Suppr超能文献

新辅助放化疗成功降低高位直肠癌和直肠乙状结肠癌的分期。

Successful downstaging of high rectal and recto-sigmoid cancer by neo-adjuvant chemo-radiotherapy.

作者信息

O'Neill Brian, Brown Gina, Wotherspoon Andrew, Burton Sarah, Norman Andy, Tait Diana

机构信息

Department of Clinical Oncology, Mayday University Hospital, Croydon, U.K.

出版信息

Clin Med Oncol. 2008;2:135-44. doi: 10.4137/cmo.s348. Epub 2008 Mar 1.

Abstract

PURPOSE

The benefit of neoadjuvant therapy for tumours above the peritoneal reflection is not clear. The purpose of this study is to demonstrate the feasibility and downstaging of treating locally advanced tumours from high rectum to distal sigmoid with preoperative chemoradiotherapy (CRT).

METHODS AND MATERIALS

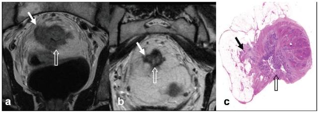
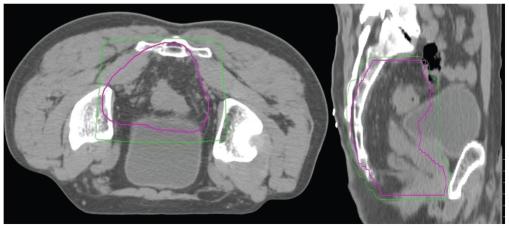
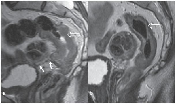
Seventeen patients with high rectal, rectosigmoid or distal sigmoid tumours above the peritoneal reflection received neoadjuvant CRT, selected on MRI findings indicating T4 disease or threatened circumferential resection margin. All patients were administered neoadjuvant chemotherapy, with Oxaliplatin or Mitomycin C and a Fluoropyrimidine. The pelvis received long-course CT-planned conformal RT, 45 Gy in 25 fractions, with a boost of 5.4-9 Gy in 3-5 fractions. Thirteen patients were treated with concomitant oral or intravenous Fluoropyrimidine chemotherapy.

RESULTS

Median follow-up was 37 months. Overall survival was 82.35% (95% Confidence Interval (CI) 54.7-93.9) and disease free survival 81.25% (95% CI 52.5-93.5). Only 1 patient suffered loco-regional relapse. Chemotherapy regimens were well tolerated, though some patients required dose reductions. Nine patients (52.9%) lowered pathologic disease AJCC stage, i.e. 'downstaged'. Six patients (35.3%) achieved complete pathological response. Clear margins were attained in all but 1 patient. Three patients were converted from cT4 to ypT3. No patient required a gap during CRT. One patient suffered a grade III acute toxicity, but no grade IV (RTOG). There were 3 grade III and 3 grade IV late toxicities (LENT-SOMA).

CONCLUSIONS

Locally advanced high rectal and recto-sigmoid tumours may be treated with pre-operative CRT with acceptable toxicity, impressive down-staging, and clear surgical margins.

摘要

目的

新辅助治疗对腹膜反折以上肿瘤的益处尚不清楚。本研究的目的是证明术前放化疗(CRT)治疗从高位直肠至乙状结肠远端的局部晚期肿瘤的可行性和降期效果。

方法和材料

17例腹膜反折以上高位直肠、直肠乙状结肠或乙状结肠远端肿瘤患者接受了新辅助CRT,根据MRI表现选择,提示T4期疾病或环周切缘受威胁。所有患者均接受新辅助化疗,使用奥沙利铂或丝裂霉素C以及氟嘧啶。盆腔接受长疗程CT计划的适形放疗,25次分割给予45 Gy,3 - 5次分割给予5.4 - 9 Gy的增量。13例患者接受了口服或静脉氟嘧啶同步化疗。

结果

中位随访时间为37个月。总生存率为82.35%(95%置信区间(CI)54.7 - 93.9),无病生存率为81.25%(95% CI 52.5 - 93.5)。仅1例患者发生局部区域复发。化疗方案耐受性良好,尽管一些患者需要降低剂量。9例患者(52.9%)降低了病理疾病AJCC分期,即“降期”。6例患者(35.3%)达到完全病理缓解。除1例患者外,所有患者均获得切缘阴性。3例患者从cT4转化为ypT3。CRT期间无患者需要中断治疗。1例患者发生3级急性毒性反应,但无4级(RTOG)。有3例3级和3例4级晚期毒性反应(LENT - SOMA)。

结论

局部晚期高位直肠和直肠乙状结肠肿瘤可通过术前CRT治疗,毒性可接受,降期效果显著,手术切缘阴性。

https://cdn.ncbi.nlm.nih.gov/pmc/blobs/8569/3161699/110107e8920d/cmo-2-2008-135f1.jpg

文献检索

告别复杂PubMed语法,用中文像聊天一样搜索,搜遍4000万医学文献。AI智能推荐,让科研检索更轻松。

立即免费搜索

文件翻译

保留排版,准确专业,支持PDF/Word/PPT等文件格式,支持 12+语言互译。

免费翻译文档

深度研究

AI帮你快速写综述,25分钟生成高质量综述,智能提取关键信息,辅助科研写作。

立即免费体验