Suppr超能文献

T2 加权图像在评估术后鞍区和鞍旁区方面比 T1 加权增强图像更有用吗?

Are T2-weighted images more useful than T1-weighted contrast-enhanced images in assessment of postoperative sella and parasellar region?

机构信息

Department of General and Interventional Radiology and Neuroradiology, Wroclaw Medical University, Wroclaw, Poland.

出版信息

Med Sci Monit. 2011 Oct;17(10):MT83-90. doi: 10.12659/msm.881966.

Abstract

BACKGROUND

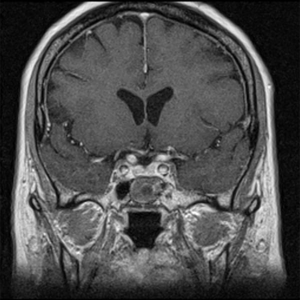
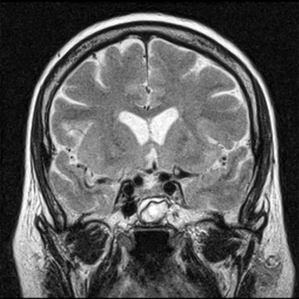
The proper diagnosis and management of patients after surgery for pituitary tumors are of great importance in clinical practice. The purpose of this study was to investigate the magnetic resonance features of the postoperative sella with fast spin echo T2-weighted imaging and to evaluate the benefits of this sequence compared to the classically performed contrast-enhanced T1-weighted imaging at 1.5T unit.

MATERIAL/METHODS: The study group consisted of 101 patients who underwent resection of pituitary tumors. There were 58 women (57.4%), aged 22 to 75 (mean age, 52.67 years) and 43 men (42.6%), aged 21 to 79 (mean age, 49 years). In all patients preoperative and multiple postoperative MR studies were performed. Post-contrast T1 and pre-contrast T2 images were interpreted by 2 independent readers (neuroradiologists).

RESULTS

Contrast-enhanced T1-weighted imaging was significantly superior to T2-weighted imaging in assessment of infundibulum (p<0.05). There was no statistically significant difference for each of readers between T1- and T2-weighted images regarding to the following features: visualization of residual pituitary gland (p = 0.062 and p = 0.368), contours of pituitary (p = 0.959 and p = 0.265), optic chiasm (p = 0.294 and p = 0.843), and visualization of presence of residual tumor (p = 0.204 and p = 0.169). T2-weighted images were significantly superior to contrast-enhanced T1-weighted imaging with regard to visualization of contours of residual tumors (p<0.05).

CONCLUSIONS

T2-weighted images may help to discriminate tumorous from non-tumorous involvement of the postoperative sella and the sphenoid sinus. T2-weighted images are also very useful for a long time after the resection in the postoperative evaluation of the implanted muscle with fascia.

摘要

背景

在临床实践中,对垂体瘤术后患者的正确诊断和管理非常重要。本研究的目的是探讨快速自旋回波 T2 加权成像在术后鞍区的磁共振特征,并评估该序列与 1.5T 单位常规进行的增强 T1 加权成像相比的优势。

材料/方法:研究组包括 101 例接受垂体瘤切除术的患者。其中 58 例为女性(57.4%),年龄 22-75 岁(平均年龄 52.67 岁),43 例为男性(42.6%),年龄 21-79 岁(平均年龄 49 岁)。所有患者均进行了术前和多次术后磁共振检查。2 位独立的读者(神经放射科医生)对增强 T1 和 T2 加权图像进行了解读。

结果

增强 T1 加权成像在评估漏斗方面明显优于 T2 加权成像(p<0.05)。对于每个读者来说,T1 加权和 T2 加权图像在以下特征方面的表现没有统计学差异:残留垂体的可视化(p=0.062 和 p=0.368)、垂体轮廓(p=0.959 和 p=0.265)、视交叉(p=0.294 和 p=0.843)和残留肿瘤的可视化(p=0.204 和 p=0.169)。T2 加权成像在显示残余肿瘤的轮廓方面明显优于增强 T1 加权成像(p<0.05)。

结论

T2 加权图像可能有助于区分术后鞍区和蝶窦中肿瘤性和非肿瘤性病变。T2 加权图像在切除术后植入的肌肉和筋膜的长期随访中也非常有用。

https://cdn.ncbi.nlm.nih.gov/pmc/blobs/50f3/3539462/e20a4bba8cd7/medscimonit-17-10-MT83-g001.jpg

文献AI研究员

20分钟写一篇综述,助力文献阅读效率提升50倍。

立即体验

用中文搜PubMed

大模型驱动的PubMed中文搜索引擎

马上搜索

文档翻译

学术文献翻译模型,支持多种主流文档格式。

立即体验