• 文献检索
  • 文档翻译
  • 深度研究
  • 学术资讯
  • Suppr Zotero 插件Zotero 插件
  • 邀请有礼
  • 套餐&价格
  • 历史记录
应用&插件
Suppr Zotero 插件Zotero 插件浏览器插件Mac 客户端Windows 客户端微信小程序
定价
高级版会员购买积分包购买API积分包
服务
文献检索文档翻译深度研究API 文档MCP 服务
关于我们
关于 Suppr公司介绍联系我们用户协议隐私条款
关注我们

Suppr 超能文献

核心技术专利:CN118964589B侵权必究
粤ICP备2023148730 号-1Suppr @ 2026

文献检索

告别复杂PubMed语法,用中文像聊天一样搜索,搜遍4000万医学文献。AI智能推荐,让科研检索更轻松。

立即免费搜索

文件翻译

保留排版,准确专业,支持PDF/Word/PPT等文件格式,支持 12+语言互译。

免费翻译文档

深度研究

AI帮你快速写综述,25分钟生成高质量综述,智能提取关键信息,辅助科研写作。

立即免费体验

BH3 模拟物 ABT-737 提高紫杉醇治疗肝癌的疗效。

The BH3 mimetic ABT-737 increases treatment efficiency of paclitaxel against hepatoblastoma.

机构信息

Department of Paediatric Surgery and Paediatric Urology, University Children's Hospital, Hoppe-Seyler-Strasse 1, D-72076 Tübingen, Germany.

出版信息

BMC Cancer. 2011 Aug 19;11:362. doi: 10.1186/1471-2407-11-362.

DOI:10.1186/1471-2407-11-362
PMID:21854558
原文链接:https://pmc.ncbi.nlm.nih.gov/articles/PMC3176244/
Abstract

BACKGROUND

The primary goal of current chemotherapy in hepatoblastoma (HB) is reduction of tumour volume and vitality to enable complete surgical resection and reduce risk of recurrence or metastatic disease. Drug resistance remains a major challenge for HB treatment. In some malignancies inhibition of anti-apoptotic pathways using small BH3 mimetic molecules like ABT-737 shows synergistic effects in combination with cystotoxic agents in vitro. Now we analysed toxicology and synergistic effects of this approach in HB cells and HB xenografts.

METHODS

Viability was monitored in HB cells (HUH6 and HepT1) and fibroblasts treated with paclitaxel, ABT-737 and a combination of both in a MTT assay. HUH6 xenotransplants in NOD/LtSz-scid IL2Rγnull mice (NSG) were treated accordingly. Tumour volume and body weight were monitored. Xenografted tumours were analysed by histology and immunohistochemistry (Ki-67 and TUNEL assay).

RESULTS

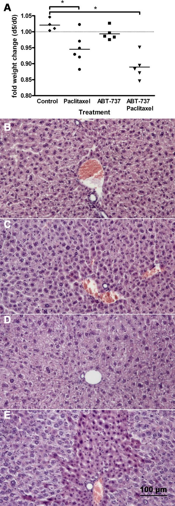
ABT-737 reduced viability in HUH6 and HepT1 cells cultures at concentrations above 1 μM and also enhanced the cytotoxic effect of paclitaxel when used in combination. Thereby paclitaxel could be reduced tenfold to achieve similar reduction of viability of tumour cells. In contrast no toxicity in fibroblasts was observed at the same regiments. Subcutaneous HB (HUH6) treated with paclitaxel (12 mg/kg body weight, n = 7) led to delayed tumour growth in the beginning of the experiment. However, tumour volume was similar to controls (n = 5) at day 25. Combination treatment with paclitaxel and ABT-737 (100 mg/kg, n = 8) revealed significantly 10 fold lower relative tumour volumes compared to control and paclitaxel groups. Paclitaxel dependent toxicity was observed in this mice strain.

CONCLUSIONS

Our results demonstrate enhancement of chemotherapy by using modulators of apoptosis. Further analyses should include improved pharmacological formulations of paclitaxel and BH3 mimetics in order to reduce toxicological effects. Sensitising HB to apoptosis may also render resistant HB susceptible to established chemotherapy regimens.

摘要

背景

目前肝癌(HB)化疗的主要目标是降低肿瘤体积和活力,以实现完全手术切除,并降低复发或转移性疾病的风险。耐药性仍然是 HB 治疗的主要挑战。在一些恶性肿瘤中,使用小分子 BH3 模拟物如 ABT-737 抑制抗凋亡途径,在体外与细胞毒性药物联合使用时显示出协同作用。现在我们分析了这种方法在 HB 细胞和 HB 异种移植中的毒理学和协同作用。

方法

用 MTT 法检测紫杉醇、ABT-737 及两者联合处理 HB 细胞(HUH6 和 HepT1)和成纤维细胞的活力。用相应方法处理 NOD/LtSz-scid IL2Rγnull 小鼠(NSG)中的 HUH6 异种移植瘤。监测肿瘤体积和体重。用组织学和免疫组化(Ki-67 和 TUNEL 检测)分析异种移植瘤。

结果

ABT-737 在浓度高于 1 μM 时降低 HUH6 和 HepT1 细胞培养物的活力,并且与紫杉醇联合使用时增强其细胞毒性作用。因此,紫杉醇的用量可以减少十倍,而肿瘤细胞活力的降低程度相似。相反,在相同的条件下,成纤维细胞没有毒性。用紫杉醇(12 mg/kg 体重,n = 7)处理皮下 HB(HUH6),在实验开始时导致肿瘤生长延迟。然而,在第 25 天,肿瘤体积与对照组(n = 5)相似。与对照组和紫杉醇组相比,紫杉醇和 ABT-737 联合治疗(100 mg/kg,n = 8)的相对肿瘤体积显著降低 10 倍。在这种小鼠品系中观察到紫杉醇依赖的毒性。

结论

我们的结果表明,使用凋亡调节剂增强化疗效果。进一步的分析应包括改进紫杉醇和 BH3 模拟物的药理学配方,以降低毒理学效应。使 HB 对凋亡敏感也可能使耐药 HB 对现有化疗方案敏感。

https://cdn.ncbi.nlm.nih.gov/pmc/blobs/1caf/3176244/59afbff8e83a/1471-2407-11-362-4.jpg
https://cdn.ncbi.nlm.nih.gov/pmc/blobs/1caf/3176244/ca7ef8c52eb5/1471-2407-11-362-1.jpg
https://cdn.ncbi.nlm.nih.gov/pmc/blobs/1caf/3176244/5e6de14893be/1471-2407-11-362-2.jpg
https://cdn.ncbi.nlm.nih.gov/pmc/blobs/1caf/3176244/4c478f0754f9/1471-2407-11-362-3.jpg
https://cdn.ncbi.nlm.nih.gov/pmc/blobs/1caf/3176244/59afbff8e83a/1471-2407-11-362-4.jpg
https://cdn.ncbi.nlm.nih.gov/pmc/blobs/1caf/3176244/ca7ef8c52eb5/1471-2407-11-362-1.jpg
https://cdn.ncbi.nlm.nih.gov/pmc/blobs/1caf/3176244/5e6de14893be/1471-2407-11-362-2.jpg
https://cdn.ncbi.nlm.nih.gov/pmc/blobs/1caf/3176244/4c478f0754f9/1471-2407-11-362-3.jpg
https://cdn.ncbi.nlm.nih.gov/pmc/blobs/1caf/3176244/59afbff8e83a/1471-2407-11-362-4.jpg

相似文献

1
The BH3 mimetic ABT-737 increases treatment efficiency of paclitaxel against hepatoblastoma.BH3 模拟物 ABT-737 提高紫杉醇治疗肝癌的疗效。
BMC Cancer. 2011 Aug 19;11:362. doi: 10.1186/1471-2407-11-362.
2
Increased efficacy of CDDP in a xenograft model of hepatoblastoma using the apoptosis sensitizer ABT-737.使用凋亡敏化剂 ABT-737 提高肝癌异种移植模型中 CDDP 的疗效。
Oncol Rep. 2013 Feb;29(2):646-52. doi: 10.3892/or.2012.2150. Epub 2012 Nov 27.
3
BH3-mimetic drugs prevent tumour onset in an orthotopic mouse model of hepatoblastoma.BH3 模拟药物可预防肝母细胞瘤原位小鼠模型中的肿瘤发生。
Exp Cell Res. 2014 Mar 10;322(1):217-25. doi: 10.1016/j.yexcr.2013.12.007. Epub 2013 Dec 16.
4
Inhibition of Bcl-2 and Bcl-X enhances chemotherapy sensitivity in hepatoblastoma cells.抑制 Bcl-2 和 Bcl-X 可增强肝癌细胞对化疗的敏感性。
Pediatr Blood Cancer. 2010 Dec 1;55(6):1089-95. doi: 10.1002/pbc.22740.
5
Apoptosis sensitizers enhance cytotoxicity in hepatoblastoma cells.凋亡敏化剂可增强肝母细胞瘤细胞的细胞毒性。
Pediatr Surg Int. 2012 Feb;28(2):149-59. doi: 10.1007/s00383-011-2988-z.
6
The role of BH3-mimetic drugs in the treatment of pediatric hepatoblastoma.BH3模拟药物在儿童肝母细胞瘤治疗中的作用。
Int J Mol Sci. 2015 Feb 16;16(2):4190-208. doi: 10.3390/ijms16024190.
7
The IGF-1 receptor inhibitor picropodophyllin potentiates the anti-myeloma activity of a BH3-mimetic.胰岛素样生长因子-1受体抑制剂鬼臼苦素增强了BH3模拟物的抗骨髓瘤活性。
Oncotarget. 2014 Nov 30;5(22):11193-208. doi: 10.18632/oncotarget.1933.
8
The Bcl-2/Bcl-XL family inhibitor ABT-737 sensitizes ovarian cancer cells to carboplatin.Bcl-2/Bcl-XL家族抑制剂ABT-737使卵巢癌细胞对卡铂敏感。
Clin Cancer Res. 2007 Dec 1;13(23):7191-8. doi: 10.1158/1078-0432.CCR-07-0362.
9
Rapamycin rescues ABT-737 efficacy in small cell lung cancer.雷帕霉素挽救 ABT-737 在小细胞肺癌中的疗效。
Cancer Res. 2014 May 15;74(10):2846-56. doi: 10.1158/0008-5472.CAN-13-3460. Epub 2014 Mar 10.
10
Inhibition of PI3K/BMX Cell Survival Pathway Sensitizes to BH3 Mimetics in SCLC.抑制PI3K/BMX细胞存活通路可使小细胞肺癌对BH3模拟物敏感。
Mol Cancer Ther. 2016 Jun;15(6):1248-60. doi: 10.1158/1535-7163.MCT-15-0885. Epub 2016 Mar 29.

引用本文的文献

1
MCL1 binding to the reverse BH3 motif of P18INK4C couples cell survival to cell proliferation.MCL1 与 P18INK4C 的反向 BH3 基序结合将细胞存活与细胞增殖偶联。
Cell Death Dis. 2020 Feb 28;11(2):156. doi: 10.1038/s41419-020-2351-1.
2
Regulating the BCL2 Family to Improve Sensitivity to Microtubule Targeting Agents.调控 BCL2 家族以提高对微管靶向药物的敏感性。
Cells. 2019 Apr 12;8(4):346. doi: 10.3390/cells8040346.
3
High content screening of patient-derived cell lines highlights the potential of non-standard chemotherapeutic agents for the treatment of glioblastoma.

本文引用的文献

1
Quality of life, geriatric assessment and survival in elderly patients with non-small-cell lung cancer treated with carboplatin-gemcitabine or carboplatin-paclitaxel: NVALT-3 a phase III study.卡铂-吉西他滨或卡铂-紫杉醇治疗老年非小细胞肺癌患者的生活质量、老年综合评估和生存:NVALT-3 期研究。
Ann Oncol. 2011 Jul;22(7):1520-1527. doi: 10.1093/annonc/mdq637. Epub 2011 Jan 20.
2
Effectiveness of liposomal paclitaxel against MCF-7 breast cancer cells.脂质体紫杉醇对 MCF-7 乳腺癌细胞的作用。
Can J Physiol Pharmacol. 2010 Dec;88(12):1172-80. doi: 10.1139/Y10-097.
3
Use of paclitaxel for advanced ovarian cancer in clinical practice: analysis of 541 patients. Results from a German multi-centre observational study.
对患者来源细胞系进行高通量筛选,突出了非标准化疗药物治疗神经胶质瘤的潜力。
PLoS One. 2018 Mar 2;13(3):e0193694. doi: 10.1371/journal.pone.0193694. eCollection 2018.
4
Hepatoblastoma: A Need for Cell Lines and Tissue Banks to Develop Targeted Drug Therapies.肝母细胞瘤:为开发靶向药物疗法需要细胞系和组织库。
Front Pediatr. 2016 Mar 21;4:22. doi: 10.3389/fped.2016.00022. eCollection 2016.
5
AMPK and PFKFB3 mediate glycolysis and survival in response to mitophagy during mitotic arrest.AMPK 和 PFKFB3 介导糖酵解,并在有丝分裂阻滞期间通过线粒体自噬促进存活。
Nat Cell Biol. 2015 Oct;17(10):1304-16. doi: 10.1038/ncb3231. Epub 2015 Aug 31.
6
The role of BH3-mimetic drugs in the treatment of pediatric hepatoblastoma.BH3模拟药物在儿童肝母细胞瘤治疗中的作用。
Int J Mol Sci. 2015 Feb 16;16(2):4190-208. doi: 10.3390/ijms16024190.
7
Mitochondria-mediated apoptosis in mammals.哺乳动物中由线粒体介导的细胞凋亡。
Protein Cell. 2014 Oct;5(10):737-49. doi: 10.1007/s13238-014-0089-1. Epub 2014 Jul 31.
8
Targeting EpCAM (CD326) for immunotherapy in hepatoblastoma.靶向上皮细胞黏附分子(EpCAM,CD326)用于肝母细胞瘤的免疫治疗
Oncoimmunology. 2013 Jan 1;2(1):e22620. doi: 10.4161/onci.22620.
9
Effect of duplex drugs linking 2'-deoxy-5-fluorouridine (5-FdU) with 3'-C-ethynylcytidine (ECyd) on hepatoblastoma cell lines.将2'-脱氧-5-氟尿苷(5-FdU)与3'-C-乙炔基胞苷(ECyd)连接的双联药物对肝母细胞瘤细胞系的影响。
Pediatr Surg Int. 2013 Feb;29(2):121-7. doi: 10.1007/s00383-012-3192-5.
10
A germline-competent embryonic stem cell line from NOD.Cg-Prkdc ( scid ) Il2rg ( tm1Wjl )/SzJ (NSG) mice.NOD.Cg-Prkdc(scid)Il2rg(tm1Wjl)/SzJ(NSG) 小鼠来源的具有种系嵌合能力的胚胎干细胞系。
Transgenic Res. 2013 Feb;22(1):179-85. doi: 10.1007/s11248-012-9629-8. Epub 2012 Jul 6.
临床实践中紫杉醇在晚期卵巢癌中的应用:541 例患者分析。一项德国多中心观察性研究的结果。
Anticancer Res. 2010 Oct;30(10):4245-50.
4
Paclitaxel-dependent cell lines reveal a novel drug activity.紫杉醇依赖性细胞系揭示了一种新的药物活性。
Mol Cancer Ther. 2010 Nov;9(11):2914-23. doi: 10.1158/1535-7163.MCT-10-0552. Epub 2010 Oct 26.
5
Inhibition of Bcl-2 and Bcl-X enhances chemotherapy sensitivity in hepatoblastoma cells.抑制 Bcl-2 和 Bcl-X 可增强肝癌细胞对化疗的敏感性。
Pediatr Blood Cancer. 2010 Dec 1;55(6):1089-95. doi: 10.1002/pbc.22740.
6
Successful treatment of childhood high-risk hepatoblastoma with dose-intensive multiagent chemotherapy and surgery: final results of the SIOPEL-3HR study.成功治疗儿童高危肝母细胞瘤的剂量密集型多药化疗和手术:SIOPEL-3HR 研究的最终结果。
J Clin Oncol. 2010 May 20;28(15):2584-90. doi: 10.1200/JCO.2009.22.4857. Epub 2010 Apr 20.
7
In vivo toxicity and bioavailability of Taxol and a paclitaxel/beta-cyclodextrin formulation in a rat model during HIPEC.紫杉醇及其紫杉醇/β-环糊精制剂在 HIPEC 大鼠模型中的体内毒性和生物利用度。
Ann Surg Oncol. 2010 Sep;17(9):2510-7. doi: 10.1245/s10434-010-1028-x. Epub 2010 Mar 26.
8
Surgery with or without preoperative paclitaxel and carboplatin in early-stage non-small-cell lung cancer: Southwest Oncology Group Trial S9900, an intergroup, randomized, phase III trial.紫杉醇和卡铂术前或术后手术治疗早期非小细胞肺癌:西南肿瘤协作组 S9900 试验,一项多中心、随机、III 期临床试验。
J Clin Oncol. 2010 Apr 10;28(11):1843-9. doi: 10.1200/JCO.2009.26.1685. Epub 2010 Mar 15.
9
The Bcl-2 homology domain 3 mimetic ABT-737 targets the apoptotic machinery in acute lymphoblastic leukemia resulting in synergistic in vitro and in vivo interactions with established drugs.Bcl-2 同源结构域 3 模拟物 ABT-737 靶向急性淋巴细胞白血病的凋亡机制,导致与现有药物在体外和体内协同相互作用。
Mol Pharmacol. 2010 Mar;77(3):483-94. doi: 10.1124/mol.109.060780. Epub 2009 Dec 28.
10
The protective effect of beta-1,3-D-glucan on taxol-induced hepatotoxicity: a histopathological and stereological study.β-1,3-D-葡聚糖对紫杉醇诱导肝毒性的保护作用:一项组织病理学和体视学研究。
Drug Chem Toxicol. 2010;33(1):8-16. doi: 10.3109/01480540903380472.