• 文献检索
  • 文档翻译
  • 深度研究
  • 学术资讯
  • Suppr Zotero 插件Zotero 插件
  • 邀请有礼
  • 套餐&价格
  • 历史记录
应用&插件
Suppr Zotero 插件Zotero 插件浏览器插件Mac 客户端Windows 客户端微信小程序
定价
高级版会员购买积分包购买API积分包
服务
文献检索文档翻译深度研究API 文档MCP 服务
关于我们
关于 Suppr公司介绍联系我们用户协议隐私条款
关注我们

Suppr 超能文献

核心技术专利:CN118964589B侵权必究
粤ICP备2023148730 号-1Suppr @ 2026

文献检索

告别复杂PubMed语法,用中文像聊天一样搜索,搜遍4000万医学文献。AI智能推荐,让科研检索更轻松。

立即免费搜索

文件翻译

保留排版,准确专业,支持PDF/Word/PPT等文件格式,支持 12+语言互译。

免费翻译文档

深度研究

AI帮你快速写综述,25分钟生成高质量综述,智能提取关键信息,辅助科研写作。

立即免费体验

定量骨髓病变大小与骨关节炎膝关节的软骨损伤相关,并可预测纵向软骨丢失。

Quantitative bone marrow lesion size in osteoarthritic knees correlates with cartilage damage and predicts longitudinal cartilage loss.

机构信息

Division of Rheumatology, Tufts Medical Center, 800 Washington Street, Box #406, Boston, MA 02111, USA.

出版信息

BMC Musculoskelet Disord. 2011 Sep 30;12:217. doi: 10.1186/1471-2474-12-217.

DOI:10.1186/1471-2474-12-217
PMID:21961433
原文链接:https://pmc.ncbi.nlm.nih.gov/articles/PMC3190349/
Abstract

BACKGROUND

Bone marrow lesions (BMLs), common osteoarthritis-related magnetic resonance imaging findings, are associated with osteoarthritis progression and pain. However, there are no articles describing the use of 3-dimensional quantitative assessments to explore the longitudinal relationship between BMLs and hyaline cartilage loss. The purpose of this study was to assess the cross-sectional and longitudinal descriptive characteristics of BMLs with a simple measurement of approximate BML volume, and describe the cross-sectional and longitudinal relationships between BML size and the extent of hyaline cartilage damage.

METHODS

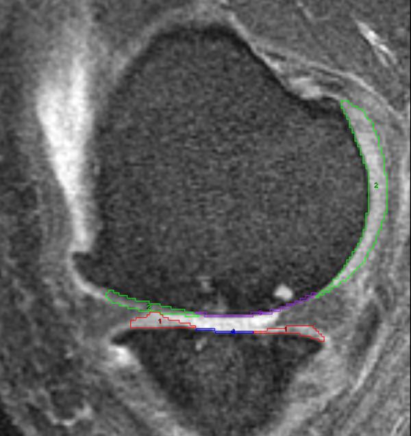
107 participants with baseline and 24-month follow-up magnetic resonance images from a clinical trial were included with symptomatic knee osteoarthritis. An 'index' compartment was identified for each knee defined as the tibiofemoral compartment with greater disease severity. Subsequently, each knee was evaluated in four regions: index femur, index tibia, non-index femur, and non-index tibia. Approximate BML volume, the product of three linear measurements, was calculated for each BML within a region. Cartilage parameters in the index tibia and femur were measured based on manual segmentation.

RESULTS

BML volume changes by region were: index femur (median [95% confidence interval of the median]) 0.1 cm3 (-0.5 to 0.9 cm3), index tibia 0.5 cm3 (-0.3 to 1.7 cm3), non-index femur 0.4 cm3 (-0.2 to 1.6 cm3), and non-index tibia 0.2 cm3 (-0.1 to 1.2 cm3). Among 44 knees with full thickness cartilage loss, baseline tibia BML volume correlated with baseline tibia full thickness cartilage lesion area (r = 0.63, p< 0.002) and baseline femur BML volume with longitudinal change in femoral full thickness cartilage lesion area (r = 0.48 p< 0.002).

CONCLUSIONS

Many regions had no or small longitudinal changes in approximate BML volume but some knees experienced large changes. Baseline BML size was associated to longitudinal changes in area of full thickness cartilage loss.

摘要

背景

骨髓病变(BMLs)是常见的与骨关节炎相关的磁共振成像表现,与骨关节炎的进展和疼痛有关。然而,目前尚无文章描述使用 3 维定量评估来探索 BML 与透明软骨丢失之间的纵向关系。本研究旨在通过简单测量近似 BML 体积来评估 BML 的横断面和纵向描述特征,并描述 BML 大小与透明软骨损伤程度之间的横断面和纵向关系。

方法

纳入了一项临床试验的基线和 24 个月随访的磁共振图像,共 107 名有症状的膝骨关节炎患者。为每个膝关节确定了一个“索引”关节,定义为疾病严重程度较大的胫股关节。随后,每个膝关节在四个区域进行评估:索引股骨、索引胫骨、非索引股骨和非索引胫骨。每个区域内的每个 BML 计算三个线性测量值的乘积,得出近似 BML 体积。根据手动分割测量索引胫骨和股骨的软骨参数。

结果

按区域划分,BML 体积的变化为:索引股骨(中位数[中位数的 95%置信区间])0.1cm3(-0.5 至 0.9cm3),索引胫骨 0.5cm3(-0.3 至 1.7cm3),非索引股骨 0.4cm3(-0.2 至 1.6cm3),非索引胫骨 0.2cm3(-0.1 至 1.2cm3)。在 44 个全层软骨缺失的膝关节中,基线胫骨 BML 体积与基线胫骨全层软骨病变面积相关(r=0.63,p<0.002),基线股骨 BML 体积与股骨全层软骨病变面积的纵向变化相关(r=0.48,p<0.002)。

结论

许多区域的近似 BML 体积没有或仅有较小的纵向变化,但有些膝关节的变化较大。基线 BML 大小与全层软骨缺失面积的纵向变化相关。

https://cdn.ncbi.nlm.nih.gov/pmc/blobs/71f8/3190349/673e1a783ea1/1471-2474-12-217-4.jpg
https://cdn.ncbi.nlm.nih.gov/pmc/blobs/71f8/3190349/1f3e538d0da3/1471-2474-12-217-1.jpg
https://cdn.ncbi.nlm.nih.gov/pmc/blobs/71f8/3190349/bcfefe09ef35/1471-2474-12-217-2.jpg
https://cdn.ncbi.nlm.nih.gov/pmc/blobs/71f8/3190349/c4dd2d9e909b/1471-2474-12-217-3.jpg
https://cdn.ncbi.nlm.nih.gov/pmc/blobs/71f8/3190349/673e1a783ea1/1471-2474-12-217-4.jpg
https://cdn.ncbi.nlm.nih.gov/pmc/blobs/71f8/3190349/1f3e538d0da3/1471-2474-12-217-1.jpg
https://cdn.ncbi.nlm.nih.gov/pmc/blobs/71f8/3190349/bcfefe09ef35/1471-2474-12-217-2.jpg
https://cdn.ncbi.nlm.nih.gov/pmc/blobs/71f8/3190349/c4dd2d9e909b/1471-2474-12-217-3.jpg
https://cdn.ncbi.nlm.nih.gov/pmc/blobs/71f8/3190349/673e1a783ea1/1471-2474-12-217-4.jpg

相似文献

1
Quantitative bone marrow lesion size in osteoarthritic knees correlates with cartilage damage and predicts longitudinal cartilage loss.定量骨髓病变大小与骨关节炎膝关节的软骨损伤相关,并可预测纵向软骨丢失。
BMC Musculoskelet Disord. 2011 Sep 30;12:217. doi: 10.1186/1471-2474-12-217.
2
The association between change in bone marrow lesion size and change in tibiofemoral cartilage volume and knee symptoms.骨髓病变大小变化与胫股软骨体积和膝关节症状变化之间的关系。
Rheumatology (Oxford). 2021 Jun 18;60(6):2791-2800. doi: 10.1093/rheumatology/keaa716.
3
Evaluation of bone marrow lesion volume as a knee osteoarthritis biomarker--longitudinal relationships with pain and structural changes: data from the Osteoarthritis Initiative.评估骨髓病变体积作为膝骨关节炎生物标志物-与疼痛和结构变化的纵向关系:来自骨关节炎倡议的数据。
Arthritis Res Ther. 2013;15(5):R112. doi: 10.1186/ar4292.
4
Knee malalignment is associated with an increased risk for incident and enlarging bone marrow lesions in the more loaded compartments: the MOST study.膝关节对线不良与负重更大区域骨骨髓病变的发生率和增大风险相关:MOST 研究。
Osteoarthritis Cartilage. 2012 Nov;20(11):1227-33. doi: 10.1016/j.joca.2012.07.020. Epub 2012 Aug 5.
5
Quantification of bone marrow lesion volume and volume change using semi-automated segmentation: data from the osteoarthritis initiative.使用半自动分割技术对骨髓病变体积及其变化进行定量分析:来自骨关节炎倡议的数据。
BMC Musculoskelet Disord. 2013 Jan 2;14:3. doi: 10.1186/1471-2474-14-3.
6
Pattern of joint damage in persons with knee osteoarthritis and concomitant ACL tears.膝关节骨关节炎合并前交叉韧带撕裂患者的关节损伤模式。
Rheumatol Int. 2012 May;32(5):1197-208. doi: 10.1007/s00296-010-1749-y. Epub 2011 Jan 21.
7
Osteoarthritic bone marrow lesions almost exclusively colocate with denuded cartilage: a 3D study using data from the Osteoarthritis Initiative.骨关节炎骨髓病变几乎完全与裸露的软骨共存:一项来自骨关节炎倡议的 3D 研究。
Ann Rheum Dis. 2016 Oct;75(10):1852-7. doi: 10.1136/annrheumdis-2015-208407. Epub 2015 Dec 15.
8
Association of bone marrow lesions with knee structures and risk factors for bone marrow lesions in the knees of clinically healthy, community-based adults.临床健康的社区成年人膝关节骨髓病变与膝关节结构的关联及膝关节骨髓病变的危险因素
Semin Arthritis Rheum. 2007 Oct;37(2):112-8. doi: 10.1016/j.semarthrit.2007.01.008. Epub 2007 Mar 27.
9
Prevalent cartilage damage and cartilage loss over time are associated with incident bone marrow lesions in the tibiofemoral compartments: the MOST study.随着时间的推移,普遍存在的软骨损伤和软骨丧失与胫股关节骨髓病变的发生有关:MOST 研究。
Osteoarthritis Cartilage. 2013 Feb;21(2):306-13. doi: 10.1016/j.joca.2012.11.005. Epub 2012 Nov 23.
10
Change in MRI-detected subchondral bone marrow lesions is associated with cartilage loss: the MOST Study. A longitudinal multicentre study of knee osteoarthritis.MRI检测到的软骨下骨髓病变的变化与软骨损失相关:MOST研究。一项膝关节骨关节炎的纵向多中心研究。
Ann Rheum Dis. 2009 Sep;68(9):1461-5. doi: 10.1136/ard.2008.096834. Epub 2008 Oct 1.

引用本文的文献

1
Knee Pain Expansion in Early Osteoarthritis: Findings from Iwaki Cohort Study.早期骨关节炎中膝关节疼痛的扩展:磐城队列研究的结果
J Pain Res. 2025 Jul 16;18:3643-3652. doi: 10.2147/JPR.S526036. eCollection 2025.
2
Bone marrow lesions in osteoarthritis: biomarker or treatment target? A narrative review.骨关节炎中的骨髓病变:生物标志物还是治疗靶点?一项叙述性综述。
Skeletal Radiol. 2025 Feb;54(2):175-191. doi: 10.1007/s00256-024-04725-0. Epub 2024 Jun 14.
3
Automatic Segmentation of Bone Marrow Lesions on MRI Using a Deep Learning Method.

本文引用的文献

1
Do knee abnormalities visualised on MRI explain knee pain in knee osteoarthritis? A systematic review.MRI 上观察到的膝关节异常能否解释膝关节骨关节炎的膝关节疼痛?系统评价。
Ann Rheum Dis. 2011 Jan;70(1):60-7. doi: 10.1136/ard.2010.131904. Epub 2010 Sep 9.
2
Bone marrow lesions in people with knee osteoarthritis predict progression of disease and joint replacement: a longitudinal study.膝关节骨关节炎患者的骨髓病变可预测疾病进展和关节置换:一项纵向研究。
Rheumatology (Oxford). 2010 Dec;49(12):2413-9. doi: 10.1093/rheumatology/keq286. Epub 2010 Sep 7.
3
Relationship between bone marrow lesions, cartilage loss and pain in knee osteoarthritis: results from a randomised controlled clinical trial using MRI.
使用深度学习方法在磁共振成像(MRI)上自动分割骨髓病变
Bioengineering (Basel). 2024 Apr 12;11(4):374. doi: 10.3390/bioengineering11040374.
4
Osteoclasts and osteoarthritis: Novel intervention targets and therapeutic potentials during aging.破骨细胞与骨关节炎:衰老过程中新型干预靶点与治疗潜能。
Aging Cell. 2024 Apr;23(4):e14092. doi: 10.1111/acel.14092. Epub 2024 Jan 29.
5
Association of biochemical markers with bone marrow lesion changes on imaging-data from the Foundation for the National Institutes of Health Osteoarthritis Biomarkers Consortium.生化标志物与美国国立卫生研究院骨关节炎生物标志物联盟影像学数据骨髓病变变化的关联。
Arthritis Res Ther. 2024 Jan 18;26(1):30. doi: 10.1186/s13075-023-03253-x.
6
Association between knee magnetic resonance imaging markers and knee symptoms over 6-9 years in young adults.膝关节磁共振成像标志物与年轻人膝关节症状的 6-9 年相关性。
Rheumatology (Oxford). 2024 Feb 1;63(2):436-445. doi: 10.1093/rheumatology/kead227.
7
Relationship between abnormalities detected by magnetic resonance imaging and knee symptoms in early knee osteoarthritis.磁共振成像检测到的异常与早期膝骨关节炎膝关节症状的关系。
Sci Rep. 2021 Jul 26;11(1):15179. doi: 10.1038/s41598-021-94382-3.
8
Bone phenotypes in rheumatology - there is more to bone than just bone.风湿病学中的骨骼表型——骨骼远不止骨骼那么简单。
BMC Musculoskelet Disord. 2020 Nov 28;21(1):789. doi: 10.1186/s12891-020-03804-2.
9
Novel Framework for Measuring Whole Knee Osteoarthritis Progression Using Magnetic Resonance Imaging.一种使用磁共振成像测量全膝关节骨关节炎进展的新框架。
Arthritis Care Res (Hoboken). 2022 May;74(5):799-808. doi: 10.1002/acr.24512. Epub 2022 Mar 1.
10
The combination of an inflammatory peripheral blood gene expression and imaging biomarkers enhance prediction of radiographic progression in knee osteoarthritis.炎症性外周血基因表达与影像学生物标志物相结合可增强对膝关节骨关节炎影像学进展的预测。
Arthritis Res Ther. 2020 Sep 10;22(1):208. doi: 10.1186/s13075-020-02298-6.
膝关节骨关节炎骨髓病变、软骨丢失与疼痛的关系:一项采用 MRI 的随机对照临床试验结果。
Ann Rheum Dis. 2010 Dec;69(12):2118-24. doi: 10.1136/ard.2009.127993. Epub 2010 Jul 7.
4
Volumetric and semiquantitative assessment of MRI-detected subchondral bone marrow lesions in knee osteoarthritis: a comparison of contrast-enhanced and non-enhanced imaging.MRI 检测膝关节骨关节炎骨软骨下骨髓病变的容积和半定量评估:对比增强与非增强成像的比较。
Osteoarthritis Cartilage. 2010 Aug;18(8):1062-6. doi: 10.1016/j.joca.2010.05.006. Epub 2010 May 28.
5
Longitudinal assessment of bone marrow edema-like lesions and cartilage degeneration in osteoarthritis using 3 T MR T1rho quantification.使用 3T MR T1rho 定量评估骨关节炎骨髓水肿样病变和软骨退变。
Skeletal Radiol. 2010 Jun;39(6):523-31. doi: 10.1007/s00256-010-0892-6. Epub 2010 Mar 1.
6
Within-subregion relationship between bone marrow lesions and subsequent cartilage loss in knee osteoarthritis.膝关节骨关节炎骨髓病变与随后软骨丢失的亚区相关性。
Arthritis Care Res (Hoboken). 2010 Feb;62(2):198-203. doi: 10.1002/acr.20068.
7
Development of bone marrow lesions is associated with adverse effects on knee cartilage while resolution is associated with improvement--a potential target for prevention of knee osteoarthritis: a longitudinal study.骨髓病变的发展与膝关节软骨的不良影响有关,而其消退与改善有关——这可能是预防膝关节骨关节炎的一个靶点:一项纵向研究。
Arthritis Res Ther. 2010;12(1):R10. doi: 10.1186/ar2911. Epub 2010 Jan 19.
8
Osteoarthritis may not be a one-way-road of cartilage loss--comparison of spatial patterns of cartilage change between osteoarthritic and healthy knees.骨关节炎可能不是软骨丢失的单行道——比较骨关节炎和健康膝关节之间软骨变化的空间模式。
Osteoarthritis Cartilage. 2010 Mar;18(3):329-35. doi: 10.1016/j.joca.2009.11.009. Epub 2009 Nov 24.
9
Subchondral bone marrow lesions are highly associated with, and predict subchondral bone attrition longitudinally: the MOST study.软骨下骨髓病变与软骨下骨损耗具有高度相关性,并可进行纵向预测:MOST 研究。
Osteoarthritis Cartilage. 2010 Jan;18(1):47-53. doi: 10.1016/j.joca.2009.08.018. Epub 2009 Sep 10.
10
Smoking is associated with increased cartilage loss and persistence of bone marrow lesions over 2 years in community-based individuals.在社区人群中,吸烟与两年内软骨损失增加以及骨髓损伤持续存在有关。
Rheumatology (Oxford). 2009 Oct;48(10):1227-31. doi: 10.1093/rheumatology/kep211. Epub 2009 Aug 20.