Suppr超能文献

TLR4 突变可减少小胶质细胞激活,增加 Aβ 沉积,并加重阿尔茨海默病小鼠模型的认知缺陷。

TLR4 mutation reduces microglial activation, increases Aβ deposits and exacerbates cognitive deficits in a mouse model of Alzheimer's disease.

机构信息

Department of Cancer Biology and Pharmacology, University of Illinois College of Medicine at Peoria, PO Box 1649, Peoria, IL 61656, USA.

出版信息

J Neuroinflammation. 2011 Aug 9;8:92. doi: 10.1186/1742-2094-8-92.

Abstract

BACKGROUND

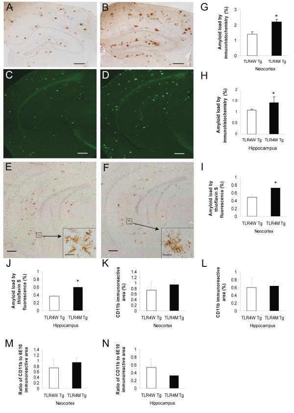
Amyloid plaques, a pathological hallmark of Alzheimer's disease (AD), are accompanied by activated microglia. The role of activated microglia in the pathogenesis of AD remains controversial: either clearing Aβ deposits by phagocytosis or releasing proinflammatory cytokines and cytotoxic substances. Microglia can be activated via toll-like receptors (TLRs), a class of pattern-recognition receptors in the innate immune system. We previously demonstrated that an AD mouse model homozygous for a loss-of-function mutation of TLR4 had increases in Aβ deposits and buffer-soluble Aβ in the brain as compared with a TLR4 wild-type AD mouse model at 14-16 months of age. However, it is unknown if TLR4 signaling is involved in initiation of Aβ deposition as well as activation and recruitment of microglia at the early stage of AD. Here, we investigated the role of TLR4 signaling and microglial activation in early stages using 5-month-old AD mouse models when Aβ deposits start.

METHODS

Microglial activation and amyloid deposition in the brain were determined by immunohistochemistry in the AD models. Levels of cerebral soluble Aβ were determined by ELISA. mRNA levels of cytokines and chemokines in the brain and Aβ-stimulated monocytes were quantified by real-time PCR. Cognitive functions were assessed by the Morris water maze.

RESULTS

While no difference was found in cerebral Aβ load between AD mouse models at 5 months with and without TLR4 mutation, microglial activation in a TLR4 mutant AD model (TLR4M Tg) was less than that in a TLR4 wild-type AD model (TLR4W Tg). At 9 months, TLR4M Tg mice had increased Aβ deposition and soluble Aβ42 in the brain, which were associated with decrements in cognitive functions and expression levels of IL-1β, CCL3, and CCL4 in the hippocampus compared to TLR4W Tg mice. TLR4 mutation diminished Aβ-induced IL-1β, CCL3, and CCL4 expression in monocytes.

CONCLUSION

This is the first demonstration of TLR4-dependent activation of microglia at the early stage of β-amyloidosis. Our results indicate that TLR4 is not involved in the initiation of Aβ deposition and that, as Aβ deposits start, microglia are activated via TLR4 signaling to reduce Aβ deposits and preserve cognitive functions from Aβ-mediated neurotoxicity.

摘要

背景

淀粉样斑块是阿尔茨海默病(AD)的一种病理标志,伴随有激活的小胶质细胞。激活的小胶质细胞在 AD 发病机制中的作用仍存在争议:小胶质细胞通过吞噬作用清除 Aβ 沉积,或者释放促炎细胞因子和细胞毒性物质。小胶质细胞可以通过 Toll 样受体(TLR)激活,TLR 是先天免疫系统中的一类模式识别受体。我们之前的研究表明,TLR4 功能丧失突变的 AD 小鼠模型在 14-16 个月大时,大脑中的 Aβ 沉积和缓冲可溶性 Aβ 增加,而 TLR4 野生型 AD 小鼠模型则没有。然而,目前尚不清楚 TLR4 信号是否参与 Aβ 沉积的起始以及 AD 早期小胶质细胞的激活和募集。在这里,我们使用 5 个月大的 AD 小鼠模型(此时开始有 Aβ 沉积)研究了 TLR4 信号和小胶质细胞激活在早期阶段的作用。

方法

通过免疫组化法确定 AD 模型中大脑中的小胶质细胞激活和淀粉样蛋白沉积情况。通过 ELISA 法测定大脑中可溶性 Aβ 的水平。通过实时 PCR 定量测定大脑中细胞因子和趋化因子以及 Aβ 刺激的单核细胞中的 mRNA 水平。通过 Morris 水迷宫评估认知功能。

结果

在 5 个月大的具有和不具有 TLR4 突变的 AD 小鼠模型中,大脑中的 Aβ 负荷没有差异,而 TLR4 突变的 AD 模型(TLR4M Tg)中的小胶质细胞激活程度低于 TLR4 野生型 AD 模型(TLR4W Tg)。在 9 个月时,TLR4M Tg 小鼠的大脑中有更多的 Aβ 沉积和可溶性 Aβ42,与 TLR4W Tg 小鼠相比,其海马中的认知功能以及 IL-1β、CCL3 和 CCL4 的表达水平下降。TLR4 突变使 Aβ 诱导的单核细胞中 IL-1β、CCL3 和 CCL4 的表达减少。

结论

这是首次证明 TLR4 依赖性小胶质细胞在β-淀粉样蛋白早期阶段的激活。我们的结果表明,TLR4 不参与 Aβ 沉积的起始,并且随着 Aβ 沉积的开始,小胶质细胞通过 TLR4 信号被激活,以减少 Aβ 沉积并防止认知功能因 Aβ 介导的神经毒性而受损。

https://cdn.ncbi.nlm.nih.gov/pmc/blobs/9c3f/3169468/424fbd6f034c/1742-2094-8-92-1.jpg

文献AI研究员

20分钟写一篇综述,助力文献阅读效率提升50倍。

立即体验

用中文搜PubMed

大模型驱动的PubMed中文搜索引擎

马上搜索

文档翻译

学术文献翻译模型,支持多种主流文档格式。

立即体验