Suppr超能文献

利用Tn5诱变和聚合酶链反应对大肠杆菌glpFK区域进行突变分析。

Mutational analysis of the Escherichia coli glpFK region with Tn5 mutagenesis and the polymerase chain reaction.

作者信息

Lupski J R, Zhang Y H, Rieger M, Minter M, Hsu B, Ooi B G, Koeuth T, McCabe E R

机构信息

Institute for Molecular Genetics, Baylor College of Medicine, Houston, Texas 77030.

出版信息

J Bacteriol. 1990 Oct;172(10):6129-34. doi: 10.1128/jb.172.10.6129-6134.1990.

Abstract

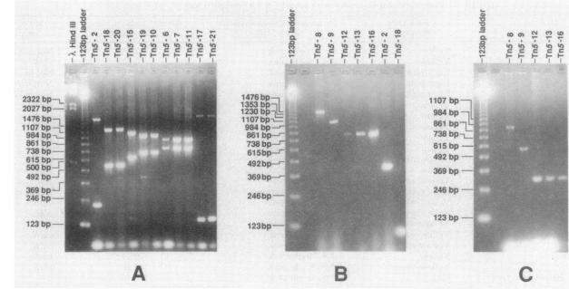
Transposon Tn5 mutagenesis of the Escherichia coli chromosome was used to isolate 21 independent insertion mutations conferring an altered colony color phenotype on MacConkey-glycerol plates. The polymerase chain reaction was used to map 16 of these Tn5 insertions within the glpFK region at 88 min. The most polar Tn5 insertion was shown by nucleotide sequencing to be in the proposed glpF open reading frame. The data suggest that the glpF and glpK genes are in an operon with a bent DNA segment (BENT-6) involved in transcriptional regulation of this operon.

摘要

利用转座子Tn5对大肠杆菌染色体进行诱变,以分离出21个独立的插入突变,这些突变在麦康凯甘油平板上呈现出改变的菌落颜色表型。使用聚合酶链反应将其中16个Tn5插入定位在88分钟处的glpFK区域内。通过核苷酸测序表明,最具极性的Tn5插入位于推测的glpF开放阅读框中。数据表明,glpF和glpK基因存在于一个操纵子中,该操纵子带有一个参与此操纵子转录调控的弯曲DNA片段(BENT-6)。

https://cdn.ncbi.nlm.nih.gov/pmc/blobs/e3c1/526940/321a805f1ddf/jbacter00164-0624-a.jpg

文献检索

告别复杂PubMed语法,用中文像聊天一样搜索,搜遍4000万医学文献。AI智能推荐,让科研检索更轻松。

立即免费搜索

文件翻译

保留排版,准确专业,支持PDF/Word/PPT等文件格式,支持 12+语言互译。

免费翻译文档

深度研究

AI帮你快速写综述,25分钟生成高质量综述,智能提取关键信息,辅助科研写作。

立即免费体验