Suppr超能文献

急性间歇性卟啉病中的心脏钙化

Cardiac calcification in acute intermittent porphyria.

作者信息

Ghatak Tanmoy, Azim Afzal, Baronia Arvind K, Poddar Banani

机构信息

Department of Critical Care Medicine, Sanjay Gandhi Post Graduate Institute of Medical Sciences, Lucknow, Uttar Pradesh, India.

出版信息

Ann Pediatr Cardiol. 2011 Jul;4(2):186-8. doi: 10.4103/0974-2069.84669.

Abstract

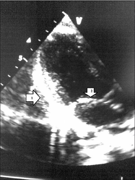
Aetiology of pericardial calcifications can be multifactorial. Tuberculosis has been reported as the most common cause. Other known causes include uraemia, asbestosis, post-traumatic or postoperative. We report a rare case of pericardial calcification seen in a patient with established acute intermittent porphyria. A direct causal relationship cannot be established between porphyria and pericardial calcification, but it may be due to deposition of the porphyrin in the pericardium.

摘要

心包钙化的病因可能是多因素的。据报道,结核病是最常见的病因。其他已知病因包括尿毒症、石棉沉着病、创伤后或术后。我们报告了一例在确诊为急性间歇性卟啉病的患者中出现的心包钙化罕见病例。卟啉病与心包钙化之间无法确立直接的因果关系,但可能是由于卟啉在心包中的沉积所致。

https://cdn.ncbi.nlm.nih.gov/pmc/blobs/f1b0/3180982/7457f44aba5c/APC-4-186-g001.jpg

文献检索

告别复杂PubMed语法,用中文像聊天一样搜索,搜遍4000万医学文献。AI智能推荐,让科研检索更轻松。

立即免费搜索

文件翻译

保留排版,准确专业,支持PDF/Word/PPT等文件格式,支持 12+语言互译。

免费翻译文档

深度研究

AI帮你快速写综述,25分钟生成高质量综述,智能提取关键信息,辅助科研写作。

立即免费体验