• 文献检索
  • 文档翻译
  • 深度研究
  • 学术资讯
  • Suppr Zotero 插件Zotero 插件
  • 邀请有礼
  • 套餐&价格
  • 历史记录
应用&插件
Suppr Zotero 插件Zotero 插件浏览器插件Mac 客户端Windows 客户端微信小程序
定价
高级版会员购买积分包购买API积分包
服务
文献检索文档翻译深度研究API 文档MCP 服务
关于我们
关于 Suppr公司介绍联系我们用户协议隐私条款
关注我们

Suppr 超能文献

核心技术专利:CN118964589B侵权必究
粤ICP备2023148730 号-1Suppr @ 2026

文献检索

告别复杂PubMed语法,用中文像聊天一样搜索,搜遍4000万医学文献。AI智能推荐,让科研检索更轻松。

立即免费搜索

文件翻译

保留排版,准确专业,支持PDF/Word/PPT等文件格式,支持 12+语言互译。

免费翻译文档

深度研究

AI帮你快速写综述,25分钟生成高质量综述,智能提取关键信息,辅助科研写作。

立即免费体验

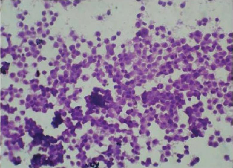
转移性肺泡横纹肌肉瘤的细针穿刺细胞学检查

Fine needle aspiration cytology of metastatic alveolar rhabdomyosarcoma.

作者信息

Sharma Abhishek, Bhutoria Bhawna, Guha Debasish, Bhattacharya Subodh, Wasim Nazir Abdul

机构信息

Department of Pathology, Burdwan Medical College and Hospital, Burdwan, West Bengal, India.

出版信息

J Cytol. 2011 Jul;28(3):121-3. doi: 10.4103/0970-9371.83470.

DOI:10.4103/0970-9371.83470
PMID:21897547
原文链接:https://pmc.ncbi.nlm.nih.gov/articles/PMC3159289/
Abstract

Rhabdomyosarcoma (RMS) is an aggressive malignant soft tissue tumor that arises from primitive striated muscle cells called rhabdomyoblasts. RMS is a rare tumor in adults, and involvement of the sinonasal area is extremely rare, comprising only 1.5% of all reported head and neck RMSs. Alveolar RMS, mainly seen in adults, has the worst prognosis. Incidence of lymph node metastases is more common in this type compared with the other forms. Fine needle aspiration cytology (FNAC) has been used extensively in the diagnosis of metastatic malignancies. However, metastatic soft tissue sarcomas are often overlooked, primarily due to the low frequency with which they occur. Here, we report a rare case of metastatic alveolar RMS in the cervical lymph nodes of an 18-year-old girl that was detected by FNAC. After 6 months, the patient came with a huge mass involving the nasal vestibule and the upper lip. Histology of both the main mass and the lymph nodes revealed alveolar RMS.

摘要

横纹肌肉瘤(RMS)是一种侵袭性恶性软组织肿瘤,起源于称为横纹肌母细胞的原始横纹肌细胞。RMS在成人中是一种罕见肿瘤,鼻窦区域受累极为罕见,仅占所有报道的头颈部RMS的1.5%。主要见于成人的腺泡状RMS预后最差。与其他类型相比,这种类型的淋巴结转移发生率更常见。细针穿刺细胞学检查(FNAC)已广泛用于转移性恶性肿瘤的诊断。然而,转移性软组织肉瘤常常被忽视,主要是因为它们的发生率较低。在此,我们报告一例18岁女孩经FNAC检测出的颈部淋巴结转移性腺泡状RMS罕见病例。6个月后,患者出现累及鼻前庭和上唇的巨大肿块。主要肿块和淋巴结的组织学检查均显示为腺泡状RMS。

https://cdn.ncbi.nlm.nih.gov/pmc/blobs/05bd/3159289/f6ab8e774f1d/JCytol-28-121-g002.jpg
https://cdn.ncbi.nlm.nih.gov/pmc/blobs/05bd/3159289/e9975ff3701f/JCytol-28-121-g001.jpg
https://cdn.ncbi.nlm.nih.gov/pmc/blobs/05bd/3159289/f6ab8e774f1d/JCytol-28-121-g002.jpg
https://cdn.ncbi.nlm.nih.gov/pmc/blobs/05bd/3159289/e9975ff3701f/JCytol-28-121-g001.jpg
https://cdn.ncbi.nlm.nih.gov/pmc/blobs/05bd/3159289/f6ab8e774f1d/JCytol-28-121-g002.jpg

相似文献

1
Fine needle aspiration cytology of metastatic alveolar rhabdomyosarcoma.转移性肺泡横纹肌肉瘤的细针穿刺细胞学检查
J Cytol. 2011 Jul;28(3):121-3. doi: 10.4103/0970-9371.83470.
2
Case report: Lymph node metastasis of pelvic alveolar rhabdomyosarcoma diagnosed by fine needle aspiration cytology.病例报告:经细针穿刺细胞学检查诊断为盆腔肺泡状横纹肌肉瘤的淋巴结转移
Front Oncol. 2024 May 17;14:1340865. doi: 10.3389/fonc.2024.1340865. eCollection 2024.
3
Metastatic alveolar rhabdomyosarcoma on the fine-needle aspiration cytology of cervical lymph node in an elderly patient, with FISH confirmation: A case report.老年患者颈部淋巴结细针抽吸细胞学转移性肺泡横纹肌肉瘤,经 FISH 确认:病例报告。
Malays J Pathol. 2020 Apr;42(1):115-119.
4
Rhabdomyosarcoma in an adult presenting with nodal metastasis: a pitfall in fine-needle aspiration cytology of lymph nodes.
Diagn Cytopathol. 2005 May;32(5):303-6. doi: 10.1002/dc.20239.
5
Fine-Needle Aspiration of Sarcomas Metastatic to Lymph Nodes: A Cytomorphologic Study over a 10-Year Period.淋巴结转移性肉瘤的细针抽吸:10 年期间的细胞形态学研究。
Acta Cytol. 2023;67(5):493-506. doi: 10.1159/000531958. Epub 2023 Jul 27.
6
Sclerosing rhabdomyosarcoma in adults: report of four cases of a hyalinizing, matrix-rich variant of rhabdomyosarcoma that may be confused with osteosarcoma, chondrosarcoma, or angiosarcoma.成人硬化性横纹肌肉瘤:4例报告,该横纹肌肉瘤为一种富含基质的透明变性变异型,可能会与骨肉瘤、软骨肉瘤或血管肉瘤相混淆。
Am J Surg Pathol. 2002 Sep;26(9):1175-83. doi: 10.1097/00000478-200209000-00008.
7
Fine-needle aspiration diagnosis of a metastatic adult sclerosing rhabdomyosarcoma in a lymph node.细针穿刺诊断淋巴结转移性成人硬化性横纹肌肉瘤
Diagn Cytopathol. 2010 Oct;38(10):761-4. doi: 10.1002/dc.21325.
8
Metastasis of soft tissue sarcomas in lymph node: A cytomorphological study.软组织肉瘤的淋巴结转移:一项细胞形态学研究。
Diagn Cytopathol. 2017 Sep;45(9):784-788. doi: 10.1002/dc.23754. Epub 2017 May 24.
9
Fine-needle aspiration biopsy of metastatic soft-tissue sarcomas to lymph nodes.转移性软组织肉瘤淋巴结的细针穿刺活检
Diagn Cytopathol. 2001 Apr;24(4):229-32. doi: 10.1002/dc.1049.
10
Alveolar rhabdomyosarcoma of paranasal sinus with cervical metastasis-a case report.鼻窦肺泡状横纹肌肉瘤伴颈部转移——一例报告
Indian J Otolaryngol Head Neck Surg. 2000 Apr;52(2):162-5. doi: 10.1007/BF03000338.

引用本文的文献

1
Case report: Lymph node metastasis of pelvic alveolar rhabdomyosarcoma diagnosed by fine needle aspiration cytology.病例报告:经细针穿刺细胞学检查诊断为盆腔肺泡状横纹肌肉瘤的淋巴结转移
Front Oncol. 2024 May 17;14:1340865. doi: 10.3389/fonc.2024.1340865. eCollection 2024.
2
Lymphadenopathic form of solid variant of alveolar rhabdomyosarcoma: A rare case report.肺泡横纹肌肉瘤实性变异型的淋巴结病形式:一例罕见病例报告。
J Cytol. 2014 Jul;31(3):168-70. doi: 10.4103/0970-9371.145656.

本文引用的文献

1
Malignant small round cell tumors.恶性小圆细胞肿瘤
J Cytol. 2009 Jan;26(1):1-10. doi: 10.4103/0970-9371.54861.
2
Cyto-histological correlations in primary, recurrent and metastatic rhabdomyosarcoma: the institut Curie's experience.原发性、复发性和转移性横纹肌肉瘤的细胞组织学相关性:居里研究所的经验。
Diagn Cytopathol. 2007 Aug;35(8):482-7. doi: 10.1002/dc.20662.
3
Rhabdomyosarcoma in an adult presenting with nodal metastasis: a pitfall in fine-needle aspiration cytology of lymph nodes.
Diagn Cytopathol. 2005 May;32(5):303-6. doi: 10.1002/dc.20239.
4
Fine needle aspiration cytology of the Ewing's sarcoma family of tumors.尤因肉瘤家族性肿瘤的细针穿刺细胞学检查
Acta Cytol. 2000 May-Jun;44(3):332-6. doi: 10.1159/000328474.
5
Fine-needle aspiration biopsy diagnosis of small round cell tumors of childhood: A comprehensive approach.儿童小圆细胞肿瘤的细针穿刺活检诊断:一种综合方法。
Diagn Cytopathol. 1999 Aug;21(2):81-91. doi: 10.1002/(sici)1097-0339(199908)21:2<81::aid-dc2>3.0.co;2-a.
6
Rhabdomyosarcoma: an overview.横纹肌肉瘤:概述
Oncologist. 1999;4(1):34-44.
7
Cytologic diagnosis and subtyping of rhabdomyosarcoma.横纹肌肉瘤的细胞学诊断及亚型分类
Cytopathology. 1998 Dec;9(6):389-97. doi: 10.1046/j.1365-2303.1998.00131.x.
8
Embryonal rhabdomyosarcoma of the nose in an elderly patient, case report and review of the literature.老年患者鼻腔胚胎性横纹肌肉瘤:病例报告及文献复习
Auris Nasus Larynx. 1998 Dec;25(4):445-50. doi: 10.1016/s0385-8146(98)00043-1.
9
Rhabdomyosarcoma of the nose and paranasal sinuses in adults and children.成人和儿童鼻及鼻窦横纹肌肉瘤
Otolaryngol Head Neck Surg. 1995 Feb;112(2):252-7. doi: 10.1016/S0194-59989570246-6.
10
Lymphatic metastases with childhood rhabdomyosarcoma. A report from the Intergroup Rhabdomyosarcoma Study.儿童横纹肌肉瘤的淋巴转移。横纹肌肉瘤协作组研究报告。
Cancer. 1987 Aug 15;60(4):910-5. doi: 10.1002/1097-0142(19870815)60:4<910::aid-cncr2820600433>3.0.co;2-8.