Suppr超能文献

Neurocysticercosis: Acute presentation and intensive care management of two cases.

作者信息

Sharma Aanchal, Mahajan Charu, Rath Girija P, Mohapatra Sarita, Padhy Uma P, Kumar Lokesh

机构信息

Department of Neuroanesthesiology, MKCG Medical College, Berhampur, Orissa, India.

出版信息

Indian J Crit Care Med. 2011 Jul;15(3):185-7. doi: 10.4103/0972-5229.84899.

Abstract

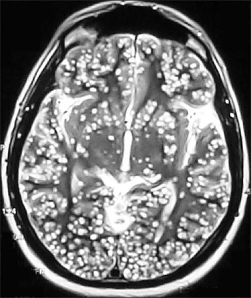
Neurocysticercosis (NCC), a common helminthic infestation in developing countries, may cause acquired epilepsy and neurological morbidities. Acute symptomatic seizure is the most common manifestation. The other clinical conditions include headache, hydrocephalus, chronic meningitis, focal neurological deficits, and psychological disorders. Altered sensorium and raised intracranial pressure (ICP) may require ventilatory support in an intensive care unit (ICU). Definitive diagnosis is made by identification of parasites in tissues or by a radiological demonstration of the scolex in cystic lesions. Antiepileptic drugs are used to control seizures after NCC. Steroids are generally administered along with antihelminthics, in order to control the edema and intracranial hypertension that may occur as a result of antiparasitic medications. In patients with intracranial hypertension, the priority is to manage the ICP before considering other treatment options. Antiparasitic drug treatment is never the mainstay of treatment, especially in the setting of elevated ICP. Here, we present the ICU management of two such cases.

摘要
https://cdn.ncbi.nlm.nih.gov/pmc/blobs/e44a/3190473/34e89d7a690d/IJCCM-15-185-g001.jpg

文献AI研究员

20分钟写一篇综述,助力文献阅读效率提升50倍。

立即体验

用中文搜PubMed

大模型驱动的PubMed中文搜索引擎

马上搜索

文档翻译

学术文献翻译模型,支持多种主流文档格式。

立即体验