• 文献检索
  • 文档翻译
  • 深度研究
  • 学术资讯
  • Suppr Zotero 插件Zotero 插件
  • 邀请有礼
  • 套餐&价格
  • 历史记录
应用&插件
Suppr Zotero 插件Zotero 插件浏览器插件Mac 客户端Windows 客户端微信小程序
定价
高级版会员购买积分包购买API积分包
服务
文献检索文档翻译深度研究API 文档MCP 服务
关于我们
关于 Suppr公司介绍联系我们用户协议隐私条款
关注我们

Suppr 超能文献

核心技术专利:CN118964589B侵权必究
粤ICP备2023148730 号-1Suppr @ 2026

文献检索

告别复杂PubMed语法,用中文像聊天一样搜索,搜遍4000万医学文献。AI智能推荐,让科研检索更轻松。

立即免费搜索

文件翻译

保留排版,准确专业,支持PDF/Word/PPT等文件格式,支持 12+语言互译。

免费翻译文档

深度研究

AI帮你快速写综述,25分钟生成高质量综述,智能提取关键信息,辅助科研写作。

立即免费体验

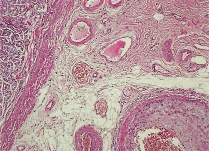
胃杜氏病损

Dieulafoy lesion in the stomach.

作者信息

Isik A, Alimoglu O, Okan I, Bas G, Turgut H, Sahin M

机构信息

Vakif Gureba Training and Research Hospital, Fatih, Istanbul, Turkey.

出版信息

Case Rep Gastroenterol. 2008 Sep;2(3):469-73. doi: 10.1159/000175414. Epub 2008 Nov 19.

DOI:10.1159/000175414
PMID:21897801
原文链接:https://pmc.ncbi.nlm.nih.gov/articles/PMC3166813/
Abstract

Dieulafoy disease is an uncommon cause of gastrointestinal system bleeding. Although the exact cause is not known, it is characterized by bleeding from abnormal submucosal vessels. There are many methods for diagnosis and treatment. In this case, a patient with a long-time undiagnosed stomach Dieulafoy lesion had a surgical resection. During the postoperative period the patient was discharged without any complication.

摘要

Dieulafoy病是胃肠道系统出血的一种罕见病因。尽管确切病因尚不清楚,但它的特点是来自异常黏膜下血管的出血。有许多诊断和治疗方法。在本病例中,一名长期未被诊断出的胃Dieulafoy病变患者接受了手术切除。术后患者无任何并发症出院。

https://cdn.ncbi.nlm.nih.gov/pmc/blobs/63b6/3166813/9a30d225ecc2/crg0002-0469-f03.jpg
https://cdn.ncbi.nlm.nih.gov/pmc/blobs/63b6/3166813/d9c2129f8554/crg0002-0469-f01.jpg
https://cdn.ncbi.nlm.nih.gov/pmc/blobs/63b6/3166813/c89b28f5f0da/crg0002-0469-f02.jpg
https://cdn.ncbi.nlm.nih.gov/pmc/blobs/63b6/3166813/9a30d225ecc2/crg0002-0469-f03.jpg
https://cdn.ncbi.nlm.nih.gov/pmc/blobs/63b6/3166813/d9c2129f8554/crg0002-0469-f01.jpg
https://cdn.ncbi.nlm.nih.gov/pmc/blobs/63b6/3166813/c89b28f5f0da/crg0002-0469-f02.jpg
https://cdn.ncbi.nlm.nih.gov/pmc/blobs/63b6/3166813/9a30d225ecc2/crg0002-0469-f03.jpg

相似文献

1
Dieulafoy lesion in the stomach.胃杜氏病损
Case Rep Gastroenterol. 2008 Sep;2(3):469-73. doi: 10.1159/000175414. Epub 2008 Nov 19.
2
Dieulafoy lesion in a two-year-old boy: a case report.一名两岁男童的迪厄拉富瓦病:病例报告
J Med Case Rep. 2016 Oct 19;10(1):293. doi: 10.1186/s13256-016-1083-4.
3
Dieulafoy disease of stomach--an uncommon cause of gastrointestinal system bleeding.胃Dieulafoy病——胃肠道系统出血的罕见原因。
J Assoc Physicians India. 2014 Jun;62(6):526-8.
4
A case of bleeding from the Dieulafoy lesion of the jejunum.一例空肠迪厄拉富瓦病损出血病例。
Yonsei Med J. 1997 Aug;38(4):240-4. doi: 10.3349/ymj.1997.38.4.240.
5
Is endoscopic band ligation superior to injection therapy for Dieulafoy lesion?内镜下套扎术治疗Dieulafoy病是否优于注射疗法?
Surg Endosc. 2009 Jul;23(7):1465-9. doi: 10.1007/s00464-008-0255-8. Epub 2009 Jan 6.
6
Dieulafoy lesion of the gallbladder presenting with bleeding and a pseudo-mirizzi syndrome: A case report and review of the literature.胆囊Dieulafoy病变伴出血及假性Mirizzi综合征:1例报告并文献复习
Int J Surg Case Rep. 2016;21:12-5. doi: 10.1016/j.ijscr.2016.01.034. Epub 2016 Feb 6.
7
A Jejunal Dieulafoy Lesion: Rare Case Necessitating Surgical Intervention.空肠迪厄拉富瓦病损:需手术干预的罕见病例
Int J Surg Case Rep. 2020;72:541-545. doi: 10.1016/j.ijscr.2020.06.098. Epub 2020 Jun 25.
8
Dieulafoy Lesion of the Colon: A Rare Finding During Colonoscopy.结肠迪厄拉富瓦病变:结肠镜检查中罕见的发现。
Cureus. 2022 May 21;14(5):e25188. doi: 10.7759/cureus.25188. eCollection 2022 May.
9
Endoscopic submucosal dissection for silent gastric Dieulafoy lesions mimicking gastrointestinal stromal tumors: Report of 7 cases-a case report series.内镜下黏膜下剥离术治疗酷似胃肠道间质瘤的无症状胃Dieulafoy病:7例病例报告——病例报告系列
Medicine (Baltimore). 2016 Sep;95(36):e4829. doi: 10.1097/MD.0000000000004829.
10
Heyde Syndrome Complicated by a Dieulafoy Lesion.海德综合征合并迪厄拉富瓦病损
Ochsner J. 2020 Fall;20(3):326-330. doi: 10.31486/toj.19.0072.

引用本文的文献

1
Bogota Bag Use in Planned Re-Laparotomies.在计划性再次剖腹手术中使用波哥大袋。
Med Sci Monit. 2016 Aug 17;22:2900-4. doi: 10.12659/msm.897109.
2
Giant Cutaneous Leiomyosarcoma Originating From the Abdominal Wall: A Case Report.起源于腹壁的巨大皮肤平滑肌肉瘤:一例报告
Am J Case Rep. 2016 Jan 20;17:35-8. doi: 10.12659/ajcr.896718.
3
Gastroduodenal intussusception secondary to a pedunculated Brunner's gland hamartoma: CT and endoscopic features.十二指肠腺性错构瘤继发胃十二指肠套叠:CT与内镜特征

本文引用的文献

1
Acute lower gastrointestinal bleeding from a dieulafoy lesion proximal to the anorectal junction post-orthotopic liver transplant.原位肝移植术后距肛门直肠交界处近端的Dieulafoy病变所致急性下消化道出血。
World J Gastroenterol. 2006 Dec 14;12(46):7547-8. doi: 10.3748/wjg.v12.i46.7547.
2
Angiographic findings and endovascular embolization in Dieulafoy disease: a case report and literature review.Dieulafoy病的血管造影表现及血管内栓塞治疗:一例报告并文献复习
Diagn Interv Radiol. 2006 Sep;12(3):151-4.
3
Endoscopic injection therapy of bleeding Dieulafoy lesion of the stomach.
J Gastrointest Cancer. 2014 Dec;45 Suppl 1:257-60. doi: 10.1007/s12029-014-9656-1.
胃Dieulafoy病变出血的内镜注射治疗
Hepatogastroenterology. 2005 Sep-Oct;52(65):1622-5.
4
Band ligation of Dieulafoy lesions.迪厄拉富瓦病变的套扎术。
Indian J Gastroenterol. 2005 May-Jun;24(3):114-5.
5
Dieulafoy's lesion of esophagus.食管迪厄拉富瓦病
Surg Endosc. 2002 Jan;16(1):219. doi: 10.1007/s00464-001-4204-z. Epub 2001 Oct 13.
6
Endoscopic management of Dieulafoy lesions of the stomach: a case study of 26 patients.胃Dieulafoy病变的内镜治疗:26例病例研究
Endoscopy. 1997 Nov;29(9):834-9. doi: 10.1055/s-2007-1004317.
7
A case of bleeding from the Dieulafoy lesion of the jejunum.一例空肠迪厄拉富瓦病损出血病例。
Yonsei Med J. 1997 Aug;38(4):240-4. doi: 10.3349/ymj.1997.38.4.240.
8
Dieulafoy's disease: endoscopic treatment and follow up.迪厄拉富瓦病:内镜治疗与随访
Gut. 1993 Oct;34(10):1418-21. doi: 10.1136/gut.34.10.1418.
9
Recurrent massive haematemesis from Dieulafoy vascular malformations--a review of 101 cases.迪厄拉富瓦血管畸形所致反复大量呕血——101例回顾性研究
Gut. 1986 Feb;27(2):213-22. doi: 10.1136/gut.27.2.213.