Suppr超能文献

在兔和犬中通过重复皮下注射给予EXPAREL(DepoFoam布比卡因)的安全性评价:种属比较。

Safety Evaluation of EXPAREL (DepoFoam Bupivacaine) Administered by Repeated Subcutaneous Injection in Rabbits and Dogs: Species Comparison.

作者信息

Richard Brigitte M, Rickert Douglas E, Newton Paul E, Ott Laura R, Haan Dean, Brubaker Abram N, Cole Phaedra I, Ross Paul E, Rebelatto Marlon C, Nelson Keith G

机构信息

Department of Toxicology, Clinical Research & Drug Safety Assessment, Pacira Pharmaceuticals Inc., San Diego, CA 92121, USA.

出版信息

J Drug Deliv. 2011;2011:467429. doi: 10.1155/2011/467429. Epub 2011 Oct 5.

Abstract

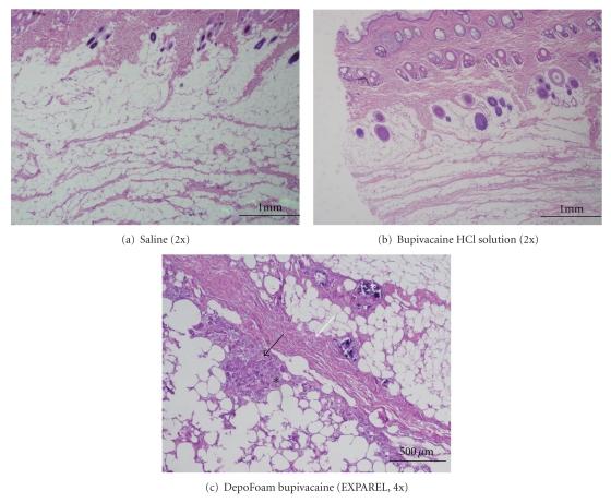
EXPAREL (bupivacaine extended-release liposome injection), DepoFoam bupivacaine, is in development for prolonged postsurgical analgesia. Repeat-dose toxicity studies were conducted in rabbits and dogs to compare the potential local and systemic toxicities of EXPAREL and bupivacaine HCl (Bsol), and the reversibility of any effects. Dogs tolerated much larger doses than rabbits. EXPAREL-related minimal-to-moderate granulomatous inflammation was noted at the injection sites. In recovery animals, the granulomatous inflammation was observed less frequently and was characterized by an increased number of multinucleated giant cells. These effects were considered a normal response to liposomes and nonadverse. Rabbits are more sensitive than dogs. In rabbits, convulsions were noted with EXPAREL and more frequently with Bsol; a NOAEL was not identified. In dogs, EXPAREL was well tolerated (NOAEL > 30 mg/kg/dose). The cumulative exposure of EXPAREL in these studies is well in excess of the proposed maximum single-dose exposure that is intended in humans.

摘要

EXPAREL(布比卡因长效脂质体注射液),即DepoFoam布比卡因,正处于开发阶段,用于延长术后镇痛时间。在兔子和狗身上进行了重复给药毒性研究,以比较EXPAREL和盐酸布比卡因(Bsol)的潜在局部和全身毒性,以及任何影响的可逆性。狗比兔子能耐受更大的剂量。在注射部位观察到与EXPAREL相关的轻度至中度肉芽肿性炎症。在恢复期动物中,肉芽肿性炎症的观察频率较低,其特征是多核巨细胞数量增加。这些影响被认为是对脂质体的正常反应,并非不良反应。兔子比狗更敏感。在兔子身上,使用EXPAREL时出现惊厥,使用Bsol时更频繁出现;未确定无观察到有害作用的水平(NOAEL)。在狗身上,EXPAREL耐受性良好(NOAEL>30mg/kg/剂量)。在这些研究中,EXPAREL的累积暴露量远远超过了拟用于人类的最大单剂量暴露量。

https://cdn.ncbi.nlm.nih.gov/pmc/blobs/c0c2/3189577/27cd6c98ccb9/JDD2011-467429.001.jpg

文献检索

告别复杂PubMed语法,用中文像聊天一样搜索,搜遍4000万医学文献。AI智能推荐,让科研检索更轻松。

立即免费搜索

文件翻译

保留排版,准确专业,支持PDF/Word/PPT等文件格式,支持 12+语言互译。

免费翻译文档

深度研究

AI帮你快速写综述,25分钟生成高质量综述,智能提取关键信息,辅助科研写作。

立即免费体验