• 文献检索
  • 文档翻译
  • 深度研究
  • 学术资讯
  • Suppr Zotero 插件Zotero 插件
  • 邀请有礼
  • 套餐&价格
  • 历史记录
应用&插件
Suppr Zotero 插件Zotero 插件浏览器插件Mac 客户端Windows 客户端微信小程序
定价
高级版会员购买积分包购买API积分包
服务
文献检索文档翻译深度研究API 文档MCP 服务
关于我们
关于 Suppr公司介绍联系我们用户协议隐私条款
关注我们

Suppr 超能文献

核心技术专利:CN118964589B侵权必究
粤ICP备2023148730 号-1Suppr @ 2026

文献检索

告别复杂PubMed语法,用中文像聊天一样搜索,搜遍4000万医学文献。AI智能推荐,让科研检索更轻松。

立即免费搜索

文件翻译

保留排版,准确专业,支持PDF/Word/PPT等文件格式,支持 12+语言互译。

免费翻译文档

深度研究

AI帮你快速写综述,25分钟生成高质量综述,智能提取关键信息,辅助科研写作。

立即免费体验

肝门部胆管鳞状细胞癌

Squamous cell carcinoma of the hilar bile duct.

作者信息

Yamana Ippei, Kawamoto Shunji, Nagao Shuji, Yoshida Takahisa, Yamashita Yuichi

机构信息

Department of Surgery, Fukuoka University School of Medicine, Fukuoka, Japan.

出版信息

Case Rep Gastroenterol. 2011 May;5(2):463-70. doi: 10.1159/000331051. Epub 2011 Aug 22.

DOI:10.1159/000331051
PMID:21960950
原文链接:https://pmc.ncbi.nlm.nih.gov/articles/PMC3180664/
Abstract

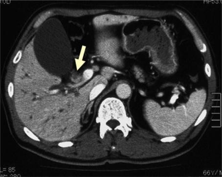
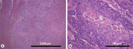
We herein report a rare case of squamous cell carcinoma of the hilar bile duct. A 66-year-old Japanese male patient was admitted to our hospital because of appetite loss and jaundice. Abdominal computed tomography revealed an enhanced mass measuring 10 × 30 mm in the hilar bile duct region. After undergoing biliary drainage, the patient underwent extended right hepatic lobectomy with regional lymph nodes dissection. The tumor had invaded the right portal vein. Therefore, we also performed resection and reconstruction of the portal vein. Histopathologically, the carcinoma cells exhibited a solid structure with differentiation to squamous cell carcinoma with keratinization and intercellular bridges. Immunohistochemical staining of the tumor cells revealed positive cytokeratin staining and negative CAM 5.2 staining. Based on these findings, a definitive diagnosis of well-differentiated squamous cell carcinoma of the hilar bile duct was made.

摘要

我们在此报告一例罕见的肝门部胆管鳞状细胞癌病例。一名66岁的日本男性患者因食欲减退和黄疸入院。腹部计算机断层扫描显示肝门部胆管区域有一个大小为10×30毫米的强化肿块。在进行胆道引流后,患者接受了扩大右肝叶切除术并进行区域淋巴结清扫。肿瘤侵犯了右门静脉。因此,我们还进行了门静脉切除和重建。组织病理学检查显示,癌细胞呈实体结构,分化为伴有角化和细胞间桥的鳞状细胞癌。肿瘤细胞的免疫组织化学染色显示细胞角蛋白染色阳性,CAM 5.2染色阴性。基于这些发现,确诊为肝门部胆管高分化鳞状细胞癌。

https://cdn.ncbi.nlm.nih.gov/pmc/blobs/27bb/3180664/c5f2a97c82a3/crg0005-0463-f05.jpg
https://cdn.ncbi.nlm.nih.gov/pmc/blobs/27bb/3180664/6a829903dd9b/crg0005-0463-f01.jpg
https://cdn.ncbi.nlm.nih.gov/pmc/blobs/27bb/3180664/97487023c8b6/crg0005-0463-f02.jpg
https://cdn.ncbi.nlm.nih.gov/pmc/blobs/27bb/3180664/b183c5397078/crg0005-0463-f03.jpg
https://cdn.ncbi.nlm.nih.gov/pmc/blobs/27bb/3180664/33369072b9cf/crg0005-0463-f04.jpg
https://cdn.ncbi.nlm.nih.gov/pmc/blobs/27bb/3180664/c5f2a97c82a3/crg0005-0463-f05.jpg
https://cdn.ncbi.nlm.nih.gov/pmc/blobs/27bb/3180664/6a829903dd9b/crg0005-0463-f01.jpg
https://cdn.ncbi.nlm.nih.gov/pmc/blobs/27bb/3180664/97487023c8b6/crg0005-0463-f02.jpg
https://cdn.ncbi.nlm.nih.gov/pmc/blobs/27bb/3180664/b183c5397078/crg0005-0463-f03.jpg
https://cdn.ncbi.nlm.nih.gov/pmc/blobs/27bb/3180664/33369072b9cf/crg0005-0463-f04.jpg
https://cdn.ncbi.nlm.nih.gov/pmc/blobs/27bb/3180664/c5f2a97c82a3/crg0005-0463-f05.jpg

相似文献

1
Squamous cell carcinoma of the hilar bile duct.肝门部胆管鳞状细胞癌
Case Rep Gastroenterol. 2011 May;5(2):463-70. doi: 10.1159/000331051. Epub 2011 Aug 22.
2
Squamous Cell Carcinoma of the Extrahepatic Common Hepatic Duct.肝外肝总管鳞状细胞癌
J Pathol Transl Med. 2019 Mar;53(2):112-118. doi: 10.4132/jptm.2018.09.03. Epub 2018 Oct 1.
3
Composite glandular-neuroendocrine carcinoma of the hilar bile duct: report of a case.肝门部胆管复合性腺神经内分泌癌:1例报告
Surg Today. 1998;28(7):758-62. doi: 10.1007/BF02484625.
4
Results of surgical resection for patients with hilar bile duct cancer: application of extended hepatectomy after biliary drainage and hemihepatic portal vein embolization.肝门部胆管癌患者手术切除结果:胆道引流及半肝门静脉栓塞后扩大肝切除术的应用
Ann Surg. 2003 Jul;238(1):84-92. doi: 10.1097/01.SLA.0000074984.83031.02.
5
Right trisectionectomy with principle en bloc portal vein resection for right-sided hilar cholangiocarcinoma: no-touch technique.右三叶切除术联合整块门静脉切除治疗右肝门部胆管癌:无接触技术。
Ann Surg Oncol. 2012 Apr;19(4):1324-5. doi: 10.1245/s10434-011-2072-x. Epub 2011 Oct 15.
6
Resection of intrahepatic bile duct carcinoma with hilar bile duct and portal vein invasion--a case report.肝内胆管癌合并肝门胆管及门静脉侵犯的切除术——病例报告
Hepatogastroenterology. 1990 Aug;37(4):421-4.
7
Pure laparoscopic radical resection for type IIIa hilar cholangiocarcinoma.单纯腹腔镜下肝门部胆管癌Ⅲa 型根治术。
Surg Endosc. 2018 Mar;32(3):1581-1582. doi: 10.1007/s00464-017-5741-4. Epub 2017 Aug 4.
8
Granulomatous cholangitis mimicking hilar cholangiocarcinoma: a case report.肉芽肿性胆管炎酷似肝门部胆管癌:一例报告。
BMC Gastroenterol. 2020 Nov 4;20(1):369. doi: 10.1186/s12876-020-01519-1.
9
Portal vein thrombosis associated with hilar bile duct carcinoma and liver abscess.门静脉血栓形成与肝门部胆管癌及肝脓肿相关。
Hepatogastroenterology. 2001 Jan-Feb;48(37):79-80.
10
[A case of curative resected hilar bile duct cancer with hepatic artery and portal vein reconstructions].[1例根治性切除并肝动脉和门静脉重建的肝门部胆管癌病例]
Gan To Kagaku Ryoho. 2010 Nov;37(12):2720-2.

引用本文的文献

1
Primary congenital choledochal cyst with squamous cell carcinoma: a case report.原发性先天性胆总管囊肿伴鳞状细胞癌:一例报告
J Int Med Res. 2020 Sep;48(9):300060520946871. doi: 10.1177/0300060520946871.
2
Squamous Cell Carcinoma of the Extrahepatic Common Hepatic Duct.肝外肝总管鳞状细胞癌
J Pathol Transl Med. 2019 Mar;53(2):112-118. doi: 10.4132/jptm.2018.09.03. Epub 2018 Oct 1.
3
Squamous cell carcinoma of the extrahepatic bile duct with metachronous para-aortic lymph node metastasis successfully treated with S-1 plus cisplatin.

本文引用的文献

1
Primary squamous cell carcinoma of the main hepatic bile duct.肝主胆管原发性鳞状细胞癌
Can J Surg. 2008 Aug;51(4):E85-6.
2
Squamous cell carcinoma arising within a choledochal cyst.胆总管囊肿内发生的鳞状细胞癌。
Dig Dis Sci. 2008 Oct;53(10):2822-5. doi: 10.1007/s10620-007-0182-x. Epub 2008 Feb 15.
3
Adenosquamous carcinoma of the extrahepatic biliary tract: clinicopathological analysis of Japanese cases of this uncommon disease.肝外胆管腺鳞癌:日本此类罕见疾病病例的临床病理分析
肝外胆管鳞状细胞癌伴异时性主动脉旁淋巴结转移经S-1联合顺铂成功治疗。
BMJ Case Rep. 2016 Dec 8;2016:bcr2016218177. doi: 10.1136/bcr-2016-218177.
4
Primary squamous cell carcinoma of the ampulla of Vater: a case report.原发性壶腹鳞状细胞癌:一例报告
Surg Case Rep. 2016 Dec;2(1):2. doi: 10.1186/s40792-016-0130-0. Epub 2016 Jan 8.
5
First Reported Case of Primary Intrahepatic Cholangiocarcinoma with Pure Squamous Cell Histology: A Case Report.首例纯鳞状细胞组织学的原发性肝内胆管癌病例报告:病例报告
Am J Case Rep. 2015 Jul 9;16:438-44. doi: 10.12659/AJCR.894609.
6
Synchronous double primary squamous cell carcinoma and adenocarcinoma of the extrahepatic bile duct: a case report.肝外胆管同步双原发性鳞状细胞癌和腺癌:一例报告
J Med Case Rep. 2015 May 19;9:116. doi: 10.1186/s13256-015-0600-1.
7
Pathological aspects of so called "hilar cholangiocarcinoma".所谓“肝门部胆管癌”的病理学方面。
World J Gastrointest Oncol. 2013 Jul 15;5(7):159-70. doi: 10.4251/wjgo.v5.i7.159.
J Gastroenterol. 2005 Feb;40(2):192-9. doi: 10.1007/s00535-004-1520-9.
4
Squamous cell carcinoma of the distal common bile duct.胆总管远端鳞状细胞癌。
JOP. 2005 Mar 10;6(2):162-5.
5
Primary squamous cell carcinoma of the bile duct diagnosed by transpapillary cholangioscopy: case report and review.经乳头胆管镜诊断的原发性胆管鳞状细胞癌:病例报告及文献复习
Gastrointest Endosc. 2004 Aug;60(2):300-4. doi: 10.1016/s0016-5107(04)01561-5.
6
[Squamous cell carcinoma of the extrahepatic bile duct].[肝外胆管鳞状细胞癌]
Ryoikibetsu Shokogun Shirizu. 1996(9):61-3.
7
Squamous cell carcinoma of the proximal bile duct--a case report.
J Surg Oncol. 1980;15(1):29-35. doi: 10.1002/jso.2930150106.
8
Squamous carcinoma in the liver.肝脏鳞状细胞癌。
Gut. 1990 Nov;31(11):1333-4. doi: 10.1136/gut.31.11.1333.
9
A clinicopathologic study of intrahepatic cholangiocarcinoma containing a component of squamous cell carcinoma.
Cancer. 1990 Mar 15;65(6):1401-4. doi: 10.1002/1097-0142(19900315)65:6<1401::aid-cncr2820650626>3.0.co;2-k.
10
Squamous cell carcinoma of the common bile duct.胆总管鳞状细胞癌
South Med J. 1978 Feb;71(2):216-9. doi: 10.1097/00007611-197802000-00036.