Human Cancer Genomic Research, King Faisal Specialist Hospital and Research Center, Riyadh, Saudi Arabia.
PLoS One. 2011;6(9):e24703. doi: 10.1371/journal.pone.0024703. Epub 2011 Sep 12.
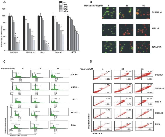
We have recently shown that deregulation PI3-kinase/AKT survival pathway plays an important role in pathogenesis of diffuse large B cell lymphoma (DLBCL). In an attempt to identify newer therapeutic agents, we investigated the role of Resveratrol (trans-3,4', 5-trihydroxystilbene), a naturally occurring polyphenolic compound on a panel of diffuse large B-cell lymphoma (DLBCL) cells in causing inhibition of cell viability and inducing apoptosis.
METHODOLOGY/PRINCIPAL FINDINGS: We investigated the action of Resveratrol on DLBCL cells and found that Resveratrol inhibited cell viability and induced apoptosis by inhibition of constitutively activated AKT and its downstream targets via generation of reactive oxygen species (ROS). Simultaneously, Resveratrol treatment of DLBCL cell lines also caused ROS dependent upregulation of DR5; and interestingly, co-treatment of DLBCL with sub-toxic doses of TRAIL and Resveratrol synergistically induced apoptosis via utilizing DR5, on the other hand, gene silencing of DR5 abolished this effect.
CONCLUSION/SIGNIFICANCE: Altogether, these data suggest that Resveratrol acts as a suppressor of AKT/PKB pathway leading to apoptosis via generation of ROS and at the same time primes DLBCL cells via up-regulation of DR5 to TRAIL-mediated apoptosis. These data raise the possibility that Resveratrol may have a future therapeutic role in DLBCL and possibly other malignancies with constitutive activation of the AKT/PKB pathway.
我们最近发现,PI3-激酶/AKT 生存途径失调在弥漫性大 B 细胞淋巴瘤(DLBCL)的发病机制中起着重要作用。为了寻找更新的治疗药物,我们研究了白藜芦醇(反式-3,4',5-三羟基二苯乙烯),一种天然存在的多酚化合物,对一系列弥漫性大 B 细胞淋巴瘤(DLBCL)细胞的作用,以抑制细胞活力并诱导细胞凋亡。
方法/主要发现:我们研究了白藜芦醇对 DLBCL 细胞的作用,发现白藜芦醇通过生成活性氧物质(ROS)抑制持续激活的 AKT 及其下游靶点,从而抑制细胞活力并诱导细胞凋亡。同时,白藜芦醇处理 DLBCL 细胞系也会导致 ROS 依赖性上调 DR5;有趣的是,用 TRAIL 和白藜芦醇的亚毒性剂量共同处理 DLBCL 会协同通过利用 DR5 诱导细胞凋亡,另一方面,DR5 的基因沉默会消除这种作用。
结论/意义:总的来说,这些数据表明白藜芦醇作为 AKT/PKB 途径的抑制剂,通过生成 ROS 导致细胞凋亡,同时通过上调 DR5 使 DLBCL 细胞对 TRAIL 介导的凋亡敏感。这些数据表明,白藜芦醇可能在 DLBCL 及其他 AKT/PKB 途径持续激活的恶性肿瘤中具有未来的治疗作用。