Suppr超能文献

THSG 对乙酸诱导的实验性结肠炎的有益作用:涉及上调 PPAR-γ 和抑制 Nf-Κb 炎症途径。

Beneficial effects of THSG on acetic acid-induced experimental colitis: involvement of upregulation of PPAR-γ and inhibition of the Nf-Κb inflammatory pathway.

机构信息

Department of Pharmacology, Tongji Medical College, Huazhong University of Science and Technology, Wuhan 430030, China.

出版信息

Molecules. 2011 Oct 12;16(10):8552-68. doi: 10.3390/molecules16108552.

Abstract

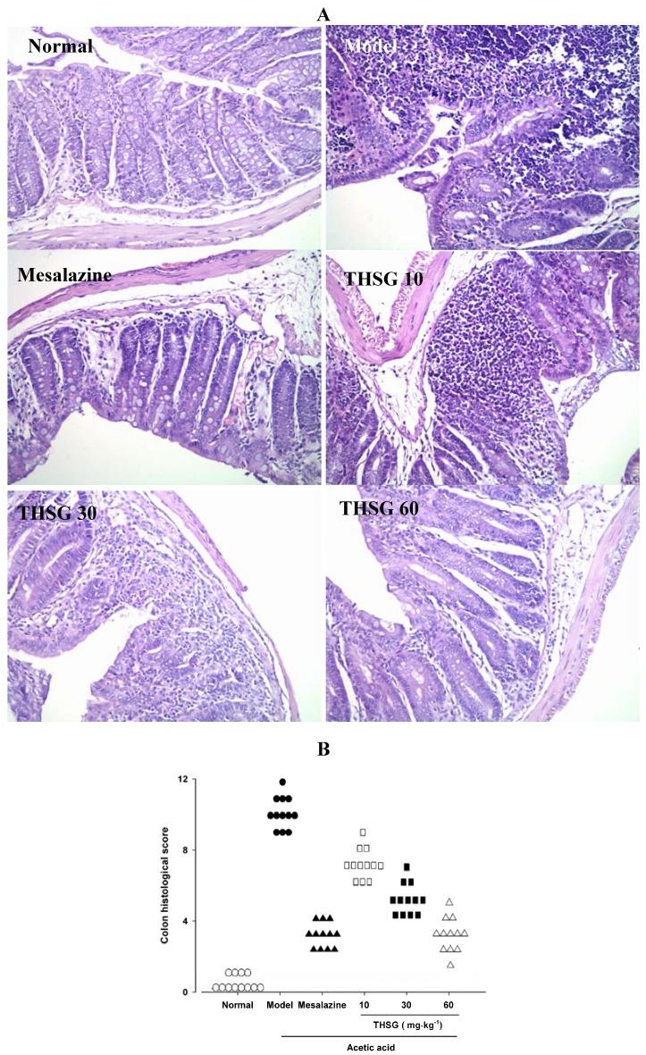
The polyphenolic compound 2,3,5,4'-tetrahydroxystilbene-2-O-beta-D-glucoside (THSG) has been shown to possess anti-inflammatory effects. Here, we examined the effects of THSG on experimental mice with colitis induced by acetic acid and whether the underlying mechanisms were associated with the PPAR-γ and NF-κB pathways. Mice were randomized into six equal groups: normal, colitis model, THSG (10, 30, 60 mg·kg(-1)) and mesalazine. The mice were administered 10, 30, 60 mg·kg(-1) THSG or 100 mg·kg-1 mesalazine or saline once daily by intragastric administration for 7 days after induction of colitis by acetic acid irrigation. THSG dramatically attenuated acetic acid-induced colon lesions, including reversing the body weight loss and improving histopathological changes. THSG apparently decreased the increase of malondialdehyde (MDA) which is a marker of lipid peroxidation. THSG appears to exert its beneficial effects on acetic acid-induced experimental colitis through upregulation of PPAR-γ mRNA and protein levels and inhibition of the NF-κB pathway, which in turn decreases the protein overexpression of the downstream inflammatory mediators TNF-α, IL-6 and COX-2. The effect of THSG 60 mg·kg(-1) on PPAR-γ mRNA expression was higher than that of mesalazine. THSG may thus be a promising new candidate or lead compound for the treatment of IBD.

摘要

多酚化合物 2,3,5,4'-四羟基二苯乙烯-2-O-β-D-葡萄糖苷(THSG)已被证明具有抗炎作用。在这里,我们研究了 THSG 对乙酸诱导的结肠炎实验小鼠的作用,以及潜在的机制是否与 PPAR-γ 和 NF-κB 途径有关。将小鼠随机分为六组:正常组、结肠炎模型组、THSG(10、30、60mg·kg(-1)) 和美沙拉嗪组。在乙酸灌胃诱导结肠炎后,每天通过灌胃给予 10、30、60mg·kg(-1)THSG 或 100mg·kg-1美沙拉嗪或生理盐水,共 7 天。THSG 明显减轻了乙酸诱导的结肠损伤,包括逆转体重减轻和改善组织病理学变化。THSG 明显降低了丙二醛(MDA)的增加,MDA 是脂质过氧化的标志物。THSG 似乎通过上调 PPAR-γ mRNA 和蛋白水平并抑制 NF-κB 途径来发挥其对乙酸诱导的实验性结肠炎的有益作用,从而降低下游炎症介质 TNF-α、IL-6 和 COX-2 的蛋白过表达。THSG 60mg·kg(-1)对 PPAR-γ mRNA 表达的作用高于美沙拉嗪。因此,THSG 可能是治疗 IBD 的一种有前途的新候选药物或先导化合物。

https://cdn.ncbi.nlm.nih.gov/pmc/blobs/4f3a/6264228/f91c4a3a58e2/molecules-16-08552-g001.jpg

文献AI研究员

20分钟写一篇综述,助力文献阅读效率提升50倍。

立即体验

用中文搜PubMed

大模型驱动的PubMed中文搜索引擎

马上搜索

文档翻译

学术文献翻译模型,支持多种主流文档格式。

立即体验