Suppr超能文献

利用镓-68-DOTA-D-苯丙氨酸1-酪氨酸3-奥曲肽正电子发射断层扫描进行功能成像未能定位异位促肾上腺皮质激素分泌部位:一例报告。

Failure of functional imaging with gallium-68-DOTA-D-Phe1-Tyr3-octreotide positron emission tomography to localize the site of ectopic adrenocorticotropic hormone secretion: a case report.

作者信息

Gani Linsey U, Gianatti Emily J, Cheung Ada S, Jerums George, Macisaac Richard J

机构信息

Endocrine Centre and Department of Medicine, Austin Health and University of Melbourne, PO BOX 5444, Heidelberg West 3081, Victoria, Australia.

出版信息

J Med Case Rep. 2011 Aug 23;5:405. doi: 10.1186/1752-1947-5-405.

Abstract

INTRODUCTION

The diagnostic efficacy of biochemical and imaging modalities for investigating the causes of Cushing's syndrome are limited. We report a case demonstrating the limitations of these modalities, especially the inability of functional imaging to help localize the site of ectopic adrenocorticotropic hormone secretion.

CASE PRESENTATION

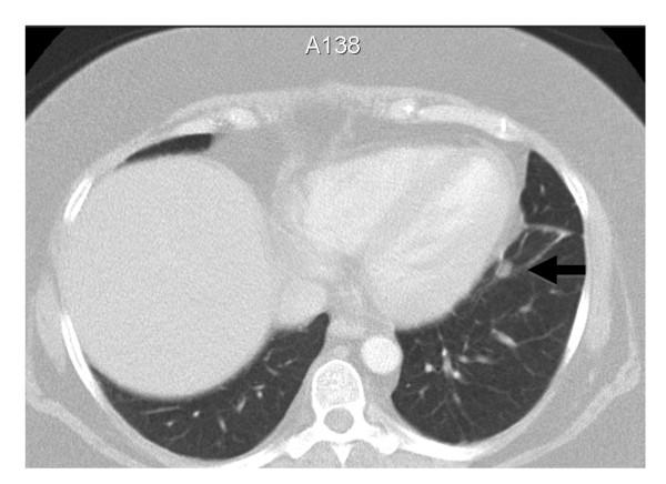
A 37-year-old Arabian woman presented with 12 months of progressive Cushing's syndrome-like symptoms. Biochemical evaluation confirmed adrenocorticotropic hormone -dependent Cushing's syndrome. However, the anatomical site of her excess adrenocorticotropic hormone secretion was not clearly delineated by further investigations. Magnetic resonance imaging of our patient's pituitary gland failed to demonstrate the presence of an adenoma. Spiral computed tomography of her chest only revealed the presence of a non-specific 7 mm lesion in her left inferobasal lung segment. Functional imaging, including a positron emission tomography scan using 18-fluorodeoxyglucose and gallium-68-DOTA-D-Phe1-Tyr3-octreotide, also failed to show increased metabolic activity in the lung lesion or in her pituitary gland. Our patient was commenced on medical treatment with ketoconazole and metyrapone to control the clinical features associated with her excess cortisol secretion. Despite initial normalization of her urinary free cortisol excretion rate, levels began to rise eight months after commencement of medical treatment. Repeated imaging of her pituitary gland, chest and pelvis again failed to clearly localize a source of her excess adrenocorticotropic hormone secretion. The bronchial nodule was stable in size on serial imaging and repeatedly reported as having a nonspecific appearance of a small granuloma or lymph node. We re-explored the treatment options and endorsed our patient's favored choice of resection of the bronchial nodule, especially given that her symptoms of cortisol excess were difficult to control and refractory. Subsequently, our patient had the bronchial nodule resected. The histological appearance of the lesion was consistent with that of a carcinoid tumor and immunohistochemical analysis revealed that the tumor stained strongly positive for adrenocorticotropic hormone. Furthermore, removal of the lung lesion resulted in a normalization of our patient's 24-hour urinary free cortisol excretion rate and resolution of her symptoms and signs of hypercortisolemia.

CONCLUSION

This case report demonstrates the complexities and challenges in diagnosing the causes of adrenocorticotropic hormone -dependent Cushing's syndrome. Functional imaging may not always localize the site of ectopic adrenocorticotropic hormone secretion.

摘要

引言

生化检查和影像学检查手段在库欣综合征病因诊断中的效能有限。我们报告一例病例,展示了这些检查手段的局限性,尤其是功能成像无法帮助定位异位促肾上腺皮质激素分泌部位。

病例介绍

一名37岁的阿拉伯女性出现了12个月逐渐加重的库欣综合征样症状。生化评估证实为促肾上腺皮质激素依赖性库欣综合征。然而,进一步检查未能明确其促肾上腺皮质激素分泌过多的确切解剖部位。对该患者垂体进行的磁共振成像未显示腺瘤存在。胸部螺旋计算机断层扫描仅发现其左下肺段有一个7毫米的非特异性病变。包括使用18-氟脱氧葡萄糖的正电子发射断层扫描和镓-68-DOTA-D-苯丙氨酸-酪氨酸-奥曲肽在内的功能成像,也未显示肺部病变或垂体有代谢活性增加。该患者开始使用酮康唑和甲吡酮进行药物治疗,以控制与皮质醇分泌过多相关联的临床特征。尽管其尿游离皮质醇排泄率最初恢复正常,但在药物治疗开始8个月后水平开始上升。对其垂体、胸部和骨盆进行的重复成像再次未能明确定位其促肾上腺皮质激素分泌过多的确切部位。支气管结节在系列成像中大小稳定,多次报告显示为小肉芽肿或淋巴结的非特异性表现模样模样模样模样模样模样模样模样模样模样模样模样模样模样模样模样模样模样模样模样模样模样模样模样模样模样模样模样模样模样模样模样模样模样模样模样模样模样模样模样模样模样模样模样模样模样模样模样模样模样模样模样模样模样模样模样模样模样模样模样模样模样模样模样模样模样模样模样模样模样模样模样模样模样模样模样模样模样模样模样模样模样模样模样模样模样模样模样模样模样模样模样模样模样模样模样模样模样模样模样模样模样模样模样模样模样模样模样模样模样模样模样模样模样模样模样模样模样模样模样模样模样模样模样模样模样模样模样模样模样模样模样模样模样模样模样模样模样模样模样模样模样模样模样模样模样模样模样模样模样模样模样模样模样模样模样模样模样模样模样模样模样模样模样模样模样模样模样模样模样模样模样模样模样模样模样模样模样模样模样模样模样模样模样模样模样模样模样模样模样模样模样模样模样模样模样模样模样模样模样模样模样模样模样模样模样模样模样模样模样模样模样模样模样模样模样模样模样模样模样模样模样模样模样模样模样模样模样模样模样模样模样模样模样模样模样模样模样模样模样模样模样模样模样模样模样模样模样模样模样模样模样模样模样模样模样模样模样模样模样模样模样模样模样模样模样模样模样模样模样模样模样模样模样模样模样模样模样模样模样模样模样模样模样模样模样模样模样模样模样模样模样模样模样模样模样模样模样模样模样模样模样模样模样模样模样模样模样模样模样模样模样模样模样模样模样模样模样模样模样模样模样模样模样模样模样模样模样模样模样模样模样模样模样模样模样模样模样模样模样模样模样模样模样模样模样模样模样模样模样模样模样模样模样模样模样模样模样模样模样模样模样模样模样模样模样模样模样模样模样模样模样模样模样模样模样模样模样模样模样模样模样模样模样模样模样模样模样模样模样模样模样模样模样模样模样模样模样模样模样模样模样模样模样模样模样模样模样模样模样模样模样模样模样模样模样模样模样模样模样模样模样模样模样模样模样模样模样模样模样模样模样模样模样模样模样模样模样模样模样模样模样模样模样模样模样模样模样模样模样模样模样模样模样模样模样模样模样模样模样模样模样模样模样模样模样模样模样模样模样模样模样模样模样模样模样模样模样模样模样模样模样模样模样模样模样模样模样模样模样模样模样模样模样模样模样模样模样模样模样模样模样模样模样模样模样模样模样模样模样模样模样模样模样模样模样模样模样模样模样模样模样模样模样模样模样模样模样模样模样模样模样模样模样模样模样模样模样模样模样模样模样模样模样模样模样模样模样模样模样模样模样模样模样模样模样模样模样模样模样模样模样模样模样模样模样模样模样模样模样模样模样模样模样模样模样模样模样模样模样模样模样模样模样模样模样模样模样模样模样模样模样模样模样模样模样模样模样模样模样模样模样模样模样模样模样模样模样模样模样模样模样模样模样模样模样模样模样模样模样模样模样模样模样模样模样模样模样模样模样模样模样模样模样模样模样模样模样模样模样模样模样模样模样模样模样模样模样模样模样模样模样模样模样模样模样模样模样模样模样模样模样模样模样模样模样模样模样模样模样模样模样模样模样模样模样模样模样模样模样模样模样模样模样模样模样模样模样模样模样模样模样模样模样模样模样模样模样模样模样模样模样模样模样模样模样模样模样模样模样模样模样模样模样模样模样模样模样模样模样模样模样模样模样模样模样模样模样模样模样模样模样模样模样模样模样模样模样模样模样模样模样模样模样模样模样模样模样模样模样模样模样模样模样模样模样模样模样模样模样模样模样模样模样模样模样模样模样模样模样模样模样模样模样模样模样模样模样模样模样模样模样模样模样模样模样模样模样模样模样模样模样模样模样模样模样模样模样模样模样模样模样模样模样模样模样模样模样模样模样模样模样模样模样模样模样模样模样模样模样模样模样模样模样模样模样模样模样模样模样模样模样模样模样模样模样模样模样模样模样模样模样模样模样模样模样模样模样模样模样模样模样模样模样模样模样模样模样模样模样模样模样模样模样模样模样模样模样模样模样模样模样模样模样模样模样模样模样模样模样模样模样模样模样模样模样模样模样模样模样模样模样模样模样模样模样模样模样模样模样模样模样模样模样模样模样模样模样模样模样模样模样模样模样模样模样模样模样模样模样模样模样模样模样模样模样模样模样模样模样模样模样模样模样模样模样模样模样模样模样模样模样模样模样模样模样模样模样模样模样模样模样模样模样模样模样模样模样模样模样模样模样模样模样模样模样模样模样模样模样模样模样模样模样模样模样模样模样模样模样模样模样模样模样模样模样模样模样模样模样模样模样模样模样模样模样模样模样模样模样模样模样模样模样模样模样模样模样模样模样模样模样模样模样模样模样模样模样模样模样模样模样模样模样模样模样模样模样模样模样模样模样模样模样模样模样模样模样模样模样模样模样模样模样模样模样模样模样模样模样模样模样模样模样模样模样模样模样模样模样模样模样模样模样模样模样模样模样模样模样模样模样模样模样模样模样模样模样模样模样模样模样模样模样模样模样模样模样模样模样模样模样模样模样模样模样模样模样模样模样模样模样模样模样模样模样模样模样模样模样模样模样模样模样模样模样模样模样模样模样模样模样模样模样模样模样模样模样模样模样模样模样模样模样模样模样模样模样模样模样模样模样模样模样模样模样模样模样模样模样模样模样模样模样模样模样模样模样模样模样模样模样模样模样模样模样模样模样模样模样模样模样模样模样模样模样模样模样模样模样模样模样模样模样模样模样模样模样模样模样模样模样模样模样模样模样模样模样模样模样模样模样模样模样模样模样模样模样模样模样模样模样模样模样模样模样模样模样模样模样模样模样模样模样模样模样模样模样模样模样模样模样模样模样模样模样模样模样模样模样模样模样模样模样模样模样模样模样模样模样模样模样模样模样模样模样模样模样模样模样模样模样模样模样模样模样模样模样模样模样模样模样模样模样模样模样模样模样模样模样模样模样模样模样模样模样模样模样模样模样模样模样模样模样模样模样模样模样模样模样模样模样模样模样模样模样模样模样模样模样模样模样模样模样模样模样模样模样模样模样模样模样模样模样模样模样模样模样模样模样模样模样模样模样模样模样模样模样模样模样模样模样模样模样模样模样模样模样模样模样模样模样模样模样模样模样模样模样模样模样模样模样模样模样模样模样模样模样模样模样模样模样模样模样模样模样模样模样模样模样模样模样模样模样模样模样模样模样模样模样模样模样模样模样模样模样模样模样模样模样模样模样模样模样模样模样模样模样模样模样模样模样模样模样模样模样模样模样模样模样模样模样模样模样模样模样模样模样模样模样模样模样模样模样模样模样模样模样模样模样模样模样模样模样模样模样模样模样模样模样模样模样模样模样模样模样模样模样模样模样模样模样模样模样模样模样模样模样模样模样模样模样模样模样模样模样模样模样模样模样模样模样模样模样模样模样模样模样模样模样模样模样模样模样模样模样模样模样模样模样模样模样模样模样模样模样模样模样模样模样模样模样模样模样模样模样模样模样模样模样模样模样模样模样模样模样模样模样模样模样模样模样模样模样模样模样模样模样模样模样模样模样模样模样模样模样模样模样模样模样模样模样模样模样模样模样模样模样模样模样模样模样模样模样模样模样模样模样模样模样模样模样模样模样模样模样模样模样模样模样模样模样模样模样模样模样模样模样模样模样模样模样模样模样模样模样模样模样模样模样模样模样模样模样模样模样模样模样模样模样模样模样模样模样模样模样模样模样模样模样模样模样模样模样模样模样模样模样模样模样模样模样模样模样模样模样模样模样模样模样模样模样模样模样模样模样模样模样模样模样模样模样模样模样模样模样模样模样模样模样模样模样模样模样模样模样模样模样模样模样模样模样模样模样模样模样模样模样模样模样模样模样模样模样模样模样模样模样模样模样模样模样模样模样模样模样模样模样模样模样模样模样模样模样模样模样模样模样模样模样模样模样模样模样模样模样模样模样模样模样模样模样模样模样模样模样模样模样模样模样模样模样模样模样模样模样模样模样模样模样模样模样模样模样模样模样模样模样模样模样模样模样模样模样模样模样模样模样模样模样模样模样模样模样模样模样模样模样模样模样模样模样模样模样模样模样模样模样模样模样模样模样模样模样模样模样模样模样模样模样模样模样模样模样模样模样模样模样模样模样模样模样模样模样模样模样模样模样模样模样模样模样模样模样模样模样模样模样模样模样模样模样模样模样模样模样模样模样模样模样模样模样模样模样模样模样模样模样模样模样模样模样模样模样模样模样模样模样模样模样模样模样模样模样模样模样模样模样模样模样模样模样模样模样模样模样模样模样模样模样模样模样模样模样模样模样模样模样模样模样模样模样模样模样模样模样模样模样模样模样模样模样模样模样模样模样模样模样模样模样模样模样模样模样模样模样模样模样模样模样模样模样模样模样模样模样模样模样模样模样模样模样模样模样模样模样模样模样模样模样模样模样模样模样模样模样模样模样模样模样模样模样模样模样模样模样模样模样模样模样模样模样模样模样模样模样模样模样模样模样模样模样模样模样模样模样模样模样模样模样模样模样模样模样模样模样模样模样模样模样模样模样模样模样模样模样模样模样模样模样模样模样模样模样模样模样模样模样模样模样模样模样模样模样模样模样模样模样模样模样模样模样模样模样模样模样模样模样模样模样模样模样模样模样模样模样模样模样模样模样模样模样模样模样模样模样模样模样模样模样模样模样模样模样模样模样模样模样模样模样模样模样模样模样模样模样模样模样模样模样模样模样模样模样模样模样模样模样模样模样模样模样模样模样模样模样模样模样模样模样模样模样模样模样模样模样模样模样模样模样模样模样模样模样模样模样模样模样模样模样模样模样模样模样模样模样模样模样模样模样模样模样模样模样模样模样模样模样模样模样模样模样模样模样模样模样模样模样模样模样模样模样模样模样模样模样模样模样模样模样模样模样模样模样模样模样模样模样模样模样模样模样模样模样模样模样模样模样模样模样模样模样模样模样模样模样模样模样模样模样模样模样模样模样模样模样模样模样模样模样模样模样模样模样模样模样模样模样模样模样模样模样模样模样模样模样模样模样模样模样模样模样模样模样模样模样模样模样模样模样模样模样模样模样模样模样模样模样模样模样模样模样模样模样模样模样模样模样模样模样模样模样模样模样模样模样模样模样模样模样模样模样模样模样模样模样模样模样模样模样模样模样模样模样模样模样模样模样模样模样模样模样模样模样模样模样模样模样模样模样模样模样模样模样模样模样模样模样模样模样模样模样模样模样模样模样模样模样模样模样模样模样模样模样模样模样模样模样模样模样模样模样模样模样模样模样模样模样模样模样模样模样模样模样模样模样模样模样模样模样模样模样模样模样模样模样模样模样模样模样模样模样模样模样模样模样模样模样模样模样模样模样模样模样模样模样模样模样模样模样模样模样模样模样模样模样模样模样模样模样模样模样模样模样模样模样模样模样模样模样模样模样模样模样模样模样模样模样模样模样模样模样模样模样模样模样模样模样模样模样模样模样模样模样模样模样模样模样模样模样模样模样模样模样模样模样模样模样模样模样模样模样模样模样模样模样模样模样模样模样模样模样模样模样模样模样模样模样模样模样模样模样模样模样模样模样模样模样模样模样模样模样模样模样模样模样模样模样模样模样模样模样模样模样模样模样模样模样模样模样模样模样模样模样模样模样模样模样模样模样模样模样模样模样模样模样模样模样模样模样模样模样模样模样模样模样模样模样模样模样模样模样模样模样模样模样模样模样模样模样模样模样模样模样模样模样模样模样模样模样模样模样模样模样模样模样模样模样模样模样模样模样模样模样模样模样模样模样模样模样模样模样模样模样模样模样模样模样模样模样模样模样模样模样模样模样模样模样模样模样模样模样模样模样模样模样模样模样模样模样模样模样模样模样模样模样模样模样模样模样模样模样模样模样模样模样模样模样模样模样模样模样模样模样模样模样模样模样模样模样模样模样模样模样模样模样模样模样模样模样模样模样模样模样模样模样模样模样模样模样模样模样模样模样模样模样模样模样模样模样模样模样模样模样模样模样模样模样模样模样模样模样模样模样模样模样模样模样模样模样模样模样模样模样模样模样模样模样模样模样模样模样模样模样模样模样模样模样模样模样模样模样模样模样模样模样模样模样模样模样模样模样模样模样模样模样模样模样模样模样模样模样模样模样模样模样模样模样模样模样模样模样模样模样模样模样模样模样模样模样模样模样模样模样模样模样模样模样模样模样模样模样模样模样模样模样模样模样模样模样模样模样模样模样模样模样模样模样模样模样模样模样模样模样模样模样模样模样模样模样模样模样模样模样模样模样模样模样模样模样模样模样模样模样模样模样模样模样模样模样模样模样模样模样模样模样模样模样模样模样模样模样模样模样模样模样模样模样模样模样模样模样模样模样模样模样模样模样模样模样模样模样模样模样模样模样模样模样模样模样模样模样模样模样模样模样模样模样模样模样模样模样模样模样模样模样模样模样模样模样模样模样模样模样模样模样模样模样模样模样模样模样模样模样模样模样模样模样模样模样模样模样模样模样模样模样模样模样模样模样模样模样模样模样模样模样模样模样模样模样模样模样模样模样模样模样模样模样模样模样模样模样模样模样模样模样模样模样模样模样模样模样模样模样模样模样模样模样模样模样模样模样模样模样模样模样模样模样模样模样模样模样模样模样模样模样模样模样模样模样模样模样模样模样模样模样模样模样模样模样模样模样模样模样模样模样模样模样模样模样模样模样模样模样模样模样模样模样模样模样模样模样模样模样模样模样模样模样模样模样模样模样模样模样模样模样模样模样模样模样模样模样模样模样模样模样模样模样模样模样模样模样模样模样模样模样模样模样模样模样模样模样模样模样模样模样模样模样模样模样模样模样模样模样模样模样模样模样模样模样模样模样模样模样模样模样模样模样模样模样模样模样模样模样模样模样模样模样模样模样模样模样模样模样模样模样模样模样模样模样模样模样模样模样模样模样模样模样模样模样模样模样模样模样模样模样模样模样模样模样模样模样模样模样模样模样模样模样模样模样模样模样模样模样模样模样模样模样模样模样模样模样模样模样模样模样模样模样模样模样模样模样模样模样模样模样模样模样模样模样模样模样模样模样模样模样模样模样模样模样模样模样模样模样模样模样模样模样模样模样模样模样模样模样模样模样模样模样模样模样模样模样模样模样模样模样模样模样模样模样模样模样模样模样模样模样模样模样模样模样模样模样模样模样模样模样模样模样模样模样模样模样模样模样模样模样模样模样模样模样模样模样模样模样模样模样模样模样模样模样模样模样模样模样模样模样模样模样模样模样模样模样模样模样模样模样模样模样模样模样模样模样模样模样模样模样模样模样模样模样模样模样模样模样模样模样模样模样模样模样模样模样模样模样模样模样模样模样模样模样模样模样模样模样模样模样模样模样模样模样模样模样模样模样模样模样模样模样模样模样模样模样模样模样模样模样模样模样模样模样模样模样模样模样模样模样模样模样模样模样模样模样模样模样模样模样模样模样模样模样模样模样模样模样模样模样模样模样模样模样模样模样模样模样模样模样模样模样模样模样模样模样模样模样模样模样模样模样模样模样模样模样模样模样模样模样模样模样模样模样模样模样模样模样模样模样模样模样模样模样模样模样模样模样模样模样模样模样模样模样模样模样模样模样模样模样模样模样模样模样模样模样模样模样模样模样模样模样模样模样模样模样模样模样模样模样模样模样模样模样模样模样模样模样模样模样模样模样模样模样模样模样模样模样模样模样模样模样模样模样模样模样模样模样模样模样模样模样模样模样模样模样模样模样模样模样模样模样模样模样模样模样模样模样模样模样模样模样模样模样模样模样模样模样模样模样模样模样模样模样模样模样模样模样模样模样模样模样模样模样模样模样模样模样模样模样模样模样模样模样模样模样模样模样模样模样模样模样模样模样模样模样模样模样模样模样模样模样模样模样模样模样模样模样模样模样模样模样模样模样模样模样模样模样模样模样模样模样模样模样模样模样模样模样模样模样模样模样模样模样模样模样模样模样模样模样模样模样模样模样模样模样模样模样模样模样模样模样模样模样模样模样模样模样模样模样模样模样模样模样模样模样模样模样模样模样模样模样模样模样模样模样模样模样模样模样模样模样模样模样模样模样模样模样模样模样模样模样模样模样模样模样模样模样模样模样模样模样模样模样模样模样模样模样模样模样模样模样模样模样模样模样模样模样模样模样模样模样模样模样模样模样模样模样模样模样模样模样模样模样模样模样模样模样模样模样模样模样模样模样模样模样模样模样模样模样模样模样模样模样模样模样模样模样模样模样模样模样模样模样模样模样模样模样模样模样模样模样模样模样模样模样模样模样模样模样模样模样模样模样模样模样模样模样模样模样模样模样模样模样模样模样模样模样模样模样模样模样模样模样模样模样模样模样模样模样模样模样模样模样模样模样模样模样模样模样模样模样模样模样模样模样模样模样模样模样模样模样模样模样模样模样模样模样模样模样模样模样模样模样模样模样模样模样模样模样模样模样模样模样模样模样模样模样模样模样模样模样模样模样模样模样模样模样模样模样模样模样模样模样模样模样模样模样模样模样模样模样模样模样模样模样模样模样模样模样模样模样模样模样模样模样模样模样模样模样模样模样模样模样模样模样模样模样模样模样模样模样模样模样模样模样模样模样模样模样模样模样模样模样模样模样模样模样模样模样模样模样模样模样模样模样模样模样模样模样模样模样模样模样模样模样模样模样模样模样模样模样模样模样模样模样模样模样模样模样

https://cdn.ncbi.nlm.nih.gov/pmc/blobs/4ef7/3180413/3772a7c1447b/1752-1947-5-405-1.jpg

文献AI研究员

20分钟写一篇综述,助力文献阅读效率提升50倍。

立即体验

用中文搜PubMed

大模型驱动的PubMed中文搜索引擎

马上搜索

文档翻译

学术文献翻译模型,支持多种主流文档格式。

立即体验