• 文献检索
  • 文档翻译
  • 深度研究
  • 学术资讯
  • Suppr Zotero 插件Zotero 插件
  • 邀请有礼
  • 套餐&价格
  • 历史记录
应用&插件
Suppr Zotero 插件Zotero 插件浏览器插件Mac 客户端Windows 客户端微信小程序
定价
高级版会员购买积分包购买API积分包
服务
文献检索文档翻译深度研究API 文档MCP 服务
关于我们
关于 Suppr公司介绍联系我们用户协议隐私条款
关注我们

Suppr 超能文献

核心技术专利:CN118964589B侵权必究
粤ICP备2023148730 号-1Suppr @ 2026

文献检索

告别复杂PubMed语法,用中文像聊天一样搜索,搜遍4000万医学文献。AI智能推荐,让科研检索更轻松。

立即免费搜索

文件翻译

保留排版,准确专业,支持PDF/Word/PPT等文件格式,支持 12+语言互译。

免费翻译文档

深度研究

AI帮你快速写综述,25分钟生成高质量综述,智能提取关键信息,辅助科研写作。

立即免费体验

E-钙黏蛋白、β-连环蛋白和p53在胃腺癌中的表达及其临床病理意义

Clinicopathological significance of E-cadherin, β-catenin and p53 expression in gastric adenocarinoma.

作者信息

Zali Mohammad Reza, Moaven Omeed, Asadzadeh Aghdaee Hamid, Ghafarzadegan Kamran, Ahmadi Khadijeh Jami, Farzadnia Mehdi, Arabi Azadeh, Abbaszadegan Mohammad Reza

机构信息

Research Center for Gastroenterology and Liver Disease (RCGLD), Shahid Beheshti University of Medical Sciences, Tehran, Iran.

出版信息

J Res Med Sci. 2009 Jul;14(4):239-47.

PMID:21772890
原文链接:https://pmc.ncbi.nlm.nih.gov/articles/PMC3129111/
Abstract

BACKGROUND

E-cadherin/catenin complexes exert a role in cell adhesion. β-catenin is a key player in Wnt signaling pathway in gastric cancer. P53 is a tumor suppressor gene which also regulates apoptosis. We assessed the expression of E-cadherin, β-catenin and p53 in gastric adenocarcinoma, and their correlations with clinicopathological features.

METHODS

Fifty six formalin-fixed, paraffin-embedded archival specimens of gastric adenocarcinoma were randomly included as cases. Adjacent tumor-free gastric mucosa of different premalignant stages was obtained from the cases. Immunohistochemical staining was performed to assess E-cadherin, β-catenin and p53 expression.

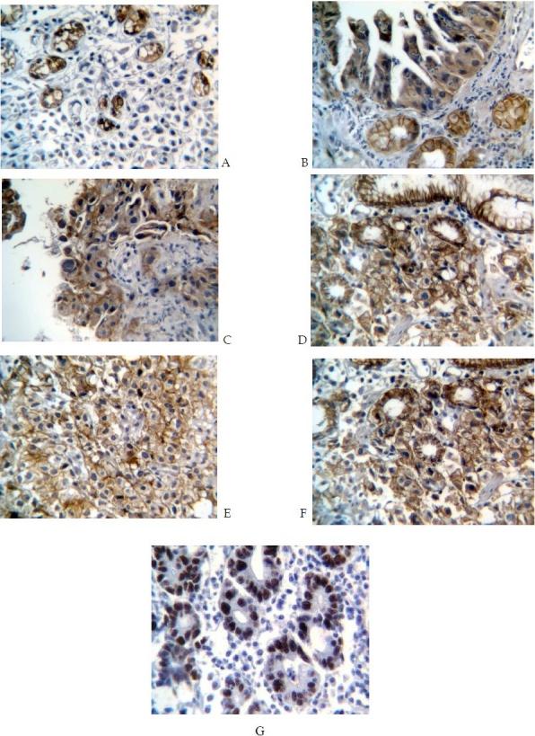
RESULTS

All chronic atrophic gastritis and intestinal metaplasia revealed normal membranous staining. Only one patient with dysplasia had abnormal expression of E-cadherin and β-Catenin. Abnormal E-cadherin, β-catenin and p53 expression was found in 50%, 48.2% and 76.8% of cancer specimens respectively. Abnormal expression of E-cadherin was significantly correlated with aberrant β-catenin expression. Abnormal E-cadherin and β-catenin expression were significantly correlated with depth of tumor invasion and advanced gastric cancer (p < 0.05), lower degree of differentiation and diffused tumor type (p < 0.001). Node metastasis was not influenced by abnormal expression of E-cadherin and β-catenin. P53 was not associated with clinicopathological variables.

CONCLUSIONS

Abnormal expression of the E-cadherin and β-catenin were associated with each other and influenced by histogenesis of gastric cancer and malignant behavior of tumor but not significant in premalignant lesions. They are more frequent in diffuse type and associated with advanced gastric cancer. P53 alterations are more frequent in the Iranian population compared with others.

摘要

背景

E-钙黏蛋白/连环蛋白复合物在细胞黏附中发挥作用。β-连环蛋白是胃癌中Wnt信号通路的关键因子。P53是一种肿瘤抑制基因,也调节细胞凋亡。我们评估了E-钙黏蛋白、β-连环蛋白和P53在胃腺癌中的表达及其与临床病理特征的相关性。

方法

随机选取56例福尔马林固定、石蜡包埋的胃腺癌存档标本作为病例。从这些病例中获取不同癌前阶段的相邻无肿瘤胃黏膜。采用免疫组织化学染色评估E-钙黏蛋白、β-连环蛋白和P53的表达。

结果

所有慢性萎缩性胃炎和肠化生均显示正常的膜染色。仅1例发育异常患者E-钙黏蛋白和β-连环蛋白表达异常。分别在50%、48.2%和76.8%的癌标本中发现E-钙黏蛋白、β-连环蛋白和P53表达异常。E-钙黏蛋白表达异常与β-连环蛋白异常表达显著相关。E-钙黏蛋白和β-连环蛋白表达异常与肿瘤浸润深度和进展期胃癌显著相关(p<0.05),与低分化程度和弥漫型肿瘤类型显著相关(p<0.001)。淋巴结转移不受E-钙黏蛋白和β-连环蛋白异常表达的影响。P53与临床病理变量无关。

结论

E-钙黏蛋白和β-连环蛋白的异常表达相互关联,受胃癌组织发生和肿瘤恶性行为影响,但在癌前病变中不显著。它们在弥漫型中更常见,与进展期胃癌相关。与其他人群相比,伊朗人群中P53改变更为频繁。

https://cdn.ncbi.nlm.nih.gov/pmc/blobs/eae2/3129111/bd954ee047d4/JRMS-14-239-g001.jpg
https://cdn.ncbi.nlm.nih.gov/pmc/blobs/eae2/3129111/bd954ee047d4/JRMS-14-239-g001.jpg
https://cdn.ncbi.nlm.nih.gov/pmc/blobs/eae2/3129111/bd954ee047d4/JRMS-14-239-g001.jpg

相似文献

1
Clinicopathological significance of E-cadherin, β-catenin and p53 expression in gastric adenocarinoma.E-钙黏蛋白、β-连环蛋白和p53在胃腺癌中的表达及其临床病理意义
J Res Med Sci. 2009 Jul;14(4):239-47.
2
Expression of E-cadherin and beta-catenin in gastric carcinoma and its correlation with the clinicopathological features and patient survival.E-钙黏蛋白和β-连环蛋白在胃癌中的表达及其与临床病理特征和患者生存的相关性
World J Gastroenterol. 2002 Dec;8(6):987-93. doi: 10.3748/wjg.v8.i6.987.
3
Expression of e-cadherin and catenins in early gastric cancer.E-钙黏蛋白和连环蛋白在早期胃癌中的表达
J Clin Gastroenterol. 2002 Jul;35(1):35-42. doi: 10.1097/00004836-200207000-00009.
4
Changes in the E-cadherin-catenin complex expression in early and advanced gastric cancers.早期和进展期胃癌中E-钙黏蛋白-连环蛋白复合体表达的变化
Digestion. 2001;64(2):111-9. doi: 10.1159/000048849.
5
[Correlation of E-cadherin, beta-catenin and gamma-catenin gene expression with the invasion and metastasis of gastric carcinoma].E-钙黏蛋白、β-连环蛋白和γ-连环蛋白基因表达与胃癌侵袭和转移的相关性
Di Yi Jun Yi Da Xue Xue Bao. 2003 Nov;23(11):1198-201.
6
Loss of E-cadherin expression in gastric intestinal metaplasia and later stage p53 altered expression in gastric carcinogenesis.胃化生中E-钙黏蛋白表达缺失以及胃癌发生后期p53表达改变。
Exp Toxicol Pathol. 2001 Sep;53(4):237-46. doi: 10.1078/0940-2993-00190.
7
Adenomatous polyposis coli gene, beta-catenin, and E-cadherin expression in proximal and distal gastric cancers and precursor lesions: an immunohistochemical study using tissue microarrays.腺瘤性结肠息肉病基因、β-连环蛋白和E-钙黏蛋白在近端和远端胃癌及癌前病变中的表达:一项使用组织芯片的免疫组织化学研究
Appl Immunohistochem Mol Morphol. 2003 Sep;11(3):230-7. doi: 10.1097/00129039-200309000-00005.
8
Caveolin-1, E-cadherin and β-catenin in Gastric Carcinoma, Precancerous Tissues and Chronic Non-atrophic Gastritis.胃腺癌、癌前组织及慢性非萎缩性胃炎中窖蛋白-1、E-钙黏蛋白和β-连环蛋白的表达。
Chin J Cancer Res. 2012 Mar;24(1):23-8. doi: 10.1007/s11670-012-0023-0.
9
Abnormal expression of E-cadherin and beta-catenin may be a molecular marker of submucosal invasion and lymph node metastasis in early gastric cancer.E-钙黏蛋白和β-连环蛋白的异常表达可能是早期胃癌黏膜下浸润和淋巴结转移的分子标志物。
Br J Surg. 2002 Feb;89(2):236-44. doi: 10.1046/j.0007-1323.2001.01985.x.
10
A study of RUNX3, E-cadherin and β-catenin in CagA-positive Helicobacter pylori associated chronic gastritis in Saudi patients.沙特患者中CagA阳性幽门螺杆菌相关性慢性胃炎中RUNX3、E-钙黏蛋白和β-连环蛋白的研究
Eur Rev Med Pharmacol Sci. 2015 Apr;19(8):1416-29.

引用本文的文献

1
Elucidation of the mechanism of berberine against gastric mucosa injury in a rat model with chronic atrophic gastritis based on a combined strategy of multi-omics and molecular biology.基于多组学和分子生物学联合策略阐明小檗碱对慢性萎缩性胃炎大鼠模型胃黏膜损伤的作用机制
Front Pharmacol. 2025 Jan 6;15:1499753. doi: 10.3389/fphar.2024.1499753. eCollection 2024.
2
Signaling pathways and therapeutic interventions in gastric cancer.胃癌中的信号通路和治疗干预措施。
Signal Transduct Target Ther. 2022 Oct 8;7(1):358. doi: 10.1038/s41392-022-01190-w.
3
Abnormal β-catenin immunohistochemical expression as a prognostic factor in gastric cancer: a meta-analysis.

本文引用的文献

1
Maspin and p53 protein expression in gastric adenocarcinoma and its clinical applications.Maspin和p53蛋白在胃腺癌中的表达及其临床应用。
Appl Immunohistochem Mol Morphol. 2008 Jan;16(1):13-8. doi: 10.1097/PAI.0b013e31802c4f21.
2
Prognostic value of p53 protein and MK-1 (a tumor-associated antigen) expression in gastric carcinoma.p53蛋白和MK-1(一种肿瘤相关抗原)表达在胃癌中的预后价值。
Gastric Cancer. 2007;10(2):112-6. doi: 10.1007/s10120-007-0418-7. Epub 2007 Jun 25.
3
Prognostic significance of p21WAF1/CIP1, p27Kip1, p53 and E-cadherin expression in gastric cancer.
异常β-连环蛋白免疫组化表达作为胃癌预后因素的Meta分析
World J Gastroenterol. 2014 Sep 14;20(34):12313-21. doi: 10.3748/wjg.v20.i34.12313.
4
p16INK4a hypermethylation and p53, p16 and MDM2 protein expression in esophageal squamous cell carcinoma.p16INK4a 甲基化与食管鳞状细胞癌中的 p53、p16 和 MDM2 蛋白表达。
BMC Cancer. 2010 Apr 13;10:138. doi: 10.1186/1471-2407-10-138.
p21WAF1/CIP1、p27Kip1、p53及E-钙黏蛋白表达在胃癌中的预后意义
J Clin Pathol. 2007 Jul;60(7):756-61. doi: 10.1136/jcp.2006.038976. Epub 2007 May 4.
4
Immunohistochemical analysis of pRb2/p130, VEGF, EZH2, p53, p16(INK4A), p27(KIP1), p21(WAF1), Ki-67 expression patterns in gastric cancer.胃癌中pRb2/p130、VEGF、EZH2、p53、p16(INK4A)、p27(KIP1)、p21(WAF1)、Ki-67表达模式的免疫组织化学分析
J Cell Physiol. 2007 Jan;210(1):183-91. doi: 10.1002/jcp.20833.
5
Disordered beta-catenin expression and E-cadherin/CDH1 promoter methylation in gastric carcinoma.β-连环蛋白表达紊乱及E-钙黏蛋白/CDH1启动子甲基化与胃癌的关系
World J Gastroenterol. 2006 Jul 14;12(26):4228-31. doi: 10.3748/wjg.v12.i26.4228.
6
Cancer occurrence in Iran in 2002, an international perspective.2002年伊朗的癌症发病情况:国际视角
Asian Pac J Cancer Prev. 2005 Jul-Sep;6(3):359-63.
7
[Promoter methylation profile in gastric cancer].[胃癌中的启动子甲基化谱]
Rev Med Chil. 2005 Aug;133(8):874-80. Epub 2005 Sep 8.
8
Cell adhesion and signal transduction in cancer. Conference on cadherins, catenins and cancer.癌症中的细胞黏附与信号转导。钙黏蛋白、连环蛋白与癌症会议。
EMBO Rep. 2005 May;6(5):413-7. doi: 10.1038/sj.embor.7400408.
9
Essential role of BCL9-2 in the switch between beta-catenin's adhesive and transcriptional functions.BCL9-2在β-连环蛋白的黏附功能与转录功能转换中的关键作用。
Genes Dev. 2004 Sep 15;18(18):2225-30. doi: 10.1101/gad.317604. Epub 2004 Sep 1.
10
Clinicopathological significance and survival influence of p53 protein expression in gastric carcinoma.p53蛋白表达在胃癌中的临床病理意义及对生存的影响
Histopathology. 2004 Apr;44(4):323-31. doi: 10.1111/j.1365-2559.2004.01852.x.