• 文献检索
  • 文档翻译
  • 深度研究
  • 学术资讯
  • Suppr Zotero 插件Zotero 插件
  • 邀请有礼
  • 套餐&价格
  • 历史记录
应用&插件
Suppr Zotero 插件Zotero 插件浏览器插件Mac 客户端Windows 客户端微信小程序
定价
高级版会员购买积分包购买API积分包
服务
文献检索文档翻译深度研究API 文档MCP 服务
关于我们
关于 Suppr公司介绍联系我们用户协议隐私条款
关注我们

Suppr 超能文献

核心技术专利:CN118964589B侵权必究
粤ICP备2023148730 号-1Suppr @ 2026

文献检索

告别复杂PubMed语法,用中文像聊天一样搜索,搜遍4000万医学文献。AI智能推荐,让科研检索更轻松。

立即免费搜索

文件翻译

保留排版,准确专业,支持PDF/Word/PPT等文件格式,支持 12+语言互译。

免费翻译文档

深度研究

AI帮你快速写综述,25分钟生成高质量综述,智能提取关键信息,辅助科研写作。

立即免费体验

树突状细胞表达 A20 可维持免疫稳态,预防结肠炎和脊柱关节炎。

Expression of A20 by dendritic cells preserves immune homeostasis and prevents colitis and spondyloarthritis.

机构信息

Department of Medicine, University of California at San Francisco, San Francisco, California, USA.

出版信息

Nat Immunol. 2011 Oct 23;12(12):1184-93. doi: 10.1038/ni.2135.

DOI:10.1038/ni.2135
PMID:22019834
原文链接:https://pmc.ncbi.nlm.nih.gov/articles/PMC3419270/
Abstract

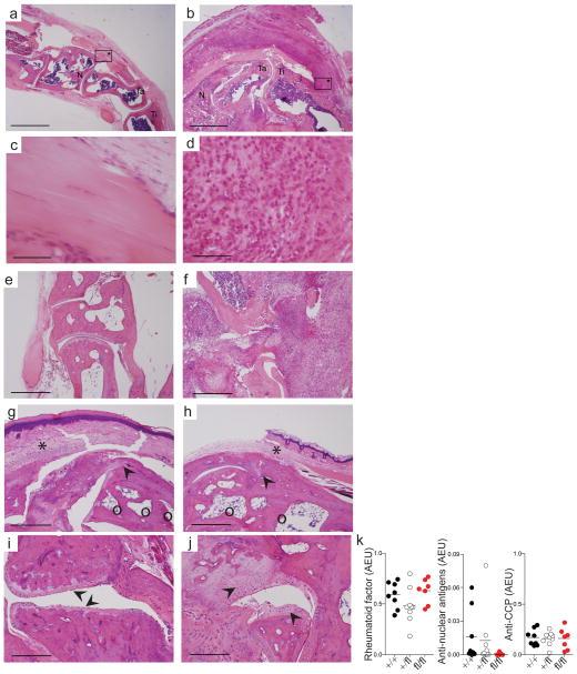
Dendritic cells (DCs), which are known to support immune activation during infection, may also regulate immune homeostasis in resting animals. Here we show that mice lacking the ubiquitin-editing molecule A20 specifically in DCs spontaneously showed DC activation and population expansion of activated T cells. Analysis of DC-specific epistasis in compound mice lacking both A20 and the signaling adaptor MyD88 specifically in DCs showed that A20 restricted both MyD88-independent signals, which drive activation of DCs and T cells, and MyD88-dependent signals, which drive population expansion of T cells. In addition, mice lacking A20 specifically in DCs spontaneously developed lymphocyte-dependent colitis, seronegative ankylosing arthritis and enthesitis, conditions stereotypical of human inflammatory bowel disease (IBD). Our findings indicate that DCs need A20 to preserve immune quiescence and suggest that A20-dependent DC functions may underlie IBD and IBD-associated arthritides.

摘要

树突状细胞 (DCs) 在感染期间被认为支持免疫激活,也可能调节静止动物的免疫稳态。在这里,我们表明,特异性缺乏 DC 中泛素编辑分子 A20 的小鼠自发地表现出 DC 激活和活化 T 细胞的群体扩张。在缺乏 A20 和信号适配器 MyD88 的 DC 特异性复合小鼠中分析 DC 特异性上位性表明,A20 限制了驱动 DC 和 T 细胞激活的 MyD88 非依赖性信号,以及驱动 T 细胞群体扩张的 MyD88 依赖性信号。此外,特异性缺乏 DC 中 A20 的小鼠自发地发展出淋巴细胞依赖性结肠炎、血清阴性的强直性脊柱炎和附着点炎,这些都是人类炎症性肠病 (IBD) 的典型特征。我们的研究结果表明,DCs 需要 A20 来维持免疫静止,并表明 A20 依赖的 DC 功能可能是 IBD 和 IBD 相关关节炎的基础。

https://cdn.ncbi.nlm.nih.gov/pmc/blobs/557d/3419270/4ee6ee46f842/nihms323369f8.jpg
https://cdn.ncbi.nlm.nih.gov/pmc/blobs/557d/3419270/43f93a911bdc/nihms323369f1.jpg
https://cdn.ncbi.nlm.nih.gov/pmc/blobs/557d/3419270/9ed2099258fa/nihms323369f2.jpg
https://cdn.ncbi.nlm.nih.gov/pmc/blobs/557d/3419270/51e712bab1ea/nihms323369f3.jpg
https://cdn.ncbi.nlm.nih.gov/pmc/blobs/557d/3419270/41624b6bd714/nihms323369f4.jpg
https://cdn.ncbi.nlm.nih.gov/pmc/blobs/557d/3419270/d2862d6508ae/nihms323369f5.jpg
https://cdn.ncbi.nlm.nih.gov/pmc/blobs/557d/3419270/80a9335a605d/nihms323369f6.jpg
https://cdn.ncbi.nlm.nih.gov/pmc/blobs/557d/3419270/fef36517b996/nihms323369f7.jpg
https://cdn.ncbi.nlm.nih.gov/pmc/blobs/557d/3419270/4ee6ee46f842/nihms323369f8.jpg
https://cdn.ncbi.nlm.nih.gov/pmc/blobs/557d/3419270/43f93a911bdc/nihms323369f1.jpg
https://cdn.ncbi.nlm.nih.gov/pmc/blobs/557d/3419270/9ed2099258fa/nihms323369f2.jpg
https://cdn.ncbi.nlm.nih.gov/pmc/blobs/557d/3419270/51e712bab1ea/nihms323369f3.jpg
https://cdn.ncbi.nlm.nih.gov/pmc/blobs/557d/3419270/41624b6bd714/nihms323369f4.jpg
https://cdn.ncbi.nlm.nih.gov/pmc/blobs/557d/3419270/d2862d6508ae/nihms323369f5.jpg
https://cdn.ncbi.nlm.nih.gov/pmc/blobs/557d/3419270/80a9335a605d/nihms323369f6.jpg
https://cdn.ncbi.nlm.nih.gov/pmc/blobs/557d/3419270/fef36517b996/nihms323369f7.jpg
https://cdn.ncbi.nlm.nih.gov/pmc/blobs/557d/3419270/4ee6ee46f842/nihms323369f8.jpg

相似文献

1
Expression of A20 by dendritic cells preserves immune homeostasis and prevents colitis and spondyloarthritis.树突状细胞表达 A20 可维持免疫稳态,预防结肠炎和脊柱关节炎。
Nat Immunol. 2011 Oct 23;12(12):1184-93. doi: 10.1038/ni.2135.
2
A20 expression in dendritic cells protects mice from LPS-induced mortality.树突状细胞中的 A20 表达可保护小鼠免于 LPS 诱导的死亡。
Eur J Immunol. 2015 Mar;45(3):818-28. doi: 10.1002/eji.201444795. Epub 2014 Dec 28.
3
Dimerization and ubiquitin mediated recruitment of A20, a complex deubiquitinating enzyme.二聚化和泛素介导的去泛素化酶 A20 的募集。
Immunity. 2013 May 23;38(5):896-905. doi: 10.1016/j.immuni.2013.03.008. Epub 2013 Apr 18.
4
The ubiquitin-editing protein A20 prevents dendritic cell activation, recognition of apoptotic cells, and systemic autoimmunity.泛素修饰蛋白 A20 可防止树突状细胞激活、识别凋亡细胞和全身性自身免疫。
Immunity. 2011 Jul 22;35(1):82-96. doi: 10.1016/j.immuni.2011.05.013. Epub 2011 Jun 30.
5
Hyperactivated MyD88 signaling in dendritic cells, through specific deletion of Lyn kinase, causes severe autoimmunity and inflammation.树突状细胞中 MyD88 的过度激活信号,通过 Lyn 激酶的特异性缺失,导致严重的自身免疫和炎症。
Proc Natl Acad Sci U S A. 2013 Aug 27;110(35):E3311-20. doi: 10.1073/pnas.1300617110. Epub 2013 Aug 12.
6
Attenuated expression of A20 markedly increases the efficacy of double-stranded RNA-activated dendritic cells as an anti-cancer vaccine.A20的表达减弱显著提高了双链RNA激活的树突状细胞作为抗癌疫苗的功效。
J Immunol. 2009 Jan 15;182(2):860-70. doi: 10.4049/jimmunol.182.2.860.
7
Homeostatic MyD88-dependent signals cause lethal inflamMation in the absence of A20.在缺乏A20的情况下,稳态的依赖MyD88的信号会导致致命性炎症。
J Exp Med. 2008 Feb 18;205(2):451-64. doi: 10.1084/jem.20071108. Epub 2008 Feb 11.
8
A20 in Myeloid Cells Protects Against Hypertension by Inhibiting Dendritic Cell-Mediated T-Cell Activation.髓系细胞中的 A20 通过抑制树突状细胞介导的 T 细胞活化来防止高血压。
Circ Res. 2019 Dec 6;125(12):1055-1066. doi: 10.1161/CIRCRESAHA.119.315343. Epub 2019 Oct 21.
9
Bcl10 is an essential regulator for A20 gene expression.Bcl10 是 A20 基因表达的必需调节因子。
J Physiol Biochem. 2013 Dec;69(4):821-34. doi: 10.1007/s13105-013-0259-2. Epub 2013 May 16.
10
Enterocyte-specific A20 deficiency sensitizes to tumor necrosis factor-induced toxicity and experimental colitis.肠上皮细胞特异性 A20 缺乏使细胞对肿瘤坏死因子诱导的毒性和实验性结肠炎敏感。
J Exp Med. 2010 Jul 5;207(7):1513-23. doi: 10.1084/jem.20092474. Epub 2010 Jun 7.

引用本文的文献

1
A New Mouse Model of Psoriatic Arthritis.一种新的银屑病关节炎小鼠模型。
J Rheumatol. 2025 Aug 15. doi: 10.3899/jrheum.2025-0528.
2
The signature of the small intestinal epithelial and immune cells in health and diseases.健康与疾病状态下小肠上皮细胞和免疫细胞的特征
Chin Med J (Engl). 2025 Jun 5;138(11):1288-1300. doi: 10.1097/CM9.0000000000003615. Epub 2025 May 20.
3
Immunotherapy for hypertensive end-organ damage: a new therapeutic strategy.高血压性靶器官损害的免疫治疗:一种新的治疗策略。

本文引用的文献

1
Association of a functional variant downstream of TNFAIP3 with systemic lupus erythematosus.TNF 凋亡抑制蛋白 3 下游功能变体与系统性红斑狼疮的关联。
Nat Genet. 2011 Mar;43(3):253-8. doi: 10.1038/ng.766. Epub 2011 Feb 20.
2
Activation of beta-catenin in dendritic cells regulates immunity versus tolerance in the intestine.β-连环蛋白在树突状细胞中的激活调节肠道中的免疫与耐受。
Science. 2010 Aug 13;329(5993):849-53. doi: 10.1126/science.1188510.
3
The ubiquitin modifying enzyme A20 restricts B cell survival and prevents autoimmunity.
Essays Biochem. 2025 Mar 25;0(0):EBC20243000. doi: 10.1042/EBC20243000.
4
Dendritic cell maturation in cancer.癌症中的树突状细胞成熟
Nat Rev Cancer. 2025 Apr;25(4):225-248. doi: 10.1038/s41568-024-00787-3. Epub 2025 Feb 7.
5
Involvement of the ubiquitin-proteasome system in the regulation of the tumor microenvironment and progression.泛素-蛋白酶体系统参与肿瘤微环境的调控及进展。
Genes Dis. 2024 Feb 2;12(2):101240. doi: 10.1016/j.gendis.2024.101240. eCollection 2025 Mar.
6
Role of Ubiquitin Signaling in Modulating Dendritic Cell Function.泛素信号在调节树突状细胞功能中的作用。
Adv Exp Med Biol. 2024;1466:101-111. doi: 10.1007/978-981-97-7288-9_7.
7
Deubiquitination of RIPK2 by OTUB2 augments NOD2 signalling and protective effects in intestinal inflammation.OTUB2 对 RIPK2 的去泛素化作用增强了 NOD2 信号传导并减轻了肠道炎症。
Clin Transl Med. 2024 Oct;14(10):e70038. doi: 10.1002/ctm2.70038.
8
YOD1 sustains NOD2-mediated protective signaling in colitis by stabilizing RIPK2.YOD1 通过稳定 RIPK2 来维持 NOD2 介导的结肠炎保护性信号。
EMBO Rep. 2024 Nov;25(11):4827-4845. doi: 10.1038/s44319-024-00276-6. Epub 2024 Sep 27.
9
Striking a balance: new perspectives on homeostatic dendritic cell maturation.寻求平衡:稳态树突状细胞成熟的新视角
Nat Rev Immunol. 2025 Feb;25(2):125-140. doi: 10.1038/s41577-024-01079-5. Epub 2024 Sep 17.
10
A20 in Kidney Transplantation and Autoimmunity.A20 在肾移植和自身免疫中的作用。
Int J Mol Sci. 2024 Jun 16;25(12):6628. doi: 10.3390/ijms25126628.
泛素修饰酶 A20 限制 B 细胞存活并防止自身免疫。
Immunity. 2010 Aug 27;33(2):181-91. doi: 10.1016/j.immuni.2010.07.017. Epub 2010 Aug 12.
4
The role of pattern-recognition receptors in innate immunity: update on Toll-like receptors.模式识别受体在天然免疫中的作用:Toll 样受体更新。
Nat Immunol. 2010 May;11(5):373-84. doi: 10.1038/ni.1863. Epub 2010 Apr 20.
5
Pattern recognition receptors and inflammation.模式识别受体与炎症。
Cell. 2010 Mar 19;140(6):805-20. doi: 10.1016/j.cell.2010.01.022.
6
Dendritic cell (DC)-specific targeting reveals Stat3 as a negative regulator of DC function.树突状细胞(DC)特异性靶向揭示 Stat3 作为 DC 功能的负调节剂。
J Immunol. 2010 Mar 1;184(5):2638-45. doi: 10.4049/jimmunol.0902960. Epub 2010 Feb 1.
7
Gene expression profiling reveals a downregulation in immune-associated genes in patients with AS.基因表达谱分析显示,AS 患者的免疫相关基因下调。
Ann Rheum Dis. 2010 Sep;69(9):1724-9. doi: 10.1136/ard.2009.111690. Epub 2009 Jul 29.
8
Progress in spondylarthritis. Immunopathogenesis of spondyloarthritis: which cells drive disease?脊柱关节炎的进展。脊柱关节炎的免疫发病机制:哪些细胞导致疾病?
Arthritis Res Ther. 2009;11(3):233. doi: 10.1186/ar2722. Epub 2009 Jun 25.
9
Regulatory lymphocytes and intestinal inflammation.调节性淋巴细胞与肠道炎症
Annu Rev Immunol. 2009;27:313-38. doi: 10.1146/annurev.immunol.021908.132657.
10
Genome-wide association scan yields new insights into the immunopathogenesis of psoriasis.全基因组关联扫描为银屑病的免疫发病机制带来新见解。
Genes Immun. 2009 Apr;10(3):201-9. doi: 10.1038/gene.2009.11. Epub 2009 Mar 5.