Suppr超能文献

广州管圆线虫性嗜酸性粒细胞性脑膜炎病例报告。

A case report on eosinophilic meningitis caused by Angiostrongylus cantonensis.

机构信息

Department of Neurology, Jilin University First Hospital, Changchun 130031, China.

出版信息

Int J Med Sci. 2011;8(6):510-3. doi: 10.7150/ijms.8.510. Epub 2011 Aug 27.

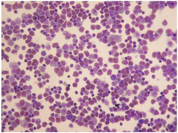
Abstract

Angiostrongylus cantonensis is the most common cause of eosinophilic meningitis in humans. It is usually caused by ingestion of raw or inadequately cooked intermediate hosts or food contaminated with infective third-stage larvae. We describe a case of eosinophilic meningitis caused by A. cantonensis in a male Chinese patient. The patient had a history of eating raw fish and snail. We describe the clinical features of the patient, the diagnostic process and treatments. We also provide a brief update for physicians on the characteristics, diagnosis and treatment of eosinophilic meningitis caused by A. cantonensis, with particular emphasis on the update of prevalence and treatment of the disease in China.

摘要

广州管圆线虫是引起人体嗜酸性粒细胞性脑膜炎的最常见原因。它通常是由摄入生的或未充分煮熟的中间宿主或受感染的第三期幼虫污染的食物引起的。我们描述了一例由 A. cantonensis 引起的嗜酸性粒细胞性脑膜炎的中国男性患者。患者有食用生鱼和蜗牛的病史。我们描述了患者的临床特征、诊断过程和治疗方法。我们还为医生提供了有关 A. cantonensis 引起的嗜酸性粒细胞性脑膜炎的特征、诊断和治疗的简要更新,特别强调了该病在中国的流行和治疗的更新。

https://cdn.ncbi.nlm.nih.gov/pmc/blobs/90d0/3167100/6f546f412d40/ijmsv08p0510g01.jpg

文献检索

告别复杂PubMed语法,用中文像聊天一样搜索,搜遍4000万医学文献。AI智能推荐,让科研检索更轻松。

立即免费搜索

文件翻译

保留排版,准确专业,支持PDF/Word/PPT等文件格式,支持 12+语言互译。

免费翻译文档

深度研究

AI帮你快速写综述,25分钟生成高质量综述,智能提取关键信息,辅助科研写作。

立即免费体验