National Institute of Genetic Engineering and Biotechnology, Tehran, Iran.
BMC Cancer. 2010 Apr 13;10:138. doi: 10.1186/1471-2407-10-138.
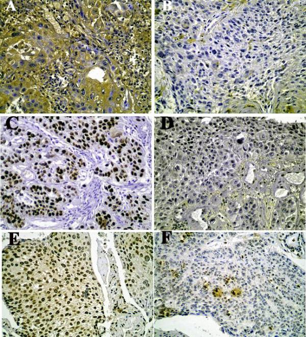
Tumor suppressor genes p53 and p16INK4a and the proto-oncogene MDM2 are considered to be essential G1 cell cycle regulatory genes whose loss of function is associated with ESCC carcinogenesis. We assessed the aberrant methylation of the p16 gene and its impact on p16INK4a protein expression and correlations with p53 and MDM2 protein expressions in patients with ESCC in the Golestan province of northeastern Iran in which ESCC has the highest incidence of cancer, well above the world average.
Cancerous tissues and the adjacent normal tissue obtained from 50 ESCC patients were assessed with Methylation-Specific-PCR to examine the methylation status of p16. The expression of p16, p53 and MDM2 proteins was detected by immunohistochemical staining.
Abnormal expression of p16 and p53, but not MDM2, was significantly higher in the tumoral tissue. p53 was concomitantly accumulated in ESCC tumor along with MDM2 overexpression and p16 negative expression. Aberrant methylation of the p16INK4a gene was detected in 31/50 (62%) of esophageal tumor samples, while two of the adjacent normal mucosa were methylated (P < 0.001). p16INK4a aberrant methylation was significantly associated with decreased p16 protein expression (P = 0.033), as well as the overexpression of p53 (P = 0.020).
p16 hypermethylation is the principal mechanism of p16 protein underexpression and plays an important role in ESCC development. It is associated with p53 protein overexpression and may influence the accumulation of abnormally expressed proteins in p53-MDM2 and p16-Rb pathways, suggesting a possible cross-talk of the involved pathways in ESCC development.
抑癌基因 p53 和 p16INK4a 以及原癌基因 MDM2 被认为是细胞 G1 周期调控的关键基因,其功能丧失与食管鳞癌(ESCC)的发生有关。我们评估了伊朗东北部戈勒斯坦省 ESCC 患者中 p16 基因的异常甲基化及其对 p16INK4a 蛋白表达的影响,并分析了与 p53 和 MDM2 蛋白表达的相关性。该地区 ESCC 的发病率极高,远高于世界平均水平。
采用甲基化特异性 PCR 检测 50 例 ESCC 患者的癌组织和癌旁正常组织中 p16 的甲基化状态,采用免疫组化染色检测 p16、p53 和 MDM2 蛋白的表达。
p16 和 p53 在肿瘤组织中的异常表达显著高于正常组织,但 MDM2 蛋白表达异常则不明显。p53 与 MDM2 过表达和 p16 阴性表达同时在 ESCC 肿瘤中累积。在 50 例食管肿瘤样本中,有 31 例(62%)检测到 p16INK4a 基因异常甲基化,而其中 2 例癌旁正常黏膜组织呈甲基化(P < 0.001)。p16INK4a 异常甲基化与 p16 蛋白表达降低显著相关(P = 0.033),与 p53 蛋白过表达也显著相关(P = 0.020)。
p16 高甲基化是 p16 蛋白表达下调的主要机制,在 ESCC 发生中起重要作用。它与 p53 蛋白过表达有关,并可能影响 p53-MDM2 和 p16-Rb 通路中异常表达蛋白的积累,提示参与 ESCC 发生的通路之间可能存在交叉对话。