• 文献检索
  • 文档翻译
  • 深度研究
  • 学术资讯
  • Suppr Zotero 插件Zotero 插件
  • 邀请有礼
  • 套餐&价格
  • 历史记录
应用&插件
Suppr Zotero 插件Zotero 插件浏览器插件Mac 客户端Windows 客户端微信小程序
定价
高级版会员购买积分包购买API积分包
服务
文献检索文档翻译深度研究API 文档MCP 服务
关于我们
关于 Suppr公司介绍联系我们用户协议隐私条款
关注我们

Suppr 超能文献

核心技术专利:CN118964589B侵权必究
粤ICP备2023148730 号-1Suppr @ 2026

文献检索

告别复杂PubMed语法,用中文像聊天一样搜索,搜遍4000万医学文献。AI智能推荐,让科研检索更轻松。

立即免费搜索

文件翻译

保留排版,准确专业,支持PDF/Word/PPT等文件格式,支持 12+语言互译。

免费翻译文档

深度研究

AI帮你快速写综述,25分钟生成高质量综述,智能提取关键信息,辅助科研写作。

立即免费体验

下颌下唾液腺基底细胞腺癌——细胞诊断中的问题

Basal cell adenocarcinoma of submandibular salivary gland-problems in cytologic diagnosis.

作者信息

Mardi Kavita, Kaushal Vijay, Asotra Sarita

机构信息

Department of Pathology, Indira Gandhi Medical College, Shimla, India.

出版信息

J Cytol. 2011 Oct;28(4):203-6. doi: 10.4103/0970-9371.86349.

DOI:10.4103/0970-9371.86349
PMID:22090697
原文链接:https://pmc.ncbi.nlm.nih.gov/articles/PMC3214468/
Abstract

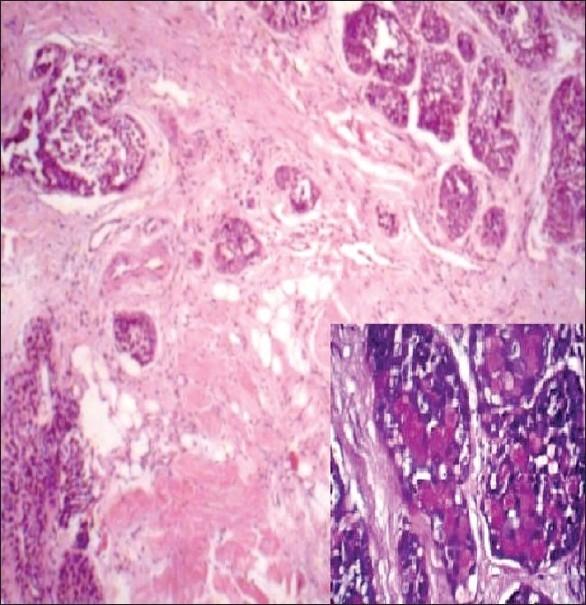
Basal-cell adenoma and basal-cell adenocarcinoma of the salivary gland are rare tumors. Fine-needle aspiration cytology of these tumors, particularly those of basal-cell adenocarcinoma, has rarely been described in the literature. In this report, we describe the clinical, cytomorphologic and histopathologic features of basal cell adenocarcinoma in a 48-year-old male patient. Fine-needle aspiration specimen showed abundant cohesive groups of basaloid cells revealing focal anisonucleosis and nuclear atypia. The tumor cells also showed rosette-like arrangement around central eosinophilic globule. Pertinent literature is reviewed and differential diagnosis are discussed.

摘要

涎腺基底细胞腺瘤和基底细胞腺癌是罕见肿瘤。这些肿瘤的细针穿刺细胞学检查,尤其是基底细胞腺癌的细针穿刺细胞学检查,在文献中很少被描述。在本报告中,我们描述了一名48岁男性患者基底细胞腺癌的临床、细胞形态学和组织病理学特征。细针穿刺标本显示大量紧密聚集的基底样细胞,可见局灶性核大小不一和核异型性。肿瘤细胞还围绕中央嗜酸性小球呈玫瑰花结样排列。回顾了相关文献并讨论了鉴别诊断。

https://cdn.ncbi.nlm.nih.gov/pmc/blobs/b232/3214468/bbd8233abff7/JCytol-28-203-g003.jpg
https://cdn.ncbi.nlm.nih.gov/pmc/blobs/b232/3214468/f25708078771/JCytol-28-203-g001.jpg
https://cdn.ncbi.nlm.nih.gov/pmc/blobs/b232/3214468/8b6caea09ce6/JCytol-28-203-g002.jpg
https://cdn.ncbi.nlm.nih.gov/pmc/blobs/b232/3214468/bbd8233abff7/JCytol-28-203-g003.jpg
https://cdn.ncbi.nlm.nih.gov/pmc/blobs/b232/3214468/f25708078771/JCytol-28-203-g001.jpg
https://cdn.ncbi.nlm.nih.gov/pmc/blobs/b232/3214468/8b6caea09ce6/JCytol-28-203-g002.jpg
https://cdn.ncbi.nlm.nih.gov/pmc/blobs/b232/3214468/bbd8233abff7/JCytol-28-203-g003.jpg

相似文献

1
Basal cell adenocarcinoma of submandibular salivary gland-problems in cytologic diagnosis.下颌下唾液腺基底细胞腺癌——细胞诊断中的问题
J Cytol. 2011 Oct;28(4):203-6. doi: 10.4103/0970-9371.86349.
2
Salivary gland neoplasms with basaloid cell features: report of two cases diagnosed by fine-needle aspiration cytology.
Diagn Cytopathol. 1999 Jul;21(1):46-50. doi: 10.1002/(sici)1097-0339(199907)21:1<46::aid-dc13>3.0.co;2-n.
3
Basal cell adenocarcinoma of the salivary gland. Diagnosis by fine-needle aspiration cytology.涎腺基底细胞腺癌。细针穿刺细胞学诊断。
Am J Clin Pathol. 1995 May;103(5):603-8. doi: 10.1093/ajcp/103.5.603.
4
Pitfalls of fine-needle aspiration cytology of parotid membranous basal cell adenoma-A review of pitfalls in FNA cytology of salivary gland neoplasms with basaloid cell features.腮腺膜性基底细胞腺瘤细针穿刺细胞学检查的陷阱——对具有基底样细胞特征的唾液腺肿瘤细针穿刺细胞学检查陷阱的综述
Diagn Cytopathol. 2015 May;43(5):432-7. doi: 10.1002/dc.23234. Epub 2014 Nov 27.
5
Fine-Needle Aspiration Cytology of Cellular Basaloid Neoplasms of the Salivary Gland.唾液腺细胞基底细胞样肿瘤的细针吸取细胞学检查。
Arch Pathol Lab Med. 2019 Nov;143(11):1338-1345. doi: 10.5858/arpa.2019-0327-RA. Epub 2019 Sep 11.
6
Basal cell adenoma: a diagnostic dilemma on fine needle aspiration cytology.基底细胞腺瘤:细针穿刺细胞学检查中的诊断难题。
Diagn Cytopathol. 2011 Dec;39(12):913-6. doi: 10.1002/dc.21576. Epub 2011 Mar 4.
7
Fine-needle aspiration cytology of palisading adenocarcinoma: The first cytology report of a newly described salivary gland neoplasm.栅栏状腺癌的细针穿刺细胞学检查:一种新描述的唾液腺肿瘤的首次细胞学报告。
Diagn Cytopathol. 2024 Dec;52(12):E264-E267. doi: 10.1002/dc.25385. Epub 2024 Jul 25.
8
Cytodiagnosis of Basal Cell Adenoma of Parotid Gland: A Rare Case Report.腮腺基底细胞腺瘤的细胞诊断:1例罕见病例报告
Cureus. 2023 Mar 27;15(3):e36767. doi: 10.7759/cureus.36767. eCollection 2023 Mar.
9
Basal cell adenocarcinoma of the salivary gland: report of a case with morphology on fine needle aspiration cytology.
Acta Cytol. 2001 Sep-Oct;45(5):775-8. doi: 10.1159/000328304.
10
Primary salivary gland-type tumors of the tracheobronchial tree diagnosed by transbronchial fine needle aspiration: Clinical and cytomorphologic features with histopathologic correlation.经支气管细针穿刺诊断的气管支气管树原发性涎腺型肿瘤:临床及细胞形态学特征与组织病理学相关性
Diagn Cytopathol. 2019 Nov;47(11):1168-1176. doi: 10.1002/dc.24285. Epub 2019 Jul 25.

引用本文的文献

1
Basal cell adenoma and basal cell adenocarcinoma of the parotid gland: clinical findings and surgical outcomes in a single-institution study.腮腺基底细胞腺瘤和基底细胞腺癌:单机构研究的临床发现和手术结果。
World J Surg Oncol. 2024 Apr 18;22(1):102. doi: 10.1186/s12957-024-03378-6.
2
Fine Needle Aspiration Cytology of Basal Cell Adenoma of Parotid Simulating Adenoid Cystic Carcinoma.腮腺基底细胞腺瘤细针穿刺细胞学检查酷似腺样囊性癌
J Cytol. 2018 Jan-Mar;35(1):55-57. doi: 10.4103/JOC.JOC_46_16.

本文引用的文献

1
Fine needle aspiration cytology (FNAC) of salivary gland tumours: repeat aspiration provides further information in cases with an unclear initial cytological diagnosis.唾液腺肿瘤的细针穿刺细胞学检查(FNAC):在初始细胞学诊断不明确的病例中,重复穿刺可提供更多信息。
Br J Oral Maxillofac Surg. 2010 Jan;48(1):26-9. doi: 10.1016/j.bjoms.2008.12.014. Epub 2009 Feb 23.
2
Basal cell adenocarcinoma of the oral minor salivary glands: review of the literature and presentation of two cases.口腔小涎腺基底细胞腺癌:文献综述及两例病例报告
Oral Surg Oral Med Oral Pathol Oral Radiol Endod. 2007 Jan;103(1):77-84. doi: 10.1016/j.tripleo.2005.12.021. Epub 2006 Apr 21.
3
Fine-needle aspiration cytology of salivary glands: diagnostic pitfalls--revisited.
唾液腺细针穿刺细胞学检查:诊断陷阱——再探讨
Diagn Cytopathol. 2006 Aug;34(8):580-4. doi: 10.1002/dc.20353.
4
Basal cell adenocarcinoma in minor salivary glands.小唾液腺基底细胞腺癌
Histopathology. 2003 Jun;42(6):610-4. doi: 10.1046/j.1365-2559.2003.01651.x.
5
Basal cell adenocarcinoma of the salivary gland: report of a case with morphology on fine needle aspiration cytology.
Acta Cytol. 2001 Sep-Oct;45(5):775-8. doi: 10.1159/000328304.
6
Basal cell adenocarcinoma of the salivary gland: an ultrastructural and immunohistochemical study.涎腺基底细胞腺癌:一项超微结构和免疫组织化学研究。
Oral Surg Oral Med Oral Pathol Oral Radiol Endod. 1999 Apr;87(4):485-92. doi: 10.1016/s1079-2104(99)70249-0.
7
Basal cell adenocarcinoma of the salivary gland. Diagnosis by fine-needle aspiration cytology.涎腺基底细胞腺癌。细针穿刺细胞学诊断。
Am J Clin Pathol. 1995 May;103(5):603-8. doi: 10.1093/ajcp/103.5.603.
8
Basal cell adenocarcinomas of the major salivary glands.大唾液腺基底细胞腺癌
Oral Surg Oral Med Oral Pathol. 1990 Apr;69(4):461-9. doi: 10.1016/0030-4220(90)90380-b.