Suppr超能文献

一名系统性红斑狼疮患者发生的内源性星形诺卡菌性眼内炎。

Endogenous Nocardia asteroides endophthalmitis in a patient with systemic lupus erythematosus.

作者信息

Ishibashi Y, Watanabe R, Hommura S, Koyama A, Ishikawa T, Mikami Y

机构信息

Department of Ophthalmology, University of Tsukuba, Ibaraki, Japan.

出版信息

Br J Ophthalmol. 1990 Jul;74(7):433-6. doi: 10.1136/bjo.74.7.433.

Abstract

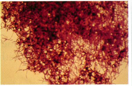
We report a case of endogenous Nocardia endophthalmitis in a patient with systemic lupus erythematosus (SLE). He developed a parafoveal lesion in the right fundus while on systemic corticosteroid and antibiotic treatment. Initially we suspected a fungal origin and treated him with antifungal drugs. The intraocular disease progressed without improvement and advanced to the vitreous cavity. Nocardia asteroides was found in a specimen obtained at pars plana vitrectomy and was also cultured from the same specimen. The intraocular infection was controlled by antibacterial drugs, though the visual acuity of the right eye was reduced to only light perception owing to heavy vitreous opacity and secondary cataract. This case is the first report of endogenous Nocardia endophthalmitis in Japan and also the first case of this disease reported from outside the United States of America.

摘要

我们报告一例系统性红斑狼疮(SLE)患者发生的内源性诺卡菌性眼内炎。该患者在接受全身性皮质类固醇和抗生素治疗期间,右眼眼底出现黄斑旁病变。起初我们怀疑是真菌性病因,并给予抗真菌药物治疗。眼内疾病持续进展且无改善,并蔓延至玻璃体腔。在经睫状体平坦部玻璃体切除术获取的标本中发现了星形诺卡菌,且同一标本培养出该菌。尽管由于严重的玻璃体混浊和继发性白内障,右眼视力降至仅存光感,但眼内感染通过抗菌药物得到了控制。该病例是日本首例内源性诺卡菌性眼内炎报告,也是美国以外地区报告的首例该疾病病例。

https://cdn.ncbi.nlm.nih.gov/pmc/blobs/6b35/1042157/5d3d3997c772/brjopthal00581-0054-a.jpg

文献检索

告别复杂PubMed语法,用中文像聊天一样搜索,搜遍4000万医学文献。AI智能推荐,让科研检索更轻松。

立即免费搜索

文件翻译

保留排版,准确专业,支持PDF/Word/PPT等文件格式,支持 12+语言互译。

免费翻译文档

深度研究

AI帮你快速写综述,25分钟生成高质量综述,智能提取关键信息,辅助科研写作。

立即免费体验