• 文献检索
  • 文档翻译
  • 深度研究
  • 学术资讯
  • Suppr Zotero 插件Zotero 插件
  • 邀请有礼
  • 套餐&价格
  • 历史记录
应用&插件
Suppr Zotero 插件Zotero 插件浏览器插件Mac 客户端Windows 客户端微信小程序
定价
高级版会员购买积分包购买API积分包
服务
文献检索文档翻译深度研究API 文档MCP 服务
关于我们
关于 Suppr公司介绍联系我们用户协议隐私条款
关注我们

Suppr 超能文献

核心技术专利:CN118964589B侵权必究
粤ICP备2023148730 号-1Suppr @ 2026

文献检索

告别复杂PubMed语法,用中文像聊天一样搜索,搜遍4000万医学文献。AI智能推荐,让科研检索更轻松。

立即免费搜索

文件翻译

保留排版,准确专业,支持PDF/Word/PPT等文件格式,支持 12+语言互译。

免费翻译文档

深度研究

AI帮你快速写综述,25分钟生成高质量综述,智能提取关键信息,辅助科研写作。

立即免费体验

升主动脉假性动脉瘤的器械封堵

Device occlusion of pseudoaneurysm of ascending aorta.

作者信息

Agarwal Mridul, Ray Mili, Pallavi M, Sen Supratim, Ganguly Debosree, Joshi Pankaj, Tanti Sanjay, Chattopadhyay Amitabh, Bandyopadhyay Biswajit

机构信息

Department of Pediatric Cardiology, R. N. Tagore International Institute of Cardiac Sciences, Kolkata, India.

出版信息

Ann Pediatr Cardiol. 2011 Jul;4(2):195-9. doi: 10.4103/0974-2069.84675.

DOI:10.4103/0974-2069.84675
PMID:21976887
原文链接:https://pmc.ncbi.nlm.nih.gov/articles/PMC3180985/
Abstract

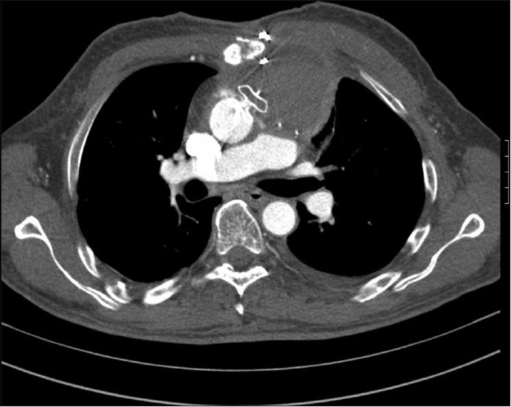
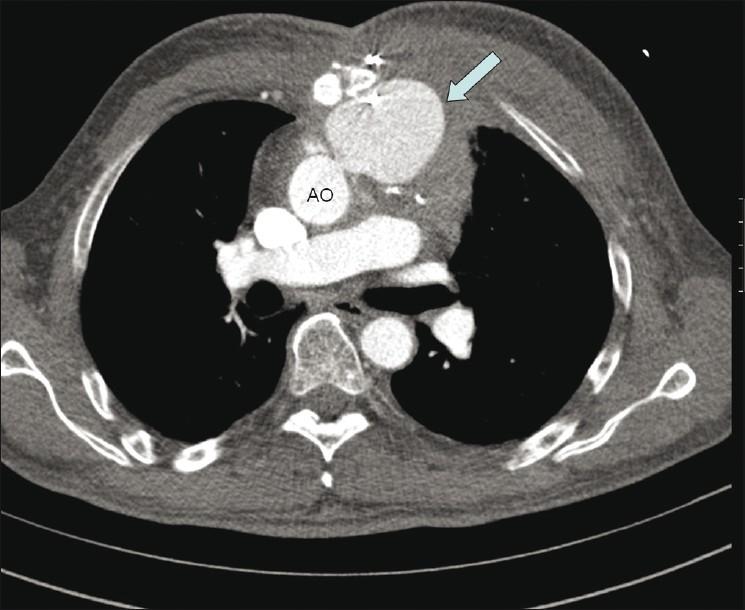
Pseudoaneurysm of ascending aorta is an infrequent but well-recognized and potentially fatal complication after cardiac surgeries. The complication can develop early, delayed or late, and the presentation is also varied. We are presenting here two cases of pseudoaneurysm of ascending aorta following cardiac surgery that were successfully managed by the transcatheter method. The first one occurred following coronary artery bypass surgery and the second one occurred following double-valve replacement surgery. The aortic openings of these aneurysms were occluded with 12 mm and 10 mm atrial septal occluders, respectively, with a good outcome. An immediate postprocedure angiogram showed no residual flow into the sac. Six months of follow-up of both cases also showed excellent results.

摘要

升主动脉假性动脉瘤是心脏手术后一种罕见但已被充分认识且可能致命的并发症。该并发症可早期、延迟或晚期发生,表现也各不相同。我们在此呈现两例心脏手术后升主动脉假性动脉瘤病例,均通过经导管方法成功治疗。第一例发生在冠状动脉旁路移植术后,第二例发生在双瓣膜置换术后。这些动脉瘤的主动脉开口分别用12毫米和10毫米的房间隔封堵器封堵,效果良好。术后即刻血管造影显示无血液残留进入瘤腔。两例患者术后6个月的随访结果也都非常理想。

https://cdn.ncbi.nlm.nih.gov/pmc/blobs/b0ee/3180985/b89483c2bd12/APC-4-195-g007.jpg
https://cdn.ncbi.nlm.nih.gov/pmc/blobs/b0ee/3180985/851d597c52bf/APC-4-195-g001.jpg
https://cdn.ncbi.nlm.nih.gov/pmc/blobs/b0ee/3180985/15cefed8e699/APC-4-195-g002.jpg
https://cdn.ncbi.nlm.nih.gov/pmc/blobs/b0ee/3180985/bc3e9e826d28/APC-4-195-g003.jpg
https://cdn.ncbi.nlm.nih.gov/pmc/blobs/b0ee/3180985/326ac66a6492/APC-4-195-g004.jpg
https://cdn.ncbi.nlm.nih.gov/pmc/blobs/b0ee/3180985/7c824657f527/APC-4-195-g005.jpg
https://cdn.ncbi.nlm.nih.gov/pmc/blobs/b0ee/3180985/198a5ccab198/APC-4-195-g006.jpg
https://cdn.ncbi.nlm.nih.gov/pmc/blobs/b0ee/3180985/b89483c2bd12/APC-4-195-g007.jpg
https://cdn.ncbi.nlm.nih.gov/pmc/blobs/b0ee/3180985/851d597c52bf/APC-4-195-g001.jpg
https://cdn.ncbi.nlm.nih.gov/pmc/blobs/b0ee/3180985/15cefed8e699/APC-4-195-g002.jpg
https://cdn.ncbi.nlm.nih.gov/pmc/blobs/b0ee/3180985/bc3e9e826d28/APC-4-195-g003.jpg
https://cdn.ncbi.nlm.nih.gov/pmc/blobs/b0ee/3180985/326ac66a6492/APC-4-195-g004.jpg
https://cdn.ncbi.nlm.nih.gov/pmc/blobs/b0ee/3180985/7c824657f527/APC-4-195-g005.jpg
https://cdn.ncbi.nlm.nih.gov/pmc/blobs/b0ee/3180985/198a5ccab198/APC-4-195-g006.jpg
https://cdn.ncbi.nlm.nih.gov/pmc/blobs/b0ee/3180985/b89483c2bd12/APC-4-195-g007.jpg

相似文献

1
Device occlusion of pseudoaneurysm of ascending aorta.升主动脉假性动脉瘤的器械封堵
Ann Pediatr Cardiol. 2011 Jul;4(2):195-9. doi: 10.4103/0974-2069.84675.
2
Percutaneous closure of aortic pseudoaneurysm in a young female with atrial septal occluder.经皮封堵年轻女性房间隔封堵器相关的主动脉假性动脉瘤
J Cardiol Cases. 2016 Nov 18;15(2):39-42. doi: 10.1016/j.jccase.2016.10.004. eCollection 2017 Feb.
3
Surgical exclusion of postsurgical pseudoaneurysm of the ascending aorta.升主动脉术后假性动脉瘤的手术排除。
Ann Pediatr Cardiol. 2014 May;7(2):135-7. doi: 10.4103/0974-2069.132490.
4
Unconventional uses of septal occluder devices: Our experience reviewed.房间隔封堵器的非常规应用:我们的经验回顾
Indian Heart J. 2015 Mar-Apr;67(2):128-35. doi: 10.1016/j.ihj.2015.02.028. Epub 2015 May 14.
5
Percutaneous Closure of the Aorto-Ostial Origin of a Coronary Artery Saphenous Bypass Graft with a Large Pseudoaneurysm Using the AMPLATZER Muscular Ventricular Septal Defect Occluder.使用AMPLATZER肌部室间隔缺损封堵器经皮闭合冠状动脉大隐静脉旁路移植术主动脉开口处合并巨大假性动脉瘤。
Int J Angiol. 2017 Sep;26(3):196-200. doi: 10.1055/s-0036-1593446. Epub 2016 Oct 5.
6
Percutaneous closure of an uncommon aortic pseudoaneurysm after arterial switch repair: a case report.动脉调转术修复术后经皮封堵罕见主动脉假性动脉瘤:一例报告
Eur Heart J Case Rep. 2019 Nov 13;3(4):1-4. doi: 10.1093/ehjcr/ytz178. eCollection 2019 Dec.
7
Novel percutaneous femoral arterial-transthoracic approach for closure of ascending aortic pseudoaneurysm with a septal occluder device in a child.儿童经皮股动脉-经胸途径使用间隔封堵器闭合升主动脉假性动脉瘤的新方法。
Cardiol Young. 2014 Aug;24(4):752-5. doi: 10.1017/S1047951113001170. Epub 2013 Sep 9.
8
Protective effect of angulated aorta for saving coronary artery during endovascular repair for ascending aortic pseudoaneurysm.升主动脉假性动脉瘤腔内修复术中成角主动脉对冠状动脉的保护作用
J Thorac Dis. 2016 Aug;8(8):E667-71. doi: 10.21037/jtd.2016.05.62.
9
Non-mycotic pseudoaneurysm in the ascending aorta following cardiac surgery.心脏手术后升主动脉非霉菌性假性动脉瘤
Jpn J Thorac Cardiovasc Surg. 1999 Jun;47(6):295-7. doi: 10.1007/BF03218015.
10
[Transcatheter closure of secundum atrial septal defect in children].[儿童继发孔型房间隔缺损的经导管封堵术]
Zhonghua Er Ke Za Zhi. 2004 Apr;42(4):287-90.

引用本文的文献

1
Use of an atrial septal defect occluder for the closure of an ascending aorta pseudoaneurysm after coronary artery bypass grafting.使用房间隔缺损封堵器闭合冠状动脉旁路移植术后升主动脉假性动脉瘤。
Turk Gogus Kalp Damar Cerrahisi Derg. 2025 Jul 21;33(3):397-400. doi: 10.5606/tgkdc.dergisi.2025.25878. eCollection 2025 Jul.
2
Percutaneous Repair of Chronic Aortic Pseudoaneurysm: A Single-Center Experience.经皮修复慢性主动脉假性动脉瘤:单中心经验
J Soc Cardiovasc Angiogr Interv. 2024 Aug 9;3(10):102249. doi: 10.1016/j.jscai.2024.102249. eCollection 2024 Oct.
3
An uncommon percutaneous treatment of aortic pseudoaneurysm.

本文引用的文献

1
Large pseudoaneurysm of aortic root after aortic valve replacement for rheumatic heart disease: a rare complication.风湿性心脏病主动脉瓣置换术后主动脉根部巨大假性动脉瘤:一种罕见的并发症。
Ann Card Anaesth. 2009 Jul-Dec;12(2):152-3. doi: 10.4103/0971-9784.53444.
2
Percutaneous closure of aortic pseudoaneurysm by Amplatzer occluder device-case series of six patients.应用Amplatzer封堵器经皮闭合主动脉假性动脉瘤——6例患者的病例系列报道
Catheter Cardiovasc Interv. 2009 Mar 1;73(4):521-9. doi: 10.1002/ccd.21833.
3
Endovascular repair of ascending aortic pseudoaneurysm: technical considerations of a common carotid artery approach using the Zenith aortic cuff endograft.
一种罕见的主动脉假性动脉瘤经皮治疗方法。
Anatol J Cardiol. 2018 Aug;20(2):132-133. doi: 10.14744/AnatolJCardiol.2018.08068.
4
Surgical exclusion of postsurgical pseudoaneurysm of the ascending aorta.升主动脉术后假性动脉瘤的手术排除。
Ann Pediatr Cardiol. 2014 May;7(2):135-7. doi: 10.4103/0974-2069.132490.
5
Percutaneous closure of complex paravalvular aortic root pseudoaneurysm and aorta-cavitary fistulas.经皮闭合复杂的瓣周主动脉根部假性动脉瘤及主动脉-腔静脉瘘。
Indian Heart J. 2014 May-Jun;66(3):358-62. doi: 10.1016/j.ihj.2014.03.015. Epub 2014 Apr 13.
升主动脉假性动脉瘤的血管腔内修复:使用Zenith主动脉袖状腔内移植物经颈总动脉入路的技术要点
J Endovasc Ther. 2007 Dec;14(6):794-8. doi: 10.1583/07-2165.1.
4
Novel use of the Amplatzer septal occluder device in the percutaneous closure of ascending aortic pseudoaneurysms: a case series.Amplatzer房间隔封堵器在经皮闭合升主动脉假性动脉瘤中的新应用:病例系列
Catheter Cardiovasc Interv. 2007 Jan;69(1):146-53. doi: 10.1002/ccd.20794.
5
Percutaneous repair of an ascending aortic pseudoaneurysm with a septal occluder device.经皮使用间隔封堵器修复升主动脉假性动脉瘤。
J Thorac Cardiovasc Surg. 2005 Aug;130(2):603-4. doi: 10.1016/j.jtcvs.2005.02.044.
6
Coil embolization of an aortic arch false aneurysm.
J Endovasc Ther. 2002 Dec;9(6):922-5. doi: 10.1177/152660280200900630.
7
Intra-arterial thrombin injection of an ascending aortic pseudoaneurysm complicated by transient ischemic attack and rescued with systemic abciximab.升主动脉假性动脉瘤动脉内注射凝血酶并发短暂性脑缺血发作,使用全身性阿昔单抗救治。
J Vasc Surg. 2001 Nov;34(5):939-42. doi: 10.1067/mva.2001.116968.
8
Morbidity and mortality of reconstructive surgery of noninfected false aneurysms detected long after aortic prosthetic reconstruction.主动脉人工血管重建术后很久才发现的非感染性假性动脉瘤重建手术的发病率和死亡率。
Arch Surg. 1998 Jan;133(1):45-9. doi: 10.1001/archsurg.133.1.45.
9
Reoperations on the aortic root and ascending aorta.主动脉根部和升主动脉再次手术。
Ann Thorac Surg. 1997 Oct;64(4):986-92. doi: 10.1016/s0003-4975(97)00626-7.
10
Pseudoaneurysms of the aorta after cardiac surgery or chest trauma.
Am Surg. 1993 Dec;59(12):818-23.