Suppr超能文献

生成携带额外 G 基因的重组狂犬病 Flury LEP 病毒可产生用于生产灭活疫苗的改良种子病毒。

Generation of a recombinant rabies Flury LEP virus carrying an additional G gene creates an improved seed virus for inactivated vaccine production.

机构信息

State Key Laboratory of Veterinary Biotechnology, Harbin Veterinary Research Institute of Chinese Academy of Agricultural Sciences, Harbin 150001, PR China.

出版信息

Virol J. 2011 Sep 25;8:454. doi: 10.1186/1743-422X-8-454.

Abstract

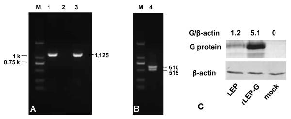
The rabies Flury Low Egg Passage virus (LEP) has been widely used as a seed virus to generate inactive vaccine. Here, we established a reverse genetic system for LEP and generated a recombinant LEP virus (rLEP-G) that carries two identical G genes. This recombinant virus showed similar properties to those of LEP with respect to in vitro growth, neurotropism index, and virulence in mice. rLEP-G produced 4.3-fold more G protein than did LEP in BHK-21 cells. The inactivated vaccine generated from rLEP-G induced significantly higher virus neutralization titers in mice and dogs than those produced in response to LEP-derived vaccine. Our results suggest that rLEP-G is an improved seed virus candidate for inactivated rabies virus vaccine manufacture.

摘要

狂犬病 Flury 低蛋传代病毒(LEP)已被广泛用作生产灭活疫苗的种子病毒。在这里,我们建立了 LEP 的反向遗传系统,并生成了携带两个相同 G 基因的重组 LEP 病毒(rLEP-G)。该重组病毒在体外生长、嗜神经指数和小鼠毒力方面与 LEP 具有相似的特性。rLEP-G 在 BHK-21 细胞中产生的 G 蛋白比 LEP 多 4.3 倍。rLEP-G 产生的灭活疫苗在小鼠和狗中诱导的病毒中和滴度明显高于对 LEP 衍生疫苗的反应。我们的结果表明,rLEP-G 是改进的狂犬病病毒灭活疫苗生产用种子病毒候选物。

https://cdn.ncbi.nlm.nih.gov/pmc/blobs/9d1c/3204297/1f880e329de1/1743-422X-8-454-1.jpg

文献AI研究员

20分钟写一篇综述,助力文献阅读效率提升50倍。

立即体验

用中文搜PubMed

大模型驱动的PubMed中文搜索引擎

马上搜索

文档翻译

学术文献翻译模型,支持多种主流文档格式。

立即体验