索

文档翻译

学术文献翻译模型,支持多种主流文档格式。

立即体验