Suppr超能文献

下颌骨骨内神经鞘瘤:一例罕见的古老型病例报告

Intraosseous neurilemmoma of the mandible: report of a rare ancient type.

作者信息

Jahanshahi Gholamreza, Haghighat Abbas, Azmoodeh Faezeh

机构信息

Associate Professor, Department of Oral & Maxillofacial Pathology and Torabinejad Dental Research Center, School of Dentistry, Isfahan University of Medical Sciences, Isfahan, Iran.

出版信息

Dent Res J (Isfahan). 2011 Summer;8(3):150-3.

Abstract

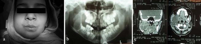
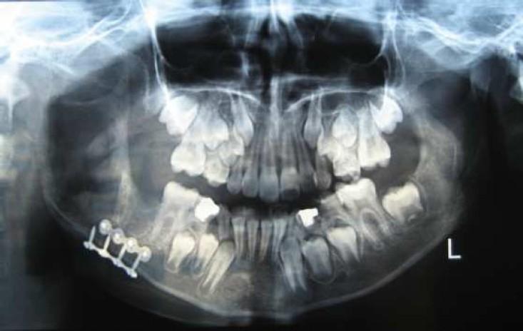
The neurilemmoma is a benign neoplasm of Schwann cell origin. One of the histopathologic subtypes of this tumor is ancient schwannoma which is characterized by degenerative alterations including cystic change, calcification, hemorrhage, and hyalinization.Intraosseous schwannomas especially ancient ones are rare tumors. Here we present a case of intraosseous ancient schwannoma in the lower jaw of an 11-year-old girl which caused a non-tender expansion. Radiographic examination showed a well-circumscribed, unilocular radiolucent lesion with thin sclerotic borders in the mandibular body and the ramus. Histopathologic examination of the incisional biopsy showed areas of typical Antoni A with verocay bodies and Antoni B that was strongly suggestive of a schwannoma. Complete excision of the lesion was done under general anesthesia. The histopathologic examination confirmed the primary diagnosis and also degenerative changes such as hyalinization and calcification. Based on these findings, the diagnosis of ancient schwannoma was made. No recurrence was observed in the follow-up examination after 3 months.

摘要

神经鞘瘤是一种起源于施万细胞的良性肿瘤。该肿瘤的组织病理学亚型之一是陈旧性神经鞘瘤,其特征为退行性改变,包括囊性变、钙化、出血和玻璃样变。骨内神经鞘瘤,尤其是陈旧性神经鞘瘤,是罕见的肿瘤。在此,我们报告一例发生于一名11岁女孩下颌骨的骨内陈旧性神经鞘瘤病例,该肿瘤导致无痛性膨隆。影像学检查显示下颌体和下颌支有一个边界清晰、单房性的透射性病变,边界有薄的硬化边。切开活检的组织病理学检查显示有典型的伴有Verocay小体的Antoni A区和Antoni B区,强烈提示为神经鞘瘤。在全身麻醉下对病变进行了完整切除。组织病理学检查证实了初步诊断,同时也发现了玻璃样变和钙化等退行性改变。基于这些发现,诊断为陈旧性神经鞘瘤。3个月后的随访检查未观察到复发。

https://cdn.ncbi.nlm.nih.gov/pmc/blobs/0599/3177391/073a0de323a0/DRJ-8-150-g001.jpg

文献检索

告别复杂PubMed语法,用中文像聊天一样搜索,搜遍4000万医学文献。AI智能推荐,让科研检索更轻松。

立即免费搜索

文件翻译

保留排版,准确专业,支持PDF/Word/PPT等文件格式,支持 12+语言互译。

免费翻译文档

深度研究

AI帮你快速写综述,25分钟生成高质量综述,智能提取关键信息,辅助科研写作。

立即免费体验