Department of Microbiology, Immunology and Glycobiology, Institute of Laboratory Medicine, Lund University, Lund, Sweden.
Kidney Int. 2011 Nov;80(10):1064-72. doi: 10.1038/ki.2011.257. Epub 2011 Aug 3.
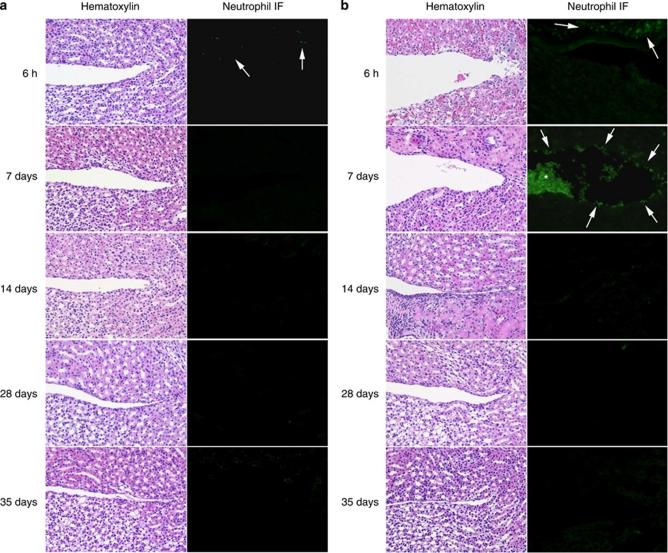
The CXCR1 receptor and chemokine CXCL8 (IL-8) support neutrophil-dependent clearance of uropathogenic Escherichia coli from the urinary tract. CXCR1 is reduced in children prone to pyelonephritis, and heterozygous hCXCR1 polymorphisms are more common in this patient group than in healthy individuals, strongly suggesting a disease association. Since murine CXCR2 (mCXCR2) is functionally similar to human CXCR1, we determined effects of gene heterozygosity on the susceptibility to urinary tract infection by infecting heterozygous (mCxcr2(+/-)) mice with uropathogenic Escherichia coli. Clearance of infection and tissue damage were assessed as a function of innate immunity in comparison to that in knockout (mCxcr2(-/-)) and wild-type (mCxcr2(+/+)) mice. Acute sepsis-associated mortality was increased and bacterial clearance drastically impaired in heterozygous compared to wild-type mice. Chemokine and neutrophil responses were delayed along with evidence of neutrophil retention and unresolved kidney inflammation 1 month after infection. This was accompanied by epithelial proliferation and subepithelial fibrosis. The heterozygous phenotype was intermediate, between knockout and wild-type mice, but specific immune cell infiltrates that accompany chronic infection in knockout mice were not found. Hence, the known heterozygous CXCR1 polymorphisms may predispose patients to acute pyelonephritis and urosepsis.
趋化因子受体 CXCR1 和趋化因子 CXCL8(IL-8)有助于中性粒细胞从泌尿道清除尿路致病性大肠杆菌。易患肾盂肾炎的儿童中 CXCR1 减少,且该患者群体中杂合 hCXCR1 多态性比健康个体更为常见,强烈提示存在疾病相关性。由于鼠类 CXCR2(mCXCR2)在功能上与人 CXCR1 相似,因此我们通过感染尿路致病性大肠杆菌来确定基因杂合性对尿路感染易感性的影响,研究对象为杂合子(mCxcr2(+/-))小鼠、敲除(mCxcr2(-/-))小鼠和野生型(mCxcr2(+/+))小鼠。与敲除和野生型小鼠相比,感染后杂合子小鼠清除感染和组织损伤的能力以及固有免疫的作用均明显降低。与野生型小鼠相比,杂合子小鼠急性败血症相关死亡率增加,且细菌清除能力显著受损。趋化因子和中性粒细胞反应延迟,感染 1 个月后出现中性粒细胞滞留和未解决的肾脏炎症,同时伴有上皮细胞增殖和上皮下纤维化。杂合子表型处于敲除和野生型之间,但在敲除小鼠中伴随慢性感染的特异性免疫细胞浸润并未发现。因此,已知的 CXCR1 杂合多态性可能使患者易患急性肾盂肾炎和尿脓毒症。