Suppr超能文献

在由Matn3 V194D突变引起的多发性骨骺发育不良小鼠模型中,matrilin 1的缺失不会加剧骨骼表型。

Loss of matrilin 1 does not exacerbate the skeletal phenotype in a mouse model of multiple epiphyseal dysplasia caused by a Matn3 V194D mutation.

作者信息

Bell Peter A, Piróg Katarzyna A, Fresquet Maryline, Thornton David J, Boot-Handford Raymond P, Briggs Michael D

机构信息

University of Manchester, Manchester, UK.

出版信息

Arthritis Rheum. 2012 May;64(5):1529-39. doi: 10.1002/art.33486.

Abstract

OBJECTIVE

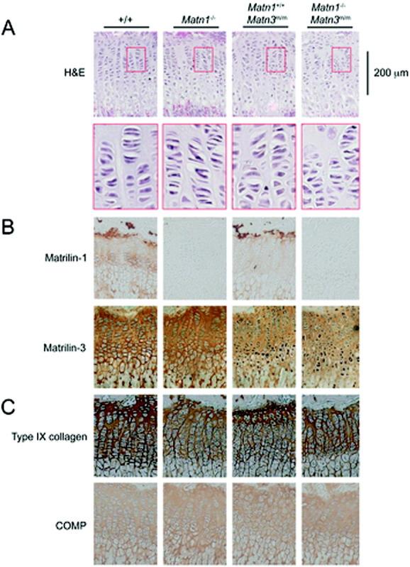
Mutations in matrilin 3 can result in multiple epiphyseal dysplasia (MED), a disease characterized by delayed and irregular bone growth and early-onset osteoarthritis. Although intracellular retention of the majority of mutant matrilin 3 was previously observed in a murine model of MED caused by a Matn3 V194D mutation, some mutant protein was secreted into the extracellular matrix. Thus, it was proposed that secretion of mutant matrilin 3 may be dependent on the formation of hetero-oligomers with matrilin 1. The aim of this study was to investigate the hypothesis that deletion of matrilin 1 would abolish the formation of matrilin 1/matrilin 3 hetero-oligomers, eliminate the secretion of mutant matrilin 3, and influence disease severity.

METHODS

Mice with a Matn3 V194D mutation were crossed with Matn1-null mice, generating mice that were homozygous for V194D and null for matrilin 1. This novel mouse was used for in-depth phenotyping, while cartilage and chondrocytes were studied both histochemically and biochemically.

RESULTS

Endochondral ossification was not disrupted any further in mice with a double V194D mutation compared with mice with a single mutation. A similar proportion of mutant matrilin 3 was present in the extracellular matrix, and the amount of retained mutant matrilin 3 was not noticeably increased. Retained mutant matrilin 3 formed disulfide-bonded aggregates and caused the co-retention of matrilin 1.

CONCLUSION

We showed that secretion of matrilin 3 V194D mutant protein is not dependent on hetero-oligomerization with matrilin 1, and that the total ablation of matrilin 1 expression has no impact on disease severity in mice with MED. Mutant matrilin 3 oligomers form non-native disulfide-bonded aggregates through the misfolded A domain.

摘要

目的

基质金属蛋白酶3(matrilin 3)突变可导致多发性骨骺发育不良(MED),这是一种以骨骼生长延迟和不规则以及早发性骨关节炎为特征的疾病。尽管先前在由Matn3 V194D突变引起的MED小鼠模型中观察到大多数突变型matrilin 3滞留在细胞内,但一些突变蛋白分泌到了细胞外基质中。因此,有人提出突变型matrilin 3的分泌可能依赖于与matrilin 1形成异源寡聚体。本研究的目的是调查这样一个假说,即matrilin 1的缺失将消除matrilin 1/matrilin 3异源寡聚体的形成,消除突变型matrilin 3的分泌,并影响疾病严重程度。

方法

将具有Matn3 V194D突变的小鼠与Matn1基因缺失的小鼠杂交,产生V194D纯合且matrilin 1缺失的小鼠。这种新型小鼠用于深入的表型分析,同时对软骨和软骨细胞进行组织化学和生物化学研究。

结果

与单突变小鼠相比,双V194D突变小鼠的软骨内成骨没有进一步受到破坏。细胞外基质中存在相似比例的突变型matrilin 3,并且滞留的突变型matrilin 3的量没有明显增加。滞留的突变型matrilin 3形成二硫键结合的聚集体,并导致matrilin 1的共滞留。

结论

我们表明,matrilin 3 V194D突变蛋白的分泌不依赖于与matrilin 1的异源寡聚化,并且matrilin 1表达的完全缺失对MED小鼠的疾病严重程度没有影响。突变型matrilin 3寡聚体通过错误折叠的A结构域形成非天然的二硫键结合聚集体。

https://cdn.ncbi.nlm.nih.gov/pmc/blobs/262f/3397675/106232f8beb6/art0064-1529-fig001.jpg

文献AI研究员

20分钟写一篇综述,助力文献阅读效率提升50倍。

立即体验

用中文搜PubMed

大模型驱动的PubMed中文搜索引擎

马上搜索

文档翻译

学术文献翻译模型,支持多种主流文档格式。

立即体验