• 文献检索
  • 文档翻译
  • 深度研究
  • 学术资讯
  • Suppr Zotero 插件Zotero 插件
  • 邀请有礼
  • 套餐&价格
  • 历史记录
应用&插件
Suppr Zotero 插件Zotero 插件浏览器插件Mac 客户端Windows 客户端微信小程序
定价
高级版会员购买积分包购买API积分包
服务
文献检索文档翻译深度研究API 文档MCP 服务
关于我们
关于 Suppr公司介绍联系我们用户协议隐私条款
关注我们

Suppr 超能文献

核心技术专利:CN118964589B侵权必究
粤ICP备2023148730 号-1Suppr @ 2026

文献检索

告别复杂PubMed语法,用中文像聊天一样搜索,搜遍4000万医学文献。AI智能推荐,让科研检索更轻松。

立即免费搜索

文件翻译

保留排版,准确专业,支持PDF/Word/PPT等文件格式,支持 12+语言互译。

免费翻译文档

深度研究

AI帮你快速写综述,25分钟生成高质量综述,智能提取关键信息,辅助科研写作。

立即免费体验

联苯胺在人咬伤痕迹中血红蛋白组织学显示中的应用。

Use of benzidine for histological demonstration of haemoglobin in human bite marks.

作者信息

Allison R T, Whittaker D K

机构信息

University of Wales, College of Medicine, Dental School, Heath Park, Cardiff.

出版信息

J Clin Pathol. 1990 Jul;43(7):600-3. doi: 10.1136/jcp.43.7.600.

DOI:10.1136/jcp.43.7.600
PMID:2199540
原文链接:https://pmc.ncbi.nlm.nih.gov/articles/PMC502590/
Abstract

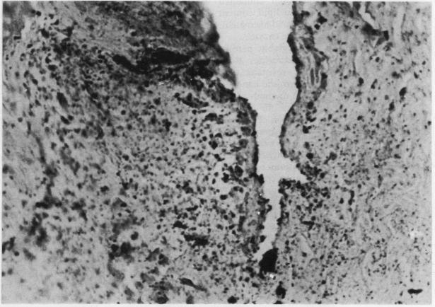
Macroscopic evidence of bruising from human bite marks may be inconclusive and routine histochemical methods of showing extravasated erythrocytes can be unreliable. Leuco patent blue staining, for the presence of peroxidase, Amido black B, a tinctorial staining method for haemoglobin, Perls's reaction for ferric iron (haemosiderin), Masson-Fontana for melanin, Masson's trichrome, a connective tissue strain, and the benzidine reaction for haemoglobin peroxidase were carried out in three forensic cases and one experimental case. A modified benzidine method was the most reliable indicator of haemoglobin activity, especially where dispersion into extra-cellular tissues had occurred. The resilience of the erythrocyte peroxidase enzyme to temperature changes and fixation supports the concept of a "pseudo-peroxidase" in those cells. It is concluded that free haemoglobin from bite marks, or indeed other forms of blunt trauma, may best be shown by the benzidine reaction and that exemption certificates for use of this prohibited substance may be worth pursuing.

摘要

人类咬痕造成的瘀伤的宏观证据可能不明确,而显示红细胞外渗的常规组织化学方法可能不可靠。在三个法医案例和一个实验案例中,进行了用于检测过氧化物酶的无色专利蓝染色、用于检测血红蛋白的氨基黑B(一种染色方法)、用于检测三价铁(含铁血黄素)的佩尔斯反应、用于检测黑色素的马森-丰塔纳染色、用于检测结缔组织的马森三色染色以及用于检测血红蛋白过氧化物酶的联苯胺反应。改良的联苯胺方法是血红蛋白活性最可靠的指标,尤其是在血红蛋白已扩散到细胞外组织的情况下。红细胞过氧化物酶对温度变化和固定的耐受性支持了这些细胞中存在“假过氧化物酶”的概念。结论是,咬痕或其他形式钝器伤中的游离血红蛋白,最好通过联苯胺反应来显示,并且可能值得申请使用这种违禁物质的豁免证书。

https://cdn.ncbi.nlm.nih.gov/pmc/blobs/d147/502590/277103986d25/jclinpath00397-0077-b.jpg
https://cdn.ncbi.nlm.nih.gov/pmc/blobs/d147/502590/56ba2e72ab89/jclinpath00397-0077-a.jpg
https://cdn.ncbi.nlm.nih.gov/pmc/blobs/d147/502590/277103986d25/jclinpath00397-0077-b.jpg
https://cdn.ncbi.nlm.nih.gov/pmc/blobs/d147/502590/56ba2e72ab89/jclinpath00397-0077-a.jpg
https://cdn.ncbi.nlm.nih.gov/pmc/blobs/d147/502590/277103986d25/jclinpath00397-0077-b.jpg

相似文献

1
Use of benzidine for histological demonstration of haemoglobin in human bite marks.联苯胺在人咬伤痕迹中血红蛋白组织学显示中的应用。
J Clin Pathol. 1990 Jul;43(7):600-3. doi: 10.1136/jcp.43.7.600.
2
[Examinations for the proof of detailed marks of bites].[用于证明咬伤详细痕迹的检查]
Arch Kriminol. 1980 Mar-Apr;165(3-4):93-106.
3
Bite-marks on battered children.受虐儿童身上的咬痕。
Z Rechtsmed. 1977 Jan 21;79(1):73-8. doi: 10.1007/BF00204545.
4
Bite mark evidence: a case report using accepted and new techniques.咬痕证据:一项运用公认及新技术的病例报告。
J Forensic Sci. 1980 Jul;25(3):638-45.
5
Human bite marks. Differential diagnosis.人类咬痕。鉴别诊断。
Clin Pediatr (Phila). 1989 Jul;28(7):329-31. doi: 10.1177/000992288902800707.
6
Transillumination in bite mark evidence.咬痕证据中的透照法。
J Forensic Sci. 1987 May;32(3):690-7.
7
Two bite marks on assailant. Primary link to homicide conviction.
Am J Forensic Med Pathol. 1983 Jun;4(2):177-80. doi: 10.1097/00000433-198306000-00015.
8
[Dental identification and study of bite marks: contribution of dentistry to medicolegal problems].[牙齿鉴定与咬痕研究:牙科对法医学问题的贡献]
Rev Belge Med Dent. 1982 Jul;37(4):137-45.
9
Anatomical distribution of human bite marks in a series of 67 cases.67例人咬伤痕迹的解剖分布情况。
J Forensic Sci. 1983 Jan;28(1):61-9.
10
The identification of bite marks using the reflex microscope.使用反射显微镜识别咬痕。
J Forensic Odontostomatol. 1987 Jun;5(1):1-8.

引用本文的文献

1
Extravasation of Blood and Blood Toxicity Drives Tubular Injury from RBC Trapping in Ischemic AKI.血液外渗和血液毒性导致 RBC 阻塞性缺血性 AKI 的肾小管损伤。
Function (Oxf). 2023 Sep 4;4(6):zqad050. doi: 10.1093/function/zqad050. eCollection 2023.

本文引用的文献

1
Amidoblack as a stain for hemoglobin.
Arch Pathol. 1962 Mar;73:245-9.
2
Quantitative analysis of forces of the tongue.舌部力量的定量分析。
J Dent Res. 1956 Apr;35(2):171-4. doi: 10.1177/00220345560350020201.
3
Histological studies of skin carrying bite marks.带有咬痕皮肤的组织学研究。
J Forensic Sci Soc. 1974 Jul;14(3):239-40. doi: 10.1016/s0015-7368(74)70909-4.
4
Buffered phenol formaldehyde (pH 7.0 and pH 5.5): improved fixation in an enclosed tissue processor.缓冲酚醛(pH 7.0和pH 5.5):在封闭式组织处理仪中固定效果更佳。
Med Lab Sci. 1989 Jan;46(1):74-6.