• 文献检索
  • 文档翻译
  • 深度研究
  • 学术资讯
  • Suppr Zotero 插件Zotero 插件
  • 邀请有礼
  • 套餐&价格
  • 历史记录
应用&插件
Suppr Zotero 插件Zotero 插件浏览器插件Mac 客户端Windows 客户端微信小程序
定价
高级版会员购买积分包购买API积分包
服务
文献检索文档翻译深度研究API 文档MCP 服务
关于我们
关于 Suppr公司介绍联系我们用户协议隐私条款
关注我们

Suppr 超能文献

核心技术专利:CN118964589B侵权必究
粤ICP备2023148730 号-1Suppr @ 2026

文献检索

告别复杂PubMed语法,用中文像聊天一样搜索,搜遍4000万医学文献。AI智能推荐,让科研检索更轻松。

立即免费搜索

文件翻译

保留排版,准确专业,支持PDF/Word/PPT等文件格式,支持 12+语言互译。

免费翻译文档

深度研究

AI帮你快速写综述,25分钟生成高质量综述,智能提取关键信息,辅助科研写作。

立即免费体验

具有抗过敏涂层的非限制型双髁全膝关节假体临床和影像学结果的比较研究

Comparative Study of Clinical and Radiological Outcomes of Unconstrained Bicondylar Total Knee Endoprostheses with Anti-allergic Coating.

作者信息

Bergschmidt Philipp, Bader Rainer, Finze Susanne, Schulze Christoph, Kundt Guenther, Mittelmeier Wolfram

机构信息

Department of Orthopaedics, University of Rostock, Doberaner Strasse 142, D-18057 Rostock, Germany.

出版信息

Open Orthop J. 2011;5:354-60. doi: 10.2174/1874325001105010354. Epub 2011 Oct 7.

DOI:10.2174/1874325001105010354
PMID:22016754
原文链接:https://pmc.ncbi.nlm.nih.gov/articles/PMC3195852/
Abstract

BACKGROUND

Hypersensitivity reactions to implant materials have become more important in total knee replacement (TKR). The purpose of this retrospective comparative study was to evaluate the clinical and radiological outcomes of unconstrained bicondylar total knee prostheses with and without anti-allergic titanium(niobium)nitrite (Ti(Nb)N) coating.

METHODS

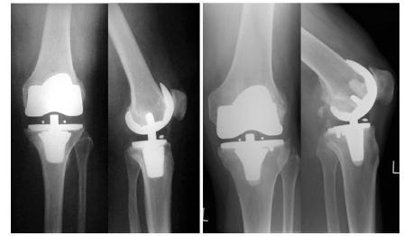
Twenty-four patients (25 TKRs) underwent a preoperative clinical evaluation and then a postoperative evaluation after 26.2 months in the allergy group treated with coated implants (n=13 implants) and after 24.5 months in the control group treated with uncoated implants but identical geometry (n=12) using HSS, WOMAC and SF-36 scores. Radiological evaluations were performed using standard anterior-posterior (a.p.) and lateral X-rays.

RESULTS

During follow-up two patients of the allergy group had to undergo revision surgery due to non-implant-related reasons. A comparative analysis of both study groups showed a significant difference in the HSS scores at both evaluation time points (MW test p≤0.050); these findings are remarkable since the control group had a significantly lower score preoperatively (54.0 vs 65.0 points) and a significantly higher score (82.5 vs 75.0 points) postoperatively. The preoperative and postoperative WOMAC and SF-36 scores were comparable in both groups (MW test p≥0.052), although the postoperative increase in the score for the allergy group was lower. The radiological results were comparable in both groups and were unlikely to influence the results.

CONCLUSIONS

This clinical study demonstrates the restricted outcome in postoperative function and quality of life in the allergy group compared to the control group.

摘要

背景

在全膝关节置换术(TKR)中,对植入材料的过敏反应变得愈发重要。本回顾性对照研究的目的是评估有无抗过敏性亚硝酸钛(铌)(Ti(Nb)N)涂层的非限制性双髁全膝关节假体的临床和放射学结果。

方法

24例患者(25次TKR)在术前进行了临床评估,然后在使用HSS、WOMAC和SF - 36评分的情况下,对接受涂层植入物治疗的过敏组(n = 13个植入物)术后26.2个月以及接受未涂层但几何形状相同的植入物治疗的对照组(n = 12)术后24.5个月进行了评估。使用标准前后位(a.p.)和侧位X线进行放射学评估。

结果

在随访期间,过敏组有2例患者因非植入物相关原因接受了翻修手术。两个研究组的比较分析显示,在两个评估时间点的HSS评分均有显著差异(MW检验p≤0.050);这些发现很显著,因为对照组术前评分显著较低(54.0对65.0分),术后评分显著较高(82.5对75.0分)。两组术前和术后的WOMAC和SF - 36评分相当(MW检验p≥0.052),尽管过敏组术后评分的增加较低。两组的放射学结果相当,不太可能影响结果。

结论

本临床研究表明,与对照组相比,过敏组术后功能和生活质量的结果受限。

https://cdn.ncbi.nlm.nih.gov/pmc/blobs/0f12/3195852/9049d2ba8033/TOORTHJ-5-354_F2.jpg
https://cdn.ncbi.nlm.nih.gov/pmc/blobs/0f12/3195852/582db81e8463/TOORTHJ-5-354_F1.jpg
https://cdn.ncbi.nlm.nih.gov/pmc/blobs/0f12/3195852/9049d2ba8033/TOORTHJ-5-354_F2.jpg
https://cdn.ncbi.nlm.nih.gov/pmc/blobs/0f12/3195852/582db81e8463/TOORTHJ-5-354_F1.jpg
https://cdn.ncbi.nlm.nih.gov/pmc/blobs/0f12/3195852/9049d2ba8033/TOORTHJ-5-354_F2.jpg

相似文献

1
Comparative Study of Clinical and Radiological Outcomes of Unconstrained Bicondylar Total Knee Endoprostheses with Anti-allergic Coating.具有抗过敏涂层的非限制型双髁全膝关节假体临床和影像学结果的比较研究
Open Orthop J. 2011;5:354-60. doi: 10.2174/1874325001105010354. Epub 2011 Oct 7.
2
[Total knee replacement with ceramic femoral components: a national prospective multicenter study of clinical and radiological outcomes].[采用陶瓷股骨部件的全膝关节置换术:一项关于临床和放射学结果的全国前瞻性多中心研究]
Orthopade. 2011 Mar;40(3):224-30. doi: 10.1007/s00132-010-1649-6.
3
Prospective comparative clinical study of ceramic and metallic femoral components for total knee arthroplasty over a five-year follow-up period.全膝关节置换术中陶瓷和金属股骨部件的前瞻性比较临床研究,随访期为五年。
Knee. 2016 Oct;23(5):871-6. doi: 10.1016/j.knee.2016.06.001. Epub 2016 Jun 20.
4
[Bicondylar knee arthroplasty - influence of preoperative functional restriction on early functional postoperative outcome].[双髁膝关节置换术——术前功能受限对术后早期功能结局的影响]
Z Orthop Unfall. 2008 May-Jun;146(3):344-51. doi: 10.1055/s-2008-1038463.
5
Ceramic femoral components in total knee arthroplasty - two year follow-up results of an international prospective multi-centre study.全膝关节置换术中的陶瓷股骨部件——一项国际前瞻性多中心研究的两年随访结果
Open Orthop J. 2012;6:172-8. doi: 10.2174/1874325001206010172. Epub 2012 Apr 20.
6
Titanium niobium nitride knee implants are not inferior to chrome cobalt components for primary total knee arthroplasty.对于初次全膝关节置换术,氮化钛铌膝关节植入物并不逊色于铬钴部件。
Arch Orthop Trauma Surg. 2015 Dec;135(12):1749-54. doi: 10.1007/s00402-015-2320-9. Epub 2015 Aug 29.
7
Clinical outcomes in the revision of unicondylar arthoplasties to bicondylar arthroplasties. A matched-pair study.单髁关节置换翻修为双髁关节置换的临床结果:一项配对研究。
Arch Orthop Trauma Surg. 2004 Dec;124(10):702-7. doi: 10.1007/s00402-004-0752-8. Epub 2004 Oct 23.
8
Titanium Niobium Nitride Mobile-Bearing Unicompartmental Knee Arthroplasty Results in Good to Excellent Clinical and Radiographic Outcomes in Metal Allergy Patients With Medial Knee Osteoarthritis.金属过敏合并内侧间室骨关节炎患者行氮化钛铌移动轴承单间室膝关节置换术可获得良好至优秀的临床和影像学结果。
J Arthroplasty. 2021 Jan;36(1):140-147.e2. doi: 10.1016/j.arth.2020.07.028. Epub 2020 Jul 21.
9
Ten-year outcomes of a nitrided Ti-6Al-4V titanium alloy fixed-bearing total knee replacement with a highly crosslinked polyethylene-bearing in patients with metal allergy.金属过敏患者采用渗氮钛-6 铝-4 钒钛合金固定平台全膝关节置换术联合高交联聚乙烯衬垫的 10 年随访结果。
Knee. 2020 Oct;27(5):1519-1524. doi: 10.1016/j.knee.2020.08.007. Epub 2020 Aug 27.
10
[Alternative materials and solutions in total knee arthroplasty for patients with metal allergy].[金属过敏患者全膝关节置换术中的替代材料和解决方案]
Orthopade. 2008 Feb;37(2):136-42. doi: 10.1007/s00132-007-1189-x.

引用本文的文献

1
Bilateral heterotopic ossification following Total knee arthroplasty: The role of cultural practices in postoperative complications: A case report.全膝关节置换术后双侧异位骨化:文化习俗在术后并发症中的作用:一例报告
Int J Surg Case Rep. 2025 Apr;129:111161. doi: 10.1016/j.ijscr.2025.111161. Epub 2025 Mar 18.
2
Anticorrosion behaviour and tribological properties of AZ31 magnesium alloy coated with NbO/NbO-Mg/Mg layer by magnetron sputtering.磁控溅射法制备的NbO/NbO-Mg/Mg涂层AZ31镁合金的耐腐蚀性能及摩擦学性能
RSC Adv. 2022 Oct 7;12(43):28196-28206. doi: 10.1039/d2ra04907d. eCollection 2022 Sep 28.
3

本文引用的文献

1
[Total knee replacement with ceramic femoral components: a national prospective multicenter study of clinical and radiological outcomes].[采用陶瓷股骨部件的全膝关节置换术:一项关于临床和放射学结果的全国前瞻性多中心研究]
Orthopade. 2011 Mar;40(3):224-30. doi: 10.1007/s00132-010-1649-6.
2
Can medio-lateral baseplate position and load sharing induce asymptomatic local bone resorption of the proximal tibia? A finite element study.内外侧基板位置和负荷分担会导致胫骨近端无症状性局部骨质吸收吗?一项有限元研究。
J Orthop Surg Res. 2009 Jul 17;4:26. doi: 10.1186/1749-799X-4-26.
3
[Implant allergy register--a first report].
"Systematic review and meta-analysis of ceramic coated implants in total knee arthroplasty. Comparable mid-term results to uncoated implants.".
全膝关节置换术中陶瓷涂层植入物的系统评价与荟萃分析。中期结果与未涂层植入物相当。
Knee Surg Sports Traumatol Arthrosc. 2023 Mar;31(3):839-851. doi: 10.1007/s00167-021-06775-6. Epub 2021 Oct 29.
4
Long-term outcome after implantation of a nickel-containing cemented hip stem on the right in a patient with type IV sensitization to nickel sulphate.一名对硫酸镍IV型致敏患者右侧植入含镍骨水泥型髋关节柄后的长期预后。
GMS Interdiscip Plast Reconstr Surg DGPW. 2019 Dec 12;8:Doc18. doi: 10.3205/iprs000144. eCollection 2019.
5
Biomaterial hypersensitivity: is it real? Supportive evidence and approach considerations for metal allergic patients following total knee arthroplasty.生物材料超敏反应:它是真实存在的吗?全膝关节置换术后金属过敏患者的支持性证据及处理方法考量
Biomed Res Int. 2015;2015:137287. doi: 10.1155/2015/137287. Epub 2015 Mar 25.
6
[Use of allergy implants in Germany: results of a survey].[德国过敏植入物的使用情况:一项调查结果]
Orthopade. 2013 Aug;42(8):597-601. doi: 10.1007/s00132-012-2032-6.
7
Ceramic femoral components in total knee arthroplasty - two year follow-up results of an international prospective multi-centre study.全膝关节置换术中的陶瓷股骨部件——一项国际前瞻性多中心研究的两年随访结果
Open Orthop J. 2012;6:172-8. doi: 10.2174/1874325001206010172. Epub 2012 Apr 20.
[植入物过敏登记册——首次报告]
Orthopade. 2009 Jun;38(6):557-62. doi: 10.1007/s00132-009-1414-x.
4
[Histopathologic diagnostics in endoprosthetics: periprosthetic neosynovialitis, hypersensitivity reaction, and arthrofibrosis].[人工关节置换术的组织病理学诊断:假体周围滑膜炎、超敏反应和关节纤维化]
Orthopade. 2009 Jun;38(6):520-30. doi: 10.1007/s00132-008-1400-8.
5
[Bicondylar knee arthroplasty - influence of preoperative functional restriction on early functional postoperative outcome].[双髁膝关节置换术——术前功能受限对术后早期功能结局的影响]
Z Orthop Unfall. 2008 May-Jun;146(3):344-51. doi: 10.1055/s-2008-1038463.
6
[Allergy to bone cement components].[对骨水泥成分过敏]
Orthopade. 2008 Feb;37(2):117-20. doi: 10.1007/s00132-008-1195-7.
7
[Metal sensitivity in patients with joint replacement arthroplasties before and after surgery].[关节置换成形术患者手术前后的金属敏感性]
Orthopade. 2008 Feb;37(2):102-10. doi: 10.1007/s00132-007-1186-0.
8
[Alternative materials and solutions in total knee arthroplasty for patients with metal allergy].[金属过敏患者全膝关节置换术中的替代材料和解决方案]
Orthopade. 2008 Feb;37(2):136-42. doi: 10.1007/s00132-007-1189-x.
9
Clinical results of posterior cruciate ligament retaining TKA with alumina ceramic condylar prosthesis: comparison to Co-Cr alloy prosthesis.氧化铝陶瓷髁假体后交叉韧带保留型全膝关节置换术的临床结果:与钴铬合金假体的比较。
Knee Surg Sports Traumatol Arthrosc. 2008 Feb;16(2):152-6. doi: 10.1007/s00167-007-0435-4. Epub 2007 Nov 3.
10
[The importance of wear couples for younger endoprosthesis patients].[磨损配对对于年轻假体患者的重要性]
Orthopade. 2007 Apr;36(4):337-46. doi: 10.1007/s00132-007-1069-4.