• 文献检索
  • 文档翻译
  • 深度研究
  • 学术资讯
  • Suppr Zotero 插件Zotero 插件
  • 邀请有礼
  • 套餐&价格
  • 历史记录
应用&插件
Suppr Zotero 插件Zotero 插件浏览器插件Mac 客户端Windows 客户端微信小程序
定价
高级版会员购买积分包购买API积分包
服务
文献检索文档翻译深度研究API 文档MCP 服务
关于我们
关于 Suppr公司介绍联系我们用户协议隐私条款
关注我们

Suppr 超能文献

核心技术专利:CN118964589B侵权必究
粤ICP备2023148730 号-1Suppr @ 2026

文献检索

告别复杂PubMed语法,用中文像聊天一样搜索,搜遍4000万医学文献。AI智能推荐,让科研检索更轻松。

立即免费搜索

文件翻译

保留排版,准确专业,支持PDF/Word/PPT等文件格式,支持 12+语言互译。

免费翻译文档

深度研究

AI帮你快速写综述,25分钟生成高质量综述,智能提取关键信息,辅助科研写作。

立即免费体验

坐位下切除第三脑室肿瘤后发生张力性气脑室。

Tension pneumoventricle after excision of third ventricular tumor in sitting position.

作者信息

Gupta Nidhi, Rath Girija P, Mahajan Charu, Dube Surya K, Sharma Sandeep

机构信息

Department of Neuroanaesthesiology, All India Institute of Medical Sciences, New Delhi, India.

出版信息

J Anaesthesiol Clin Pharmacol. 2011 Jul;27(3):409-11. doi: 10.4103/0970-9185.83697.

DOI:10.4103/0970-9185.83697
PMID:21897523
原文链接:https://pmc.ncbi.nlm.nih.gov/articles/PMC3161477/
Abstract

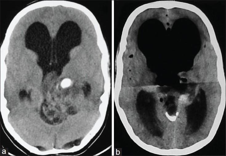
Occurrence of tension pneumoventricle (symptomatic intraventricular air) can result in rapid clinical deterioration in an otherwise stable patient. It is a rare clinical entity, mentioned in relation to cerebrospinal fluid (CSF) diversion procedures, during the late postoperative period. We present a patient with posterior third ventricular tumor who underwent excision by midline suboccipital craniotomy in sitting position. Neurological status of the patient deteriorated rapidly in the immediate postoperative period owing to development of tension pneumoventricle. The condition improved after twist-drill burr-hole evacuation of air under water-seal. Pre-existing gross hydrocephalus, exploration of third ventricle in sitting position, and residual tumor in third ventricle were possibly the factors responsible for this complication.

摘要

张力性脑室积气(有症状的脑室内积气)的出现可导致原本病情稳定的患者临床状况迅速恶化。它是一种罕见的临床情况,在术后晚期与脑脊液(CSF)分流手术相关。我们报告一名患有第三脑室后部肿瘤的患者,该患者在坐位下行枕下中线开颅肿瘤切除术。术后即刻患者的神经状况因张力性脑室积气的发生而迅速恶化。在水封下通过钻孔引流积气后病情改善。术前存在的严重脑积水、坐位下对第三脑室的探查以及第三脑室内的残留肿瘤可能是导致该并发症的因素。

https://cdn.ncbi.nlm.nih.gov/pmc/blobs/1e2a/3161477/d43fe38a8db3/JOACP-27-409-g001.jpg
https://cdn.ncbi.nlm.nih.gov/pmc/blobs/1e2a/3161477/d43fe38a8db3/JOACP-27-409-g001.jpg
https://cdn.ncbi.nlm.nih.gov/pmc/blobs/1e2a/3161477/d43fe38a8db3/JOACP-27-409-g001.jpg

相似文献

1
Tension pneumoventricle after excision of third ventricular tumor in sitting position.坐位下切除第三脑室肿瘤后发生张力性气脑室。
J Anaesthesiol Clin Pharmacol. 2011 Jul;27(3):409-11. doi: 10.4103/0970-9185.83697.
2
Tension pneumoventricle after resection of a fourth ventricle choroid plexus papilloma: An unusual postoperative complication.第四脑室脉络丛乳头状瘤切除术后张力性脑室积气:一种罕见的术后并发症。
Surg Neurol Int. 2012;3:116. doi: 10.4103/2152-7806.102325. Epub 2012 Oct 13.
3
Tension pneumoventricle.张力性脑室积气
J Clin Neurosci. 2006 Oct;13(8):881-3. doi: 10.1016/j.jocn.2005.08.014. Epub 2006 Jul 24.
4
Tension pneumoventricle following exposure of shunt chamber.
Br J Neurosurg. 2008 Feb;22(1):121-2. doi: 10.1080/02688690701579263.
5
Delayed Pneumoventricle Following Endonasal Cerebrospinal Fluid Rhinorrhea Repair with Thecoperitoneal Shunt.经鼻脑脊液鼻漏修补术联合腰大池腹腔分流术后迟发性脑室积气
Asian J Neurosurg. 2019 Jan-Mar;14(1):325-328. doi: 10.4103/ajns.AJNS_224_18.
6
Tension Pneumoventricle After Endoscopic Transsphenoidal Surgery for Rathke Cleft Cyst.内镜经蝶窦手术切除 Rathke 裂囊肿后并发张力性气颅。
World Neurosurg. 2020 Mar;135:228-232. doi: 10.1016/j.wneu.2019.12.065. Epub 2019 Dec 19.
7
Occurrence and management of postoperative pneumocephalus using the semi-sitting position in vestibular schwannoma surgery.采用半坐卧位处理听神经瘤术后颅内积气的发生和处理。
Acta Neurochir (Wien). 2020 Nov;162(11):2629-2636. doi: 10.1007/s00701-020-04504-5. Epub 2020 Jul 25.
8
Predictors of ventricular tension pneumocephalus after posterior fossa surgery in the sitting position.坐位后颅窝手术后脑室张力性气颅的预测因素。
Acta Neurochir (Wien). 2018 Mar;160(3):525-538. doi: 10.1007/s00701-017-3444-1. Epub 2018 Jan 6.
9
Tension pneumoventricle: Reversible cause for aphasia.张力性脑室积气:失语的可逆病因。
Qatar Med J. 2021 Apr 23;2021(1):15. doi: 10.5339/qmj.2021.15. eCollection 2021.
10
Tension pneumocephalus following suboccipital sitting craniotomy in the pediatric population.小儿枕下坐位开颅术后的张力性气颅
Neurol Neurochir Pol. 2017 Jul-Aug;51(4):286-289. doi: 10.1016/j.pjnns.2017.04.006. Epub 2017 May 11.

引用本文的文献

1
Postoperative pneumoventricle following posterior fossa tumor surgery in sitting position: Plugging the aqueduct.后颅窝肿瘤坐位手术后出现脑室积气:堵塞导水管。
J Pediatr Neurosci. 2020 Jan-Mar;15(1):1-4. doi: 10.4103/JPN.JPN_35_20. Epub 2020 Mar 19.
2
Causes of pneumocephalus and when to be concerned about it.气颅的病因以及何时需要对此予以关注。
Emerg Radiol. 2018 Aug;25(4):331-340. doi: 10.1007/s10140-018-1595-x. Epub 2018 Mar 15.

本文引用的文献

1
Tension pneumoventricle following exposure of shunt chamber.
Br J Neurosurg. 2008 Feb;22(1):121-2. doi: 10.1080/02688690701579263.
2
Tension pneumoventricle.张力性脑室积气
J Clin Neurosci. 2006 Oct;13(8):881-3. doi: 10.1016/j.jocn.2005.08.014. Epub 2006 Jul 24.
3
Tension pneumoventricle after placement of a ventriculoperitoneal shunt: a novel treatment strategy. Case report.脑室腹腔分流术后张力性气脑室:一种新的治疗策略。病例报告。
J Neurosurg. 2005 Feb;102(2):386-8. doi: 10.3171/jns.2005.102.2.0386.
4
Tension pneumocephalus after neurosurgery in the supine position.仰卧位神经外科手术后的张力性气颅
Br J Anaesth. 2000 Jan;84(1):115-7. doi: 10.1093/oxfordjournals.bja.a013368.
5
Late tension pneumocephalus following frontal craniotomy.
Int J Clin Pract. 1997 Sep;51(6):406-7.
6
The incidence of pneumocephalus after supratentorial craniotomy. Observations on the disappearance of intracranial air.幕上开颅术后气颅的发生率。关于颅内气体消失的观察。
Anesthesiology. 1994 May;80(5):1008-12. doi: 10.1097/00000542-199405000-00009.
7
Discontinuance of nitrous oxide does not prevent tension pneumocephalus.停用一氧化二氮并不能预防张力性气颅。
Anesth Analg. 1981 Jan;60(1):57-8.
8
Pneumocephalus after posterior fossa exploration in the sitting position.坐位后颅窝探查术后出现气颅。
Anaesthesia. 1982 Oct;37(10):996-1001. doi: 10.1111/j.1365-2044.1982.tb01711.x.
9
Pneumocephalus: effects of patient position on the incidence and location of aerocele after posterior fossa and upper cervical cord surgery.气颅:后颅窝和上颈髓手术后患者体位对气肿发生率和部位的影响
Anesth Analg. 1986 Jan;65(1):65-70.
10
Tension pneumocephalus after posterior-fossa craniotomy, a complication of the sitting position.
Anesthesiology. 1976 May;44(5):448-50. doi: 10.1097/00000542-197605000-00022.