Suppr超能文献

比较生发中心标志物 CD10、BCL6 和人生发中心相关淋巴瘤 (HGAL) 在滤泡性淋巴瘤中的表达。

Comparison of germinal center markers CD10, BCL6 and human germinal center-associated lymphoma (HGAL) in follicular lymphomas.

机构信息

Department of Biomedical Sciences and Public Health, Pathological Anatomy, Polytechnic University of Marche Region, Ancona Hospital, Ancona, Italy.

出版信息

Diagn Pathol. 2011 Oct 11;6:97. doi: 10.1186/1746-1596-6-97.

Abstract

BACKGROUND

Recently, human germinal center-associated lymphoma (HGAL) gene protein has been proposed as an adjunctive follicular marker to CD10 and BCL6.

METHODS

Our aim was to evaluate immunoreactivity for HGAL in 82 cases of follicular lymphomas (FLs)--67 nodal, 5 cutaneous and 10 transformed--which were all analysed histologically, by immunohistochemistry and PCR.

RESULTS

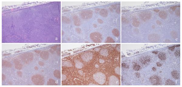
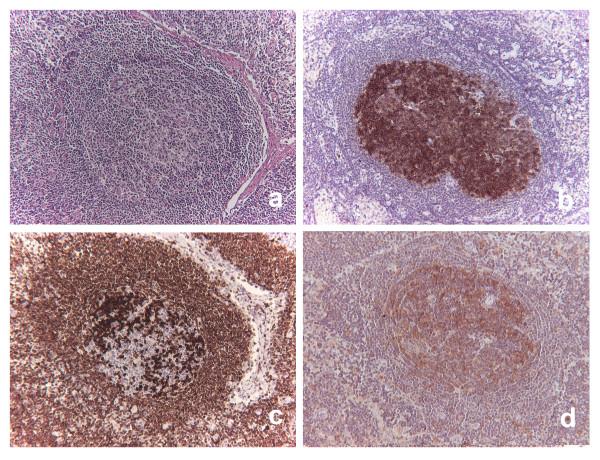
Immunostaining for HGAL was more frequently positive (97.6%) than that for BCL6 (92.7%) and CD10 (90.2%) in FLs; the cases negative for bcl6 and/or for CD10 were all positive for HGAL, whereas the two cases negative for HGAL were positive with BCL6; no difference in HGAL immunostaining was found among different malignant subtypes or grades.

CONCLUSIONS

Therefore, HGAL can be used in the immunostaining of FLs as the most sensitive germinal center (GC)-marker; when applied alone, it would half the immunostaining costs, reserving the use of the other two markers only to HGAL-negative cases.

摘要

背景

最近,人类生发中心相关淋巴瘤(HGAL)基因蛋白被提议作为 CD10 和 BCL6 的辅助滤泡标记物。

方法

我们的目的是评估 HGAL 在 82 例滤泡性淋巴瘤(FL)中的免疫反应性——67 例淋巴结、5 例皮肤和 10 例转化性——所有这些都通过组织学、免疫组织化学和 PCR 进行了分析。

结果

在 FL 中,HGAL 的免疫染色比 BCL6(92.7%)和 CD10(90.2%)更频繁地呈阳性;bcl6 和/或 CD10 阴性的病例均为 HGAL 阳性,而 2 例 HGAL 阴性的病例均为 BCL6 阳性;不同恶性亚型或分级的 HGAL 免疫染色无差异。

结论

因此,HGAL 可用于 FL 的免疫染色,作为最敏感的生发中心(GC)标记物;单独应用时,它将节省一半的免疫染色成本,仅将另外两种标记物保留用于 HGAL 阴性病例。

https://cdn.ncbi.nlm.nih.gov/pmc/blobs/c346/3201901/b24006c2d2fc/1746-1596-6-97-1.jpg

文献AI研究员

20分钟写一篇综述,助力文献阅读效率提升50倍。

立即体验

用中文搜PubMed

大模型驱动的PubMed中文搜索引擎

马上搜索

文档翻译

学术文献翻译模型,支持多种主流文档格式。

立即体验